Skip to main content

Parapharyngeal abscess: diagnosis, complications and management in adults

Abstract

Parapharyngeal abscess may cause life-threatening complications. Peritonsillar abscess and tonsillitis may result in parapharyngeal abscess. Since the introduction of antibiotics, the incidence of parapharyngeal abscess secondary to tonsillitis and peritonsillar abscess has decreased dramatically. We present five cases of parapharyngeal abscess resulting from tonsillitis and peritonsillar infection extending to the parapharyngeal space in adult patients. Two were complicated by mediastinitis despite early treatment by wide spectrum antibiotics. We believe that early diagnosis and aggressive antibiotic treatment with early surgical drainage in cases associated with pus collection are the key points in preventing serious and fatal complications. We emphasize the diagnostic role of computerized tomography (CT) scan and the importance of early and proper drainage of these abscesses.

This is a preview of subscription content, access via your institution.

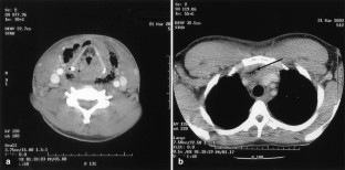
Fig. 1
Fig. 2
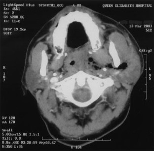
Fig. 3
Fig. 4

References

  1. Bartlett JG, Gorbach SL (1976) Anaerobic infections of the head and neck. Otolaryngol Clin North Am 9:655–678

    CAS  PubMed  Google Scholar 

  2. Bach MC, Roediger JH, Rinder HM (1988) Septic anaerobic jugular phlebitis with pulmonary embolism: problems in management. Rev Infect Dis 10:424–427

    CAS  PubMed  Google Scholar 

  3. Crewson WN (1973) Fatal necrotizing fasciitis developing after tooth extraction. Am Surg 39:525–527

    PubMed  Google Scholar 

  4. Chow AW, Rosen SM, Bradly FA (1978) Orofacial odontogentic infections. Ann Intern Med:392–402

    Google Scholar 

  5. Cmejrek RC, Coticchia JM, Arnold JE (2002) Presentation, diagnosis, and management of deep-neck abscesses in infants. Arch Otolaryngol Head Neck Surg 128:1361–1364

    PubMed  Google Scholar 

  6. de Marie S, Tjon A, Tham RT, van der Mey AG, Meerdink G, van Furth R, van der Meer JW (1989) Clinical infections and nonsurgical treatment of parapharyngeal space infections complicating throat infection. Rev Infect Dis 11:975–982

    PubMed  Google Scholar 

  7. Eliachar I, Peleg H, Joachims HZ (1981) Mediastinitis and bilateral pyopneumothorax complicating a parapharyneal abscess. Head Neck Surg 3:438–442

    CAS  PubMed  Google Scholar 

  8. Grodinsky M (1939) Retropharyngeal and lateral pharyngeal abscesses: an anatomic and clinical study. Ann Surg110:177–199

    Google Scholar 

  9. Gidley PW, Ghorayeb BY, Stiernberg CM (1997) Contemporary management of deep neck space infections. Otolaryngol Head Neck Surg 116:16–22

    CAS  PubMed  Google Scholar 

  10. Healy GB (1989) Inflammatory neck masses in children: a comparison of computed tomography, ultrasound, and magnatic resonance imaging. Arch Otolaryngol Head Neck Surg 115:1027–1028

    CAS  Google Scholar 

  11. Levitt GW (1971) The surgical treatment of deep neck infections. Laryngoscope 81:403–411

    CAS  PubMed  Google Scholar 

  12. Langenbrunner DJ, Dajani S (1971) Pharyngomaxilary space abscess with carotid artery erosion. Arch Otolaryng 94;447–457

    Google Scholar 

  13. Lueg EA, Awerbuck D, Forte V (1995) Ligation of the common carotid artery for the management of a mycotic pseudoanurysm of an extracranial internal carotid artery: a case report and review of the litterature. Int J Pediatr Otorhinolaryngol 33:67–74

    Article  CAS  PubMed  Google Scholar 

  14. Meulenbroeks AAWM, Vos GD, Van Der Beek JMH, Kitslaar PJEHM (1995) An unexpected cause of upper airway obstruction. J Laryngol Otol 109:252–254

    CAS  PubMed  Google Scholar 

  15. Reisner A, Marshall GS, Bryant K, Postel GC, Eberly SM (1999) Endovascular occlusion of a carotid pseudoaneurysm complicating deep neck space infection in a child. J Neurosurg 91:510–514

    CAS  PubMed  Google Scholar 

  16. Sethi DS, Stanley RE (1991) Parapharyngeal abscesses. J Laryngol Otol 105:1025–1030

    CAS  PubMed  Google Scholar 

  17. Sethi DS, Stanley RE (1994) Deep neck abscesses—changing trends. J Laryngol Otol 108:138–143

    CAS  PubMed  Google Scholar 

  18. Sichel JY, Gomori JM, Saah D, Elidan J (1996) Parapharyngeral abscess in the children: the role of the CT scan for the diagnosis and treatment. Inter J Pediatr Otorhinolaryngol 35:213–222

    Article  CAS  Google Scholar 

  19. Sichel JY, Dano I, Hocwald E, Biron A, Eliashar R (2002) Non surgical management of parapharyngeal space infections: a prospective study Laryngoscope 112:906–910

    Google Scholar 

  20. Tom MB, Rice DH (1988) Presentation and management of neck abscess: a retrospective analysis. Laryngoscope 98:877–880

    CAS  PubMed  Google Scholar 

  21. Wills MB, Vernon RPJ (1981) Complications of neck space infections of the head and neck. Laryngoscope 91:1129–1136

    CAS  PubMed  Google Scholar 

  22. Wenig BL, Shikowitz MJ, Abramson AL (1984) Necrotizing fasciitis as a lethal complication of peritosnillar abscess. Laryngoscope 94:1576–1579

    CAS  PubMed  Google Scholar 

Download references

Author information

Affiliations

Authors

Corresponding author

Correspondence to A. Alaani.

Rights and permissions

Reprints and Permissions

About this article

Cite this article

Alaani, A., Griffiths, H., Minhas, S.S. et al. Parapharyngeal abscess: diagnosis, complications and management in adults. Eur Arch Otorhinolaryngol 262, 345–350 (2005). https://doi.org/10.1007/s00405-004-0800-6

Download citation

  • Received:

  • Accepted:

  • Published:

  • Issue Date:

  • DOI: https://doi.org/10.1007/s00405-004-0800-6

Keywords

  • Parapharyngeal abscess
  • Quinsy
  • Peritonsillar abscess
  • Tonsillitis
  • Mediastinitis