Abstract
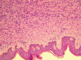
Dermatofibrosarcoma protuberans (DFSP) of the breast is a rare malignant tumor, and its preoperative diagnosis is extremely difficult. Local recurrence of DFSP is frequent after incomplete resection because of either false diagnosis or inadequate standard surgical excision. We present a case of DFSP that showed disconcordant results using different imaging modalities, suggesting that the MRI finding of subcutaneously located highly vascular tumor with suspicious kinetics but together with negative Cho peak on (1H) MRS, might be suggestive of the diagnosis of DFSP.





Abbreviations
- DFSP:
-
Dermatofibrosarcoma protuberans
- MRS:
-
MR spectroscopy
References
Chang CK, Jacobs IA, Salti GI (2004) Outcomes of surgery for dermatofibrosarcoma protuberans. Eur J Surg Oncol 30:341–345. doi:10.1016/j.ejso.2003.12.005
Gloster HM Jr, Harris KR, Roenigk RK (1996) A comparison between Mohs micrographic surgery and wide surgical excision for the treatment of dermatofibrosarcoma protuberans. J Am Acad Dermatol 35:82–87. doi:10.1016/S0190-9622(96)90597-6
Szollosi Z, Nemes Z (2005) Transformed dermatofibrosarcoma protuberans: a clinicopathological study of eight cases. J Clin Pathol 58:751–756
Stojadinovic A, Karpoff HM, Antonescu CR et al (2000) Dermatofibrosarcoma protuberans of the head and neck. Ann Surg Oncol 7:696–704. doi:10.1007/s10434-000-0696-3
Martin L, Piette F, Blanc P et al (2005) Clinical variants of the preprotuberant stage of dermatofibrosarcoma protuberans. Br J Dermatol 153:932–936
Bowne WB, Antonescu CR, Leung DH et al (2000) Dermatofibrosarcoma protuberans: a clinicopathologic analysis of patients treated and followed at a single institution. Cancer 88:2711–2720. doi:10.1002/1097-0142(20000615)88:12<2711::AID-CNCR9>3.0.CO;2-M
Shin YR, Kim JY, Sung MS, Jung JH (2008) Sonographic findings of dermatofibrosarcoma protuberans with pathologic correlation. J Ultrasound Med 27(2):269–274
Beaman FD, Kransdorf MJ, Andrews TR, Murphey MD, Arcara LK, Keeling JH (2007) Superficial soft-tissue masses: analysis, diagnosis, and differential considerations. Radiographics 27(2):509–523. doi:10.1148/rg.272065082
Negendank W (1992) Studies of human tumors by MRS: a review. NMR Biomed 5:303–324
Tse GM, Cheung HS, Pang LM, Chu WC, Law BK, Kung FY, Yeung DK (2003) Characterization of lesions of the breast with proton MR spectroscopy: comparison of carcinomas, benign lesions, and phylloides tumors. AJR Am J Roentgenol 181(5):1267–1272
Tse GM, Yeung DK, King AD, Cheung HS, Yang WT (2007) In vivo proton magnetic resonance spectroscopy of breast lesions: an update. Breast Cancer Res Treat 104(3):249–255
McArthur G (2007) Dermatofibrosarcoma Protuberans: Recent Clinical Progress. Ann Surg Oncol 14(10):2876–2886
Ramakrishnan VSA, Ehrlich M, Powell S, Lucci A Jr (2005) Atypical dermatofibrosarcoma protuberans in the breast. Breast J 11:217–218
Suit H, Spiro I, Mankin HJ, Efird J, Rosenberg AE (1996) Radiation in management of patients with dermatofibrosarcoma protuberans. J Clin Oncol 14:2365–2369
Ballo MT, Zagars GK, Pisters P, Pollack A (1998) The role of radiation therapy in the management of dermatofibrosarcoma protuberans. Int J Radiat Oncol Biol Phys 40:823–827
National Comprehensive Cancer Network. Clinical practice guidelines in oncology. Dermatofibrosarcoma protuberans. Version 1.2006. Available at http://www.nccn.org/professionals/physicians_gls/PDF/dfsp.pdf. Accessed July 27, 2006
Conflict of interest statement
None.
Author information
Authors and Affiliations
Corresponding author
Rights and permissions
About this article
Cite this article
Djilas-Ivanovic, D., Prvulovic, N., Bogdanovic-Stojanovic, D. et al. Dermatofibrosarcoma protuberans of the breast: mammographic, ultrasound, MRI and MRS features. Arch Gynecol Obstet 280, 827–830 (2009). https://doi.org/10.1007/s00404-009-1004-5
Received:
Accepted:
Published:
Issue Date:
DOI: https://doi.org/10.1007/s00404-009-1004-5