Skip to main content

Primary ovarian adenomyoma in a woman with endometrial polyp: a case report and review of the literature

Abstract

Background

An adenomyoma presenting outside the uterus is an extremely rare entity and only three cases of primary ovarian adenomyoma have been reported up to date.

Case report

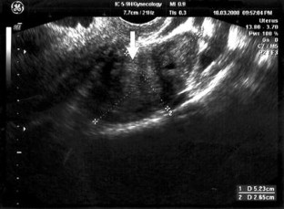
We report the fourth case of ovarian adenomyoma in a 45-year-old woman with an endometrial polyp. Transvaginal ultrasonography revealed a solitary endometrial polyp with an enlarged left ovary which appeared heterogenous with isoechoic and mildly hyperechoic pattern.

Conclusion

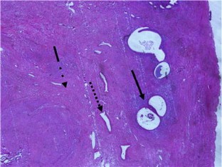
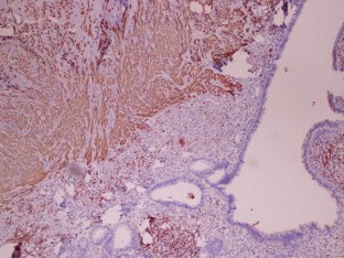
Total abdominal hysterectomy and bilateral salpingo-oopherectomy was performed and histologic examination revealed an adenomyoma arising primarily in the ovary.

This is a preview of subscription content, access via your institution.

Fig. 1
Fig. 2
Fig. 3
Fig. 4
Fig. 5
Fig. 6

References

  1. McDougal RA, Roth LM (1986) Ovarian adenomyoma associated with an endometriotic cyst. South Med J 79:640–642. doi:10.1097/00007611-198605000-00033

    PubMed  Article  CAS  Google Scholar 

  2. Bayar U, Demirtas E, Usubutun A, Basaran M, Esinler I, Yarali H (2006) Ovarian adenomyoma following gonadotrophin treatment for infertility. Reprod Biomed Online 13:676–679

    PubMed  Article  Google Scholar 

  3. Mandal S, Mahajan D, Khurana N (2008) Ovarian adenomyoma mimicking an ovarian malignancy: a case report with literature review. Int J Surg Pathol [Epub ahead of print]

  4. Nasu K, Arima K, Yoshimatsu J, Miyakawa I (1997) Adenomyomatous polyp of the uterus in a patient receiving tamoxifen. Jpn J Clin Oncol 27:350–352. doi:10.1093/jjco/27.5.350

    PubMed  Article  CAS  Google Scholar 

  5. Cohen I, Beyth Y, Tepper R, Figer A, Shapira J, Cordoba M et al (1995) Adenomyosis in postmenopausal breast cancer patients treated with tamoxifen: a new entity? Gynecol Oncol 58:86–91. doi:10.1006/gyno.1995.1188

    PubMed  Article  CAS  Google Scholar 

  6. Rahilly MA, al-Nafussi A (1991) Uterus-like mass of the ovary associated with endometrioid carcinoma. Histopathology 18:549–551. doi:10.1111/j.1365-2559.1991.tb01482.x

    PubMed  Article  CAS  Google Scholar 

  7. Cozzutto C (1981) Uterus-like mass replacing ovary: report of a new entity. Arch Pathol Lab Med 105:508–511

    PubMed  CAS  Google Scholar 

  8. Mitra S, Nicol A, Scott GI (1997) Uterus-like mass of the ovary. J Obstet Gynaecol 17:94–95. doi:10.1080/01443619750114284

    PubMed  Article  CAS  Google Scholar 

  9. Redman R, Wilkinson EJ, Massoll NA (2005) Uterine-like mass with features of an extrauterine adenomyoma presenting 22 years after total abdominal hysterectomy-bilateral salpingo-oophorectomy: a case report and review of the literature. Arch Pathol Lab Med 129:1041–1043

    PubMed  Google Scholar 

  10. Shutter J (2005) Uterus-like ovarian mass presenting near menarche. Int J Gynecol Pathol 24:382–384. doi:10.1097/01.pgp.0000165171.00642.d1

    PubMed  Article  Google Scholar 

  11. Rosai J (1982) Uterus-like mass replacing ovary. Arch Pathol Lab Med 106:364 (letter)

    PubMed  CAS  Google Scholar 

  12. Pueblitz-Peredo S, Luevano-Flores E, Rincon-Taracena R, Ochoa-Carrillo FJ (1985) Uterus-like mass of the ovary: endometriosis or congenital malformation. Arch Pathol Lab Med 109:361–364

    PubMed  CAS  Google Scholar 

  13. Jung W, Shin B, Kim I (2002) Uterine adenomyoma with uterus-like features. Int J Surg Pathol 10:163–166. doi:10.1177/106689690201000212

    PubMed  Article  Google Scholar 

  14. Scully RE (1981) Smooth-muscle differentiation in genital tract disorders. Arch Pathol Lab Med 105:505–507

    PubMed  CAS  Google Scholar 

  15. Fallahzadeh H, Dockerty MB, Lee RA (1972) Leiomyoma of the ovary: report of five cases and review of the literature. Am J Obstet Gynecol 113:394–398

    PubMed  CAS  Google Scholar 

  16. Sari I, Kur A, Kadanali S, Gündogdu C, Bitiren M (1995) Leiomyoma of the ovary: report of two cases and review of the literature. Acta Obstet Gynecol Scand 74:480–482. doi:10.3109/00016349509024414

    PubMed  Article  CAS  Google Scholar 

  17. Matamala MF, Nogales FF, Aneiros J, Herraiz MA, Caracuel MD (1988) Leiomyomas of the ovary. Int J Gynecol Pathol 7:190–196. doi:10.1097/00004347-198805000-00010

    PubMed  Article  CAS  Google Scholar 

  18. Güney M, Ozsoy M, Oral B, Mungan T, Kapucuoğlu N (2007) Unilateral primary ovarian leiomyoma in adolescent: a case report. Arch Gynecol Obstet 275:507–510. doi:10.1007/s00404-006-0291-3

    PubMed  Article  Google Scholar 

  19. Lim S, Jeon H (2004) Bilateral primary ovarian leiomyoma in a young woman: case report and literature review. Gynecol Oncol 95:733–735. doi:10.1016/j.ygyno.2004.07.048

    PubMed  Article  Google Scholar 

  20. San Marco L, Londero F, Stefanutti V, Costa L, Rocco M (1991) Ovarian leiomyoma. Case report. Clin Exp Obstet Gynecol 18:145–148

    PubMed  CAS  Google Scholar 

  21. Kobayashi Y, Murakami R, Sugizaki K, Yamamoto K, Sasaki S, Tajima N, Tajima H, Onda M, Kumazaki T (1998) Primary leiomyoma of the ovary: a case report. Eur Radiol 8:1444–1446. doi:10.1007/s003300050571

    PubMed  Article  CAS  Google Scholar 

  22. Kawano Y, Takai N, Shimano M, Nasu K, Miyakawa I (2006) Magnetic resonance imaging findings in leiomyoma of the ovary: a case report. Arch Gynecol Obstet 273:298–300. doi:10.1007/s00404-005-0085-z

    PubMed  Article  Google Scholar 

  23. Ozcimen EE, Oktem M, Zeyneloglu HB, Ozdemir BH, Kuscu EP (2006) Primary leiomyoma of the ovary in a young woman: literature review and report of a case. Eur J Gynaecol Oncol 27:310–312

    PubMed  CAS  Google Scholar 

  24. Lastarria D, Sachdev RK, Babury RA, Yu HM, Nuovo GJ (1990) Immunohistochemical analysis for desmin in normal and neoplastic ovarian stromal tissue. Arch Pathol Lab Med 114:502–505

    PubMed  CAS  Google Scholar 

  25. Thamboo TP, Lee YS (2003) Pseudocystic leiomyoma of the ovary: a case report and literature review. Pathology 35:534–535. doi:10.1080/00313020310001619217

    PubMed  Article  Google Scholar 

Download references

Conflict of interest statement

None.

Author information

Affiliations

Authors

Corresponding author

Correspondence to Olus Api.

Rights and permissions

Reprints and Permissions

About this article

Cite this article

Api, O., Ergen, B., Gul, A.E. et al. Primary ovarian adenomyoma in a woman with endometrial polyp: a case report and review of the literature. Arch Gynecol Obstet 280, 445–448 (2009). https://doi.org/10.1007/s00404-008-0913-z

Download citation

  • Received:

  • Accepted:

  • Published:

  • Issue Date:

  • DOI: https://doi.org/10.1007/s00404-008-0913-z

Keywords

  • Ovarian tumor
  • Ovarian adenomyoma
  • Immunuhistochemistry
  • Differential diagnosis
  • Sex-cord stromal tumor