Skip to main content

Abnormal aquaporin-3 protein expression in hyperproliferative skin disorders

Abstract

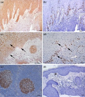
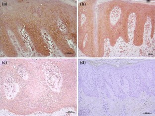
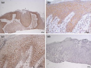
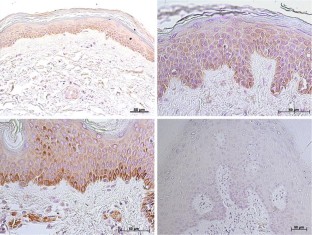
Non-melanoma skin cancers (NMSCs) and psoriasis represent common hyperproliferative skin disorders, with approximately one million new NMSC diagnoses each year in the United States alone and a psoriasis prevalence of about 2% worldwide. We recently demonstrated that the glycerol channel, aquaporin-3 (AQP3) and the enzyme phospholipase D2 (PLD2) interact functionally in epidermal keratinocytes of the skin to inhibit their proliferation. However, others have suggested that AQP3 is pro-proliferative in keratinocytes and is upregulated in the NMSC, squamous cell carcinoma (SCC). To evaluate the AQP3/PLD2 signaling module in skin diseases, we determined their levels in SCC, basal cell carcinoma (BCC) and psoriasis as compared to normal epidermis. Skin biopsies with the appropriate diagnoses (10 normal, 5 SCC, 13 BCC and 10 plaque psoriasis samples) were obtained from the pathology archives and examined by immunohistochemistry using antibodies recognizing AQP3 and PLD2. In normal epidermis AQP3, an integral membrane protein, was localized mainly to the plasma membrane and PLD2 to the cell periphery, particularly in suprabasal layers. In BCC, AQP3 and PLD2 levels were reduced as compared to the normal-appearing overlying epidermis. In SCC, AQP3 staining was “patchy,” with areas of reduced AQP3 immunoreactivity exhibiting positivity for Ki67, a marker of proliferation. PLD2 staining was unchanged in SCC. In psoriasis, AQP3 staining was usually observed in the cytoplasm rather than in the membrane. Also, in the majority of psoriatic samples, PLD2 showed weak immunoreactivity or aberrant localization. These results suggest that abnormalities in the AQP3/PLD2 signaling module correlate with hyperproliferation in psoriasis and the NMSCs.

This is a preview of subscription content, access via your institution.

Fig. 1
Fig. 2
Fig. 3
Fig. 4
Fig. 5
Fig. 6
Fig. 7
Fig. 8

References

  1. Bikle DD, Pillai S (1993) Vitamin D, calcium and epidermal differentiation. Endocr Rev 14:3–19

    CAS  Google Scholar 

  2. Bikle DD (2004) Vitamin D and skin cancer. J Nutr 134:3472S–3478S

    PubMed  CAS  Google Scholar 

  3. Bollag WB, Dodd ME, Shapiro BA (2004) Protein kinase D and keratinocyte proliferation. Drug News Persp 17:117–126

    Article  CAS  Google Scholar 

  4. Bollag WB, Zheng X (2005) Phospholipase D and keratinocyte biology. In: Robinson JW (ed) Trends in protein research. Nova Science Publishers Inc., New York, pp 79–118

    Google Scholar 

  5. Bollag WB, Xie D, Zhong X, Zheng X (2007) A potential role for the phospholipase D2-aquaporin-3 signaling module in early keratinocyte differentiation: production of a novel phosphatidylglycerol lipid signal. J Invest Dermatol 127:2823–2831

    PubMed  Article  CAS  Google Scholar 

  6. Boury-Jamot M, Sougrat R, Tailhardat M, Le Varlet B, Bonte F, Dumas M, Verbavatz J-M (2006) Expression and function of aquaporins in human skin. Is aquaporin-3 just a glycerol transporter? Biochim Biophys Acta 1758:1034–1042

    PubMed  Article  CAS  Google Scholar 

  7. Fluhr JW, Gloor M, Lehmann L, Lazzerinin S, Distante F, Berardesca E (1999) Glycerol accelerates recovery of barrier function in vivo. Acta Derm Venereol 79:418–421

    PubMed  Article  CAS  Google Scholar 

  8. Fluhr JW, Darlenski R, Surber C (2008) Glycerol and the skin: holistic approach to its origin and function. Br J Dermatol 159:23–34

    PubMed  Article  CAS  Google Scholar 

  9. Ghoreschi K, Weigert C, Röcken M (2007) Immunopathogenesis and role of T cells in psoriasis. Clin Dermatol 25:574–580

    PubMed  Article  Google Scholar 

  10. Griffiths CEM, Christophers E, Barker JNWN, Chalmers RJG, Chimenti S, Krueger GG, Leonardi C, Menter A, Ortonne J-P, Fry L (2007) A classification of psoriasis vulgaris according to phenotype. Br J Dermatol 156:258–262

    PubMed  Article  CAS  Google Scholar 

  11. Gudjonsson JE, Johnston A, Sigmundsdottir H, Valdimarsson H (2004) Immunopathogenic mechanisms in psoriasis. Clin Exp Immunol 135:1–8

    PubMed  Article  CAS  Google Scholar 

  12. Gudjonsson JE, Johnston A, Dyson M, Valdimarsson H, Elder JT (2007) Mouse models of psoriasis. J Invest Dermatol 127:1292–1308

    PubMed  Article  CAS  Google Scholar 

  13. Hara M, Ma T, Verkman AS (2002) Selectively reduced glycerol in skin of aquaporin-3 deficient mice may account for impaired skin hydration, elasticity and barrier recovery. J Biol Chem 277:46616–46621

    PubMed  Article  CAS  Google Scholar 

  14. Hara M, Verkman AS (2003) Glycerol replacement corrects defective skin hydration, elasticity, and barrier function in aquaporin-3-deficient mice. Proc Natl Acad Sci USA 100:7360–7365

    PubMed  Article  CAS  Google Scholar 

  15. Hara-Chikuma M, Verkman AS (2008) Aquaporin-3 facilitates epidermal cell migration and proliferation during wound healing. J Mol Med 86:221–231

    PubMed  Article  CAS  Google Scholar 

  16. Hara-Chikuma M, Verkman AS (2008) Roles of aquaporin-3 in the epidermis. J Invest Dermatol 128:2145–2151

    PubMed  Article  CAS  Google Scholar 

  17. Hara-Chikuma M, Verkman AS (2008) Prevention of skin tumorigenesis and impairment of epidermal cell proliferation by epidermal cell proliferation by targeted aquaporin-3 gene disruption. Mol Cell Biol 28:326–332

    PubMed  Article  CAS  Google Scholar 

  18. Kang DW, Park MH, Lee YJ, Kim HS, Kwon TK, Park W-S, Min DS (2008) Phorbol ester up-regulates phospholipase D1 but not phospholipase D2 expression through a PKC/Ras/ERK/NFkB-dependent pathway and enhances matrix metalloproteinase-9 secretion in colon cancer cells. J Biol Chem 283:4094–4104

    PubMed  Article  CAS  Google Scholar 

  19. Kim H, Lee J, Kim S, Shin MK, Mindo S, Shin T (2007) Differential expression of phospholipases D1 and D2 in mouse tissues. Cell Biol Int 31:148–155

    PubMed  Article  Google Scholar 

  20. Kim N-H, Lee A-Y (2010) Reduced aquaporin3 expression and survival of keratinocytes in the depigmented epidermis of vitiligo. J Invest Dermatol 130:2231–2239

    PubMed  Article  CAS  Google Scholar 

  21. Matsuzaki T, Suzuki T, Koyama H, Tanaka S, Takata K (1999) Water channel protein AQP3 is present in epithelia exposed to the environment of possible water loss. J Histochem Cytochem 47:1275–1286

    PubMed  Article  CAS  Google Scholar 

  22. Miller DL, Weinstock MA (1994) Nonmelanoma skin cancer in the United States: incidence. J Am Acad Dermatol 30:774–778

    PubMed  Article  CAS  Google Scholar 

  23. Nakahigashi K, Kabashima K, Ikoma A, Verkman AS, Miyachi Y, Hara-Chikuma M (2010) Upregulation of aquaporin-3 is involved in keratinocyte proliferation and epidermal hyperplasia. J Invest Dermatol (e-pub ahead of print)

  24. Olsson M, Broberg A, Jernas M, Carlsson L, Rudemo M, Suurküla M, Svensson P-A, Benson M (2006) Increased expression of aquaporin 3 in atopic eczema. Allergy 61:1132–1137

    PubMed  Article  CAS  Google Scholar 

  25. Perkins W, Campbell I, Leigh IM, MaKie RM (1992) Keratin expression in normal skin and epidermal neoplasms demonstrated by a panel of monoclonal antibodies. J Cutan Pathol 19:476–482

    PubMed  Article  CAS  Google Scholar 

  26. Qin H, Zheng X, Zhong X, Satyaprakash A, Elias PM, Bollag WB (2011) Aquaporin-3 in keratinocytes and skin: Its role and interaction with phospholipase D2. Arch Biochem Biophys (e-pub ahead of print)

  27. Sato K, Kobayashi K, Aida S, Tamai S (2004) Bronchiolar expression of aquaporin-3 (AQP3) in rat lung and its dynamics in pulmonary oedema. Pflugers Arch 449:106–114

    PubMed  Article  CAS  Google Scholar 

  28. Silberstein C, Kierbel A, Amodeo G, Zotta E, Bigi F, Berkowski D, Inbarram C (1999) Functional characterization and localization of AQP3 in the human colon. Braz J Med Biol Res 32:1303–1313

    PubMed  Article  CAS  Google Scholar 

  29. Sougrat R, Morand M, Gondran C, Barre P, Gobin R, Bonte F, Dumas M, Verbavatz JM (2002) Functional expression of AQP3 in human skin epidermis and reconstructed epidermis. J Invest Dermatol 118:678–685

    PubMed  Article  CAS  Google Scholar 

  30. Stoler A, Kopan R, Duvic M, Fuchs E (1988) Use of monospecific antisera and cRNA probes to localize the major changes in keratin expression during normal and abnormal epidermal differentiation. J Cell Biol 107:427–446

    PubMed  Article  CAS  Google Scholar 

  31. Tanaka M, Inase N, Fushimi K, Ishibashi K, Ichioka M, Sasaki S, Marumo F (1997) Induction of aquaporin 3 by corticosteroid in a human airway epithelial cell line. Am J Physiol 273:L1090–L1095

    PubMed  CAS  Google Scholar 

  32. Tonel G, Conrad C (2008) Interplay between keratinocytes and immune cells—recent insights into psoriasis pathogenesis. Int J Biochem Cell Biol 41:963–968

    PubMed  Article  Google Scholar 

  33. Wang L, Cummings R, Zhao Y, Kazlauskas A, Sham JK, Morris A, Georas S, Brindley DN, Natarajan V (2003) Involvement of phospholipase D2 in lysophosphatidate-induced transactivation of platelet-derived growth factor receptor-beta in human bronchial epithelial cells. J Biol Chem 278:39931–39940

    PubMed  Article  CAS  Google Scholar 

  34. Yang B, Verkman AS (1997) Water and glycerol permeabilities of aquaporins 1–5 and MIP determined quantitatively by expression of epitope-tagged constructs in Xenopus oocytes. J Biol Chem 272:16140–16146

    PubMed  Article  CAS  Google Scholar 

  35. Zelenina M, Bondar AA, Zelenin S, Aperia A (2003) Nickel and extracellular acidification inhibit the water permeability of human aquaporin-3 in lung epithelial cells. J Biol Chem 278:30037–30043

    PubMed  Article  CAS  Google Scholar 

  36. Zenz R, Efer R, Kenner L, Florin L, Hummerich L, Mehic D, Scheuch H, Angel P, Tschachler E, Wagner EF (2005) Psoriasis-like skin disease and arthritis caused by inducible epidermal deletion of Jun proteins. Nature 437:369–375

    PubMed  Article  CAS  Google Scholar 

  37. Zheng X, Bollag WB (2003) Aquaporin 3 colocates with phospholipase D2 in caveolin-rich membrane microdomains and is regulated by keratinocyte differentiation. J Invest Dermatol 121:1487–1495

    PubMed  Article  CAS  Google Scholar 

  38. Zheng X, Ray S, Bollag WB (2003) Modulation of phospholipase D-mediated phosphatidylglycerol formation by differentiating agents in primary mouse epidermal keratinocytes. Biochim Biophys Acta 1643:25–36

    PubMed  Article  CAS  Google Scholar 

Download references

Acknowledgments

This project was supported in part by a grant from the National Institutes of Health/National Institute of Arthritis, Musculoskeletal and Skin Diseases #AR45212. The authors thank Kimberly Smith and Doris Cawley in Georgia Research Pathology Services for preparing the sections and performing the Ki67 immunohistochemistry and the Medical College of Georgia Histology Core Facility for assistance with immunohistochemistry.

Conflict of interest

The authors declare that there are no conflicts of interest.

Author information

Affiliations

Authors

Corresponding author

Correspondence to Wendy B. Bollag.

Rights and permissions

Reprints and Permissions

About this article

Cite this article

Voss, K.E., Bollag, R.J., Fussell, N. et al. Abnormal aquaporin-3 protein expression in hyperproliferative skin disorders. Arch Dermatol Res 303, 591–600 (2011). https://doi.org/10.1007/s00403-011-1136-x

Download citation

  • Received:

  • Revised:

  • Accepted:

  • Published:

  • Issue Date:

  • DOI: https://doi.org/10.1007/s00403-011-1136-x

Keywords

  • Aquaporin-3
  • Basal cell carcinoma
  • Epidermis
  • Keratinocytes
  • Phospholipase D2
  • Skin
  • Skin cancer
  • Squamous cell carcinoma