Skip to main content

Establishment of ponasterone A-inducible the wild-type p53 protein-expressing clones from HSC-1 cells, cell growth suppression by p53 expression and the suppression mechanism

Abstract

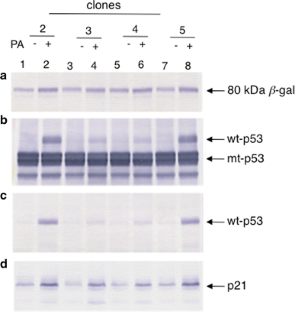
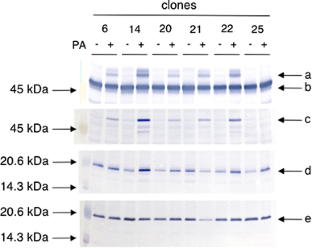
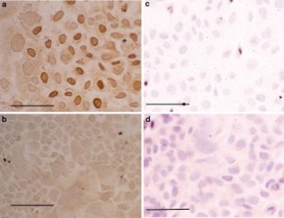
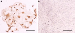
Gene therapy for a variety of human cancers containing the mutant p53 (mt-p53) gene has been performed by direct injection of a retroviral or adenoviral vector containing the wild-type p53 (wt-p53) gene. Because many individuals with skin squamous cell carcinoma (SCC) have been shown to carry the p53 gene mutation, these patients are candidates for p53 gene therapy. For this reason, we established ponasterone A-inducible the wild-type p53 (wt-p53) protein-expressing clones by transfecting a ponasterone-inducible vector containing the wt-p53 gene into HSC-1 cells, which harbor the mutated p53 m/w at codon 173 (GTG → TTG in one allele). Upon the induction of the wt-p53 protein, severe growth suppression was observed. Based on the results of the expression patterns of the p21, p16, RB, BAX and Bcl-2 proteins, as well as on the results of senescence-associated β-galactosidase staining, the suppression was caused by senescence-like growth arrest of the cells. Although it is generally accepted that the suppression of tumor cell growth is caused by p53-induced apoptosis, permanent G1 arrest induced by p53 is also an important part of the growth-suppression mechanism in p53 gene therapy. The present results should expand the possibilities for p53 gene therapy for human skin SCCs containing the mutant p53 gene.

This is a preview of subscription content, access via your institution.

Fig. 1
Fig. 2
Fig. 3
Fig. 4
Fig. 5
Fig. 6
Fig. 7
Fig. 8
Fig. 9
Fig. 10
Fig. 11

References

  1. Albanese C, Reutens AT, Bouzahzah B, Fu M, D’ amico M, Link T, Nicholson R, Depinho RA, Pestell RG (2000) Sustained mammary grand-directed, Ponasterone A-inducible expression in transgenic mice. FASEB 14:877–884

    CAS  Google Scholar 

  2. Arrowsmith CH, Morin P (1996) New insights into p53 function from structural studies. Oncogene 12:1379–1385

    PubMed  CAS  Google Scholar 

  3. Baker SJ, Fearon ER, Nigro JM, Hamilton SR, Preisinger AC, Jessup JM, vanTuinen P, Ledbetter DH, Baker DF, Nakamura Y, White R, Vogelstein B (1989) Chromosome 17 deletions and p53 gene mutations in colorectal carcinomas. Science 244:217–221

    PubMed  Article  CAS  Google Scholar 

  4. Baker SJ, Markowwitz S, Fearon ER, Willson JKV, Vogelstein B (1990) Suppression of human colorectal carcinoma cell growth by wild-type p53. Science 249:912–915

    PubMed  Article  CAS  Google Scholar 

  5. Brash DE, Rudolph JA, Simon JA, Lin A, McKenna GJ, Baden HP, Halperin AJ, Ponten J (1991) A role for sunlight in skin cancer: UV-induced p53 mutations in squamous cell carcinoma. Proc Natl Acad Sci USA 88:10124–10128

    PubMed  Article  CAS  Google Scholar 

  6. Cai DW, Mukhopadhyay T, Liu Y, Fujiwara T, Roth J (1993) Stable expression of the wildtype p53 gene in human lung cancer cells after retrovirus-mediated gene transfer. Hum Gene Ther 4:617–624

    PubMed  Article  CAS  Google Scholar 

  7. Campbell C, Quinn AG, Ro YS, Angus B, Rees JL (1993) p53 mutations are common and early events that precede tumor invasion in squamous cell neoplasia of the skin. J Invest Dermatol 100:746–748

    PubMed  Article  CAS  Google Scholar 

  8. Chang BD, Swift ME, Shen M, Fang J, Broude EV, Roninson IB (2002) Molecular determinants of terminal growth arrest induced in tumor cells by a chemotherapeutic agent. Proc Natl Acad Sci USA 99:389–394

    PubMed  Article  CAS  Google Scholar 

  9. Chiou SK, Rao L, White E (1994) Bcl-2 blocks p53-dependent apoptosis. Mol Cell Biol 14:2556–2563

    PubMed  Google Scholar 

  10. Cristofanilli M, Krishnamurthy S, Guerra L, Broglio K, Arun B, Booser DJ, Menander K, van Wort Hood J, Valero V, Hortobagyi GN (2006) A nonreplicating adenoviral vector that contains the wild-type p53 transgene combined with chemotherapy for primary breast cancer. Cancer 107:935–944

    PubMed  Article  CAS  Google Scholar 

  11. Dimri GP, Lee X, Basile G, Acosta M, Scott G, Roskelley C, Medrano EE, Linskens M, Rubelj I, Pereira-Smith O, Peacocke M (1995) A biomarker that identifies senescent human cells in culture and in aging skin in vivo. Proc Natl Acad Sci USA 92:9363–9367

    PubMed  Article  CAS  Google Scholar 

  12. Dimri GP (2005) What has senescence got to do with cancer? Cancer Cell 7:505–512

    PubMed  Article  CAS  Google Scholar 

  13. El-Deiry WS, Tokino T, Velculescu VE, Levy DB, Parsons R, Trent JM, Lin D, Mercer WE, Kinzler KW, Vogelstein B (1993) WAF 1, a potential mediator of p53 tumor suppression. Cell 75:815–825

    Article  Google Scholar 

  14. Finlay CA, Hinds PW, Tan TH, Eliyahu D, Oren M, Levine AJ (1988) Activating mutations for transformation by p53 produce a gene product that forms an mutation for transformation by produce a gene product that forms an hsc70–p53 complex with an altered half-life. Mol Cell Biol 8:531–539

    PubMed  CAS  Google Scholar 

  15. Fritsche M, Haessler C, Brandner G (1993) Induction of nuclear accumulation of the tumor suppresser protein p53 by DNA-damaging agents. Oncogene 8:307–318

    PubMed  CAS  Google Scholar 

  16. Fujiwara T, Grimm EA, Mukhopadhyay T, Cai DW, Owen-Schaub LB, Roth JA (1993) A retroviral wild-type p53 expression vector penetrates human lung cancer spheroids and inhibits growth by inducing apoptosis. Cancer Res 53:4129–4133

    PubMed  CAS  Google Scholar 

  17. Fujiwara T, Grimm EA, Mukhopadhyay T, Zhang WW, Owen-Schaub LB, Roth JA (1994) Induction of chemosensitivity in human lung cancer cell in vivo by adenovirus-mediated transfer of the wild-type p53 gene. Cancer Res 54:2287–2291

    PubMed  CAS  Google Scholar 

  18. Gallmeier E, Winter JM, Cunningham SC, Kahn SR, Kern SE (2005) Novel genotoxicity assays identify norethindrone to activate p53 and phosphorylate H2AX. Carcinogenesis 26:1811–1820

    PubMed  Article  CAS  Google Scholar 

  19. Godar DE, Lucas AD (1995) Spectral dependence of UV-induced immediate and delayed apoptosis: the role of membrane and DNA damage. Photochem Photobiol 62:108–113

    PubMed  Article  CAS  Google Scholar 

  20. Hainaut P, Hernandez T, Robinson A, Rodriguez-Tome P, Flores T, Hollstein M, Harris CC, Montesano R (1998) IARC database of p53 mutations in human tumors and cell lines: updated compilation, revised formats and new visualization tools. Nucleic Acids Res 26:205–213

    PubMed  Article  CAS  Google Scholar 

  21. Halevy O, Hall A, Oren M (1989) Stabilization of p53 transformation-related protein in mouse fibrosarcoma cell lines: effects of protein sequence and intracellular environment. Mol Cell Biol 9:3385–3392

    PubMed  CAS  Google Scholar 

  22. Harper JW, Adami GR, Wei N, Keyomarsi K, Elledge S (1993) The p21 Cdk-interacting protein Cipl is a potent inhibitor of G1 cyclin-dependent kinase. Cell 75:805–816

    PubMed  Article  CAS  Google Scholar 

  23. Harris CC (1996) Structure and function of the p53 tumor suppressor gene: clues for rational cancer therapeutic strategies. J Natl Cancer Inst 88:1442–1455

    PubMed  Article  CAS  Google Scholar 

  24. Hollstein M, Rice K, Greenblatt MS, Soussi T, Fuchs R, Sorlie T, Hovig E, Smith-Sorensen B, Montesano R, Harris CC (1994) Database of p53 gene somatic mutations in human tumors and cell lines. Nucleic Acids Res 22:3551–3555

    PubMed  CAS  Google Scholar 

  25. Kamijo T, Zindy F, Roussel MF, Quelle DE, Downing JR, Ashmun RA, Grosveld G, Sherr CJ (1997) Tumor suppression at mouse INK4a locus mediated by alternative reading frame product p19 ARE. Cell 91:649–659

    PubMed  Article  CAS  Google Scholar 

  26. Kondo S, Aso K (1981) Establishment of a cell line of human skin squamous cell carcinoma in vitro. Br J Dermatol 105:125–132

    PubMed  Article  CAS  Google Scholar 

  27. Lane DP (1992) p53, guardian of the genome. Nature 358:15–16

    PubMed  Article  CAS  Google Scholar 

  28. Levine AJ (1997) p53, the cellular gate keeper for growth and division. Cell 88:323–331

    PubMed  Article  CAS  Google Scholar 

  29. Lowe SW, Cepero E, Evan G (2004) Intrinsic tumour suppression. Nature 432:307–315

    PubMed  Article  CAS  Google Scholar 

  30. Moon C, Oh Y, Roth JA (2003) Current status of gene therapy for lung cancer and head and neck cancer. Clin Cancer Res 9:5055–5067

    PubMed  CAS  Google Scholar 

  31. Monti P, Campomenosi P, Ciribilli Y, Iannone R, Inga A, Abbondandolo A, Resnick MA, Fronza G (2002) Tumour p53 mutation exhibit promoter selective dominance over wild type p53. Oncogene 21:1641–1648

    PubMed  Article  CAS  Google Scholar 

  32. Nigro JM, Baker SJ, Preisinger ACJessup JM, Hostetter R, Cleary K, Bigner SH, Davidson N, Baylin S, Devilee P (1989) Mutations in the p53 gene occur in diverse human tumour types. Nature 342:705–708

    PubMed  Article  CAS  Google Scholar 

  33. No D, Yao TP, Evans RM (1996) Ecdysone-inducible gene expression in mammalian cells and transgenic mice. Proc Natl Acad Sci USA 93:3346–3351

    PubMed  Article  CAS  Google Scholar 

  34. Okada H, Mak TW (2004) Pathways of apoptosis and non-apoptotic death in tumour cells. Nat Rev Cancer 4:592–603

    PubMed  Article  CAS  Google Scholar 

  35. Quelle DE, Cheng M, Ashmun RA, Sherr CJ (1997) Cancer-associated mutations at the INK4a locus cancel cell arrest by p16INK4a but not by the alternative reading frame protein p19ARE. Proc Natl Acad Sci USA 94:669–673

    PubMed  Article  CAS  Google Scholar 

  36. Riley T, Sontag E, Chen P, Levine A (2008) Transcriptional control of human p53-regulated genes. Nat Rev Mol Cell Biol 9:402–412

    PubMed  Article  CAS  Google Scholar 

  37. Rodier F, Campisi J, Bhaumik D (2007) Two faces of p53: aging and tumor suppression. Nucleic Acid Res 35:7475–7484

    PubMed  Article  CAS  Google Scholar 

  38. Rogakou EP, Nieves-Neira W, Boon C, Pommier Y, Bonner WM (2000) Initiation of DNA fragmentation during apoptosis induces phosphorylation of H2AX histone at serine 139. J Biol Chem 275:9390–9395

    PubMed  Article  CAS  Google Scholar 

  39. Roninson IB (2003) Tumor cell senescence in cancer treatment. Cancer Res 63:2705–2715

    PubMed  CAS  Google Scholar 

  40. Roth JA, Nguyen D, Lawrence DD, Kemp BL, Carrasco CH, Ferson DZ, Hong WK, Komaki R, Lee JJ, Nesbitt JC, Pisters KM, Putnam JB, Schea R, Shin DM, Walsh GL, Dolormente MM, Han CI, Martin FD, Yen N, Xu K, Stephens LC, McDonnell TJ, Mukhopadhyay T, Cai D (1996) Retrovirus-mediated wild-type p53 gene transfer to tumors of patients with lung cancer. Nat Med 2:985–991

    PubMed  Article  CAS  Google Scholar 

  41. Sanger F, Nicklen S, Coulson AR (1977) DNA sequencing with chain-terminating inhibitors. Proc Natl Acad Sci USA 74:5463–5467

    PubMed  Article  CAS  Google Scholar 

  42. Serrano M, Hannon GJ, Beach D (1993) A new regulatory motif in cell-cycle control causing specific inhibition of cyclin D/CDK4. Nature 366:704–707

    PubMed  Article  CAS  Google Scholar 

  43. Shaw P, Bovey R, Tardy S, Sahli R, Sordat B, Costa J (1992) Induction of apoptosis by wild-type p53 in a human colon tumor-derived cell line. Proc Natl Acad Sci USA 89:4495–4499

    PubMed  Article  CAS  Google Scholar 

  44. Shay JW, Roninson IB (2004) Hallmarks of senescence in carcinogenesis and cancer therapy. Oncogene 23:2919–2933

    PubMed  Article  CAS  Google Scholar 

  45. Shimada H, Matsubara H, Shiratori T, Shimizu T, Miyazaki S, Oakazumi S, Nabeya Y, Shuto K, Hayashi H, Tanizawa T, Nakatani Y, Nakasa H, Kitada M, Ochiai T (2006) Phase I/II adenoviral p53 gene therapy for chemoradiation resistant advanced esophageal squamous cell carcinoma. Cancer Sci 97:554–561

    PubMed  Article  CAS  Google Scholar 

  46. Slebos RJ, Lee MH, Plunkett BS, Kessis TD, Williams BO, Jacks T, Hedrick L, Kastan MB, Cho KR (1994) p53-dependent G1 arrest involves pRB-related protein and is disrupted by the human papilloma virus 16E7 oncoprotein. Proc Natl Acad Sci USA 91:5320–5324

    PubMed  Article  CAS  Google Scholar 

  47. Spitz FR, Nguyen D, Skibber M, Meyn RE, Cristiano RJ, Roth JA (1996) Adenoviral-mediated wild-type p53 gene expression sensitizes colorectar cancer cells to ionizing radiation. Clin Cancer Res 2:1665–1671

    PubMed  CAS  Google Scholar 

  48. Suzuki K, Mori I, Nakayama Y, Miyakoda M, Kodama S, Watanabe M (2001) Radiation-induced senescence-like growth arrest requires TP53 function but not telomere shortening. Radiat Res 155:248–253

    PubMed  Article  CAS  Google Scholar 

  49. Suzuki M, Boothman DA (2008) Stress-induced premature senescence (SIPS)-influence of SIPS on radiotherapy. J Radiat Res 49(2):105–112

    PubMed  Article  Google Scholar 

  50. Ternovoi V, Curiel DT, Smith BF, Siegel GP (2006) Adenovirus-mediated p53 tumor suppressor gene therapy of osteosarcoma. Lab Invest 86:748–766

    PubMed  CAS  Google Scholar 

  51. Wang Y, Schulte BA, Zhou D (2006) Hematopoietic stem cell senescence and long-term bone marrow injury. Cell Cycle 5:35–38

    PubMed  CAS  Google Scholar 

  52. Willis A, Jung EJ, Wakefield T, Chen X (2004) Mutant p53 exerts a dominant negative effect by preventing wild-type p53 from binding to the promoter of it target genes. Oncogene 23:2330–2338

    PubMed  Article  CAS  Google Scholar 

  53. Yao TP, Segraves WA, Oro AE, McKeown M, Evans RI (1992) Drosophia ultraspiracle modulates ecdysone receptor function via heterodimer formalin. Cell 71:63–72

    PubMed  Article  CAS  Google Scholar 

  54. Yao TP, Forman BM, Jiang Z, Cherbas L, Chen JD, McKeown M, Cherbas P, Evans RM (1993) Functional ecdysone receptor is the product of EcR and ultraspiracle genes. Nature 366:476–479

    PubMed  Article  CAS  Google Scholar 

  55. Ziegler A, Jonason AS, Leffell DJ, Simon JA, Sharma HW, Kimmelman J, Remington L, Jacks T, Brash DE (1994) Sunburn and p53 in the onset of skin cancer. Nature 372:773–776

    PubMed  Article  CAS  Google Scholar 

Download references

Author information

Affiliations

Authors

Corresponding author

Correspondence to Makoto Hori.

Rights and permissions

Reprints and Permissions

About this article

Cite this article

Hori, M., Suzuki, K., Udono, M.U. et al. Establishment of ponasterone A-inducible the wild-type p53 protein-expressing clones from HSC-1 cells, cell growth suppression by p53 expression and the suppression mechanism. Arch Dermatol Res 301, 631–646 (2009). https://doi.org/10.1007/s00403-008-0915-5

Download citation

  • Received:

  • Revised:

  • Accepted:

  • Published:

  • Issue Date:

  • DOI: https://doi.org/10.1007/s00403-008-0915-5

Keywords

  • p53
  • Gene therapy
  • Apoptosis
  • Senescence-like growth arrest
  • SCC