Skip to main content

Neutrophils infiltrating ultraviolet B-irradiated normal human skin display high IL-10 expression

Abstract

Exposure to an erythemal dose of ultraviolet B (UVB) is known to induce interleukin (IL-10) expression in human skin. It is generally believed that this IL-10 is predominantly expressed by CD11b+HLA-DR+ macrophages that infiltrate the UVB-exposed skin. This cytokine is presumed to contribute to the immunosuppressive effects of UVB by inhibiting cell-mediated immune responses. We recently demonstrated that neutrophils, which also invade UVB-irradiated skin, express CD11b and HLA-DR as well. In addition, we showed that the presence of these neutrophils affects T-cell responses in primary T-cell cultures derived from UVB-exposed skin. Since neutrophils invade UVB-exposed skin and, like macrophages, express CD11b and HLA-DR, we sought to determine whether neutrophils represent another source of IL-10. Skin biopsies were obtained from four healthy volunteers before and 2 days after exposure to four minimal erythema doses of UVB. A series of immunohistochemical double-staining procedures using the following markers was performed: IL-10, CD11b, HLA-DR, CD36, neutrophil elastase, and CD66b. As expected IL-10 could be detected in CD11b+HLA-DR+CD36+ macrophages in the epidermis and dermis of UVB-exposed skin. Surprisingly, the majority of the abundant IL-10 expression was found in CD11b+HLA-DR+elastase+CD66b+ neutrophils. Cytospin preparations from dermal cell suspensions confirmed the IL-10 expression by neutrophils displaying characteristic multilobular nuclei. Thus, neutrophils in UVB-exposed skin express IL-10 and should be recognized as active coplayers in the creation of the UVB-induced immunosuppressive microenvironment.

This is a preview of subscription content, access via your institution.

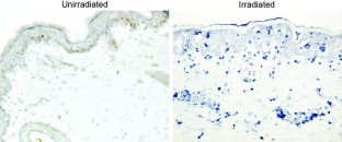
Fig. 1
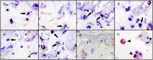
Fig. 2a–g

References

  1. Duthie MS, Kimber I, Norval M (1999) The effects of ultraviolet radiation on the human immune system. Br J Dermatol 140:995–1009

    Article  CAS  PubMed  Google Scholar 

  2. Rivas JM, Ullrich SE (1994) The role of IL-4, IL-10, and TNF-alpha in the immune suppression induced by ultraviolet radiation. J Leukoc Biol 56:769–775

    CAS  PubMed  Google Scholar 

  3. Cooper KD, Fox P, Neises G, Katz SI (1985) Effects of ultraviolet radiation on human epidermal cell alloantigen presentation: initial depression of Langerhans cell-dependent function is followed by the appearance of T6−Dr+ cells that enhance epidermal alloantigen presentation. J Immunol 134:129–137

    CAS  PubMed  Google Scholar 

  4. Di Nuzzo S, de Rie MA, van der Loos CM, Bos JD, Teunissen MBM (1996) Solar-simulated ultraviolet irradiation induces selective influx of CD4+ T lymphocytes in normal human skin. Photochem Photobiol 64:988–993

    CAS  PubMed  Google Scholar 

  5. Hawk JL, Murphy GM, Holden CA (1988) The presence of neutrophils in human cutaneous ultraviolet-B inflammation. Br J Dermatol 118:27–30

    CAS  PubMed  Google Scholar 

  6. Kolgen W, Both H, Van Weelden H, Guikers KL, Bruijnzeel-Koomen CA, Knol EF, Van Vloten WA, de Gruijl FR (2002) Epidermal Langerhans cell depletion after artificial ultraviolet B irradiation of human skin in vivo: apoptosis versus migration. J Invest Dermatol 118:812–817

    Article  CAS  PubMed  Google Scholar 

  7. Shreedhar V, Giese T, Sung VW, Ullrich SE (1998) A cytokine cascade including prostaglandin E2, IL-4, and IL-10 is responsible for UV-induced systemic immune suppression. J Immunol 160:3783–3789

    CAS  PubMed  Google Scholar 

  8. de Waal MR, Haanen J, Spits H, Roncarolo MG, te Velde A, Figdor C, Johnson K, Kastelein R, Yssel H, de Vries JE (1991) Interleukin 10 (IL-10) and viral IL-10 strongly reduce antigen-specific human T cell proliferation by diminishing the antigen-presenting capacity of monocytes via downregulation of class II major histocompatibility complex expression. J Exp Med 174:915–924

    PubMed  Google Scholar 

  9. Kang K, Gilliam AC, Chen G, Tootell E, Cooper KD (1998) In human skin, UVB initiates early induction of IL-10 over IL-12 preferentially in the expanding dermal monocytic/macrophagic population. J Invest Dermatol 111:31–38

    Article  CAS  PubMed  Google Scholar 

  10. Kang K, Hammerberg C, Meunier L, Cooper KD (1994) CD11b+ macrophages that infiltrate human epidermis after in vivo ultraviolet exposure potently produce IL-10 and represent the major secretory source of epidermal IL-10 protein. J Immunol 153:5256–5264

    CAS  PubMed  Google Scholar 

  11. Teunissen MBM, Piskin G, Di Nuzzo S, Sylva-Steenland RM, de Rie MA, Bos JD (2002) Ultraviolet B radiation induces a transient appearance of IL-4+ neutrophils, which support the development of Th2 responses. J Immunol 168:3732–3739

    CAS  PubMed  Google Scholar 

  12. Teunissen MBM, Koomen CW, Jansen J, de Waal Malefyt, Schmitt E, van den Wijngaard RM, Das PK, Bos JD (1997) In contrast to their murine counterparts, normal human keratinocytes and human epidermoid cell lines A431 and HaCaT fail to express IL-10 mRNA and protein. Clin Exp Immunol 107:213–223

    Article  CAS  PubMed  Google Scholar 

  13. Beissert S, Hosoi J, Kuhn R, Rajewsky K, Muller W, Granstein RD (1996) Impaired immunosuppressive response to ultraviolet radiation in interleukin-10-deficient mice. J Invest Dermatol 107:553–557

    Article  CAS  PubMed  Google Scholar 

  14. Enk CD, Sredni D, Blauvelt A, Katz SI (1995) Induction of IL-10 gene expression in human keratinocytes by UVB exposure in vivo and in vitro. J Immunol 154:4851–4856

    CAS  PubMed  Google Scholar 

  15. Kolgen W, van Meurs M, Jongsma M, van Weelden H, Bruijnzeel-Koomen CA, Knol EF, van Vloten WA, Laman J, de Gruijl FR (2004) Differential expression of cytokines in UV-B-exposed skin of patients with polymorphous light eruption: correlation with Langerhans cell migration and immunosuppression. Arch Dermatol 140:295–302

    Article  PubMed  Google Scholar 

  16. Rijken F, Bruijnzeel PL, van Weelden H, Kiekens RC (2004) Responses of black and white skin to solar-simulating radiation: differences in DNA photodamage, infiltrating neutrophils, proteolytic enzymes induced, keratinocyte activation, and IL-10 expression. J Invest Dermatol 122:1448–1455

    CAS  PubMed  Google Scholar 

  17. Gosselin EJ, Wardwell K, Rigby WF, Guyre PM (1993) Induction of MHC class II on human polymorphonuclear neutrophils by granulocyte/macrophage colony-stimulating factor, IFN-gamma, and IL-3. J Immunol 151:1482–1490

    CAS  PubMed  Google Scholar 

  18. Reinisch W, Lichtenberger C, Steger G, Tillinger W, Scheiner O, Gangl A, Maurer D, Willheim M (2003) Donor dependent, interferon-gamma induced HLA-DR expression on human neutrophils in vivo. Clin Exp Immunol 133:476–484

    CAS  PubMed  Google Scholar 

  19. Schwarz T, Luger TA (1989) Effect of UV irradiation on epidermal cell cytokine production. J Photochem Photobiol B 4:1–13

    Article  CAS  PubMed  Google Scholar 

  20. Yamashiro S, Wang JM, Yang D, Gong WH, Kamohara H, Yoshimura T (2000) Expression of CCR6 and CD83 by cytokine-activated human neutrophils. Blood 96:3958–3963

    CAS  PubMed  Google Scholar 

  21. Dollery CM, Owen CA, Sukhova GK, Krettek A, Shapiro SD, Libby P (2003) Neutrophil elastase in human atherosclerotic plaques: production by macrophages. Circulation 107:2829–2836

    Article  CAS  PubMed  Google Scholar 

  22. Piskin G, Tursen U, Bos JD, Teunissen MB (2003) IL-4 expression by neutrophils in psoriasis lesional skin upon high-dose UVB exposure. Dermatology 207:51–53

    Article  CAS  PubMed  Google Scholar 

Download references

Author information

Affiliations

Authors

Corresponding author

Correspondence to Gamze Piskin.

Rights and permissions

Reprints and Permissions

About this article

Cite this article

Piskin, G., Bos, J.D. & Teunissen, M.B.M. Neutrophils infiltrating ultraviolet B-irradiated normal human skin display high IL-10 expression. Arch Dermatol Res 296, 339–342 (2005). https://doi.org/10.1007/s00403-004-0522-z

Download citation

  • Received:

  • Revised:

  • Accepted:

  • Published:

  • Issue Date:

  • DOI: https://doi.org/10.1007/s00403-004-0522-z

Keywords

  • Cytokine
  • HLA-DR
  • Immunomodulation
  • Macrophage
  • Polymorphonuclear cell