Skip to main content

1α,25(OH)2D3 regulates NF-κB DNA binding activity in cultured normal human keratinocytes through an increase in IκBα expression

Abstract

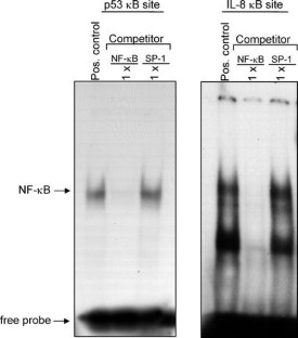
NF-κB is a dimeric transcription factor which regulates transcription of a number of different genes including IL-8 and p53. In resting cells NF-κB is usually retained in an inactive state in the cytoplasm through binding to a member of the inhibitory κB (IκB) protein family. The purpose of this study was to determine the effect of 1α,25(OH)2D3 on NF-κB activation in both unstimulated and stimulated (IL-1α) cultured normal human keratinocytes. NF-κB DNA binding activity was determined by EMSA using two different oligonucleotides containing the κB sequence from either the IL-8 or the p53 promoter. IκBα and p53 expression was determined by Western blotting and IL-8 expression by ELISA. In unstimulated keratinocytes no NF-κB binding to the IL-8 κB binding sequence was detectable, whereas stimulation with IL-1α (10 ng/ml) led to a significant (P<0.05) induction of NF-κB binding. In contrast NF-κB binding to the p53 κB binding sequence was detectable in unstimulated cells, although it was significantly increased after IL-1α (10 ng/ml) stimulation. Incubation with 1α,25(OH)2D3 (10−8–10−7 M) was shown to significantly (P<0.05) stimulate the expression of IκBα and in parallel experiments with normal human keratinocytes stimulated with IL-1α (10 ng/ml) a significant (P<0.05) time and dose-dependent decrease in NF-κB binding to the IL-8 κB binding sequence and in IL-8 expression were seen. A less-pronounced decrease in NF-κB binding to the p53 κB response element was seen after preincubation with 1α,25(OH)2D3 and IL-1α stimulation, and it did not result in any change in p53 expression. These results demonstrate that 1α,25(OH)2D3 inhibits NF-κB binding to the IL-8 κB binding sequence more potently than binding to the p53 κB binding sequence. We propose that this selectivity may be mediated through an increased expression of IκBα which leads to an inhibition of specific NF-κB subunits resulting in a selective regulation of NF-κB-induced gene transcription.

This is a preview of subscription content, access via your institution.

Fig. 1
Fig. 2a, b
Fig. 3a, b
Fig. 4a–c
Fig. 5
Fig. 6
Fig. 7

References

  • Auphan N, DiDonato JA, Rosette C, Helmberg A, Karin M (1995) Immunosuppression by glucocorticoids: inhibition of NF-kappa B activity through induction of I kappa B synthesis. Science 270:286–290

    Google Scholar 

  • Baldwin AS (2001a) Control of oncogenesis and cancer therapy resistance by the transcription factor NF-κB. J Clin Invest 107:241–246

    CAS  PubMed  Google Scholar 

  • Baldwin AS (2001b) The transcription factor NF-κB and human disease. J Clin Invest 107:3–6

    CAS  PubMed  Google Scholar 

  • Bradford MM (1976) A rapid and sensitive method for quantitation of microgram quantities of protein utilizing the principle of protein-dye binding. Anal Biochem 72:248–254

    Article  CAS  PubMed  Google Scholar 

  • Carlberg C, Polly P (1999) The nuclear receptor superfamily. Retinoids 15:71–74

    CAS  Google Scholar 

  • Danning CL, Illie GG, Hitchon C, Greer MR, Boumpas DT, McInnes IB (2000) Macrophage-derived cytokine and nuclear factor kappaB p65 expression in synovial membrane and skin of patients with psoriatic arthritis. Arthritis Rheum 43:1244–1256

    Article  CAS  PubMed  Google Scholar 

  • De Bosscher K, Schmitz ML, Vanden Berghe W, Plaisance S, Fiers W, Haegeman G (1997) Glucocorticoid-mediated repression of nuclear factor-κB-dependent transcription involves direct interference with transactivation. Proc Natl Acad Sci U S A 94:13504–13509

    Article  PubMed  Google Scholar 

  • Foo SY, Nolan GP (1999) NF-κB to the rescue: RELs, apoptosis and cellular transformation. Trends Genet 15:229–235

    Article  CAS  PubMed  Google Scholar 

  • Haase I, Hobbs RM, Romero MR, Broad S, Watt FM (2001) A role for mitogen-activated protein kinase activation by integrins in the pathogenesis of psoriasis. J Clin Invest 108:527–536

    Article  CAS  PubMed  Google Scholar 

  • Harant H, Andrew PJ, Reddy GS, Foglar E, Lindley IJ (1997) 1Alpha,25-dihydroxyvitamin D3 and a variety of its natural metabolites transcriptionally repress nuclear-factor-kappaB-mediated interleukin-8 gene expression. Eur J Biochem 250:63–71

    Article  CAS  PubMed  Google Scholar 

  • Harant H, Wolff B, Lindley IJ (1998) 1Alpha,25-dihydroxyvitamin D3 decreases DNA binding of nuclear factor-kappaB in human fibroblasts. FEBS Lett 436:329–334

    Article  CAS  PubMed  Google Scholar 

  • Haussler MR (1986) Vitamin D receptors: nature and function. Annu Rev Nutr 6:527–562

    Article  CAS  PubMed  Google Scholar 

  • Jiang WY, Chattedee AD, Raychaudhuri SP, Raychaudhuri SK, Farber EM (2001) Mast cell density and IL-8 expression in nonlesional and lesional psoriatic skin. Int J Dermatol 40:699–703

    Article  CAS  PubMed  Google Scholar 

  • Johansen C, Iversen L, Ryborg A, Kragballe K (2000) 1α,25-Dihydroxyvitamin D3 induced differentiation of cultured human keratinocytes is accompanied by a PKC-independent regulation of AP-1 DNA binding activity. J Invest Dermatol 114:1174–1179

    Article  CAS  PubMed  Google Scholar 

  • Johansen C, Kragballe K, Henningsen J, Westergaard M, Kristiansen K, Iversen L (2003) 1α,25(OH)2D3 stimulates AP-1 DNA binding activity by a PI3-kinase/Ras/MEK/ERK1/2 and JNK1 dependent increase in c-Fos, Fra1 and cJun expression in human keratinocytes. J Invest Dermatol 120:561–570

    CAS  PubMed  Google Scholar 

  • Kim J, Sanders SP, Siekierski ES, Casolaro V, Proud D (2000) Role of NF-kappa B in cytokine production induced from human airway epithelial cells by rhinovirus infection. J Immunol 165:3384–3392

    CAS  PubMed  Google Scholar 

  • Komine M, Watabe Y, Shimaoka S, Sato F, Kake K, Nishina H, Ohtsuki M, Nakagawa H, Tamaki K (1999) The action of a novel vitamin D3 analogue, OCT, on immunomodulatory function of keratinocytes and lymphocytes. Arch Dermatol Res 291:500–506

    Article  CAS  PubMed  Google Scholar 

  • Kragballe K, Desjarlais L, Marcelo CL (1985) Increased DNA synthesis of uninvolved psoriatic epidermis is maintained in vitro. Br J Dermatol 112:263–270

    CAS  PubMed  Google Scholar 

  • Kragballe K, Gjertsen BT, De Hoop D, Karlsmark T, van de Kerkhof PC, Larko O, Nieboer C, Roed-Petersen J, Strand A, Tikjob G (1991) Double-blind, right/left comparison of calcipotriol and betamethasone valerate in treatment of psoriasis vulgaris. Lancet 337:193–196

    Article  CAS  PubMed  Google Scholar 

  • Kunsch C, Rosen CA (1993) NF-κB subunit-specific regulation of the interleukin-8 promoter. Mol Cell Biol 13:6137–6146

    CAS  PubMed  Google Scholar 

  • Kunsch C, Ruben SM, Rosen CA (1992) Selection of optimal κB/Rel DNA-binding motifs: interaction of both subunits of NF-κB with DNA is required for transcriptional activation. Mol Cell Biol 12:4412–4421

    CAS  PubMed  Google Scholar 

  • Larsen CG, Kristensen M, Paludan K, Deleuran B, Thomsen MK, Zachariae C, Kragballe K, Matsushima K, Thestrup-Pedersen K (1991) 1,25(OH)2-D3 is a potent regulator of interleukin-1 induced interleukin-8 expression and production. Biochem Biophys Res Commun 176:1020–1026

    CAS  PubMed  Google Scholar 

  • Lawrence T, Gilroy DW, Colville-Nash PR, Willoughby DA (2001) Possible new role for NF-κB in the resolution of inflammation. Nat Med 7:1291–1297

    Article  CAS  PubMed  Google Scholar 

  • Lotem J, Sachs L (1998) Cytokine suppression of protease activation in wild-type p53-dependent and p53-independent apoptosis. Proc Natl Acad Sci U S A 95:1330–1337

    Article  Google Scholar 

  • McKenzie RC, Sabin E (2003) Aberrant signaling and transcription factor activation as an explanation for the defective growth control and differentiation of keratinocytes in psoriasis: a hypothesis. Exp Dermatol 12:337–345

    Article  CAS  PubMed  Google Scholar 

  • Pei XH, Nakanishi Y, Takayama K, Bai F, Hara N (1999) Benzo[a]pyrene activates human p53 gene through induction of nuclear factor kappa B activity. J Biol Chem 274:35240–35246

    Article  CAS  PubMed  Google Scholar 

  • Phelps CB, Sengchanthalangsy LL, Huxford T, Ghosh G (2000) Mechanism of IκBα binding to NF-κB dimers. J Biol Chem 275:29840–29846

    Article  CAS  PubMed  Google Scholar 

  • Rosette C, Karin M (1995) Cytoskeletal control of gene expression: depolymerization of microtubules activates NF-kappa B. J Cell Biol 128:1111–1119

    Article  CAS  PubMed  Google Scholar 

  • Rothwarf DM, Karin M (1999) The NF-kappaB activation pathway: a paradigm in information transfer from membrane to nucleus. Sci STKE 1999: RE1

    CAS  PubMed  Google Scholar 

  • Scheinman RI, Cogswell PC, Lofquist AK, Baldwin AS Jr (1995) Role of transcriptional activation of I kappa B alpha in mediation of immunosuppression by glucocorticoids. Science 270:283–286

    Google Scholar 

  • Thompson JE, Phillips RJ, Erdjument-Bromage H, Tempst P, Ghosh S (1995) I kappa B-beta regulates the persistent response in a biphasic activation of NF-kappa B. Cell 80:573–582

    Article  CAS  PubMed  Google Scholar 

  • Wolf JS, Chen Z, Dong G, Sunwoo JB, Bancroft CC, Capo DE, Yeh NT, Mukaida N, Van Waes C (2001) IL (interleukin)-1alpha promotes nuclear factor-kappaB and AP-1-induced IL-8 expression, cell survival and proliferation in head and neck squamous cell carcinomas. Clin Cancer Res 7:1812–1820

    CAS  PubMed  Google Scholar 

  • Wood LC, Elias PM, Calhoun C, Tsai JC, Grunfeld C, Feingold KR (1996) Barrier disruption stimulates interleukin-1 alpha expression and release from a pre-formed pool in murine epidermis. J Invest Dermatol 106:397–403

    Article  CAS  PubMed  Google Scholar 

  • Wu H, Lozano G (1994) NF-κB activation of p53. J Biol Chem 269:20067–20074

    CAS  PubMed  Google Scholar 

  • Yamamoto K, Nakayama K, Shimizu H, Mitomo K, Fijimoto K (1992) Molecular mechanisms for the regulation of inflammation. Prog Immunol 8:369–376

    Google Scholar 

Download references

Acknowledgements

This work was supported by the Danish Medical Research Council.

Author information

Affiliations

Authors

Corresponding author

Correspondence to Lars Iversen.

Rights and permissions

Reprints and Permissions

About this article

Cite this article

Riis, J.L., Johansen, C., Gesser, B. et al. 1α,25(OH)2D3 regulates NF-κB DNA binding activity in cultured normal human keratinocytes through an increase in IκBα expression. Arch Dermatol Res 296, 195–202 (2004). https://doi.org/10.1007/s00403-004-0509-9

Download citation

  • Received:

  • Revised:

  • Accepted:

  • Published:

  • Issue Date:

  • DOI: https://doi.org/10.1007/s00403-004-0509-9

Keywords

  • NF-κB
  • IκB
  • 1α,25(OH)2D3
  • IL-8
  • p53
  • Keratinocytes