Skip to main content

Inevitable nonunion after ulnar shortening osteotomy in patients with ulnar impaction syndrome and breast cancer under bisphosphonate treatment

Abstract

Background

Nonunion after ulnar shortening osteotomy (USO) was observed at a high rate in patients undergoing long-term bisphosphonate (BP) maintenance treatment after breast cancer surgery. Here, we report the unique features of these nonunions.

Methods

In total, 485 patients who had undergone USO between March 2008 and September 2017 were screened for inclusion based on the following criteria: (1) definitive nonunion after USO; (2) prior history of or ongoing BP therapy after the diagnosis of breast cancer; and (3) no evidence of metastasis in the ulna treated with USO, as determined based on the radiological evaluation.

Results

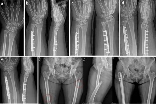
Five patients with histories of breast cancer and subsequent BP treatment were identified; all (100%) of these patients showed definitive nonunion after USO. The mean age was 56.2 years, and all ulnae were on the contralateral side to that of the original breast cancer. Intravenous Ibandronate® and Zolendronate® were administrated to one and four patients, respectively. The mean period of administration was 67.8 months. Three patients exhibited suspicious lesions impending atypical fracture on their femurs, and the other two patients were treated by intramedullary nailing after the occurrence of atypical fractures. Radiological evaluation revealed no evidence of a metastatic lesion, including in the musculoskeletal system, in any patient. Osteosynthesis was performed with cancellous iliac bone graft and mean of 4.3 months after osteosynthesis, union in all cases was achieved.

Conclusions

Problems associated with BP treatment are well known. Even in cases in which the agent is essential for preventing bony metastasis of breast cancer, the normal bony physiology, including bone turnover and healing, is likely to be compromised. In addition to atypical fractures of the femur and ulna, procedures such as USO are likely to be affected by BP. Furthermore, not only a primary iliac bone graft but also other method (oblique osteotomy) should be needed to avoid nonunion during plating in USO.

Level of evidence

IV, Retrospective case series.

This is a preview of subscription content, access via your institution.

Fig. 1
Fig. 2

References

  1. Fricker R, Pfeiffer KM, Troeger H (1996) Ulnar shortening osteotomy in posttraumatic ulnar impaction syndrome. Arch Orthop Trauma Surg 115(3–4):158–161

    CAS  Article  Google Scholar 

  2. Terzis A, Koehler S, Sebald J, Sauerbier M (2020) Ulnar shortening osteotomy as a treatment of symptomatic ulnar impaction syndrome after malunited distal radius fractures. Arch Orthop Trauma Surg 140(5):681–695. https://doi.org/10.1007/s00402-020-03374-x(Epub 2020 Mar 19)

    Article  PubMed  Google Scholar 

  3. Löw S, Mühldorfer-Fodor M, Pillukat T, Prommersberger KJ, van Schoonhoven J (2014) Ulnar shortening osteotomy for malunited distal radius fractures: results of a 7-year follow-up with special regard to the grade of radial displacement and post-operative ulnar variance. Arch Orthop Trauma Surg 134(1):131–137. https://doi.org/10.1007/s00402-013-1892-5(Epub 2013 Nov 22)

    Article  PubMed  Google Scholar 

  4. Quadlbauer S, Pezzei C, Jurkowitsch J, Rosenauer R, Pichler A, Schättin S, Hausner T, Leixnering M (2020) Functional and radiological outcome of distal radius fractures stabilized by volar-locking plate with a minimum follow-up of 1 year. Arch Orthop Trauma Surg 140(6):843–852. https://doi.org/10.1007/s00402-020-03411-9(Epub 2020 Mar 27)

    Article  PubMed  Google Scholar 

  5. Rosenauer R, Pezzei C, Quadlbauer S, Keuchel T, Jurkowitsch J, Hausner T, Leixnering M (2020) Complications after operatively treated distal radius fractures. Arch Orthop Trauma Surg 140(5):665–673. https://doi.org/10.1007/s00402-020-03372-z(Epub 2020 Mar 19)

    CAS  Article  PubMed  Google Scholar 

  6. Quadlbauer S, Pezzei C, Jurkowitsch J, Rosenauer R, Pichler A, Schättin S, Hausner T, Leixnering M (2018) Early complications and radiological outcome after distal radius fractures stabilized by volar angular stable locking plate. Arch Orthop Trauma Surg 138(12):1773–1782. https://doi.org/10.1007/s00402-018-3051-5(Epub 2018 Oct 19)

    Article  PubMed  Google Scholar 

  7. Keuchel-Strobl T, Quadlbauer S, Jurkowitsch J, Rosenauer R, Hausner T, Leixnering M, Pezzei C (2020) Salvage procedure after malunited distal radius fractures and management of pain and stiffness. Arch Orthop Trauma Surg 140(5):697–705. https://doi.org/10.1007/s00402-020-03369-8(Epub 2020 Mar 19)

    Article  PubMed  Google Scholar 

  8. Milch H (1941) Cuff resection of the ulna for malunited Colles’ fracture. J Bone Jt Surg 23:311–313

    Google Scholar 

  9. Baek GH, Lee HJ, Gong HS et al (2011) Long-term outcomes of ulnar shortening osteotomy for idiopathic ulnar impaction syndrome: at least 5-years follow-up. Clin Orthop Surg 3(4):295–301

    Article  Google Scholar 

  10. Cha SM, Shin HD, Kim KC (2012) Positive or negative ulnar variance after ulnar shortening for ulnar impaction syndrome: a retrospective study. Clin Orthop Surg 4(3):216–220

    Article  Google Scholar 

  11. Nagy L, Jungwirth-Weinberger A, Campbell D, Pino JG (2014) The AO ulnar shortening osteotomy system indications and surgical technique. J Wrist Surg 3(2):91–97

    Article  Google Scholar 

  12. Lautenbach M, Millrose M, Schmidt NS, Zach A, Eichenauer F, Eisenschenk A (2014) Ulnocarpal impaction syndrome: treatment with a transverse ulnar shortening osteotomy from an ulnodorsal approach. Arch Orthop Trauma Surg 134(6):881–885. https://doi.org/10.1007/s00402-014-1976-x

    Article  PubMed  Google Scholar 

  13. Terzis A, Neubrech F, Sebald J, Sauerbier M (2019) Surgical treatment of ulnar impaction syndrome: ulnar shortening osteotomy through the ulnopalmar approach using a low-profile, locking plate. Oper Orthop Traumatol 31(6):547–556. https://doi.org/10.1007/s00064-019-0613-9(Epub 2019 Jun 6)

    CAS  Article  PubMed  Google Scholar 

  14. Tomaino MM, Elfar J (2005) Ulnar impaction syndrome. Hand Clin 21:567–575. https://doi.org/10.1016/j.hcl.2005.08.011

    Article  PubMed  Google Scholar 

  15. Löw S, Herold A, Unglaub F, Megerle K, Erne H (2018) Treatment of ulnar impaction syndrome with and without central TFCC lesion. J Wrist Surg 7:133–140. https://doi.org/10.1055/s-0037-1607073(Epub 2017 Oct 26)

    Article  PubMed  Google Scholar 

  16. Chan SK, Singh T, Pinder R, Tan S, Craigen MA (2015) Ulnar shortening osteotomy: are complications under reported? J Hand Microsurg 7(2):276–282

    Article  Google Scholar 

  17. Rajgopal R, Roth J, King G, Faber K, Grewal R (2015) Outcomes and complications of ulnar shortening osteotomy: an institutional review. Hand (NY) 10(3):535–540

    Article  Google Scholar 

  18. Cha SM, Shin HD, Ahn KJ (2017) Prognostic factors affecting union after ulnar shortening osteotomy in ulnar impaction syndrome: a retrospective case–control study. J Bone Jt Surg Am 99(8):638–647

    Article  Google Scholar 

  19. Gaspar MP, Kane PM, Zohn RC et al (2016) Variables prognostic for delayed union and nonunion following ulnar shortening fixed with a dedicated osteotomy plate. J Hand Surg Am 41(2):237–243 (Epub 2015 Dec 11)

    Article  Google Scholar 

  20. Tan SH, Saseendar S, Tan BH, Pawaskar A, Kumar VP (2015) Ulnar fractures with bisphosphonate therapy: a systematic review of published case reports. Osteoporos Int 26(2):421–429

    CAS  Article  Google Scholar 

  21. Chiang GS, Koh KW, Chong TW, Tan BY (2014) Stress fracture of the ulna associated with bisphosphonate therapy and use of walking aid. Osteoporos Int 25(8):2151–2154

    CAS  Article  Google Scholar 

  22. Moon J, Bither N, Lee T (2013) Atypical forearm fractures associated with long-term use of bisphosphonate. Arch Orthop Trauma Surg 133(7):889–892

    Article  Google Scholar 

  23. Ang BF, Koh JS, Ng AC, Howe TS (2013) Bilateral ulna fractures associated with bisphosphonate therapy. Osteoporos Int 24(4):1523–1525

    CAS  Article  Google Scholar 

  24. Tang ZH, Kumar VP (2011) Alendronate-associated ulnar and tibial fractures: a case report. J Orthop Surg (Hong Kong) 19(3):370–372

    Article  Google Scholar 

  25. Bjørgul K, Reigstad A (2011) Atypical fracture of the ulna associated with alendronate use. Acta Orthop 82(6):761–763

    Article  Google Scholar 

  26. Stathopoulos KD, Kosmidis C, Lyritis GP (2011) Atypical fractures of the femur and ulna and complications of fracture healing in a 76-year-old woman with Sjögren’s syndrome. J Musculoskelet Neuronal Interact 11(2):208–211 (quiz 211)

    CAS  PubMed  Google Scholar 

  27. Shimada Y, Ishikawa T, Endo J et al (2017) Treatment of atypical ulnar fractures associated with long-term bisphosphonate therapy for osteoporosis: autogenous bone graft with internal fixation. Case Rep Orthop 2017:8602573

    PubMed  PubMed Central  Google Scholar 

  28. Oh BH, Heo YM, Yi JW, Kim TG, Lee JS (2018) Atypical fracture of the proximal shaft of the ulna associated with prolonged bisphosphonate therapy. Clin Orthop Surg 10(3):389–392

    Article  Google Scholar 

  29. Mashiba T, Saito M, Yamagami Y, Tanaka M, Iwata K, Yamamoto T (2017) Effects of suppressed bone remodeling by minodronic acid and alendronate on bone mass, microdamage accumulation, collagen crosslinks and bone mechanical properties in the lumbar vertebra of ovariectomized cynomolgus monkeys. Bone 97:184–191

    CAS  Article  Google Scholar 

  30. Mulcahy LE, Curtin CM, McCoy RJ et al (2015) The effect of bisphosphonate treatment on the biochemical and cellular events during bone remodelling in response to microinjury stimulation. Eur Cell Mater 30:271–281

    CAS  Article  Google Scholar 

  31. Allen MR, Burr DB (2011) Bisphosphonate effects on bone turnover, microdamage, and mechanical properties: what we think we know and what we know that we don't know. Bone 49(1):56–65

    CAS  Article  Google Scholar 

  32. Friedman SL, Palmer AK (1991) The ulnar impaction syndrome. Hand Clin 7:295–310

    CAS  PubMed  Google Scholar 

  33. Nakamura R, Horii E, Imaeda T et al (1997) The ulnocarpal stress test in the diagnosis of ulnar-sided wrist pain. J Hand Surg Br 22:719–723

    CAS  Article  Google Scholar 

  34. Palmer AK (1989) Triangular fibrocartilage complex lesions: a classification. J Hand Surg Am 14:594–606

    CAS  Article  Google Scholar 

  35. Minami A, Ishikawa J, Suenaga N, Kasashima T (1996) Clinical results of treatment of triangular fibrocartilage complex tears by arthroscopic debridement. J Hand Surg Am 21(3):406–411

    CAS  Article  Google Scholar 

  36. Chen F, Osterman AL, Mahony K (2001) Smoking and bony union after ulna-shortening osteotomy. Am J Orthop 30(6):486–489

    CAS  PubMed  Google Scholar 

  37. Brinker MR, O’Connor DP (2009) Nonunions: evaluation and treatment. In: Browner BD, Jupital JB, Levine AM, Trafton PG (eds) Skeletal trauma: basic science, management, and reconstruction, 4th edn. W.B. Saunders, Philadelphia, pp 615–708

    Chapter  Google Scholar 

  38. Weber BG, Cech O (1976) Pseudoarthrosis: pathology, biomechanics, therapy, results. Hans Huber Medical Publisher, Berne

    Google Scholar 

  39. Odvina CV, Zerwekh JE, Rao DS et al (2005) Severely suppressed bone turnover: a potential complication of alendronate therapy. J Clin Endocrinol Metab 90(3):1294–1301 (Epub 2004 Dec 14)

    CAS  Article  Google Scholar 

  40. Chang ST, Tenforde AS, Grimsrud CD (2012) Atypical femur fractures among breast cancer and multiple myeloma patients receiving intravenous bisphosphonate therapy. Bone 51(3):524–527

    CAS  Article  Google Scholar 

  41. Reddy SV, Gupta SK (2012) Atypical femoral shaft fracture in a patient with non-metastatic prostate cancer on zoledronic acid therapy: effect of therapy or coincidence? Singap Med J 53(3):e52–e54

    CAS  Google Scholar 

  42. Goldvaser H, Amir E (2019) Role of bisphosphonates in breast cancer therapy. Curr Treat Options Oncol 20(4):26

    Article  Google Scholar 

  43. van der Meulen MC, Boskey AL (2012) Atypical subtrochanteric femoral shaft fractures: role for mechanics and bone quality. Arthritis Res Ther 14(4):220

    Article  Google Scholar 

  44. Wenger R, Oehme F, Winkler J et al (2017) Absolute or relative stability in minimal invasive plate osteosynthesis of simple distal meta or diaphyseal tibia fractures? Injury 48(6):1217–1223

    CAS  Article  Google Scholar 

Download references

Funding

This work was supported by the research fund of 2019 Basic Science Research Program through the National Research Foundation of Korea (NRF), funded by the Ministry of Science, ICT and Future Planning (NRF-2019R1I1A3A01059198).

Author information

Affiliations

Authors

Corresponding author

Correspondence to Hyun Dae Shin.

Ethics declarations

Conflict of interest

The authors declare that they have no conflict of interest.

Ethical approval

This article does not contain any studies with human participants or animals performed by any of the authors.

Informed consent

Informed consent was obtained from all individual participants included in the study.

Additional information

Publisher's Note

Springer Nature remains neutral with regard to jurisdictional claims in published maps and institutional affiliations.

Rights and permissions

Reprints and Permissions

About this article

Verify currency and authenticity via CrossMark

Cite this article

Cha, S.M., Shin, H.D. & Lee, S.H. Inevitable nonunion after ulnar shortening osteotomy in patients with ulnar impaction syndrome and breast cancer under bisphosphonate treatment. Arch Orthop Trauma Surg 140, 1567–1574 (2020). https://doi.org/10.1007/s00402-020-03570-9

Download citation

  • Received:

  • Accepted:

  • Published:

  • Issue Date:

  • DOI: https://doi.org/10.1007/s00402-020-03570-9

Keywords

  • Ulnar shortening osteotomy
  • Bisphosphonate
  • Nonunion
  • Breast cancer