Skip to main content

Ulnar shortening osteotomy as a treatment of symptomatic ulnar impaction syndrome after malunited distal radius fractures

Abstract

A malunited distal radius fracture can lead to symptomatic ulnar impaction syndrome, which is a common cause for ulnar-sided wrist pain. If conservative treatment fails and symptoms persist after an arthroscopic ulnocarpal debridement, ulnar shortening osteotomy (USO) is the treatment of choice. Since the first USO described by Milch in 1941 after a malunited Colles fracture, many techniques have been described varying in surgical approach, type of osteotomy and osteosynthesis material used. Many studies demonstrated good to very good functional results after USO, reporting, however, a delayed union or non-union rate up to 18%. A modern, low profile, locking plate showed in our short-term study very good functional results and no implant-associated complications, in particular no non-union.

This is a preview of subscription content, access via your institution.

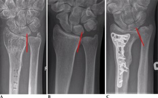
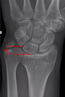
Fig. 1
Fig. 2
Fig. 3
Fig. 4
Fig. 5
Fig. 6
Fig. 7
Fig. 8
Fig. 9
Fig. 10
Fig. 11
Fig. 12
Fig. 13
Fig. 14
Fig. 15

Abbreviations

CT:

Computed tomography

DASH score:

Disabilities of the arm, shoulder, and hand score

DRF:

Distal radius fracture

DRUJ:

Distal radioulnar joint

ECU:

Extensor carpi ulnaris

FCU:

Flexor carpi ulnaris

LT:

Lunotriquetral

MRI:

Magnetic resonance imaging

ROM:

Range of motion

TFCC:

Triangular fibrocartilage complex

USO:

Ulnar shortening osteotomy

UIS:

Ulnar impaction syndrome

VAS:

Visual analogue scale

References

  1. Ahrens C, Unglaub F, Bruckner T, Hahn P, Müller LP, Wegmann K, Spies CK (2014) Midterm functional outcome after dorsal capsular imbrication for posttraumatic instability of the distal radioulnar joint. Arch Orthop Trauma Surg 134:1633–1639

    PubMed  Google Scholar 

  2. Arsalan-Werner A, Grüter L, Mehling IM, Moll W, Wölfle O, Sauerbier M (2018) Results after arthroscopic treatment of central traumatic lesions of the triangular fibrocartilage complex. Arch Orthop Trauma Surg 138:731–737

    CAS  PubMed  Google Scholar 

  3. Atzei A, Luchetti R (2011) Foveal TFCC tear classification and treatment. Hand Clin 27:263–272

    PubMed  Google Scholar 

  4. Bickert B, Sauerbier M, Germann G (1997) Clinical examination of the injured wrist. Zentralbl Chir 122:1010–1015

    CAS  PubMed  Google Scholar 

  5. Cardenas-Montemayor E, Hartl JF, Wolf MB, Leclère FM, Dreyhaupt J, Hahn P, Unglaub F (2013) Subjective and objective results of arthroscopic debridement of ulnar-sided TFCC (Palmer type 1B) lesions with stable distal radio-ulnar joint. Arch Orthop Trauma Surg 133:287–293

    PubMed  Google Scholar 

  6. Cha SM, Shin HD, Ahn KJ (2017) Prognostic factors affecting union after ulnar shortening osteotomy in ulnar impaction syndrome: a retrospective case-control study. J Bone Jt Surg Am 199:638–647

    Google Scholar 

  7. Chan SK, Singh T, Pinder R et al (2015) Ulnar shortening osteotomy: are complications under reported? J Hand Microsurg 7:276–282

    PubMed  PubMed Central  Google Scholar 

  8. Chen CY, Lin KC, Yang SW, Renn JH, Tarng YW (2015) Clinical results of using minimally invasive long plate osteosynthesis versus conventional approach for extensive comminuted metadiaphyseal fractures of the radius. Arch Orthop Trauma Surg 135(3):361–367

    PubMed  Google Scholar 

  9. Constantine KJ, Tomaino MM, Herndon JH, Sotereanos DG (2000) Comparison of ulnar shortening osteotomy and the wafer resection procedure as treatment for ulnar impaction syndrome. J Hand Surg Am 25:55–60

    CAS  PubMed  Google Scholar 

  10. De Smet L, Van Nuffel M, Koorneef P, Degreef I (2014) Arthroscopic debridement with and without distal ulnar resection in the treatment of triangular fibrocartilage complex tears. Acta Orthop Belg 80:112–115

    PubMed  Google Scholar 

  11. Erhart S, Toth S, Kaiser P, Kastenberger T, Deml C, Arora R (2018) Comparison of volarly and dorsally displaced distal radius fracture treated by volar locking plate fixation. Arch Orthop Trauma Surg 138:879–885

    CAS  PubMed  Google Scholar 

  12. Esenwein P, Sonderegger J, Gruenert J, Ellenrieder B, Tawfik J, Jakubietz M (2013) Complications following palmar plate fixation of distal radius fractures: a review of 665 cases. Arch Orthop Trauma Surg 133:1155–1162

    CAS  PubMed  Google Scholar 

  13. Feldon P, Terrono AL, Belsky MR (1992) The ‘‘wafer’’ procedure. Partial distal ulnar resection. Clin Orthop Relat Res 275:124–129

    Google Scholar 

  14. Feldon P, Terrono AL, Belsky MR (1992) Wafer distal ulna resection for triangular fibrocartilage tears and/or ulna impaction syndrome. J Hand Surg Am 17:731–737

    CAS  PubMed  Google Scholar 

  15. Finnigan T, Makaram N, Baumann A et al (2018) Outcomes of ulnar shortening for ulnar impaction syndrome using the 2.7 mm AO ulna shortening osteotomy system. J Hand Surg Asian Pac 23:82–89

    CAS  Google Scholar 

  16. Fricker R, Pfeiffer KM, Troeger H (1996) Ulnar shortening osteotomy in posttraumatic ulnar impaction syndrome. Arch Orthop Trauma Surg 115:158–161

    CAS  PubMed  Google Scholar 

  17. Friedman SL, Palmer AK (1991) The ulnar impaction syndrome. Hand Clin 7:295–310

    CAS  PubMed  Google Scholar 

  18. Gabl M, Arora R, Klauser AS, Schmidle G (2016) Characteristics of secondary arthrofibrosis after intra-articular distal radius fracture. Arch Orthop Trauma Surg 136:1181–1188

    CAS  PubMed  Google Scholar 

  19. Del Gaudio T, Haerle M (2016) Arthroscopic partial resection of the ulnar head for ulnocarpal decompression. Oper Orthop Traumatol 28:263–269

    PubMed  Google Scholar 

  20. Gilbert F, Jakubietz RG, Meffert RH et al (2018) Does distal radio-ulnar joint configuration affect postoperative functional results after ulnar shortening osteotomy? Plast Reconstr Surg Glob Open 6:1–4

    Google Scholar 

  21. Goldfarb CA, Strauss NL, Wall LB et al (2011) Defining ulnar variance in the adolescent wrist: measurement technique and interobserver reliability. J Hand Surg Am 36:272–277

    PubMed  Google Scholar 

  22. Gologan R, Ginter VM, Haeffner A, Obertacke U, Schreiner U (2016) 1-Year outcome of concomitant intracarpal lesions in patients with dislocated distal radial fractures: a systematic assessment of 78 distal radial fractures. Arch Orthop Trauma Surg 136:425–432

    PubMed  Google Scholar 

  23. Gologan RE, Koeck M, Suda AJ, Obertacke U (2019) %3e 10-year outcome of dislocated radial fractures with concomitant intracarpal lesions as proven by MRI and CT. Arch Orthop Trauma Surg 139:877–881

    PubMed  Google Scholar 

  24. Honigmann P, Steiger R (2019) Intra-articular distal ulnar sliding osteotomy for ulnar shortening. JBJS Essent Surg Tech 9:1–6

    Google Scholar 

  25. Isa AD, Mcgregor ME, Padmore CE et al (2019) An in vitro study to determine the effect of ulnar shortening on distal forearm loading during wrist and forearm motion: implications in the treatment of ulnocarpal impaction. J Hand Surg Am 44:669–679

    PubMed  Google Scholar 

  26. Iwasaki N, Ishikawa J, Kato H et al (2007) Factors affecting results of ulnar shortening for ulnar impaction syndrome. Clin Orthop Relat Res 465:215–219

    PubMed  Google Scholar 

  27. Kasapinova K, Kamiloski V (2015) Influence of associated lesions of the intrinsic ligaments on distal radius fractures outcome. Arch Orthop Trauma Surg 135:831–838

    PubMed  Google Scholar 

  28. Keuchel-Strobl T, Quadlbauer S, Jurkowitsch J et al (2020) Salvage procedure after malunited distal radius fractures and management of pain and stiffness. Arch Orthop Trauma Surg. https://doi.org/10.1007/s00402-020-03369-8

    Article  PubMed  Google Scholar 

  29. Kirchberger MC, Unglaub F, Mühldorfer-Fodor M, Pillukat T, Hahn P, Müller LP, Spies CK (2015) Update TFCC: histology and pathology, classification, examination and diagnostics. Arch Orthop Trauma Surg 135:427–437

    PubMed  Google Scholar 

  30. Konul E, Krimmer H (2012) Open wedge corrective osteotomy of malunited distal radius fractures through a palmar approach. A retrospective analysis. Unfallchirurg 115:623–628

    CAS  PubMed  Google Scholar 

  31. Krimmer H, Tränkle M, Schober F et al (1998) Ulna-Impaction-syndrom-therapie: druckentlastende Verfahren am Ulnakopf. Handchir Mikrochir Plast Chir 30:370–374

    CAS  PubMed  Google Scholar 

  32. Krimmer H, Unglaub F, Langer MF, Spies CK (2016) The distal radial decompression osteotomy for ulnar impingement syndrome. Arch Orthop Trauma Surg 136:143–148

    PubMed  Google Scholar 

  33. Krimmer H, Schandl R, Wolters R (2020) Corrective osteotomy after malunited distal radius fractures. Arch Orthop Trauma Surg. https://doi.org/10.1007/s00402-020-03370-1

    Article  PubMed  Google Scholar 

  34. Lameijer CM, Ten Duis HJ, Vroling D, Hartlief MT, El Moumni M, van der Sluis CK (2018) Prevalence of posttraumatic arthritis following distal radius fractures in non-osteoporotic patients and the association with radiological measurements, clinician and patient-reported outcomes. Arch Orthop Trauma Surg 138:1699–1712

    CAS  PubMed  PubMed Central  Google Scholar 

  35. Leixnering M, Rosenauer R, Pezzei Ch et al (2020) Indications, surgical approach, reduction, and stabilization techniques of distal radius fractures. Arch Orthop Trauma Surg. https://doi.org/10.1007/s00402-020-03365-y

    Article  PubMed  Google Scholar 

  36. Loh YC, Van Den Abbeele K, Stanley JK, Trail IA (1999) The results of ulnar shortening for ulnar impaction syndrome. J Hand Surg Br 24:316–320

    CAS  PubMed  Google Scholar 

  37. Löw S, Herold A, Unglaub F et al (2018) Treatment of ulnar impaction syndrome with and without central TFCC lesion. J Wrist Surg 7:133–140

    PubMed  Google Scholar 

  38. Löw S, Mühldorfer-Fodor M, Pillukat T, Prommersberger KJ, van Schoonhoven J (2014) Ulnar shortening osteotomy for malunited distal radius fractures: results of a 7-year follow-up with special regard to the grade of radial displacement and post-operative ulnar variance. Arch Orthop Trauma Surg 1341:131–137

    Google Scholar 

  39. Löw S, Spies CK, Unglaub F et al (2018) Diagnostik und Therapie der degenerativen Diskusläsion. Orthopäde 47:670–676

    PubMed  Google Scholar 

  40. Mathoulin C (2015) Distal ulnar resection. In: Mathoulin C (ed) Wrist arthroscopy techniques, 1st edn. Georg Thieme Verlag, pp 75–81

  41. Megerle K, Hellmich S, Germann G et al (2015) Hardware location and clinical outcome in ulnar shortening osteotomy. Plast Reconstr Surg Glob Open 3:1–6

    Google Scholar 

  42. Meier R, Krimmer H (2002) Die Ulnaverkürzungsosteotomie. Operat Orthop Traumatol 14:205–214

    Google Scholar 

  43. Milch H (1941) Cuff resection of the ulna for malunited Colles fracture. J Hand Surg Am 23:311–313

    Google Scholar 

  44. Moermans A, Degreef I, De Smet L (2007) Ulnar shortening osteotomy for ulnar idiopathic impaction syndrome. Scand J Plast Reconstr Surg Hand Surg 41:310–314

    PubMed  Google Scholar 

  45. Nishiwaki M, Nakamura T, Nakao Y et al (2005) Ulnar shortening effect on distal radioulnar joint stability: a biomechanical study. J Hand Surg Am 30:719–726

    PubMed  Google Scholar 

  46. Palmer AK (1989) Triangular fibrocartilage complex lesions: a classification. J Hand Surg Am 14:594–606

    CAS  PubMed  Google Scholar 

  47. Palmer AK, Glisson RR, Werner FW (1984) Relationship between ulnar variance and triangular fibrocartilage complex thickness. J Hand Surg Am 9:681–683

    CAS  PubMed  Google Scholar 

  48. Palmer AK, Werner FW (1984) Biomechanics of the distal radioulnar joint. Clin Orthop 187:26–35

    Google Scholar 

  49. Prommersberger KJ, Kalb K, van Schoonhoven J (2007) Malunited fractures of the distal radius-biomechanics and operative treatment options. Handchir Mikrochir Plast Chir 39:9–18

    PubMed  Google Scholar 

  50. Prommersberger KJ, Lanz U (1999) Biomechanical aspects of malunited distal radius fracture. a review of the literature. Handchir Mikrochir Plast Chir 31:221–226

    CAS  PubMed  Google Scholar 

  51. Prommersberger KJ, Pillukat T, Mühldorfer M, van Schoonhoven J (2012) Malunion of the distal radius. Arch Orthop Trauma Surg 132:693–702

    PubMed  Google Scholar 

  52. Quadlbauer S, Pezzei C, Hintringer W, Hausner T, Leixnering M (2018) Klinische Untersuchung des distalen. Radioulnargelenks Orthopäde 47:628–636

    CAS  Google Scholar 

  53. Quadlbauer S, Pezzei C, Jurkowitsch J, Rosenauer R, Pichler A, Schättin S, Hausner T, Leixnering M (2018) Early complications and radiological outcome after distal radius fractures stabilized by volar angular stable locking plate. Arch Orthop Trauma Surg 138:1773–1782

    PubMed  Google Scholar 

  54. Rayhack JM (2003) Ulnar shortening. Tech Hand Up Extrem Surg 7:52–60

    PubMed  Google Scholar 

  55. Rosenauer R, Pezzei Ch, Quadlbauer S et al (2020) Complications after operatively treated distal radius fractures. Arch Orthop Trauma Surg. https://doi.org/10.1007/s00402-020-03372-z

    Article  PubMed  Google Scholar 

  56. Schermann H, Kadar A, Dolkart O, Atlan F, Rosenblatt Y, Pritsch T (2018) Repeated closed reduction attempts of distal radius fractures in the emergency department. Arch Orthop Trauma Surg 138:591–596

    PubMed  Google Scholar 

  57. Schlageter M, Hoffmann R, Sauerbier M (2016) Corrective osteotomy of the radius. Trauma Berufskrankh 18:157–163

    Google Scholar 

  58. Schlickum L, Quadlbauer S, Pezzei C, Stöphasius E, Hausner T, Leixnering M (2019) Three-dimensional kinematics of the flexor pollicis longus tendon in relation to the position of the FPL plate and distal radius width. Arch Orthop Trauma Surg 139:269–279

    CAS  PubMed  Google Scholar 

  59. Schmauss D, Pöhlmann S, Lohmeyer JA, Germann G, Bickert B, Megerle K (2016) Clinical tests and magnetic resonance imaging have limited diagnostic value for triangular fibrocartilaginous complex lesions. Arch Orthop Trauma Surg 136:873–880

    CAS  PubMed  Google Scholar 

  60. Schmelzer-Schmied N (2016) Arthroscopic refixation of TFCC by bone screw anchor. Oper Orthop Traumatol 28:251–262

    CAS  PubMed  Google Scholar 

  61. Schmitt R (2018) Radiologie des distalen Radioulnargelenks und des ulnokarpalen Komplexes. Orthopäde 47:637–646

    CAS  PubMed  Google Scholar 

  62. Spies CK, Müller LP, Unglaub F, Hahn P, Klum M, Oppermann J (2014) Anatomical transosseous fixation of the deep and superficial fibers of the radioulnar ligaments. Arch Orthop Trauma Surg 134:1783–1788

    PubMed  Google Scholar 

  63. Spies CK, Langer M, Müller LP et al (2020) Distal radioulnar joint instability: current concepts of treatment. Arch Orthop Trauma Surg. https://doi.org/10.1007/s00402-020-03371-0

    Article  PubMed  Google Scholar 

  64. Srinivasan RC, Jain D, Richard MJ et al (2013) Isolated ulnar shortening osteotomy for the treatment of extra-articular distal radius malunion. J Hand Surg Am 38:1106–1110

    PubMed  Google Scholar 

  65. Stockton DJ, Pelletier ME, Pike JM (2015) Operative treatment of ulnar impaction syndrome: a systematic review. J Hand Surg Eur 40:470–476

    CAS  Google Scholar 

  66. Tatebe M, Nishizuka T, Hirata H, Nakamura R (2014) Ulnar shortening osteotomy for ulnar-sided wrist pain. J Wrist Surg 3:77–84

    PubMed  PubMed Central  Google Scholar 

  67. Tay SC, Tomita K, Berger RA (2007) The "ulnar fovea sign" for defining ulnar wrist pain: an analysis of sensitivity and specificity. J Hand Surg Am 324:438–444

    Google Scholar 

  68. Terzis A, Neubrech F, Sebald J, Sauerbier M (2019) Treatment of ulnar impaction syndrome. Handchirurgie Scan 08:201–216

    Google Scholar 

  69. Terzis A, Neubrech F, Sebald J, Sauerbier M (2019) Surgical treatment of ulnar impaction syndrome: Ulnar shortening osteotomy through the ulnopalmar approach using a low-profile, locking plate. Oper Orthop Traumatol 31:547–556

    CAS  PubMed  Google Scholar 

  70. Tolat AR, Stanley JK, Trail IA (1996) A cadaveric study of the anatomy and stability of the distal radioulnar joint in the coronal and transverse planes. J Hand Surg Br 21:587–594

    CAS  PubMed  Google Scholar 

  71. Tomaino MM, Elfar J (2005) Ulnar impaction syndrome. Hand Clin 21:567–575

    PubMed  Google Scholar 

  72. Weihrauch M, Bickert B, Germann G, Sauerbier M (2006) Functional outcome after corrective osteotomy of the distal radius. Unfallchirurg 109:93–100

    CAS  PubMed  Google Scholar 

  73. Wnorowski DC, Palmer AK, Werner F et al (1992) Anatomic and biomechanical analysis of the arthroscopic wafer procedure. Arthroscopy 8:204–212

    CAS  PubMed  Google Scholar 

Download references

Funding

None.

Author information

Affiliations

Authors

Corresponding author

Correspondence to Athanasios Terzis.

Ethics declarations

Conflict of interest

Sauerbier M has a research and development contract with Medartis, Basel/Switzerland. The co-authors have no conflict of interest.

Additional information

Publisher's Note

Springer Nature remains neutral with regard to jurisdictional claims in published maps and institutional affiliations.

Rights and permissions

Reprints and Permissions

About this article

Verify currency and authenticity via CrossMark

Cite this article

Terzis, A., Koehler, S., Sebald, J. et al. Ulnar shortening osteotomy as a treatment of symptomatic ulnar impaction syndrome after malunited distal radius fractures. Arch Orthop Trauma Surg 140, 681–695 (2020). https://doi.org/10.1007/s00402-020-03374-x

Download citation

  • Received:

  • Published:

  • Issue Date:

  • DOI: https://doi.org/10.1007/s00402-020-03374-x

Keywords

  • Ulnar impaction syndrome
  • Ulnar shortening osteotomy
  • Ulnar variance
  • Malunion
  • Distal radius fracture