Skip to main content

Simultaneous double dislocation of the interphalangeal joint in a finger

Abstract

Isolated traumatic dislocation of the distal and proximal interphalangeal joints of the fingers is a common occurrence. However, simultaneous dislocation of both interphalangeal joints in a single finger appears to be a rare event. We report five cases of simultaneous dislocation of both interphalangeal joints in a single finger with a review of the literature.

This is a preview of subscription content, access via your institution.

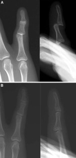
Fig. 1
Fig. 2

References

  1. Bartels M (1874) Traumatische Luxationen. Arch Chir 16:636–654

    Google Scholar 

  2. Bayne O, Chabot JM, Carr JP, Evans EF (1990) Simultaneous dorsal dislocation of interphalangeal joints in a finger. Clin Orthop Relat Res 257:104–106

    PubMed  Google Scholar 

  3. Espinosa RH, Renart IP (1980) Simultaneous dislocation of the interphalangeal joints in a finger: case report. J Hand Surg Am 5(6):617–618

    PubMed  CAS  Google Scholar 

  4. Hutchison JD, Hooper G, Robb JE (1991) Double dislocations of digits. J Hand Surg Br 16(1):114–115

    PubMed  CAS  Article  Google Scholar 

  5. Inoue G, Kino Y, Kondo K (1993) Simultaneous dorsal dislocation of both interphalangeal joints in a finger. Am J Sports Med 21(2):323–325

    PubMed  Article  CAS  Google Scholar 

  6. Krebs B, Grøn LK (1984) Simultaneous dorsal dislocation of both interphalangeal joints in a finger. Br J Sports Med 18(3):217–219

    PubMed  Article  CAS  Google Scholar 

  7. Kuczynski K (1968) The proximal interphalangeal joint: anatomy and causes of stiffness in the fingers. J Bone Joint Surg Br 50(3):656–663

    PubMed  CAS  Google Scholar 

  8. Nathan FF, Schlein AP (1973) Multiple dislocations of a single finger. Hand 5(1):52–54

    PubMed  Article  CAS  Google Scholar 

  9. Terndrup TE, Schreck DM (1988) Simultaneous dorsal dislocation of the proximal and distal interphalangeal joints in one digit. Ann Emerg Med 17(4):368–370

    PubMed  Article  CAS  Google Scholar 

  10. Van Ransbeeck H, De Smet L (2004) Double dislocation of both interphalangeal joints in the finger: case report and literature review. Acta Orthop Belg 70(1):72–75

    PubMed  Google Scholar 

Download references

Acknowledgments

This was an institutional review board-approved study. Investigation was performed at the Holy Family Hospital, The Catholic University of Korea, Bucheon, Korea. None of the authors received financial support for this study.

Author information

Affiliations

Authors

Corresponding author

Correspondence to Il-Jung Park.

Rights and permissions

Reprints and Permissions

About this article

Cite this article

Kim, YS., Song, HS., Kim, HM. et al. Simultaneous double dislocation of the interphalangeal joint in a finger. Arch Orthop Trauma Surg 129, 1387–1390 (2009). https://doi.org/10.1007/s00402-009-0831-y

Download citation

  • Received:

  • Published:

  • Issue Date:

  • DOI: https://doi.org/10.1007/s00402-009-0831-y

Keywords

  • Distal and proximal interphalangeal joints
  • Simultaneous dislocation