Skip to main content

Augmented pin fixation with Cortoss® for an unstable AO-A3 type distal radius fracture in a patient with a manifest osteoporosis

Abstract

Distal radius fractures are one of the most common fractures in the elderly females. In this article, we report a case of a distal radius fracture type AO-A3 with dorsal instability, in an older woman with manifest osteoporosis, treated with minimally invasive Cortoss® composite and FFS-wires®. A 63-year-old woman sustained an unstable distal radial fracture of her left wrist after falling from a kitchen step. She underwent an open reduction of the fracture and fixation with two crossed-fixation pins and Cortoss® composite. Post-operative plaster cast immobilization was given for 2 weeks, after which the plaster cast and the fixation pins were removed. At 4 weeks follow-up, she had a good functional result of her left wrist, after 11 months there was a complete return of grip strength with also, except for the palmar flexion, a full return of function. We report here the first case of a successful surgical treatment with Cortoss® composite of an AO-A3 type distal radius fracture.

This is a preview of subscription content, access via your institution.

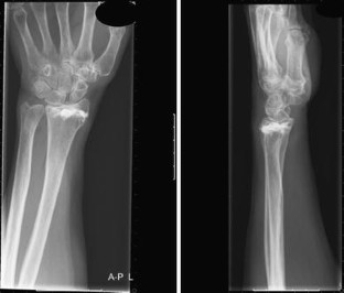
Fig. 1
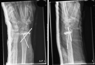
Fig. 2
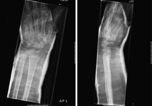
Fig. 3
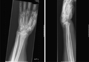
Fig. 4
Fig. 5
Fig. 6

References

  1. Grewal R, Perey B, Wilmink M, Stothers K (2005) A randomised prospective study on the treatment of intra-articular distal radius fractures: open reduction and internal fixation with dorsal plating versus mini open reduction, percutaneous fixation, and external fixation. J Hand Surg 30A:764–772

    Google Scholar 

  2. Hegeman JH, Oskam J, van der Palen J, Ten Duis HJ, Vierhout PAM (2004) Primary external fixation versus plaster immobilisation of the intra-articular unstable distal radius fracture in the elderly. Akt Traumatol 34:64–70

    Article  Google Scholar 

  3. Penning D, Gausepohl T (1996) External fixation of the wrist. Injury 27:1–15

    Article  Google Scholar 

  4. Handoll HHG, Madhok R (2006) Surgical interventions for treating distal radius fractures in adults. Cochrane database of systemic reviews, issue 1.

  5. Cassidy C, Jupiter JB, Cohen M et al (2003) Norian SRS cement compared with conventional fixation in distal radial fractures. A randomized study. J Bone Joint Surg Am 85:2127–2137

    PubMed  Google Scholar 

  6. Kopylov P, Adalberth K, Jonsson K et al (2002) Norian SRS versus functional treatment in redisplaced distal radial fractures: a randomized study in 20 patients. J Hand Surg (Br) 27:538–541

    CAS  Google Scholar 

  7. Kopylov P, Runnqvist K, Jonsson K et al (1999) Norian SRS versus external fixation in redisplaced distal radial fractures. A randomized study in 40 patients. Acta Orthop Scand 70:1–5

    PubMed  CAS  Google Scholar 

  8. Sanchez-Sotelo J, Munuera L, Madero R (2000) Treatment of fractures of the distal radius with a remodellable bone cement: a prospective, randomised study using Norian SRS. J Bone Joint Surg Br 82:856–863

    PubMed  Article  CAS  Google Scholar 

  9. Hegeman JH, Willemsen G, van Nieuwpoort J, Kreeftenberg HG, van der Veer E, Slaets JPJ et al (2004) Doeltreffende opsporing van osteoporose in de Fractuur- en Osteoporose kliniek in Groningen; analyse na de eerste 100 patiënten. Ned Tijdschr Geneeskd 148:2180–2185

    PubMed  CAS  Google Scholar 

  10. Hegeman JH (2006) Fractures of the distal radius and osteoporosis in the elderly patient. From treatment of the unstable distal radius fracture to the fracture and osteoporosis outpatient clinic. Thesis, p 101

  11. Oskam J, Kingma J, Bart J, Klasen HJ (1997) K-wire fixation for redislocated Colles’ fractures. Malunion in 8/21 cases. Acta Orthop Scand 68(3):259–261

    PubMed  CAS  Article  Google Scholar 

  12. Wong KK, Chan KW, Kwok TK, Mak KH (2005) Volar fixation of dorsally displaced distal radius fracture using locking compression plate. J Orthopaedic Surgery 13(2):153–157

    CAS  Google Scholar 

  13. Orbay JL, Fernandez DL (2002) Volar fixation for dorsally displaced fractures of the distal radius: a preliminary report. J Hand Surg 27A:205–215

    Google Scholar 

  14. Imatani J, Noda T, Morito Y, Sato H, Hashizume H, Inoue H (2005) Minimally invasive plate osteosynthesis for comminuted fractures of the metaphysic of the radius. J Hand Surg 30B:220–225

    Google Scholar 

  15. Orbay JL, Fernandez DL (2004) Volar fixed angle plate fixation for unstable distal radius fractures in the elderly patient. J Hand Surg 29A:96–102

    Google Scholar 

  16. Mehling I, Meier M, Schior U, Krimmer H (2007) Multidirectional palmar fixed-angle plate fixation for unstable distal radius fracture. Handchir Mikrochir Plastic Chir 39(1):29–33

    Article  CAS  Google Scholar 

  17. Arora R, Lutz M, Hennerbichler A, Krappinger D, Md DE, Gabi M (2007) Complications following internal fixation of unstable distal radius fracture with a palmar locking plate. J Orthopaedic Trauma 21(5):316–322

    Article  Google Scholar 

  18. Szpalski M, Gunzburg R, Hayez JP, Passuti N (2004) Reinforcement of lag screw fixation with a new composite biomaterial (Cortoss®) for pertrochanteric fractures. J Bone Joint Surg 86(B) (Suppl 1):38

    Google Scholar 

  19. Szpalski M, Descamps PY, Hayez JP, Raad E, Gunzburg R, Keller T, Kosmopoulos V (2004) Prevention of hip lag screw cut-out by cement augmentation: description of a new technique and preliminary clinical results. J Orthop Trauma 18:34–40

    PubMed  Article  Google Scholar 

  20. Middleton ET, Rajaraman CJ, O’Brien DP, Doherty SM, Taylor AD (2008) The safety and efficacy of vertebroplasty using Cortoss cement in a newly established vertebroplasty service. Br J Neurosurg 22(2):252–256

    PubMed  Article  CAS  Google Scholar 

  21. Erbe EM, Clineff TD, Gualtieri G (2001) Comparison of a new bisphenol-a-glycidyl dimethacrylate-based cortical bone void filler with polymethyl methacrylate. Eur Spine J 10(2):S147–S152

    PubMed  Article  Google Scholar 

  22. Sanus GZ, Tanriverdi T, Ulu MO, Kafadar AM, Tanriover N, Ozlen F (2008) Use of Cortoss as an alternative material in calvarial defects: the first clinical results in cranioplasty. J Craniofac Surg 19(1):88–95

    PubMed  Google Scholar 

  23. Beckmann J, Ferguson SJ, Gebauer M, Luering C, Gasser B, Heini P (2006) Femoroplasty—augmentation of the proximal femur with a composite bone cement—feasibility, biomechanical properties and osteosynthesis potential. Med Eng Phys 29(7):755–764

    PubMed  Article  Google Scholar 

  24. Andreassen GS, Hoiness PR, Skraamm I, Granlund O, Engebretsen L (2004) Use of a synthetic bone void filler to augment screws in osteopenic ankle fracture fixation. Arch Orthop Trauma Surg 124:161–165

    PubMed  Article  Google Scholar 

Download references

Author information

Affiliations

Authors

Corresponding author

Correspondence to J. H. Hegeman.

Rights and permissions

Reprints and Permissions

About this article

Cite this article

Smit, R.S., van der Velde, D. & Hegeman, J.H. Augmented pin fixation with Cortoss® for an unstable AO-A3 type distal radius fracture in a patient with a manifest osteoporosis. Arch Orthop Trauma Surg 128, 989–993 (2008). https://doi.org/10.1007/s00402-008-0680-0

Download citation

  • Received:

  • Published:

  • Issue Date:

  • DOI: https://doi.org/10.1007/s00402-008-0680-0

Keywords

  • Distal radius fracture
  • Minimal invasive
  • Cortoss
  • Osteoporosis
  • Elderly patients