Skip to main content

The SLAP lesion as a reason for glenolabral cysts: a report of five cases and review of the literature

Abstract

Introduction: Cysts in the spinoglenoidal or supraglenoidal incisura can be a cause of compression of the suprascapular nerve. There is agglomerated appearance of these cysts in combination with SLAP lesions. Hypothesis is SLAP lesions can lead to cysts in this region and should be repaired. Material and methods: MRI of five patients (all male, four 30–40 years, one 75 years) showed cysts in the supralabral region. All were in combination with lesions of the superior glenoidal labrum (Type II or more). Results: In two cases, in addition to cyst resection, the SLAP lesion was also repaired and symptoms disappeared completely and no recurrent cyst was detected in postoperative MRI. Two patients without SLAP repair showed recurrent cystic formation in MRI with similar complaints compared to their preoperative status. One patient (75 years) was treated primarily by puncture and afterwards with open resection of the cyst. His outcome was good in terms of activities of daily living without major pain. Conclusions: Our results are based on the assumption that cysts in the region of the spinoglenoidal/supraglenoidal incisura can originate from SLAP lesions. If a patient is suspected of having cysts in this region, the question of a SLAP lesion should be clarified. SLAP lesions should be repaired to avoid relapse. Arthroscopic repair of SLAP lesion can lead to the disappearance of symptoms in younger patients. In older patients puncture or resection of the ganglion alone may be an adequate therapeutic strategy.

This is a preview of subscription content, access via your institution.

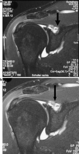
Fig. 1
Fig. 2
Fig. 3
Fig. 4
Fig. 5

References

  1. Angelides AC, Wallace PF (1976) The dorsal ganglion of the wrist: its pathogenesis, gross and microscopic anatomy, and surgical treatment. J Hand Surg [Am] 1:228–235

    CAS  Google Scholar 

  2. Antoniadis G, Richter HP, Rath S et al (1996) Suprascapular nerve entrapment: experience with 28 cases. J Neurosurg 85:1020–1025

    PubMed  CAS  Article  Google Scholar 

  3. Barrie HJ (1979) The pathogenesis and significance of menisceal cysts. J Bone Joint Surg Br 61-B:184–189

    PubMed  CAS  Google Scholar 

  4. Bey MJ, Elders GJ, Huston LJ et al (1998) The mechanism of creation of superior labrum, anterior, and posterior lesions in a dynamic biomechanical model of the shoulder: the role of inferior subluxation. J Shoulder Elbow Surg 7:397–401

    PubMed  Article  CAS  Google Scholar 

  5. Black KP, Lombardo JA (1990) Suprascapular nerve injuries with isolated paralysis of the infraspinatus. Am J Sports Med 18:225–228

    PubMed  CAS  Google Scholar 

  6. Burkhart SS, Fox DL (1993) Case report: arthroscopic repair of a type IV SLAP lesion–the red-on-white lesion as a component of anterior instability. Arthroscopy 9:488–492

    PubMed  CAS  Article  Google Scholar 

  7. Burkhart SS, Morgan CD, Kibler WB (2003) The disabled throwing shoulder: spectrum of pathology Part I: pathoanatomy and biomechanics. Arthroscopy 19:404–420

    PubMed  Article  Google Scholar 

  8. Chochole MH, Senker W, Meznik C et al (1997) Glenoid-labral cyst entrapping the suprascapular nerve: dissolution after arthroscopic debridement of an extended SLAP lesion. Arthroscopy 13:753–755

    PubMed  CAS  Article  Google Scholar 

  9. Coral A, van Holsbeeck M, Adler RS (1989) Imaging of meniscal cyst of the knee in three cases. Skeletal Radiol 18:451–455

    PubMed  Article  CAS  Google Scholar 

  10. Cummins CA, Messer TM, Nuber GW (2000) Suprascapular nerve entrapment. J Bone Joint Surg Am 82:415–424

    PubMed  CAS  Google Scholar 

  11. Dietz SO, Lichtenberg S, Habermeyer P (2003) Non-traumatic shoulder instability in an athletic patient with a periglenoidal cyst and a glenoid labral tear. Acta Orthop Belg 69:373–376

    PubMed  Google Scholar 

  12. Ferretti A, De Carli A, Fontana M (1998) Injury of the suprascapular nerve at the spinoglenoid notch. The natural history of infraspinatus atrophy in volleyball players. Am J Sports Med 26:759–763

    PubMed  CAS  Google Scholar 

  13. Ferrick MR, Marzo JM (1997) Ganglion cyst of the shoulder associated with a glenoid labral tear and symptomatic glenohumeral instability. A case report. Am J Sports Med 25:717–719

    PubMed  CAS  Google Scholar 

  14. Hirayama T, Takemitsu Y (1981) Compression of the suprascapular nerve by a ganglion at the suprascapular notch. Clin Orthop 95–96

  15. Iannotti JP, Ramsey ML (1996) Arthroscopic decompression of a ganglion cyst causing suprascapular nerve compression. Arthroscopy 12:739–745

    PubMed  CAS  Article  Google Scholar 

  16. Kessler MA, Burkart A, Weiss M et al (2003) SLAP lesions as a cause of posterior instability. Orthopade 32:642–646

    PubMed  Article  CAS  Google Scholar 

  17. King E (1932) The pathology of ganglion. Aust N Z J Surg 1:367–381

    Google Scholar 

  18. Kopell HP, Thompson WA (1959) Pain and the frozen shoulder. Surg Gynecol Obstet 109:92–96

    PubMed  CAS  Google Scholar 

  19. Leitschuh PH, Bone CM, Bouska WM (1999) Magnetic resonance imaging diagnosis, sonographically directed percutaneous aspiration, and arthroscopic treatment of a painful shoulder ganglion cyst associated with a SLAP lesion. Arthroscopy 15:85–87

    PubMed  CAS  Article  Google Scholar 

  20. Lichtenberg S, Magosch P, Habermeyer P (2003) Compression of the suprascapular nerve by a ganglion cyst of the spinoglenoid notch: the arthroscopic solution. Knee Surg Sports Traumatol Arthrosc 1:1

    Google Scholar 

  21. Liveson JA, Bronson MJ, Pollack MA (1991) Suprascapular nerve lesions at the spinoglenoid notch: report of three cases and review of the literature. J Neurol Neurosurg Psychiatry 54:241–243

    PubMed  CAS  Article  Google Scholar 

  22. Mills CA, Henderson IJ (1993) Cysts of the medial meniscus. Arthroscopic diagnosis and management. J Bone Joint Surg Br 75:293–298

    PubMed  CAS  Google Scholar 

  23. Moore TP, Fritts HM, Quick DC, Buss DD (1997) Suprascapular nerve entrapment caused by supraglenoid cyst compression. J Shoulder Elbow Surg 5:455–461

    Google Scholar 

  24. Pagnani MJ, Deng XH, Warren RF et al (1995) Effect of lesions of the superior portion of the glenoid labrum on glenohumeral translation. J Bone Joint Surg Am 77:1003–1010

    PubMed  CAS  Google Scholar 

  25. Passler JM, Hofer HP, Peicha G et al (1993) Arthroscopic treatment of meniscal cysts. J Bone Joint Surg Br 75:303–304

    PubMed  CAS  Google Scholar 

  26. Piatt BE, Hawkins RJ, Fritz RC et al (2002) Clinical evaluation and treatment of spinoglenoid notch ganglion cysts. J Shoulder Elbow Surg 11:600–604

    PubMed  Article  Google Scholar 

  27. Ringel SP, Treihaft M, Carry M et al (1990) Suprascapular neuropathy in pitchers. Am J Sports Med 18:80–86

    PubMed  CAS  Google Scholar 

  28. Rodosky MW, Harner CD, Fu FH (1994) The role of the long head of the biceps muscle and superior glenoid labrum in anterior stability of the shoulder. Am J Sports Med 22:121–130

    PubMed  CAS  Google Scholar 

  29. Rupp S, Seil R, Jochum P et al (2002) Popliteal cysts in adults. Prevalence, associated intraarticular lesions, and results after arthroscopic treatment. Am J Sports Med 30:112–115

    PubMed  Google Scholar 

  30. Salzer M, Salzer-Kuntschik M (1968) Ganglions with bone participation. Archiv für Orthopädie Unfall-Chirugie 64:87–99

    CAS  Google Scholar 

  31. Soren A (1966) Pathogenesis and treatment of ganglion. Clin Orthop 48:173–179

    PubMed  CAS  Google Scholar 

  32. Thompson WA, Kopell HP (1959) Peripheral entrapment neuropathies of the upper extremity. N Engl J Med 260:1261–1265

    PubMed  CAS  Article  Google Scholar 

  33. Tirman PF, Feller JF, Janzen DL et al (1994) Association of glenoid labral cysts with labral tears and glenohumeral instability: radiologic findings and clinical significance. Radiology 190:653–658

    PubMed  CAS  Google Scholar 

  34. Ueo T, Hamabuchi M (1984) Hip pain caused by cystic deformation of the labrum acetabulare. Arthritis Rheum 27:947–950

    PubMed  Article  CAS  Google Scholar 

  35. Westerheide KJ, Karzel RP (2003) Ganglion cysts of the shoulder: technique of arthroscopic decompression and fixation of associated type II superior labral anterior to posterior lesions. Orthop Clin North Am 34:521–528

    PubMed  Article  Google Scholar 

Download references

Author information

Affiliations

Authors

Corresponding author

Correspondence to M. A. Kessler.

Rights and permissions

Reprints and Permissions

About this article

Cite this article

Kessler, M.A., Stoffel, K., Oswald, A. et al. The SLAP lesion as a reason for glenolabral cysts: a report of five cases and review of the literature. Arch Orthop Trauma Surg 127, 287–292 (2007). https://doi.org/10.1007/s00402-006-0154-1

Download citation

  • Received:

  • Published:

  • Issue Date:

  • DOI: https://doi.org/10.1007/s00402-006-0154-1

Keywords

  • SLAP lesion
  • Suprascapular nerve
  • Compression
  • Glenolabral cysts
  • Ganglion