Skip to main content

Concomitant plantar tarsometatarsal (Lisfranc) and metatarsophalangeal joint dislocations

Abstract

We report an unusual case of concomitant plantar tarsometatarsal (Lisfranc) and 1st and 2nd metatarsophalangeal (MTP) joint dislocations and fracture of the neck of the third metatarsal bone which has never been reported before. The plantar dislocation of the Lisfranc joint was treated by open reduction and fixation with K-wires; the dislocations of the MTP joints and neck fracture of the third metatarsal bone were treated by closed reduction and percutaneous fixation with K-wires and immobilized with a plaster cast. At the 5 year follow-up examination, our patient had no complaints, but the radiograph showed degenerative changes of the Lisfranc and the 1st MTP joint.

This is a preview of subscription content, access via your institution.

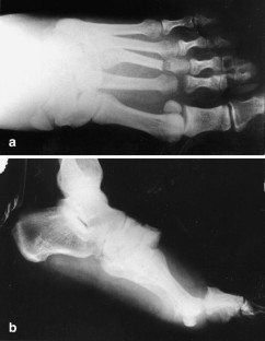
Fig. 1a,b.
Fig. 2a,b.
Fig. 3a,b.

References

  1. Brunet JA (1996) Pathomechanics of complex dislocation of the first metatarsophalangeal joint. Clin Orthop 332:126–131

    PubMed  Google Scholar 

  2. Charrois O, Begue T, Muller GP, Masquelet AC (1998) Plantar dislocation of the tarso-metatarsal articulation (Lisfranc articulation). Apropos of a case. Rev Chir Orthop 84:197–201

    CAS  PubMed  Google Scholar 

  3. English TA (1964) Dislocation of the metatarsal bone adjacent toe. J Bone Joint Surg Br 46:700–704

    CAS  Google Scholar 

  4. Goossens M, De Stoop N (1983) Lisfranc's factor dislocations: etiology, radiology, and results of treatment. Clin Orthop 176:154–162

    PubMed  Google Scholar 

  5. Leibner ED, Mattan Y, Shaoul J, Nyska M (1997) Floating metatarsal: concomitant Lisfranc fracture-dislocation and complex dislocation of the first metatarsophalangeal joint. J Trauma 42:549–552

    CAS  PubMed  Google Scholar 

  6. Rabin IS (1996) Lisfranc dislocation and associated metetarsophalangeal joint dislocations. Am J Orthop 25:305–309

    CAS  PubMed  Google Scholar 

  7. Taussing G, Hautier S, Maschas A (1969) Les fractures-luxations de l'articulation de Lisfranc. Ann Chir 23:1131–1141

    PubMed  Google Scholar 

  8. Trillat A, Leart JL, Leclerc P, Schuster P (1972) Les fractures-luxations tarso-métatarsiennes. Rev Chir Orthop 62:685–702

    Google Scholar 

  9. Trinquier JL, Filloux JR, Paul H, Jarde O, Vives P (1995) A propos d`une luxation bipolaire du premier metarsien. Acta Orthop Belg 3:238–241

    Google Scholar 

  10. Wilson DW (1972) Injuries of the tarsometatarsal joint: etiology, classification and results of treatment. J Bone Joint Surg Br 64:677–686

    Google Scholar 

Download references

Author information

Affiliations

Authors

Corresponding author

Correspondence to Miroslav Milankov.

Rights and permissions

Reprints and Permissions

About this article

Cite this article

Milankov, M., Miljkovic, N. & Popovic, N. Concomitant plantar tarsometatarsal (Lisfranc) and metatarsophalangeal joint dislocations. Arch Orthop Trauma Surg 123, 95–97 (2003). https://doi.org/10.1007/s00402-003-0477-0

Download citation

  • Received:

  • Published:

  • Issue Date:

  • DOI: https://doi.org/10.1007/s00402-003-0477-0

Keywords

  • Plantar fracture-dislocation
  • Lisfranc joint
  • Tarsometatarsal dislocation
  • Metatarsophalangeal dislocation
  • Metatarsal neck fracture