Skip to main content

Environmental neurotoxic challenge of conditional alpha-synuclein transgenic mice predicts a dopaminergic olfactory-striatal interplay in early PD

Abstract

The olfactory bulb (OB) is one of the first brain regions in Parkinson’s disease (PD) to contain alpha-synuclein (α-syn) inclusions, possibly associated with nonmotor symptoms. Mechanisms underlying olfactory synucleinopathy, its contribution to progressive aggregation pathology and nigrostriatal dopaminergic loss observed at later stages, remain unclear. A second hit, such as environmental toxins, is suggestive for α-syn aggregation in olfactory neurons, potentially triggering disease progression. To address the possible pathogenic role of olfactory α-syn accumulation in early PD, we exposed mice with site-specific and inducible overexpression of familial PD-linked mutant α-syn in OB neurons to a low dose of the herbicide paraquat. Here, we found that olfactory α-syn per se elicited structural and behavioral abnormalities, characteristic of an early time point in models with widespread α-syn expression, including hyperactivity and increased striatal dopaminergic marker. Suppression of α-syn reversed the dopaminergic phenotype. In contrast, paraquat treatment synergistically induced degeneration of olfactory dopaminergic cells and opposed the higher reactive phenotype. Neither neurodegeneration nor behavioral abnormalities were detected in paraquat-treated mice with suppressed α-syn expression. By increasing calpain activity, paraquat induced a pathological cascade leading to inhibition of autophagy clearance and accumulation of calpain-cleaved truncated and insoluble α-syn, recapitulating biochemical and structural changes in human PD. Thus our results underscore the primary role of proteolytic failure in aggregation pathology. In addition, we provide novel evidence that olfactory dopaminergic neurons display an increased vulnerability toward neurotoxins in dependence to presence of human α-syn, possibly mediating an olfactory-striatal dopaminergic network dysfunction in mouse models and early PD.

This is a preview of subscription content, access via your institution.

Fig. 1
Fig. 2
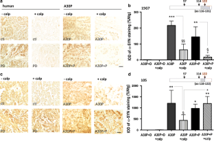
Fig. 3
Fig. 4
Fig. 5
Fig. 6
Fig. 7
Fig. 8
Fig. 9

References

  1. Anderson JP, Walker DE, Goldstein JM et al (2006) Phosphorylation of Ser-129 is the dominant pathological modification of alpha-synuclein in familial and sporadic Lewy body disease. J Biol Chem 281:29739–29752

    CAS  PubMed  Google Scholar 

  2. Bedard A, Parent A (2004) Evidence of newly generated neurons in the human olfactory bulb. Brain Res Dev Brain Res 151:159–168

    CAS  PubMed  Google Scholar 

  3. Berkowicz DA, Trombley PQ (2000) Dopaminergic modulation at the olfactory nerve synapse. Brain Res 855:90–99

    CAS  PubMed  Google Scholar 

  4. Braak H, Del Tredici K, Rub U et al (2003) Staging of brain pathology related to sporadic Parkinson’s disease. Neurobiol Aging 24:197–211

    PubMed  Google Scholar 

  5. Brodoehl S, Klingner C, Volk GF et al (2012) Decreased olfactory bulb volume in idiopathic Parkinson’s disease detected by 3.0-tesla magnetic resonance imaging. Mov Disord 27:1019–1025

    PubMed  Google Scholar 

  6. Brooks AI, Chadwick CA, Gelbard HA et al (1999) Paraquat elicited neurobehavioral syndrome caused by dopaminergic neuron loss. Brain Res 823:1–10

    CAS  PubMed  Google Scholar 

  7. Buchman VL, Ninkina N (2008) Modulation of alpha-synuclein expression in transgenic animals for modelling synucleinopathies–is the juice worth the squeeze? Neurotox Res 14:329–341

    PubMed Central  PubMed  Google Scholar 

  8. Cali T, Ottolini D, Brini M (2011) Mitochondria, calcium, and endoplasmic reticulum stress in Parkinson’s disease. Biofactors 37:228–240

    CAS  PubMed  Google Scholar 

  9. Cali T, Ottolini D, Negro A et al (2012) alpha-Synuclein controls mitochondrial calcium homeostasis by enhancing endoplasmic reticulum-mitochondria interactions. J Biol Chem 287:17914–17929

    CAS  PubMed Central  PubMed  Google Scholar 

  10. Cappai R, Leck SL, Tew DJ et al (2005) Dopamine promotes alpha-synuclein aggregation into SDS-resistant soluble oligomers via a distinct folding pathway. FASEB J 19:1377–1379

    CAS  PubMed  Google Scholar 

  11. Casadei N, Pohler AM, Tomas-Zapico C et al (2014) Overexpression of synphilin-1 promotes clearance of soluble and misfolded alpha-synuclein without restoring the motor phenotype in aged A30P transgenic mice. Hum Mol Genet 23:767–781

    Google Scholar 

  12. Cattarelli M (1982) The role of the medial olfactory pathways in olfaction: behavioral and electrophysiological data. Behav Brain Res 6:339–364

    CAS  PubMed  Google Scholar 

  13. Choi BK, Choi MG, Kim JY et al (2013) Large alpha-synuclein oligomers inhibit neuronal SNARE-mediated vesicle docking. Proc Natl Acad Sci USA 110:4087–4092

    CAS  PubMed Central  PubMed  Google Scholar 

  14. Chu Y, Kordower JH (2007) Age-associated increases of alpha-synuclein in monkeys and humans are associated with nigrostriatal dopamine depletion: is this the target for Parkinson’s disease? Neurobiol Dis 25:134–149

    CAS  PubMed  Google Scholar 

  15. Conway KA, Harper JD, Lansbury PT (1998) Accelerated in vitro fibril formation by a mutant alpha-synuclein linked to early-onset Parkinson disease. Nat Med 4:1318–1320

    CAS  PubMed  Google Scholar 

  16. Conway KA, Rochet JC, Bieganski RM et al (2001) Kinetic stabilization of the alpha-synuclein protofibril by a dopamine-alpha-synuclein adduct. Science 294:1346–1349

    CAS  PubMed  Google Scholar 

  17. Cookson MR, van der Brug M (2008) Cell systems and the toxic mechanism(s) of alpha-synuclein. Exp Neurol 209:5–11

    CAS  PubMed Central  PubMed  Google Scholar 

  18. Crews L, Spencer B, Desplats P et al (2010) Selective molecular alterations in the autophagy pathway in patients with Lewy body disease and in models of alpha-synucleinopathy. PLoS One 5:e9313

    PubMed Central  PubMed  Google Scholar 

  19. Cuervo AM, Dice JF (2000) Regulation of lamp2a levels in the lysosomal membrane. Traffic 1:570–583

    CAS  PubMed  Google Scholar 

  20. Daher JP, Ying M, Banerjee R et al (2009) Conditional transgenic mice expressing C-terminally truncated human alpha-synuclein (alphaSyn119) exhibit reduced striatal dopamine without loss of nigrostriatal pathway dopaminergic neurons. Mol Neurodegener 4:34

    PubMed Central  PubMed  Google Scholar 

  21. Dauer W, Kholodilov N, Vila M et al (2002) Resistance of alpha -synuclein null mice to the parkinsonian neurotoxin MPTP. Proc Natl Acad Sci USA 99:14524–14529

    CAS  PubMed Central  PubMed  Google Scholar 

  22. De Tullio R, Cantoni C, Broggio C et al (2009) Involvement of exon 6-mediated calpastatin intracellular movements in the modulation of calpain activation. Biochim Biophys Acta 1790:182–187

    PubMed  Google Scholar 

  23. Di Monte D, Sandy MS, Ekstrom G et al (1986) Comparative studies on the mechanisms of paraquat and 1-methyl-4-phenylpyridine (MPP+) cytotoxicity. Biochem Biophys Res Commun 137:303–309

    PubMed  Google Scholar 

  24. Doty RL (2008) The olfactory vector hypothesis of neurodegenerative disease: is it viable? Ann Neurol 63:7–15

    PubMed  Google Scholar 

  25. Doty RL (2012) Olfaction in Parkinson’s disease and related disorders. Neurobiol Dis 46:527–552

    PubMed Central  PubMed  Google Scholar 

  26. Dufty BM, Warner LR, Hou ST et al (2007) Calpain-cleavage of alpha-synuclein: connecting proteolytic processing to disease-linked aggregation. Am J Pathol 170:1725–1738

    CAS  PubMed Central  PubMed  Google Scholar 

  27. Feng LR, Maguire-Zeiss KA (2011) Dopamine and paraquat enhance alpha-synuclein-induced alterations in membrane conductance. Neurotox Res 20:387–401

    CAS  PubMed Central  PubMed  Google Scholar 

  28. Fernagut PO, Hutson CB, Fleming SM et al (2007) Behavioral and histopathological consequences of paraquat intoxication in mice: effects of alpha-synuclein over-expression. Synapse 61:991–1001

    CAS  PubMed Central  PubMed  Google Scholar 

  29. Fleming SM, Salcedo J, Fernagut PO et al (2004) Early and progressive sensorimotor anomalies in mice overexpressing wild-type human alpha-synuclein. J Neurosci 24:9434–9440

    CAS  PubMed  Google Scholar 

  30. Freichel C, Neumann M, Ballard T et al (2007) Age-dependent cognitive decline and amygdala pathology in alpha-synuclein transgenic mice. Neurobiol Aging 28:1421–1435

    CAS  PubMed  Google Scholar 

  31. Games D, Seubert P, Rockenstein E et al (2013) Axonopathy in an alpha-synuclein transgenic model of Lewy body disease is associated with extensive accumulation of C-terminal-truncated alpha-synuclein. Am J Pathol 182:940–953

    CAS  PubMed Central  PubMed  Google Scholar 

  32. Gasser T (2009) Molecular pathogenesis of Parkinson disease: insights from genetic studies. Expert Rev Mol Med 11:e22

    PubMed  Google Scholar 

  33. Gomez-Isla T, Irizarry MC, Mariash A et al (2003) Motor dysfunction and gliosis with preserved dopaminergic markers in human alpha-synuclein A30P transgenic mice. Neurobiol Aging 24:245–258

    CAS  PubMed  Google Scholar 

  34. Graham DR, Sidhu A (2010) Mice expressing the A53T mutant form of human alpha-synuclein exhibit hyperactivity and reduced anxiety-like behavior. J Neurosci Res 88:1777–1783

    CAS  PubMed Central  PubMed  Google Scholar 

  35. Hawkes CH, Shephard BC, Daniel SE (1997) Olfactory dysfunction in Parkinson’s disease. J Neurol Neurosurg Psychiatry 62:436–446

    CAS  PubMed Central  PubMed  Google Scholar 

  36. Huisman E, Uylings HB, Hoogland PV (2008) Gender-related changes in increase of dopaminergic neurons in the olfactory bulb of Parkinson’s disease patients. Mov Disord 23:1407–1413

    PubMed  Google Scholar 

  37. Kabeya Y, Mizushima N, Ueno T et al (2000) LC3, a mammalian homologue of yeast Apg8p, is localized in autophagosome membranes after processing. EMBO J 19:5720–5728

    CAS  PubMed Central  PubMed  Google Scholar 

  38. Katzenschlager R, Lees AJ (2004) Olfaction and Parkinson’s syndromes: its role in differential diagnosis. Curr Opin Neurol 17:417–423

    PubMed  Google Scholar 

  39. Kertelge L, Bruggemann N, Schmidt A et al (2010) Impaired sense of smell and color discrimination in monogenic and idiopathic Parkinson’s disease. Mov Disord 25:2665–2669

    PubMed  Google Scholar 

  40. Kirik D, Rosenblad C, Burger C et al (2002) Parkinson-like neurodegeneration induced by targeted overexpression of alpha-synuclein in the nigrostriatal system. J Neurosci 22:2780–2791

    CAS  PubMed  Google Scholar 

  41. Koprich JB, Johnston TH, Huot P et al (2011) Progressive neurodegeneration or endogenous compensation in an animal model of Parkinson’s disease produced by decreasing doses of alpha-synuclein. PLoS One 6:e17698

    CAS  PubMed Central  PubMed  Google Scholar 

  42. Kordower JH, Bjorklund A (2013) Trophic factor gene therapy for Parkinson’s disease. Mov Disord 28:96–109

    CAS  PubMed  Google Scholar 

  43. Kurz A, Double KL, Lastres-Becker I et al (2010) A53T-alpha-synuclein overexpression impairs dopamine signaling and striatal synaptic plasticity in old mice. PLoS One 5:e11464

    PubMed Central  PubMed  Google Scholar 

  44. Lam HA, Wu N, Cely I et al (2011) Elevated tonic extracellular dopamine concentration and altered dopamine modulation of synaptic activity precede dopamine loss in the striatum of mice overexpressing human alpha-synuclein. J Neurosci Res 89:1091–1102

    CAS  PubMed  Google Scholar 

  45. Lelan F, Boyer C, Thinard R et al (2011) Effects of human alpha-synuclein A53T-A30P mutations on SVZ and local olfactory bulb cell proliferation in a transgenic rat model of Parkinson disease. Parkinsons Dis 2011:987084

    PubMed Central  PubMed  Google Scholar 

  46. Li W, West N, Colla E et al (2005) Aggregation promoting C-terminal truncation of alpha-synuclein is a normal cellular process and is enhanced by the familial Parkinson’s disease-linked mutations. Proc Natl Acad Sci USA 102:2162–2167

    CAS  PubMed Central  PubMed  Google Scholar 

  47. Lindvall O (2013) Developing dopaminergic cell therapy for Parkinson’s disease—give up or move forward? Mov Disord 28:268–273

    CAS  PubMed  Google Scholar 

  48. Liu CW, Giasson BI, Lewis KA et al (2005) A precipitating role for truncated alpha-synuclein and the proteasome in alpha-synuclein aggregation: implications for pathogenesis of Parkinson disease. J Biol Chem 280:22670–22678

    CAS  PubMed  Google Scholar 

  49. Lo Bianco C, Schneider BL, Bauer M et al (2004) Lentiviral vector delivery of parkin prevents dopaminergic degeneration in an alpha-synuclein rat model of Parkinson’s disease. Proc Natl Acad Sci USA 101:17510–17515

    CAS  PubMed Central  PubMed  Google Scholar 

  50. Lonskaya I, Hebron ML, Algarzae NK et al (2012) Decreased parkin solubility is associated with impairment of autophagy in the nigrostriatum of sporadic Parkinson’s disease. Neuroscience 232C:90

    CAS  PubMed  Google Scholar 

  51. Mai S, Muster B, Bereiter-Hahn J et al (2012) Autophagy proteins LC3B, ATG5 and ATG12 participate in quality control after mitochondrial damage and influence lifespan. Autophagy 8:47–62

    CAS  PubMed Central  PubMed  Google Scholar 

  52. Makino S, Smith MA, Gold PW (2002) Regulatory role of glucocorticoids and glucocorticoid receptor mRNA levels on tyrosine hydroxylase gene expression in the locus coeruleus during repeated immobilization stress. Brain Res 943:216–223

    CAS  PubMed  Google Scholar 

  53. Manning-Bog AB, McCormack AL, Li J et al (2002) The herbicide paraquat causes up-regulation and aggregation of alpha-synuclein in mice: paraquat and alpha-synuclein. J Biol Chem 277:1641–1644

    CAS  PubMed  Google Scholar 

  54. Markey KA, Towle AC, Sze PY (1982) Glucocorticoid influence on tyrosine hydroxylase activity in mouse locus coeruleus during postnatal development. Endocrinology 111:1519–1523

    CAS  PubMed  Google Scholar 

  55. Markopoulou K, Larsen KW, Wszolek EK et al (1997) Olfactory dysfunction in familial Parkinsonism. Neurology 49:1262–1267

    CAS  PubMed  Google Scholar 

  56. Marxreiter F, Nuber S, Kandasamy M et al (2009) Changes in adult olfactory bulb neurogenesis in mice expressing the A30P mutant form of alpha-synuclein. Eur J Neurosci 29:879–890

    PubMed  Google Scholar 

  57. Masini CV, Holmes PV, Freeman KG et al (2004) Dopamine overflow is increased in olfactory bulbectomized rats: an in vivo microdialysis study. Physiol Behav 81:111–119

    CAS  PubMed  Google Scholar 

  58. Masliah E, Rockenstein E, Veinbergs I et al (2000) Dopaminergic loss and inclusion body formation in alpha-synuclein mice: implications for neurodegenerative disorders. Science 287:1265–1269

    CAS  PubMed  Google Scholar 

  59. May VE, Nuber S, Marxreiter F et al (2012) Impaired olfactory bulb neurogenesis depends on the presence of human wild-type alpha-synuclein. Neuroscience 222:343–355

    CAS  PubMed  Google Scholar 

  60. McArthur S, McHale E, Gillies GE (2007) The size and distribution of midbrain dopaminergic populations are permanently altered by perinatal glucocorticoid exposure in a sex- region- and time-specific manner. Neuropsychopharmacology 32:1462–1476

    CAS  PubMed  Google Scholar 

  61. Melachroinou K, Xilouri M, Emmanouilidou E et al (2013) Deregulation of calcium homeostasis mediates secreted alpha-synuclein-induced neurotoxicity. Neurobiol Aging 34:2853–2865

    CAS  PubMed  Google Scholar 

  62. Mishizen-Eberz AJ, Norris EH, Giasson BI et al (2005) Cleavage of alpha-synuclein by calpain: potential role in degradation of fibrillized and nitrated species of alpha-synuclein. Biochemistry 44:7818–7829

    CAS  PubMed  Google Scholar 

  63. Mosharov EV, Larsen KE, Kanter E et al (2009) Interplay between cytosolic dopamine, calcium, and alpha-synuclein causes selective death of substantia nigra neurons. Neuron 62:218–229

    CAS  PubMed Central  PubMed  Google Scholar 

  64. Mouatt-Prigent A, Karlsson JO, Agid Y et al (1996) Increased M-calpain expression in the mesencephalon of patients with Parkinson’s disease but not in other neurodegenerative disorders involving the mesencephalon: a role in nerve cell death? Neuroscience 73:979–987

    CAS  PubMed  Google Scholar 

  65. Muller T, Fuchs G, Hahne M et al (2006) Diagnostic aspects of early Parkinson’s disease. J Neurol 253(Suppl 4):IV29–IV31

    PubMed  Google Scholar 

  66. Mundinano IC, Caballero MC, Ordonez C et al (2011) Increased dopaminergic cells and protein aggregates in the olfactory bulb of patients with neurodegenerative disorders. Acta Neuropathol 122:61–74

    CAS  PubMed  Google Scholar 

  67. Muntane G, Ferrer I, Martinez-Vicente M (2012) alpha-Synuclein phosphorylation and truncation are normal events in the adult human brain. Neuroscience 200:106–119

    CAS  PubMed  Google Scholar 

  68. Nemani VM, Lu W, Berge V et al (2010) Increased expression of alpha-synuclein reduces neurotransmitter release by inhibiting synaptic vesicle reclustering after endocytosis. Neuron 65:66–79

    CAS  PubMed Central  PubMed  Google Scholar 

  69. Norris EH, Uryu K, Leight S et al (2007) Pesticide exposure exacerbates alpha-synucleinopathy in an A53T transgenic mouse model. Am J Pathol 170:658–666

    CAS  PubMed Central  PubMed  Google Scholar 

  70. Nuber S, Harmuth F, Kohl Z et al (2013) A progressive dopaminergic phenotype associated with neurotoxic conversion of alpha-synuclein in BAC-transgenic rats. Brain 136:412–432

    PubMed Central  PubMed  Google Scholar 

  71. Nuber S, Petrasch-Parwez E, Arias-Carrion O et al (2011) Olfactory neuron-specific expression of A30P alpha-synuclein exacerbates dopamine deficiency and hyperactivity in a novel conditional model of early Parkinson’s disease stages. Neurobiol Dis 44:192–204

    CAS  PubMed  Google Scholar 

  72. Ortiz J, Fitzgerald LW, Lane S et al (1996) Biochemical adaptations in the mesolimbic dopamine system in response to repeated stress. Neuropsychopharmacology 14:443–452

    CAS  PubMed  Google Scholar 

  73. Outeiro TF, Klucken J, Bercury K et al (2009) Dopamine-induced conformational changes in alpha-synuclein. PLoS One 4:e6906

    PubMed Central  PubMed  Google Scholar 

  74. Pearce RK, Hawkes CH, Daniel SE (1995) The anterior olfactory nucleus in Parkinson’s disease. Mov Disord 10:283–287

    CAS  PubMed  Google Scholar 

  75. Perez RG, Waymire JC, Lin E et al (2002) A role for alpha-synuclein in the regulation of dopamine biosynthesis. J Neurosci 22:3090–3099

    CAS  PubMed  Google Scholar 

  76. Perrin RJ, Payton JE, Barnett DH et al (2003) Epitope mapping and specificity of the anti-alpha-synuclein monoclonal antibody Syn-1 in mouse brain and cultured cell lines. Neurosci Lett 349:133–135

    CAS  PubMed  Google Scholar 

  77. Pinching AJ, Powell TP (1971) The neuron types of the glomerular layer of the olfactory bulb. J Cell Sci 9:305–345

    CAS  PubMed  Google Scholar 

  78. Prediger RD, Aguiar AS Jr, Matheus FC et al (2012) Intranasal administration of neurotoxicants in animals: support for the olfactory vector hypothesis of Parkinson’s disease. Neurotox Res 21:90–116

    CAS  PubMed  Google Scholar 

  79. Recchia A, Rota D, Debetto P et al (2008) Generation of a alpha-synuclein-based rat model of Parkinson’s disease. Neurobiol Dis 30:8–18

    CAS  PubMed  Google Scholar 

  80. Ricaurte GA, Guillery RW, Seiden LS et al (1982) Dopamine nerve terminal degeneration produced by high doses of methylamphetamine in the rat brain. Brain Res 235:93–103

    CAS  PubMed  Google Scholar 

  81. Rothman SM, Griffioen KJ, Vranis N et al (2013) Neuronal expression of familial Parkinson’s disease A53T alpha-synuclein causes early motor impairment, reduced anxiety and potential sleep disturbances in mice. J Parkinsons Dis 3:215–229

    CAS  PubMed  Google Scholar 

  82. Seidel K, Schols L, Nuber S et al (2010) First appraisal of brain pathology owing to A30P mutant alpha-synuclein. Ann Neurol 67:684–689

    CAS  PubMed  Google Scholar 

  83. Sekine T, Kagaya H, Funayama M et al (2010) Clinical course of the first Asian family with Parkinsonism related to SNCA triplication. Mov Disord 25:2871–2875

    PubMed  Google Scholar 

  84. Sengoku R, Saito Y, Ikemura M et al (2008) Incidence and extent of Lewy body-related alpha-synucleinopathy in aging human olfactory bulb. J Neuropathol Exp Neurol 67:1072–1083

    PubMed  Google Scholar 

  85. Singleton AB, Farrer M, Johnson J et al (2003) alpha-Synuclein locus triplication causes Parkinson’s disease. Science 302:841

    CAS  PubMed  Google Scholar 

  86. Stifanese R, Averna M, De Tullio R et al (2010) Adaptive modifications in the calpain/calpastatin system in brain cells after persistent alteration in Ca2+ homeostasis. J Biol Chem 285:631–643

    CAS  PubMed Central  PubMed  Google Scholar 

  87. Tamamizu-Kato S, Kosaraju MG, Kato H et al (2006) Calcium-triggered membrane interaction of the alpha-synuclein acidic tail. Biochemistry 45:10947–10956

    CAS  PubMed  Google Scholar 

  88. Tiscornia G, Singer O, Verma IM (2006) Production and purification of lentiviral vectors. Nat Protoc 1:241–245

    CAS  PubMed  Google Scholar 

  89. Tofaris GK, Razzaq A, Ghetti B et al (2003) Ubiquitination of alpha-synuclein in Lewy bodies is a pathological event not associated with impairment of proteasome function. J Biol Chem 278:44405–44411

    CAS  PubMed  Google Scholar 

  90. Ubhi K, Rockenstein E, Mante M et al (2010) Neurodegeneration in a transgenic mouse model of multiple system atrophy is associated with altered expression of oligodendroglial-derived neurotrophic factors. J Neurosci 30:6236–6246

    CAS  PubMed Central  PubMed  Google Scholar 

  91. Ulusoy A, Febbraro F, Jensen PH et al (2010) Co-expression of C-terminal truncated alpha-synuclein enhances full-length alpha-synuclein-induced pathology. Eur J Neurosci 32:409–422

    PubMed  Google Scholar 

  92. Unger EL, Eve DJ, Perez XA et al (2006) Locomotor hyperactivity and alterations in dopamine neurotransmission are associated with overexpression of A53T mutant human alpha-synuclein in mice. Neurobiol Dis 21:431–443

    CAS  PubMed  Google Scholar 

  93. Uversky VN, Li J, Fink AL (2001) Pesticides directly accelerate the rate of alpha-synuclein fibril formation: a possible factor in Parkinson’s disease. FEBS Lett 500:105–108

    CAS  PubMed  Google Scholar 

  94. Volles MJ, Lee SJ, Rochet JC et al (2001) Vesicle permeabilization by protofibrillar alpha-synuclein: implications for the pathogenesis and treatment of Parkinson’s disease. Biochemistry 40:7812–7819

    CAS  PubMed  Google Scholar 

  95. Volpicelli-Daley LA, Luk KC, Patel TP et al (2011) Exogenous alpha-synuclein fibrils induce Lewy body pathology leading to synaptic dysfunction and neuron death. Neuron 72:57–71

    CAS  PubMed Central  PubMed  Google Scholar 

  96. Vosler PS, Brennan CS, Chen J (2008) Calpain-mediated signaling mechanisms in neuronal injury and neurodegeneration. Mol Neurobiol 38:78–100

    CAS  PubMed Central  PubMed  Google Scholar 

  97. Watanabe Y, Tatebe H, Taguchi K et al (2012) p62/SQSTM1-dependent autophagy of Lewy body-like alpha-synuclein inclusions. PLoS One 7:e52868

    CAS  PubMed Central  PubMed  Google Scholar 

  98. Welberg LA, Seckl JR, Holmes MC (2001) Prenatal glucocorticoid programming of brain corticosteroid receptors and corticotrophin-releasing hormone: possible implications for behaviour. Neuroscience 104:71–79

    CAS  PubMed  Google Scholar 

  99. Wersinger C, Sidhu A (2005) Disruption of the interaction of alpha-synuclein with microtubules enhances cell surface recruitment of the dopamine transporter. Biochemistry 44:13612–13624

    CAS  PubMed  Google Scholar 

  100. West MJ, Slomianka L, Gundersen HJ (1991) Unbiased stereological estimation of the total number of neurons in the subdivisions of the rat hippocampus using the optical fractionator. Anat Rec 231:482–497

    CAS  PubMed  Google Scholar 

  101. Wills J, Credle J, Oaks AW et al (2012) Paraquat, but not maneb, induces synucleinopathy and tauopathy in striata of mice through inhibition of proteasomal and autophagic pathways. PLoS One 7:e30745

    CAS  PubMed Central  PubMed  Google Scholar 

  102. Wilson DA, Sullivan RM (1995) The D2 antagonist spiperone mimics the effects of olfactory deprivation on mitral/tufted cell odor response patterns. J Neurosci 15:5574–5581

    CAS  PubMed Central  PubMed  Google Scholar 

  103. Wilson DA, Wood JG (1992) Functional consequences of unilateral olfactory deprivation: time-course and age sensitivity. Neuroscience 49:183–192

    CAS  PubMed  Google Scholar 

  104. Winner B, Geyer M, Couillard-Despres S et al (2006) Striatal deafferentation increases dopaminergic neurogenesis in the adult olfactory bulb. Exp Neurol 197:113–121

    CAS  PubMed  Google Scholar 

  105. Xia HG, Zhang L, Chen G et al (2010) Control of basal autophagy by calpain1 mediated cleavage of ATG5. Autophagy 6:61–66

    CAS  PubMed Central  PubMed  Google Scholar 

  106. Yamakado H, Moriwaki Y, Yamasaki N et al (2012) alpha-Synuclein BAC transgenic mice as a model for Parkinson’s disease manifested decreased anxiety-like behavior and hyperlocomotion. Neurosci Res 73:173–177

    CAS  PubMed  Google Scholar 

  107. Yang W, Tiffany-Castiglioni E (2008) Paraquat-induced apoptosis in human neuroblastoma SH-SY5Y cells: involvement of p53 and mitochondria. J Toxicol Environ Health A 71:289–299

    CAS  PubMed  Google Scholar 

  108. Yu S, Zuo X, Li Y et al (2004) Inhibition of tyrosine hydroxylase expression in alpha-synuclein-transfected dopaminergic neuronal cells. Neurosci Lett 367:34–39

    CAS  PubMed  Google Scholar 

Download references

Acknowledgments

PD human and control brain samples were supplied by the Parkinson’s UK Tissue Bank, funded by Parkinson’s UK, a charity registered in England and Wales (258197) and Scotland (SC037554), from the tissue bank of the Alzheimer’s Disease Research Center (ADRC) at the University of California at San Diego and analyses done in accordance with the Ethics Committee guidelines. PrP-A30P mice were generated at the University of Tuebingen, Germany. S.N. was awarded with the fellowship of the German Parkinson’s Society. The work was supported by National Institutes of Health grants AG 18440, AG022704, NS057096 and AG5131to E.M, and by NGFNplus 01GS08134 to O.R/S.N.

Author information

Affiliations

Authors

Corresponding author

Correspondence to Silke Nuber.

Electronic supplementary material

Rights and permissions

Reprints and Permissions

About this article

Cite this article

Nuber, S., Tadros, D., Fields, J. et al. Environmental neurotoxic challenge of conditional alpha-synuclein transgenic mice predicts a dopaminergic olfactory-striatal interplay in early PD. Acta Neuropathol 127, 477–494 (2014). https://doi.org/10.1007/s00401-014-1255-5

Download citation

  • Received:

  • Revised:

  • Accepted:

  • Published:

  • Issue Date:

  • DOI: https://doi.org/10.1007/s00401-014-1255-5

Keywords

  • Tyrosine Hydroxylase
  • Olfactory Bulb
  • Paraquat
  • Dementia With Lewy Body
  • DAergic Neuron