Skip to main content

Globular glial tauopathies (GGT) presenting with motor neuron disease or frontotemporal dementia: an emerging group of 4-repeat tauopathies

Abstract

A number of recent studies have described cases with tau-positive globular oligodendroglial inclusions (GOIs) and such cases have overlapping pathological features with progressive supranuclear palsy (PSP), but present with clinical features of motor neuron disease (MND) and/or frontotemporal dementia (FTD). These two clinical phenotypes have been published independently and as a result, have come to be considered as distinct disease entities. We describe the clinicopathological and biochemical features of two cases with GOIs: one with clinical symptoms suggestive of MND and the other with FTD. Histological changes in our two cases were consistent with their clinical symptoms; the MND case had severe neurodegeneration in the primary motor cortex and corticospinal tract, whereas the FTD case had severe involvement of the frontotemporal cortices and associated white matter. Immunohistochemistry in both cases revealed significant 4-repeat (4R) tau pathology primarily in the form of GOIs, but also in astrocytes and neurons. Astrocytic tau pathology was morphologically similar to that seen in PSP, but in contrast was consistently negative for Gallyas silver staining. Tau-specific western blotting revealed 68, 64 and 35 kDa bands, showing further overlap with PSP. The underlying neuropathological features of these two cases were similar, with the major difference relating to the regional distribution of pathology and resulting clinical symptoms and signs. The globular nature of glial inclusions and the non-fibrillar properties of tau in astrocytes are characteristic features that allow them to be distinguished from PSP and other tauopathies. We, therefore, propose the term globular glial tauopathy as an encompassing term to classify this emerging class of 4R tauopathy.

This is a preview of subscription content, access via your institution.

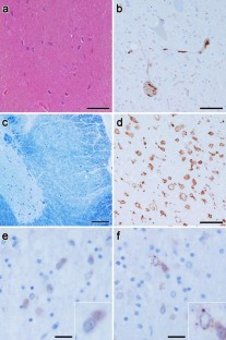
Fig. 1
Fig. 2
Fig. 3
Fig. 4

Abbreviations

AD:

Alzheimer’s disease

AGD:

Argyrophillic grain disease

ALS:

Amyotrophic lateral sclerosis

CBD:

Corticobasal degeneration

CBS:

Corticobasal syndrome

CST:

Corticospinal tract

FTD:

Frontotemporal dementia

FTDP-17:

Frontotemporal dementia with parkinsonism linked to chromosome 17

FTD-P-MND:

Sporadic four-repeat tauopathy with frontotemporal lobar degeneration, parkinsonism, and motor neuron disease

FTLD:

Frontotemporal lobar degeneration

FUS:

Fused in sarcoma protein

GGT:

Globular glial tauopathy

GOIs:

Globular oligodendroglial inclusions

IHC:

Immunohistochemistry

MND:

Motor neuron disease

MSA:

Multiple system atrophy

MSTD:

Multiple system tauopathy with dementia

NFT:

Neurofibrillary tangles

PiD:

Pick’s disease

PLS:

Primary lateral sclerosis

PSP:

Progressive supranuclear palsy

PSP-CST:

Atypical PSP with corticospinal tract degeneration

TDP-43:

TAR DNA-binding protein 43

WMT-GGI:

White matter tauopathy with globular glial inclusions

27 kP:

27,000×g pellet

3R:

3-repeat tau

4R:

4-repeat tau

References

  1. Baker M, Litvan I, Houlden H et al (1999) Association of an extended haplotype in the tau gene with progressive supranuclear palsy. Hum Mol Genet 8:711–715

    PubMed  Article  CAS  Google Scholar 

  2. Bergeron C, Morris HR, Rossor M (2003) Pick’s disease. In: Dickson DW (ed) Neurodegeneration: the molecular pathology of dementia and movement disorders, 1st edn. ISN Neuropath Press, Basel, pp 124–131

  3. Berry RW, Quinn B, Johnson N, Cochran EJ, Ghoshal N, Binder LI (2001) Pathological glial tau accumulations in neurodegenerative disease: review and case report. Neurochem Int 39:469–479

    PubMed  Article  CAS  Google Scholar 

  4. Bigio EH, Lipton AM, Yen SH et al (2001) Frontal lobe dementia with novel tauopathy: sporadic multiple system tauopathy with dementia. J Neuropathol Exp Neurol 60:328–341

    PubMed  CAS  Google Scholar 

  5. Dickson DW (1999) Neuropathologic differentiation of progressive supranuclear palsy and corticobasal degeneration. J Neurol 246(Suppl 2):II6–II15

    PubMed  Article  Google Scholar 

  6. Dickson DW, Litvan I (2003) Corticobasal degeneration. In: Dickson DW (ed) Neurodegeneration: the molecular pathology of dementia and movement disorders, 1st edn. ISN Neuropath Press, Basel, pp 115–123

  7. Dickson DW, Ahmed Z, Algom AA, Tsuboi Y, Josephs KA (2010) Neuropathology of variants of progressive supranuclear palsy. Curr Opin Neurol 23:394–400

    PubMed  Article  Google Scholar 

  8. Dickson DW, Rademakers R, Hutton ML (2007) Progressive supranuclear palsy: pathology and genetics. Brain Pathol 17:74–82

    PubMed  Article  CAS  Google Scholar 

  9. Feany MB, Dickson DW (1995) Widespread cytoskeletal pathology characterizes corticobasal degeneration. Am J Pathol 146:1388–1396

    PubMed  CAS  Google Scholar 

  10. Ferrer I, Hernandez I, Boada M et al (2003) Primary progressive aphasia as the initial manifestation of corticobasal degeneration and unusual tauopathies. Acta Neuropathol 106:419–435

    PubMed  Article  CAS  Google Scholar 

  11. Fu YJ, Nishihira Y, Kuroda S et al (2010) Sporadic four-repeat tauopathy with frontotemporal lobar degeneration, Parkinsonism, and motor neuron disease: a distinct clinicopathological and biochemical disease entity. Acta Neuropathol 120:21–32

    PubMed  Article  Google Scholar 

  12. Gallyas F (1971) Silver staining of Alzheimer’s neurofibrillary changes by means of physical development. Acta Morphol Acad Sci Hung 19:1–8

    PubMed  CAS  Google Scholar 

  13. Ghetti B, Hutton ML, Wszolek ZK (2003) Frontotemporal dementia and parkinsonism linked to chromosome 17 associated with tau gene mutations (FTDP-17T). In: Dickson DW (ed) Neurodegeneration: the molecular pathology of dementia and movement disorders, 1st edn. ISN Neuropath Press, Basel, pp 86–102

  14. Hauw JJ, Daniel SE, Dickson D et al (1994) Preliminary NINDS neuropathologic criteria for Steele–Richardson–Olszewski syndrome (progressive supranuclear palsy). Neurology 44:2015–2019

    PubMed  CAS  Google Scholar 

  15. Hauw JJ, Verny M, Delaere P, Cervera P, He Y, Duyckaerts C (1990) Constant neurofibrillary changes in the neocortex in progressive supranuclear palsy. Basic differences with Alzheimer’s disease and aging. Neurosci Lett 119:182–186

    PubMed  Article  CAS  Google Scholar 

  16. Hauw J, Agid Y (2003) Progressive supranuclear palsy (PSP) or Steele-Richardson-Olszewski disease. In: Dickson DW (ed) Neurodegeneration: the molecular pathology of dementia and movement disorders, 1st edn. ISN Neuropath Press, Basel, pp 103–114

  17. Ikeda K, Akiyama H, Haga C, Kondo H, Arima K, Oda T (1994) Argyrophilic thread-like structure in corticobasal degeneration and supranuclear palsy. Neurosci Lett 174:157–159

    PubMed  Article  CAS  Google Scholar 

  18. Josephs KA, Katsuse O, Beccano-Kelly DA et al (2006) Atypical progressive supranuclear palsy with corticospinal tract degeneration. J Neuropathol Exp Neurol 65:396–405

    PubMed  Article  Google Scholar 

  19. Komori T (1999) Tau-positive glial inclusions in progressive supranuclear palsy, corticobasal degeneration and Pick’s disease. Brain Pathol 9:663–679

    PubMed  Article  CAS  Google Scholar 

  20. Kovacs GG, Majtenyi K, Spina S et al (2008) White matter tauopathy with globular glial inclusions: a distinct sporadic frontotemporal lobar degeneration. J Neuropathol Exp Neurol 67:963–975

    PubMed  Article  Google Scholar 

  21. Lantos PL, Quinn N (2003) Multiple system atrophy. In: Dickson DW (ed) Neurodegeneration: the molecular pathology of dementia and movement disorders, 1st edn. ISN Neuropath Press, Basel, pp 203–214

  22. Lashley T, Rohrer J, Bandopadhyay R et al (2011) A comparative clinical, pathological and biochemical study of FUS proteinopathies. Brain (in press)

  23. Litvan I, Hauw JJ, Bartko JJ et al (1996) Validity and reliability of the preliminary NINDS neuropathologic criteria for progressive supranuclear palsy and related disorders. J Neuropathol Exp Neurol 55:97–105

    PubMed  Article  CAS  Google Scholar 

  24. Mackenzie IR (2007) The neuropathology of FTD associated With ALS. Alzheimer Dis Assoc Disord 21:S44–S49

    PubMed  Article  Google Scholar 

  25. Mackenzie IR, Neumann M, Bigio EH et al (2010) Nomenclature and nosology for neuropathologic subtypes of frontotemporal lobar degeneration: an update. Acta Neuropathol 119:1–4

    PubMed  Article  Google Scholar 

  26. Mackenzie IR, Neumann M, Bigio EH et al (2009) Nomenclature for neuropathologic subtypes of frontotemporal lobar degeneration: consensus recommendations. Acta Neuropathol 117:15–18

    PubMed  Article  Google Scholar 

  27. Ohara S, Tsuyuzaki J, Oide T et al (2002) A clinical and neuropathological study of an unusual case of sporadic tauopathy. A variant of corticobasal degeneration? Neurosci Lett 330:84–88

    PubMed  Article  CAS  Google Scholar 

  28. Oyanagi K, Wada M (1999) Neuropathology of parkinsonism-dementia complex and amyotrophic lateral sclerosis of Guam: an update. J Neurol 246(Suppl 2):II19–II27

    PubMed  Article  Google Scholar 

  29. Poorkaj P, Bird TD, Wijsman E et al (1998) Tau is a candidate gene for chromosome 17 frontotemporal dementia. Ann Neurol 43:815–825

    PubMed  Article  CAS  Google Scholar 

  30. Powers JM, Byrne NP, Ito M et al (2003) A novel leukoencephalopathy associated with tau deposits primarily in white matter glia. Acta Neuropathol 106:181–187

    PubMed  Article  CAS  Google Scholar 

  31. Pringle CE, Hudson AJ, Munoz DG, Kiernan JA, Brown WF, Ebers GC (1992) Primary lateral sclerosis. Clinical features, neuropathology and diagnostic criteria. Brain 115(Pt 2):495–520

    PubMed  Article  Google Scholar 

  32. Sakai K, Piao YS, Kikugawa K et al (2006) Corticobasal degeneration with focal, massive tau accumulation in the subcortical white matter astrocytes. Acta Neuropathol 112:341–348

    PubMed  Article  Google Scholar 

  33. Steele JC, Richardson JC, Olszewski J (1964) Progressive supranuclear palsy. A heterogeneous degeneration involving the brain stem, basal ganglia and cerebellum with vertical gaze and pseudobulbar palsy, nuchal dystonia and dementia. Arch Neurol 10:333–359

    PubMed  CAS  Google Scholar 

  34. Swash M, Desai J, Misra VP (1999) What is primary lateral sclerosis? J Neurol Sci 170:5–10

    PubMed  Article  CAS  Google Scholar 

  35. Takahashi T, Amano N, Hanihara T et al (1996) Corticobasal degeneration: widespread argentophilic threads and glia in addition to neurofibrillary tangles. Similarities of cytoskeletal abnormalities in corticobasal degeneration and progressive supranuclear palsy. J Neurol Sci 138:66–77

    PubMed  Article  CAS  Google Scholar 

  36. Tan CF, Piao YS, Kakita A et al (2005) Frontotemporal dementia with co-occurrence of astrocytic plaques and tufted astrocytes, and severe degeneration of the cerebral white matter: a variant of corticobasal degeneration? Acta Neuropathol 109:329–338

    PubMed  Article  Google Scholar 

  37. Williams DR, Lees AJ (2009) Progressive supranuclear palsy: clinicopathological concepts and diagnostic challenges. Lancet Neurol 8:270–279

    PubMed  Article  Google Scholar 

  38. Wray S, Saxton M, Anderton BH, Hanger DP (2008) Direct analysis of tau from PSP brain identifies new phosphorylation sites and a major fragment of N-terminally cleaved tau containing four microtubule-binding repeats. J Neurochem 105:2343–2352

    PubMed  Article  CAS  Google Scholar 

Download references

Acknowledgments

Professor Revesz, Dr Holton and Dr Ahmed are supported by the Multiple System Atrophy Trust (formerly known as the Sarah Matheson Trust for Multiple System Atrophy). Dr Silveira-Moriyama, Dr Holton, Dr de Silva and Dr Doherty are supported by the Reta Lila Weston Trust for Medical Research. Dr de Silva is funded by grants by the Medical Research Council (G0501560) and Cure PSP+. Part of this work was undertaken at UCLH/UCL, who received a proportion of funding from the Department of Health’s NIHR Biomedical Research Centres funding scheme.

Conflict of interest

The authors declare that they have no conflict of interest.

Author information

Affiliations

Authors

Corresponding author

Correspondence to Tamas Revesz.

Additional information

Z. Ahmed and K. Doherty contributed equally to this paper.

Rights and permissions

Reprints and Permissions

About this article

Cite this article

Ahmed, Z., Doherty, K.M., Silveira-Moriyama, L. et al. Globular glial tauopathies (GGT) presenting with motor neuron disease or frontotemporal dementia: an emerging group of 4-repeat tauopathies. Acta Neuropathol 122, 415 (2011). https://doi.org/10.1007/s00401-011-0857-4

Download citation

  • Received:

  • Revised:

  • Accepted:

  • Published:

  • DOI: https://doi.org/10.1007/s00401-011-0857-4

Keywords

  • Progressive supranuclear palsy
  • Multiple system tauopathy with dementia
  • Frontotemporal dementia
  • Motor neuron disease
  • Tau
  • Oligodendroglia
  • Astrocytes