Skip to main content

Hippocampal sclerosis with four-repeat tau-positive round inclusions in the dentate gyrus: a new type of four-repeat tauopathy

Abstract

Hippocampal sclerosis is defined as selective neuronal loss and gliosis of the hippocampus with heterogeneous etiologies, including neurodegenerative tauopathies. We report a 78-year-old woman who presented with depression, in whom postmortem examination revealed almost complete loss of neurons with gliosis in the subiculum and CA1-3 regions of the hippocampus and abundant neuronal cytoplasmic inclusions in the dentate gyrus. The inclusions were round, slightly basophilic and argyrophilic, resembling Pick bodies. However, they were Gallyas- and 4-repeat tau-positive, and 3-repeat tau- and ubiquitin-negative. To our knowledge, the histopathological features in this case were different from those in hippocampal sclerosis or 4-repeat tauopathies reported previously. It is likely that this case is a new variant of 4-repeat tauopathy presenting with hippocampal sclerosis.

This is a preview of subscription content, access via your institution.

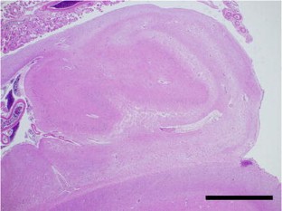
Fig. 1
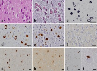
Fig. 2
Fig. 3

References

  1. Ala TA, Beh GO, Frey WHII (2000) Pure hippocampal sclerosis. A rare cause of dementia mimicking Alzheimer’s disease. Neurology 54:843–848

    PubMed  CAS  Google Scholar 

  2. Amador-Ortiz C, Ahmed Z, Zehr C, Dickson DW (2007) Hippocampal sclerosis dementia differs from hippocampal sclerosis in frontal lobe degeneration. Acta Neuropathol 113:245–252

    PubMed  Article  Google Scholar 

  3. Amador-Ortiz C, Lin W-L, Ahmed Z, Personett D, Davies P, Duara R, Graff-Radford NR, Hutton ML, Dickson DW (2007) TDP-43 immunoreactivity in hippocampal sclerosis and Alzheimer’s disease. Ann Neurol 61:435–445

    PubMed  Article  CAS  Google Scholar 

  4. Arai T, Hasegawa M, Akiyama H, Ikeda K, Nonaka T, Mori H, Mann D, Tsuchiya K, Yoshida M, Hashizume Y, Oda T (2006) TDP-43 is a component of ubiquitin-positive tau-negative inclusions in frontotemporal lobar degeneration and amyotrophic lateral sclerosis. Biochem Biophys Res Commun 351:602–611

    PubMed  Article  CAS  Google Scholar 

  5. Attems J, Jellinger K (2006) Hippocampal sclerosis in Alzheimer disease and other dementias. Neurology 66:775

    PubMed  Article  Google Scholar 

  6. Beach TG, Sue L, Scott S, Layne K, Newell A, Walker D, Baker M, Sahara N, Yen S-H, Hutton M, Caselli R, Adler C, Connor D, Sabbagh M (2003) Hippocampal sclerosis dementia with tauopathy. Brain Pathol 13:263–278

    PubMed  Article  Google Scholar 

  7. Blass DM, Hatanpaa KJ, Brandt J, Rao V, Steinberg M, Troncoso JC, Rabins PV (2004) Dementia in hippocampal sclerosis resembles frontotemporal dementia more than Alzheimer’s disease. Neurology 63:492–497

    PubMed  CAS  Google Scholar 

  8. Corey-Bloom J, Sabbagh MN, Bondi MW, Hansen L, Alford MF, Masliah E, Thal LJ (1997) Hippocampal sclerosis contributes to dementia in the elderly. Neurology 48:154–160

    PubMed  CAS  Google Scholar 

  9. de Silva R, Lashley T, Gibb G, Hanger D, Hope A, Reid A, Bandopadhyay R, Utton M, Strand C, Jowett T, Khan N, Anderton B, Wood N, Holton J, Revesz T, Lees A (2003) Pathological inclusion bodies in tauopathies contain distinct complements of tau with three or four microtubule-binding repeat domains as demonstrated by new specific monoclonal antibodies. Neuropathol Appl Neurobiol 29:288–302

    PubMed  Article  Google Scholar 

  10. Dickson DW, Yen S-H, Horoupian DS (1986) Pick body-like inclusions in the dentate fascia of the hippocampus in Alzheimer’s disease. Acta Neuropathol 71:38–45

    PubMed  Article  CAS  Google Scholar 

  11. Dickson DW, Davies P, Bevona C, van Hoeven KH, Factor SM, Grober E, Aronson MK, Crystal HA (1994) Hippocampal sclerosis: a common pathological feature of dementia in very old (≥80 years of age) humans. Acta Neuropathol 88:212–221

    PubMed  Article  CAS  Google Scholar 

  12. Ferrer I, Hernandez I, Puig B, Rey MJ, Ezquerra M, Tolosa E, Boada M (2003) Ubiquitin-negative mini-Pick-like bodies in the dentate gyrus in P310L tauopathy. J Alzheimers Dis 5:445–454

    PubMed  CAS  Google Scholar 

  13. Freeman SH, Spires-Jones T, Hyman BT, Growdon JH, Frosch MP (2008) TAR-DNA binding protein 43 in Pick disease. J Neuropathol Exp Neurol 67:62–67

    PubMed  Article  CAS  Google Scholar 

  14. Geser F, Winton MJ, Kwong LK, Xu Y, Xie SX, Igaz LM, Garruto RM, Perl DP, Galasko D, Lee VM, Trojanowski JQ (2008) Pathological TDP-43 in parkinsonism-dementia complex and amyotrophic lateral sclerosis of Guam. Acta Neuropathol 115:133–145

    PubMed  Article  CAS  Google Scholar 

  15. Hasegawa M, Arai T, Akiyama H, Nonaka T, Mori H, Hashimoto T, Yamazaki M, Oyanagi K (2007) TDP-43 is deposited in the Guam parkinsonism-dementia complex brains. Brain 130:1386–1394

    PubMed  Article  Google Scholar 

  16. Hatanpaa KJ, Blass DM, Pletnikova O, Crain BJ, Bigio EH, Hedreen JC, White CLIII, Troncoso JC (2004) Most cases of dementia with hippocampal sclerosis may represent frontotemporal dementia. Neurology 63:538–542

    PubMed  CAS  Google Scholar 

  17. Ikeda K, Akiyama H, Arai T, Tsuchiya K (2002) Pick-body-like inclusions in corticobasal degeneration differ from Pick bodies in Pick’s disease. Acta Neuropathol 103:115–118

    PubMed  Article  CAS  Google Scholar 

  18. Ikemoto A, Hirano A, Akiguchi I, Kimura J (1997) Comparative study of ubiquitin immunoreactivity of hippocampal granular cells in amyotrophic lateral sclerosis with dementia, Guamanian amyotrophic lateral sclerosis and Guamanian parkinsonism-dementia complex. Acta Neuropathol 93:265–270

    PubMed  Article  CAS  Google Scholar 

  19. Ishizawa T, Ko LW, Cookson N, Davies P, Espinoza M, Dickson W (2002) Selective neurofibrillary degeneration of the hippocampal CA2 sector is associated with four-repeat tauopathies. J Neuropathol Exp Neurol 61:1040–1047

    PubMed  CAS  Google Scholar 

  20. Jellinger KA (1994) Hippocampal sclerosis: a common pathological feature of dementia in very old humans. Acta Neuropathol 88:599

    PubMed  Article  CAS  Google Scholar 

  21. Josephs KA, Whitwell JL, Jack CR, Parisi JE, Dickson DW (2006) Frontotemporal lobar degeneration without lobar atrophy. Arch Neurol 63:1632–1638

    PubMed  Article  Google Scholar 

  22. Kato S, Nakamura H, Otomo E (1989) Reappraisal of neurofibrillary tangles. Immunohistochemical, ultrastructural, and immunoelectron microscopical studies. Acta Neuropathol 77:258–266

    PubMed  Article  CAS  Google Scholar 

  23. Kobayashi T, Ota S, Tanaka K, Ito Y, Hasegawa M, Umeda Y, Motoi Y, Takanashi M, Yasuhara M, Anno M, Mizuno Y, Mori H (2003) A novel L266V mutation of the tau gene causes frontotemporal dementia with a unique tau pathology. Ann Neurol 53:133–137

    PubMed  Article  CAS  Google Scholar 

  24. Leverenz JB, Agustin CM, Tsuang D, Peskind ER, Edland SD, Nochlin D, DiGiacomo L, Bowen JD, McCormick WC, Teri L, Raskind MA, Kukull WA, Larson EB (2002) Clinical and neuropathological characteristics of hippocampal sclerosis. A community-based study. Arch Neurol 59:1099–1106

    PubMed  Article  Google Scholar 

  25. Lowe J, Blanchard A, Morrell K, Lennox G, Reynolds L, Billett M, Landon M, Mayer RJ (1988) Ubiquitin is a common factor in intermediate filament inclusion bodies of diverse type in man, including those of Parkinson’s disease, Pick’s disease, and Alzheimer’s disease, as well as Rosenthal fibres in cerebellar astrocytomas, cytoplasmic bodies in muscle, and mallory bodies in alcoholic liver disease. J Pathol 155:9–15

    Google Scholar 

  26. Murayama S, Mori H, Ihara Y, Tomonaga M (1990) Immunocytochemical and ultrastructural studies of Pick’s disease. Ann Neurol 27:394–405

    PubMed  Article  CAS  Google Scholar 

  27. Murrell JR, Spillantini MG, Zolo P, Guazzelli M, Smith MJ, Hasegawa M, Redi F, Crowther RA, Pietrini P, Ghetti B, Goedert M (1999) Tau gene mutation G389R causes a tauopathy with abundant pick body-like inclusions and axonal deposits. J Neuropathol Exp Neurol 58:1207–1226

    PubMed  Article  CAS  Google Scholar 

  28. Nakashima-Yasuda H, Uryu K, Robinson J, Xie SX, Hurtig H, Duda JE, Arnold SE, Siderowf A, Grossman M, Leverenz JB, Woltjer R, Lopez OL, Hamilton R, Tsuang DW, Galasko D, Masliah E, Kaye J, Clark CM, Montine TJ, Lee VMY, Trojanowski JQ (2007) Co-morbidity of TDP-43 proteinopathy in Lewy body related diseases. Acta Neuropathol 114:221–229

    PubMed  Article  CAS  Google Scholar 

  29. Neumann M, Sampathu DM, Kwong LK, Truax AC, Micsenyi MC, Chou TT, Bruce J, Schuck T, Grossman M, Clark CM, McCluskey LF, Miller BL, Masliah E, Mackenzie IR, Feldman H, Feiden W, Kretzschmar HA, Trojanowski JQ, Lee VM (2006) Ubiquitinated TDP-43 in frontotemporal lobar degeneration and amyotrophic lateral sclerosis. Science 314:130–133

    PubMed  Article  CAS  Google Scholar 

  30. Oyanagi K, Wada M (1999) Neuropathology of parkinsonism-dementia complex and amyotrophic lateral sclerosis of Guam: an update. J Neurol 246(Suppl. 2):19–27

    Article  Google Scholar 

  31. Probst A, Taylor KI, Tolnay M (2007) Hippocampal sclerosis dementia: a reappraisal. Acta Neuropathol 114:335–345

    PubMed  Article  Google Scholar 

  32. Rizzini C, Goedert M, Hodges JR, Smith MJ, Jakes R, Hills R, Xuereb JH, Crowther RA, Spillantini MG (2000) Tau gene mutation K257T causes a tauopathy similar to Pick’s disease. J Neuropathol Exp Neurol 59:990–1001

    PubMed  CAS  Google Scholar 

  33. Schneider JA, Watts RL, Gearing M, Brewer RP, Mirra SS (1997) Corticobasal degeneration: neuropathologic and clinical heterogeneity. Neurology 48:959–969

    PubMed  CAS  Google Scholar 

  34. Schultz C, Ghebremedhin E, Del Tredici K, Rüb U, Braak H (2004) High prevalence of thorn-shaped astrocytes in the aged human medial temporal lobe. Neurobiol Aging 25:397–405

    PubMed  Article  Google Scholar 

  35. Terry RD (1963) The fine structure of neurofibrillary tangles in Alzheimer’s disease. J Neuropathol Exp Neurol 22:629–642

    PubMed  Article  CAS  Google Scholar 

  36. Uchihara T, Tsuchiya K, Nakamura A, Akiyama H (2005) Silver staining profiles distinguish Pick bodies from neurofibrillary tangles of Alzheimer type: comparison between Gallyas and Campbell–Switzer methods. Acta Neuropathol 109:483–489

    PubMed  Article  Google Scholar 

  37. Uryu T, Nakashima-Yasuda H, Forman M, Kwong LK, Clark CM, Grossman M, Miller BL, Kretzschmar HA, Lee VM, Trojanowski JQ, Neumann M (2008) Concomitant TAR-DNA-binding protein 43 pathology is present in Alzheimer’s disease and corticobasal degeneration but not in other tauopathies. J Neuropathol Exp Neurol 67:555–564

    PubMed  Article  CAS  Google Scholar 

  38. Wakabayashi K, Hansen LA, Vincent I, Mallory M, Masliah E (1997) Neurofibrillary tangles in the dentate granule cells of patients with Alzheimer’s disease, Lewy body disease and progressive supranuclear palsy. Acta Neuropathol 93:7–12

    PubMed  Article  CAS  Google Scholar 

  39. Yamada M (2003) Senile dementia of the neurofibrillary tangle type (tangle-only dementia): neuropathological criteria and clinical guidelines for diagnosis. Neuropathology 23:311–317

    PubMed  Article  Google Scholar 

  40. Yoshida M (2006) Cellular tau pathology and immunohistochemical study of tau isoforms in sporadic tauopathies. Neuropathology 26:457–470

    PubMed  Article  Google Scholar 

  41. Zhukareva V, Mann D, Pickering-Brown S, Uryu K, Shuck T, Shah K, Grossman M, Miller BL, Hulette CM, Feinstein SC, Trojanowski JQ, Lee VM (2002) Sporadic Pick’s disease: a tauopathy characterized by a spectrum of pathological τ isoforms in gray and white matter. Ann Neurol 51:730–739

    PubMed  Article  Google Scholar 

Download references

Acknowledgments

This work was supported in part by a Grant-in-Aid for Scientific Research from the Ministry of Education, Culture, Sports, Science, and Technology, Japan and a Grant for Priority Research Designated by the President of Hirosaki University (to K.W.). The authors wish to express their gratitude to M. Nakata and H. Mori for their technical assistance.

Author information

Affiliations

Authors

Corresponding author

Correspondence to Yasuo Miki.

Rights and permissions

Reprints and Permissions

About this article

Cite this article

Miki, Y., Mori, F., Hori, E. et al. Hippocampal sclerosis with four-repeat tau-positive round inclusions in the dentate gyrus: a new type of four-repeat tauopathy. Acta Neuropathol 117, 713–718 (2009). https://doi.org/10.1007/s00401-009-0531-2

Download citation

  • Received:

  • Revised:

  • Accepted:

  • Published:

  • Issue Date:

  • DOI: https://doi.org/10.1007/s00401-009-0531-2

Keywords

  • Dentate gyrus
  • Four-repeat tau
  • Hippocampal sclerosis
  • Pick body-like inclusion
  • Tauopathy