Abstract
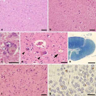
Recently, sporadic amyotrophic lateral sclerosis (SALS), a fatal neurological disease, has been shown to be a multisystem proteinopathy of TDP-43 in which both neurons and glial cells in the central nervous system are widely affected. In general, the natural history of SALS is short (<5 years). However, it is also known that a few patients may survive for 10 years or more, even without artificial respiratory support (ARS). In the present study using TDP-43 immunohistochemistry, we examined various regions of the nervous system in six patients with SALS of long duration (10–20 years) without ARS, in whom lower motor-predominant disease with Bunina bodies and ubiquitinated inclusions (UIs) in the affected lower motor neurons was confirmed. One case also showed UIs in the hippocampal dentate granule cells (UDG). In all cases, except one with UDG, the occurrence of TDP-43-immunoreactive (ir) neuronal cytoplasmic inclusions (NCIs) was confined to a few regions in the spinal cord and brainstem, including the anterior horns. In one case with UDG, TDP-43-ir NCIs were also detected in the substantia nigra, and some regions of the cerebrum, including the hippocampal dentate gyrus (granule cells). The number of neurons displaying NCIs in each region was very small (1–3 per region, except the dentate gyrus). On the other hand, the occurrence of TDP-43-ir glial cytoplasmic inclusions (GCIs) was more widespread in the central nervous system, including the cerebral white matter. Again, however, the number of glial cells displaying GCIs in each region was very small (1–3 per region). In conclusion, compared to the usual form of SALS, TDP-43 pathology shown in SALS of long duration was apparently mild in degree and limited in distribution, corresponding to the relatively benign clinical courses observed. It is now apparent that SALS of long duration is actually part of a TDP-43 proteinopathy spectrum.




References
Arai T, Hasegawa M, Akiyama H et al (2006) TDP-43 is a component of ubiquitin-positive tau-negative inclusions in frontotemporal lobar degeneration and amyotrophic lateral sclerosis. Biochem Biophys Res Commun 351:602–611
Brandmeir NJ, Geser F, Kwong LK et al (2008) Severe subcortical TDP-43 pathology in sporadic frontotemporal lobar degeneration with motor neuron disease. Acta Neuropathol 115:123–131
Bruyn RPM, Koelman JHTM, Troost D, de Jong JMBV (1995) Motor neuron disease (amyotrophic lateral sclerosis) arising from longstanding primary lateral sclerosis. J Neurol Neurosurg Psychiatry 58:742–744
Davidson Y, Kelley T, Mackenzie IR et al (2007) Ubiquitinated pathological lesions in frontotemporal lobar degeneration contain the TAR DNA-binding protein, TDP-43. Acta Neuropathol 113:521–533
Dickson DW, Josephs KA, Amador-Ortiz C (2007) TDP-43 in differential diagnosis of motor neuron disorders. Acta Neuropathol 114:71–79
Geser F, Brandmeir NJ, Kwong LK et al (2008) Evidence of multisystem disorder in whole-brain map of pathological TDP-43 in amyotrophic lateral sclerosis. Arch Neurol 65:636–641
Helfand M (1993) Progressive bulbar paralysis: its pathology and relation to amyotrophic lateral sclerosis. J Nerv Ment Dis 78:362–380
Honma Y, Komori T, Kato S, Suda N, Kawata A, Oda M (1999) An autopsy case of sporadic amyotrophic lateral sclerosis with 16-year survival without artificial ventilation. Neuropathology 19:85–92
Ince PG, Clarke B, Holton J, Revesz T, Wharton SB (2008) Disease of movement and system degeneration: motor neuron disease (amyotrophic lateral sclerosis). In: Love S, Louis DN, Ellison DW (eds) Greenfield’s neuropathology, 8th edn. Hodder Arnold, London, pp 947–961
Iwanaga K, Hayashi S, Oyake M et al (1997) Neuropathology of sporadic amyotrophic lateral sclerosis of long duration. J Neurol Sci 146:139–143
Kato S, Oda M, Hayashi H et al (1993) Two autopsy cases of sporadic amyotrophic lateral sclerosis with 20-year clinical course without respirators (in Japanese with English abstract). Brain Nerve (Tokyo) 45:267–272
Kuzuhara S, Katoh H, Suzuki T, Fukagawa K, Nakayama S (1993) An autopsy case of amyotrophic lateral sclerosis that survived without ventilator for 24 years out of 25 years’ duration of the illness (in Japanese). Neurol Med (Tokyo) 39:549–552
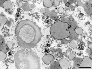
Lim W-L, Dickson DW (2008) Ultrastructural localization of TDP-43 in filamentous neuronal inclusions in various neurodegenerative diseases. Acta Neuropathol 116:205–213
Mori F, Tanji K, Zhang H-X et al (2008) Maturation process of TDP-43-positive neuronal cytoplasmic inclusion in amyotrophic lateral sclerosis with and without dementia. Acta Neuropathol 116:193–203
Murakami N, Yoshida M, Hashizume Y, Kume A (1993) A clinicopathological study of three patients with motor neuron disease having long clinical course, dominant lower motor neuron sign, and negative pyramidal tract sign (in Japanese). In: Mannen T (ed) Annual report of the Research Committee of Motor Neuron Disease. The Ministry of Health and Welfare of Japan, Tokyo, pp 70–74
Nakano I (2000) Frontotemporal dementia with motor neuron disease (amyotrophic lateral sclerosis with dementia). Neuropathology 20:68–75
Nakano I, Hirano A (1981) Clinicopathological study of two cases of sporadic amyotrophic lateral sclerosis with long survival (in Japanese with English abstract). Neurol Med (Tokyo) 15:45–53
Neumann M, Sampathu DM, Kwong LK et al (2006) Ubiquitinated TDP-43 in frontotemporal lobar degeneration and amyotrophic lateral sclerosis. Science 314:130–133
Nishihira Y, Tan C-F, Onodera O et al (2008) Sporadic amyotrophic lateral sclerosis: two pathological patterns shown by analysis of distribution of TDP-43-immunoreactive neuronal and glial cytoplasmic inclusions. Acta Neuropathol 116:169–182
Pamphlett R, Jew SK (2008) TDP-43 inclusions do not protect motor neurons from sporadic ALS. Acta Neuropathol 116:221–223
Pekelsky A (1933) Zur Pathologie der amyotrophischen Lateralsklerose. Jahrb Psychiatr Neurol 49:74–99
Souques MA (1936) Sclérose latérale amyotrophique ayant duré vingt-six ans. Rev Neurol (Paris) 65:1459–1462
Tagawa A, Tan C-F, Kikugawa K et al (2007) Familial amyotrophic lateral sclerosis: a SOD1-unrelated Japanese family of bulbar type with Bunina bodies and ubiquitin-positive skein-like inclusions in lower motor neurons. Acta Neuropathol 113:205–211
Tan C-F, Eguchi H, Tagawa A et al (2007) TDP-43 immunoreactivity in neuronal inclusions in familial amyotrophic lateral sclerosis with or without SOD1 gene mutation. Acta Neuropathol 113:535–542
Tsuchiya K, Piao Y-S, Oda T et al (2006) Pathological heterogeneity of the precentral gyrus in Pick’s disease: a study of 16 autopsy cases. Acta Neuropathol 112:29–42
Tsuchiya K, Sano M, Shiotsu H et al (2004) Sporadic amyotrophic lateral sclerosis of long duration mimicking spinal progressive muscular atrophy exists: additional autopsy case with a clinical course of 19 years. Neuropathology 24:228–235
Tsuchiya K, Shintani S, Kikuchi M et al (1999) Sporadic amyotrophic lateral sclerosis of long duration mimicking spinal progressive muscular atrophy: a clinicopathological study. J Neurol Sci 162:174–178
Van Deerlin VM, Leverenz JB, Bekris LM et al (2008) TARDBP mutation in amyotrophic lateral sclerosis with TDP-43 neuropathology: a genetic and histopathological analysis. Lancet Neurol 7:409–416
Yokoseki A, Shiga A, Tan C-F et al (2008) TDP-43 mutation in familial amyotrophic lateral sclerosis. Ann Neurol 63:538–542
Acknowledgments
We thank C. Tanda, J. Takasaki and S. Egawa for their technical assistance, and M. Machida for her help in preparing the manuscript. This work was supported by a Grant-in-Aid for Scientific Research (20240037) from the Ministry of Education, Culture, Sports, Science, and Technology, Japan, and a grant from the Research Committee of CNS Degenerative Diseases, the Ministry of Health, Labour and Welfare, Japan.
Author information
Authors and Affiliations
Corresponding author
Rights and permissions
About this article
Cite this article
Nishihira, Y., Tan, CF., Hoshi, Y. et al. Sporadic amyotrophic lateral sclerosis of long duration is associated with relatively mild TDP-43 pathology. Acta Neuropathol 117, 45–53 (2009). https://doi.org/10.1007/s00401-008-0443-6
Received:
Revised:
Accepted:
Published:
Issue Date:
DOI: https://doi.org/10.1007/s00401-008-0443-6