Skip to main content

Podoplanin expression in primary central nervous system germ cell tumors: a useful histological marker for the diagnosis of germinoma

Abstract

Podoplanin, a mucin-like transmembrane sialoglycoprotein, promotes platelet aggregation and may be involved in cancer cell migration, invasion, metastasis, and malignant progression. Podoplanin/aggrus is highly expressed in testicular seminoma, suggesting that it may be a sensitive marker for testicular seminomas. Here we investigated the expression of podoplanin in central nervous system (CNS) germ cell tumors (GCTs) by immunohistochemical staining of tumor samples from 62 patients. In 40 of 41 (98%) germinomas (including germinomatous components in mixed GCTs), podoplanin was diffusely expressed on the surface of germinoma cells; lymphocytes, interstitial cells, and syncytiotrophoblastic giant cells were negative for podoplanin. Except for immature teratomas (12/17; 71%), podoplanin expression was absent in non-germinomatous GCTs, including seven teratomas, seven embryonal carcinomas, seven yolk sac tumors, and seven choriocarcinomas. In immature teratomas, focal podoplanin staining was observed in fewer than 10% of immature squamous and columnar epithelial cells. Thus, podoplanin expression may be a sensitive immunohistochemical marker for germinoma in CNS GCTs. As such, it may be useful for diagnosis, for monitoring the efficacy of treatment, and as a potential target for antibody-based therapy.

This is a preview of subscription content, access via your institution.

Fig. 1
Fig. 2
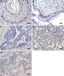
Fig. 3

References

  1. Balmaceda C, Modak S, Finlay J (1998) Central nervous system germ cell tumors. Semin Oncol 25:243–250

    PubMed  CAS  Google Scholar 

  2. Breiteneder-Geleff S, Soleiman A, Kowalski H, Horvat R, Amann G, Kriehuber E, Diem K, Weninger W, Tschachler E, Alitalo K, Kerjaschki D (1999) Angiosarcomas express mixed endothelial phenotypes of blood and lymphatic capillaries: podoplanin as a specific marker for lymphatic endothelium. Am J Pathol 154:385–394

    PubMed  CAS  Google Scholar 

  3. Jennings MT, Gelman R, Hochberg F (1985) Intracranial germ-cell tumors: natural history and pathogenesis. J Neurosurg 63:155–167

    PubMed  CAS  Google Scholar 

  4. Kaneko M, Kato Y, Kunita A, Fujita N, Tsuruo T, Osawa M (2004) Functional sialylated O-glycan to platelet aggregation on aggrus (T1α/podoplanin) molecules expressed in Chinese hamster ovary cells. J Biol Chem 279:38838–38843

    Article  PubMed  CAS  Google Scholar 

  5. Kato Y, Fujita N, Kunita A, Sato S, Kaneko M, Osawa M, Tsuruo T (2003) Molecular identification of aggrus/T1α as a platelet aggregation-inducing factor expressed in colorectal tumors. J Biol Chem 278:51599–51600

    Article  PubMed  CAS  Google Scholar 

  6. Kato Y, Sasagawa I, Kaneko M, Osawa M, Fujita N, Tsuruo T (2004) Aggrus: a diagnostic marker that distinguishes seminoma from embryonal carcinoma in testicular germ cell tumors. Oncogene. 23:8552–8556

    Article  PubMed  CAS  Google Scholar 

  7. Kato Y, Kaneko M, Sata M, Fujita N, Tsuruo T, Osawa M (2005) Enhanced expression of aggrus (T1α/podoplanin), a platelet-aggregation-inducing factor in lung squamous cell carcinoma. Tumour Biol 26:195–200

    Article  PubMed  CAS  Google Scholar 

  8. Kraichoke S, Cosgrove M, Chandrasoma PT (1988) Granulomatous inflammation in pineal germinoma. A cause of diagnostic failure at stereotaxic brain biopsy. Am J Surg Pathol 12:655–660

    PubMed  CAS  Article  Google Scholar 

  9. Marks A, Sutherland DR, Bailey D, Iglesias J, Law J, Lei M, Yeger H, Banerjee D, Baumal R (1999) Characterization and distribution of an oncofetal antigen (M2A antigen) expressed on testicular germ cell tumours. Br J Cancer 80:569–578

    Article  PubMed  CAS  Google Scholar 

  10. Martin-Villar E, Scholl FG, Gamallo C, Yurrita MM, Munoz-Guerra M, Cruces J, Quintanilla M (2005) Characterization of human PA2.26 antigen (T1α-2, podoplanin), a small membrane mucin induced in oral squamous cell carcinomas. Int J Cancer 113:899–910

    Article  PubMed  CAS  Google Scholar 

  11. Matsutani M, Sano K, Takakura K, Fujimaki T, Nakamura O, Funata N, Seto T (1997) Primary intracranial germ cell tumors: a clinical analysis of 153 histologically verified cases. J Neurosurg 86:446–455

    PubMed  CAS  Google Scholar 

  12. Matsutani M (2004) Germ cell tumors. In: Berger MS, Prados MD (eds) Textbook of neuro-oncology. Elsevier Saunders, Philadelphia, pp 310–320

    Google Scholar 

  13. Ramirez MI, Millien G, Hinds A, Cao YX, Seldin DC, Williams MC (2003) T1α, a lung type I cell differentiation gene, is required for normal lung cell proliferation and alveolus formation at birth. Dev Biol 256:61–72

    Article  PubMed  CAS  Google Scholar 

  14. Rosenblum MK, Matsutani M, Van Meir EG (2000) CNS Germ cell tumors. In: Kleihues P, Cavenee WK (eds) Pathology and genetics of tumours of the nervous system. International Agency for Research on Cancer Press, Lyons, pp 208–214

    Google Scholar 

  15. Roy S, Chu A, Trojanowski JQ, Zhang PJ (2005) D2-40, a novel monoclonal antibody against the M2A antigen as a marker to distinguish hemangioblastomas from renal cell carcinomas. Acta Neuropathol (Berl) 109:497–502

    Article  CAS  Google Scholar 

  16. Schacht V, Ramirez MI, Hong YK, Hirakawa S, Feng D, Harvey N, Williams M, Dvorak AM, Dvorak HF, Oliver G, Detmar M (2003) T1α/podoplanin deficiency disrupts normal lymphatic vasculature formation and causes lymphedema. EMBO J 22:3546–3556

    Article  PubMed  CAS  Google Scholar 

  17. Schacht V, Dadras SS, Johnson LA, Jackson DG, Hong YK, Detmar M (2005) Up-regulation of the lymphatic marker podoplanin, a mucin-type transmembrane glycoprotein, in human squamous cell carcinomas and germ cell tumors. Am J Pathol 166:913–921

    PubMed  CAS  Google Scholar 

  18. Scholl FG, Gamallo C, Vilar S, Quintanilla M (1999) Identification of PA2.26 antigen as a novel cell-surface mucin-type glycoprotein that induces plasma membrane extensions and increased motility in keratinocytes. J Cell Sci 112:4601–4613

    PubMed  CAS  Google Scholar 

  19. Scholl FG, Gamallo C, Quintanilla M (2000) Ectopic expression of PA2.26 antigen in epidermal keratinocytes leads to destabilization of adherens junctions and malignant progression. Lab Invest 80:1749–1759

    PubMed  CAS  Article  Google Scholar 

  20. Sugimoto Y, Watanabe M, Oh-hara T, Sato S, Isoe T, Tsuruo T (1991) Suppression of experimental lung colonization of a metastatic variant of murine colon adenocarcinoma 26 by a monoclonal antibody 8F11 inhibiting tumor cell-induced platelet aggregation. Cancer Res 51:921–925

    PubMed  CAS  Google Scholar 

  21. Tada M (1998) Tumor markers. In: Sawamura Y, Shirato H, de Tribolet N (eds) Intracranial germ cell tumors. Springer, Wien, pp 146–153

    Google Scholar 

  22. Watanabe M, Okochi E, Sugimoto Y, Tsuruo T (1988) Identification of a platelet-aggregating factor of murine colon adenocarcinoma 26: Mr 44,000 membrane protein as determined by monoclonal antibodies. Cancer Res 48:6411–6416

    PubMed  CAS  Google Scholar 

  23. Yoshida K, Sawamura Y (1998) Clinical findings and diagnosis, ophthalmological manifestations In: Sawamura Y, Shirato H, de Tribolet N (eds) Intracranial germ cell tumors. Springer, Vienna, pp 137–145

    Google Scholar 

Download references

Acknowledgements

This study was supported by Kanae Foundation for Life and Socio-medical science (to Y. K.). We thank Drs. S. Takano (University of Tsukuba), J. Takahashi (University of Kyoto), and M. Nagane (Kyorin University) for providing GCTs samples.

Author information

Affiliations

Authors

Corresponding author

Correspondence to Yukinari Kato.

Additional information

Kazuhiko Mishima and Yukinari Kato contributed equally to this work.

Rights and permissions

Reprints and Permissions

About this article

Cite this article

Mishima, K., Kato, Y., Kaneko, M.K. et al. Podoplanin expression in primary central nervous system germ cell tumors: a useful histological marker for the diagnosis of germinoma. Acta Neuropathol 111, 563–568 (2006). https://doi.org/10.1007/s00401-006-0033-4

Download citation

  • Received:

  • Revised:

  • Accepted:

  • Published:

  • Issue Date:

  • DOI: https://doi.org/10.1007/s00401-006-0033-4

Keywords

  • Podoplanin
  • Germinoma
  • Germ cell tumor
  • YM-1
  • Tumor marker