Skip to main content

Sporadic cerebral amyloid angiopathy: pathology, clinical implications, and possible pathomechanisms

Abstract

Cerebral amyloid angiopathy (CAA) was observed for the first time nearly 100 years ago and systematically described in 1938. It is a common finding in elderly individuals, defined by β-amyloid peptide (Aβ) depositions in cerebral blood vessels, and associated with Alzheimer’s disease (AD). A variety of genetic mutations cause hereditary forms of CAA; in this review, however, only the sporadic variant of CAA is considered. In CAA, Aβ depositions primarily occur in the abluminal portion of the tunica media, and with increasing severity all layers of the blood vessel wall are infiltrated and an additional spread of Aβ into the surrounding neuropil may be seen (i.e., dyshoric changes). CAA is most pronounced in the occipital lobe and its distribution is usually patchy. The relationship between CAA and AD is poorly understood; however, low positive correlations between the severity of both CAA and AD pathology have been observed. CAA is a frequent cause of (warfarin-associated) intracerebral hemorrhage, and the diagnosis of probable CAA-related hemorrhage can be made during life with high accuracy. Both APOE-ε4 and APOE-ε2 are risk factors for CAA, while only APOE-ε2 increases the risk for hemorrhage in CAA. Although the role of CAA as an independent risk factor for cognitive decline is unclear, severe CAA is likely to lower the threshold for clinically overt dementia in neurodegenerative diseases. As for the origin of Aβ in CAA, it may be both produced by smooth muscle cells (vessel wall) and derived from neurons in the course of perivascular drainage.

This is a preview of subscription content, access via your institution.

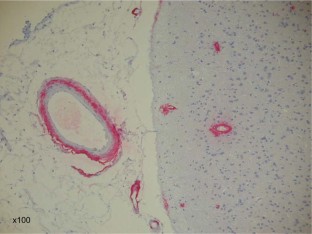
Fig. 1
Fig. 2
Fig. 3
Fig. 4
Fig. 5
Fig. 6

References

  1. Akiyama H, Mori H, Sahara N, Kondo H, Ikeda K, Nishimura T, Oda T, McGeer PL (1997) Variable deposition of amyloid beta-protein (A beta) with the carboxy-terminus that ends at residue valine40 (A beta 40) in the cerebral cortex of patients with Alzheimer’s disease: a double-labeling immunohistochemical study with antibodies specific for A beta 40 and the A beta that ends at residues alanine42/threonine43 (A beta 42). Neurochem Res 22:1499–1506

    Article  PubMed  Google Scholar 

  2. Alonzo NC, Hyman BT, Rebeck GW, Greenberg SM (1998) Progression of cerebral amyloid angiopathy: accumulation of amyloid-beta40 in affected vessels. J Neuropathol Exp Neurol 57:353–359

    PubMed  Google Scholar 

  3. Attems J, Jellinger KA (2004) Only cerebral capillary amyloid angiopathy correlates with Alzheimer pathology—a pilot study. Acta Neuropathol 107:83–90

    Article  PubMed  Google Scholar 

  4. Attems J, Lintner F, Jellinger KA (2004) Amyloid beta peptide 1–42 highly correlates with capillary cerebral amyloid angiopathy and Alzheimer disease pathology. Acta Neuropathol 107:283–291

    Article  PubMed  Google Scholar 

  5. Attems J, Jellinger K, Lintner F (2005) Alzheimer disease pathology influences severity and topographical distribution of cerebral amyloid angiopathy. Acta Neuropathol 110:222–231

    Google Scholar 

  6. Bauer J, Ganter U, Strauss S, Stadtmuller G, Frommberger U, Bauer H, Volk B, Berger M (1992) The participation of interleukin-6 in the pathogenesis of Alzheimer’s disease. Res Immunol 143:650–657

    Article  PubMed  Google Scholar 

  7. Braunmühl A (1956) Kongophile Angiopathie und senile Plaques bei greisen Hunden. Arch Psychiat Nervenkr 194:396–414

    Article  PubMed  Google Scholar 

  8. Burgermeister P, Calhoun ME, Winkler DT, Jucker M (2000) Mechanisms of cerebrovascular amyloid deposition. Lessons from mouse models. Ann N Y Acad Sci 903:307–316

    PubMed  Google Scholar 

  9. Cadavid D, Mena H, Koeller K, Frommelt RA (2000) Cerebral beta amyloid angiopathy is a risk factor for cerebral ischemic infarction. A case control study in human brain biopsies. J Neuropathol Exp Neurol 59:768–773

    PubMed  Google Scholar 

  10. Case rotMGH (1996) Weekly clinicopathological exercises. Case 22–1996. Cerebral hemorrhage in a 69-year-old woman receiving warfarin. N Engl J Med 335:189–196

    Article  PubMed  Google Scholar 

  11. Castano EM, Prelli F, Soto C, Beavis R, Matsubara E, Shoji M, Frangione B (1996) The length of amyloid-beta in hereditary cerebral hemorrhage with amyloidosis, Dutch type. Implications for the role of amyloid-beta 1–42 in Alzheimer’s disease. J Biol Chem 271:32185–32191

    Article  PubMed  Google Scholar 

  12. Caulo M, Tampieri D, Brassard R, Christine Guiot M, Melanson D (2001) Cerebral amyloid angiopathy presenting as nonhemorrhagic diffuse encephalopathy: neuropathologic and neuroradiologic manifestations in one case. AJNR Am J Neuroradiol 22:1072–1076

    Google Scholar 

  13. Chalmers K, Wilcock GK, Love S (2003) APOE epsilon 4 influences the pathological phenotype of Alzheimer’s disease by favouring cerebrovascular over parenchymal accumulation of A beta protein. Neuropathol Appl Neurobiol 29:231–238

    Article  PubMed  Google Scholar 

  14. Cho HS, Hyman BT, Greenberg SM, Rebeck GW (2001) Quantitation of apoE domains in Alzheimer disease brain suggests a role for apoE in Abeta aggregation. J Neuropathol Exp Neurol 60:342–349

    PubMed  Google Scholar 

  15. Christoforidis M, Schober R, Krohn K (2005) Genetic-morphologic association study: association between the low density lipoprotein-receptor related protein (LRP) and cerebral amyloid angiopathy. Neuropathol Appl Neurobiol 31:11–19

    Article  PubMed  Google Scholar 

  16. Chui HC, Victoroff JI, Margolin D, Jagust W, Shankle R, Katzman R (1992) Criteria for the diagnosis of ischemic vascular dementia proposed by the State of California Alzheimer’s Disease Diagnostic and Treatment Centers. Neurology 42:473–480

    PubMed  Google Scholar 

  17. Corder EH, Saunders AM, Strittmatter WJ, Schmechel DE, Gaskell PC, Small GW, Roses AD, Haines JL, Pericak-Vance MA (1993) Gene dose of apolipoprotein E type 4 allele and the risk of Alzheimer’s disease in late onset families. Science 261:921–923

    PubMed  Google Scholar 

  18. Corder EH, Saunders AM, Risch NJ, Strittmatter WJ, Schmechel DE, Gaskell PC Jr, Rimmler JB, Locke PA, Conneally PM, Schmader KE, et al (1994) Protective effect of apolipoprotein E type 2 allele for late onset Alzheimer disease. Nat Genet 7:180–184

    Article  PubMed  Google Scholar 

  19. Coria F, Rubio I (1996) Cerebral amyloid angiopathies. Neuropathol Appl Neurobiol 22:216–227

    Article  PubMed  Google Scholar 

  20. Cserr HF, Harling-Berg CJ, Knopf PM (1992) Drainage of brain extracellular fluid into blood and deep cervical lymph and its immunological significance. Brain Pathol 2:269–276

    PubMed  Google Scholar 

  21. Dermaut B, Kumar-Singh S, De Jonghe C, Cruts M, Lofgren A, Lubke U, Cras P, Dom R, De Deyn PP, Martin JJ, Van Broeckhoven C (2001) Cerebral amyloid angiopathy is a pathogenic lesion in Alzheimer’s disease due to a novel presenilin 1 mutation. Brain 124:2383–2392

    Article  PubMed  Google Scholar 

  22. Divry P (1927) Etude histochimique des plaques séniles. J Neurol Psychiat 27:643–657

    Google Scholar 

  23. Ellis RJ, Olichney JM, Thal LJ, Mirra SS, Morris JC, Beekly D, Heyman A (1996) Cerebral amyloid angiopathy in the brains of patients with Alzheimer’s disease: the CERAD experience, Part XV. Neurology 46:1592–1596

    PubMed  Google Scholar 

  24. Eng JA, Frosch MP, Choi K, Rebeck GW, Greenberg SM (2004) Clinical manifestations of cerebral amyloid angiopathy-related inflammation. Ann Neurol 55:250–256

    Article  PubMed  Google Scholar 

  25. Esiri MM, Wilcock GK (1986) Cerebral amyloid angiopathy in dementia and old age. J Neurol Neurosurg Psychiatry 49:1221–1226

    PubMed  Google Scholar 

  26. Fernando MS, Ince PG (2004) Vascular pathologies and cognition in a population-based cohort of elderly people. J Neurol Sci 226:13–17

    Article  PubMed  Google Scholar 

  27. Ferrer I, Boada Rovira M, Sanchez Guerra ML, Rey MJ, Costa-Jussa F (2004) Neuropathology and pathogenesis of encephalitis following amyloid-beta immunization in Alzheimer’s disease. Brain Pathol 14:11–20

    PubMed  Google Scholar 

  28. Frackowiak J, Zoltowska A, Wisniewski HM (1994) Non-fibrillar beta-amyloid protein is associated with smooth muscle cells of vessel walls in Alzheimer disease. J Neuropathol Exp Neurol 53:637–645

    PubMed  Google Scholar 

  29. Frackowiak J, Miller DL, Potempska A, Sukontasup T, Mazur-Kolecka B (2003) Secretion and accumulation of Abeta by brain vascular smooth muscle cells from AbetaPP-Swedish transgenic mice. J Neuropathol Exp Neurol 62:685–696

    PubMed  Google Scholar 

  30. Frackowiak J, Potempska A, LeVine H, Haske T, Dickson D, Mazur-Kolecka B (2005) Extracellular deposits of Abeta produced in cultures of Alzheimer disease brain vascular smooth muscle cells. J Neuropathol Exp Neurol 64:82–90

    PubMed  Google Scholar 

  31. Ghetti B, Piccardo P, Spillantini MG, Ichimiya Y, Porro M, Perini F, Kitamoto T, Tateishi J, Seiler C, Frangione B, Bugiani O, Giaccone G, Prelli F, Goedert M, Dlouhy SR, Tagliavini F (1996) Vascular variant of prion protein cerebral amyloidosis with tau-positive neurofibrillary tangles: the phenotype of the stop codon 145 mutation in PRNP. Proc Natl Acad Sci USA 93:744–748

    Article  PubMed  Google Scholar 

  32. Gilbert JJ, Vinters HV (1983) Cerebral amyloid angiopathy: incidence and complications in the aging brain. I. Cerebral hemorrhage. Stroke 14:915–923

    PubMed  Google Scholar 

  33. Glenner GG, Murphy MA (1989) Amyloidosis of the nervous system. J Neurol Sci 94:1–28

    Article  PubMed  Google Scholar 

  34. Glenner GG, Wong CW (1984) Alzheimer’s disease: initial report of the purification and characterization of a novel cerebrovascular amyloid protein. Biochem Biophys Res Commun 120:885–890

    Article  PubMed  Google Scholar 

  35. Gravina SA, Ho L, Eckman CB, Long KE, Otvos L Jr, Younkin LH, Suzuki N, Younkin SG (1995) Amyloid beta protein (A beta) in Alzheimer’s disease brain. Biochemical and immunocytochemical analysis with antibodies specific for forms ending at A beta 40 or A beta 42(43). J Biol Chem 270:7013–7016

    Article  PubMed  Google Scholar 

  36. Gray F, Dubas F, Roullet E, Escourolle R (1985) Leukoencephalopathy in diffuse hemorrhagic cerebral amyloid angiopathy. Ann Neurol 18:54–59

    Article  PubMed  Google Scholar 

  37. Greenberg SM (1998) Cerebral amyloid angiopathy: prospects for clinical diagnosis and treatment. Neurology 51:690–694

    PubMed  Google Scholar 

  38. Greenberg SM, Vonsattel JP (1997) Diagnosis of cerebral amyloid angiopathy. Sensitivity and specificity of cortical biopsy. Stroke 28:1418–1422

    PubMed  Google Scholar 

  39. Greenberg SM, Vonsattel JP, Stakes JW, Gruber M, Finklestein SP (1993) The clinical spectrum of cerebral amyloid angiopathy: presentations without lobar hemorrhage. Neurology 43:2073–2079

    PubMed  Google Scholar 

  40. Greenberg SM, Vonsattel JP, Segal AZ, Chiu RI, Clatworthy AE, Liao A, Hyman BT, Rebeck GW (1998) Association of apolipoprotein E epsilon2 and vasculopathy in cerebral amyloid angiopathy. Neurology 50:961–965

    PubMed  Google Scholar 

  41. Greenberg SM, Gurol ME, Rosand J, Smith EE (2004) Amyloid angiopathy-related vascular cognitive impairment. Stroke 35:2616–2619

    Article  PubMed  Google Scholar 

  42. Greene GM, Godersky JC, Biller J, Hart MN, Adams HP Jr (1990) Surgical experience with cerebral amyloid angiopathy. Stroke 21:1545–1549

    PubMed  Google Scholar 

  43. Hart RG (2000) What causes intracerebral hemorrhage during warfarin therapy? Neurology 55:907–908

    PubMed  Google Scholar 

  44. Herzig MC, Winkler DT, Burgermeister P, Pfeifer M, Kohler E, Schmidt SD, Danner S, Abramowski D, Sturchler-Pierrat C, Burki K, Duinen SG van, Maat-Schieman ML, Staufenbiel M, Mathews PM, Jucker M (2004) Abeta is targeted to the vasculature in a mouse model of hereditary cerebral hemorrhage with amyloidosis. Nat Neurosci 7:954–960

    Article  PubMed  Google Scholar 

  45. Holton JL, Ghiso J, Lashley T, Rostagno A, Guerin CJ, Gibb G, Houlden H, Ayling H, Martinian L, Anderton BH, Wood NW, Vidal R, Plant G, Frangione B, Revesz T (2001) Regional distribution of amyloid-Bri deposition and its association with neurofibrillary degeneration in familial British dementia. Am J Pathol 158:515–526

    PubMed  Google Scholar 

  46. Imaoka K, Kobayashi S, Fujihara S, Shimode K, Nagasaki M (1999) Leukoencephalopathy with cerebral amyloid angiopathy: a semiquantitative and morphometric study. J Neurol 246:661–666

    Article  PubMed  Google Scholar 

  47. Iwatsubo T, Odaka A, Suzuki N, Mizusawa H, Nukina N, Ihara Y (1994) Visualization of A beta 42(43) and A beta 40 in senile plaques with end-specific A beta monoclonals: evidence that an initially deposited species is A beta 42(43). Neuron 13:45–53

    Article  PubMed  Google Scholar 

  48. Iwatsubo T, Mann DM, Odaka A, Suzuki N, Ihara Y (1995) Amyloid beta protein (A beta) deposition: A beta 42(43) precedes A beta 40 in Down syndrome. Ann Neurol 37:294–299

    Article  PubMed  Google Scholar 

  49. Iwatsubo T, Saido TC, Mann DM, Lee VM, Trojanowski JQ (1996) Full-length amyloid-beta (1–42(43)) and amino-terminally modified and truncated amyloid-beta 42(43) deposit in diffuse plaques. Am J Pathol 149:1823–1830

    PubMed  Google Scholar 

  50. Jellinger K (1977) Cerebrovascular amyloidosis with cerebral hemorrhage. J Neurol 214:195–206

    Article  PubMed  Google Scholar 

  51. Jellinger KA (2002) Alzheimer disease and cerebrovascular pathology: an update. J Neural Transm 109:813–836

    Article  PubMed  Google Scholar 

  52. Jellinger KA, Attems J (2003) Incidence of cerebrovascular lesions in Alzheimer’s disease: a postmortem study. Acta Neuropathol 105:14–17

    PubMed  Google Scholar 

  53. Jellinger KA, Attems J (2005) Prevalence and pathogenic role of cerebrovascular lesions in Alzheimer disease. J Neurol Sci 229–230:37–41

    Google Scholar 

  54. Jucker M (2005) What have we learned about cerebral amyloid from transgenic animal models of Alzheimer’s disease? Neuropathol Appl Neurobiol 31:216–217

    Google Scholar 

  55. Kaczmarek L, Lapinska-Dzwonek J, Szymczak S (2002) Matrix metalloproteinases in the adult brain physiology: a link between c-Fos, AP-1 and remodeling of neuronal connections? EMBO J 21:6643–6648

    Article  PubMed  Google Scholar 

  56. Kalimo H, Kaste M, Haltia M (2002) Vascular diseases. In: Graham DI, Lantos PL (eds) Greenfield’s Neuropathology. Arnold, London, pp 293–295

  57. Kang DE, Pietrzik CU, Baum L, Chevallier N, Merriam DE, Kounnas MZ, Wagner SL, Troncoso JC, Kawas CH, Katzman R, Koo EH (2000) Modulation of amyloid beta-protein clearance and Alzheimer’s disease susceptibility by the LDL receptor-related protein pathway. J Clin Invest 106:1159–1166

    PubMed  Google Scholar 

  58. Kase CS (1994) Cerebral amyloid angiopathy. In: Kase CS, Caplan LR (eds) Intracerebral hemorrhage. Butterworth-Heinemann, Boston, pp 179–200

  59. Kawai M, Kalaria RN, Cras P, Siedlak SL, Velasco ME, Shelton ER, Chan HW, Greenberg BD, Perry G (1993) Degeneration of vascular muscle cells in cerebral amyloid angiopathy of Alzheimer disease. Brain Res 623:142–146

    Article  PubMed  Google Scholar 

  60. Knudsen KA, Rosand J, Karluk D, Greenberg SM (2001) Clinical diagnosis of cerebral amyloid angiopathy: validation of the Boston criteria. Neurology 56:537–539

    PubMed  Google Scholar 

  61. Kuo YM, Crawford F, Mullan M, Kokjohn TA, Emmerling MR, Weller RO, Roher AE (2000) Elevated A beta and apolipoprotein E in A betaPP transgenic mice and its relationship to amyloid accumulation in Alzheimer’s disease. Mol Med 6:430–439

    PubMed  Google Scholar 

  62. Kyle RA (2001) Amyloidosis: a convoluted story. Br J Haematol 114:529–538

    Article  PubMed  Google Scholar 

  63. Lapchak PA, Chapman DF, Zivin JA (2000) Metalloproteinase inhibition reduces thrombolytic (tissue plasminogen activator)-induced hemorrhage after thromboembolic stroke. Stroke 31:3034–3040

    PubMed  Google Scholar 

  64. Leblanc R, Preul M, Robitaille Y, Villemure JG, Pokrupa R (1991) Surgical considerations in cerebral amyloid angiopathy. Neurosurgery 29:712–718

    Article  PubMed  Google Scholar 

  65. Leclercq PD, Murray LS, Smith C, Graham DI, Nicoll JA, Gentleman SM (2005) Cerebral amyloid angiopathy in traumatic brain injury: association with apolipoprotein E genotype. J Neurol Neurosurg Psychiatry 76:229–233

    Article  PubMed  Google Scholar 

  66. Lee JM, Yin KJ, Hsin I, Chen S, Fryer JD, Holtzman DM, Hsu CY, Xu J (2003) Matrix metalloproteinase-9 and spontaneous hemorrhage in an animal model of cerebral amyloid angiopathy. Ann Neurol 54:379–382

    Article  PubMed  Google Scholar 

  67. Lee JM, Yin K, Hsin I, Chen S, Fryer JD, Holtzman DM, Hsu CY, Xu J (2005) Matrix metalloproteinase-9 in cerebral-amyloid-angiopathy-related hemorrhage. J Neurol Sci 229–230:249–254

    Google Scholar 

  68. Lemere CA, Blusztajn JK, Yamaguchi H, Wisniewski T, Saido TC, Selkoe DJ (1996) Sequence of deposition of heterogeneous amyloid beta-peptides and APO E in Down syndrome: implications for initial events in amyloid plaque formation. Neurobiol Dis 3:16–32

    Article  PubMed  Google Scholar 

  69. Maeda A, Yamada M, Itoh Y, Otomo E, Hayakawa M, Miyatake T (1993) Computer-assisted three-dimensional image analysis of cerebral amyloid angiopathy. Stroke 24:1857–1864

    PubMed  Google Scholar 

  70. Mak K, Yang F, Vinters HV, Frautschy SA, Cole GM (1994) Polyclonals to beta-amyloid(1–42) identify most plaque and vascular deposits in Alzheimer cortex, but not striatum. Brain Res 667:138–142

    Article  PubMed  Google Scholar 

  71. Mancardi GL, Perdelli F, Rivano C, Leonardi A, Bugiani O (1980) Thickening of the basement membrane of cortical capillaries in Alzheimer’s disease. Acta Neuropathol (Berl) 49:79–83

    Article  Google Scholar 

  72. Mandybur TI (1986) Cerebral amyloid angiopathy: the vascular pathology and complications. J Neuropathol Exp Neurol 45:79–90

    PubMed  Google Scholar 

  73. Mann DM, Iwatsubo T (1996) Diffuse plaques in the cerebellum and corpus striatum in Down’s syndrome contain amyloid beta protein (A beta) only in the form of A beta 42(43). Neurodegeneration 5:115–120

    Article  PubMed  Google Scholar 

  74. Mann DM, Iwatsubo T, Ihara Y, Cairns NJ, Lantos PL, Bogdanovic N, Lannfelt L, Winblad B, Maat-Schieman ML, Rossor MN (1996) Predominant deposition of amyloid-beta 42(43) in plaques in cases of Alzheimer’s disease and hereditary cerebral hemorrhage associated with mutations in the amyloid precursor protein gene. Am J Pathol 148:1257–1266

    PubMed  Google Scholar 

  75. Mann DM, Pickering-Brown SM, Takeuchi A, Iwatsubo T (2001) Amyloid angiopathy and variability in amyloid beta deposition is determined by mutation position in presenilin-1-linked Alzheimer’s disease. Am J Pathol 158:2165–2175

    PubMed  Google Scholar 

  76. Masuda J, Tanaka K, Ueda K, Omae T (1988) Autopsy study of incidence and distribution of cerebral amyloid angiopathy in Hisayama, Japan. Stroke 19:205–210

    PubMed  Google Scholar 

  77. Matkovic Z, Davis S, Gonzales M, Kalnins R, Masters CL (1991) Surgical risk of hemorrhage in cerebral amyloid angiopathy. Stroke 22:456–461

    PubMed  Google Scholar 

  78. McCarron MO, Nicoll JA, Ironside JW, Love S, Alberts MJ, Bone I (1999) Cerebral amyloid angiopathy-related hemorrhage. Interaction of APOE epsilon2 with putative clinical risk factors. Stroke 30:1643–1646

    PubMed  Google Scholar 

  79. McCarron MO, Nicoll JA, Stewart J, Ironside JW, Mann DM, Love S, Graham DI, Dewar D (1999) The apolipoprotein E epsilon2 allele and the pathological features in cerebral amyloid angiopathy-related hemorrhage. J Neuropathol Exp Neurol 58:711–718

    PubMed  Google Scholar 

  80. Minakawa T, Takeuchi S, Sasaki O, Koizumi T, Honad Y, Fujii Y, Ozawa T, Ogawa H, Koike T, Tanaka R (1995) Surgical experience with massive lobar haemorrhage caused by cerebral amyloid angiopathy. Acta Neurochir (Wien) 132:48–52

    Article  Google Scholar 

  81. Morel F (1950) Petite contribution à l‘étude d’une angiopathie apparemment dyshorique et topistique. Rev Mens Psychiatr Neurol 120:352–357

    Google Scholar 

  82. Morel F, Wildi E (1952) General and cellular pathochemistry of senile and presenile alterations of the brain. In: Proceedings of the first international congress of neuropathology. Rosenber and Sellier Rome, pp 347–374

  83. Morel F, Wildi E (1955) Contribution à la connaissance des différentes altérations cérébrales du grand âge. Arch Suisses Neurol Psychiatr 76:190–197

    Google Scholar 

  84. Natte R, Boer WI de, Maat-Schieman ML, Baelde HJ, Vinters HV, Roos RA, Duinen SG van (1999) Amyloid beta precursor protein-mRNA is expressed throughout cerebral vessel walls. Brain Res 828:179–183

    Article  PubMed  Google Scholar 

  85. Natte R, Yamaguchi H, Maat-Schieman ML, Prins FA, Neeskens P, Roos RA, Duinen SG van (1999) Ultrastructural evidence of early non-fibrillar Abeta42 in the capillary basement membrane of patients with hereditary cerebral hemorrhage with amyloidosis, Dutch type. Acta Neuropathol 98:577–582

    Article  PubMed  Google Scholar 

  86. Neuropathology GMRCCFaAS (2001) Pathological correlates of late-onset dementia in a multicentre, community-based population in England and Wales. Neuropathology Group of the Medical Research Council Cognitive Function and Ageing Study (MRC CFAS). Lancet 357:169–175

    Article  PubMed  Google Scholar 

  87. Nicoll JA, Weller RO (2003) A new role for astrocytes: beta-amyloid homeostasis and degradation. Trends Mol Med 9:281–282

    Article  PubMed  Google Scholar 

  88. Nicoll JA, Burnett C, Love S, Graham DI, Dewar D, Ironside JW, Stewart J, Vinters HV (1997) High frequency of apolipoprotein E epsilon 2 allele in hemorrhage due to cerebral amyloid angiopathy. Ann Neurol 41:716–721

    Article  PubMed  Google Scholar 

  89. Nicoll JA, Wilkinson D, Holmes C, Steart P, Markham H, Weller RO (2003) Neuropathology of human Alzheimer disease after immunization with amyloid-beta peptide: a case report. Nat Med 9:448–452

    Article  PubMed  Google Scholar 

  90. Nicoll JA, Yamada M, Frackowiak J, Mazur-Kolecka B, Weller RO (2004) Cerebral amyloid angiopathy plays a direct role in the pathogenesis of Alzheimer’s disease; Pro-CAA position statement. Neurobiol Aging 25:589–597

    Article  PubMed  Google Scholar 

  91. O’Donnell HC, Rosand J, Knudsen KA, Furie KL, Segal AZ, Chiu RI, Ikeda D, Greenberg SM (2000) Apolipoprotein E genotype and the risk of recurrent lobar intracerebral hemorrhage. N Engl J Med 342:240–245

    Article  PubMed  Google Scholar 

  92. Oh U, Gupta R, Krakauer JW, Khandji AG, Chin SS, Elkind MS (2004) Reversible leukoencephalopathy associated with cerebral amyloid angiopathy. Neurology 62:494–497

    PubMed  Google Scholar 

  93. Okazaki H, Reagan TJ, Campbell RJ (1979) Clinicopathologic studies of primary cerebral amyloid angiopathy. Mayo Clin Proc 54:22–31

    PubMed  Google Scholar 

  94. Olichney JM, Hansen LA, Hofstetter CR, Grundman M, Katzman R, Thal LJ (1995) Cerebral infarction in Alzheimer’s disease is associated with severe amyloid angiopathy and hypertension. Arch Neurol 52:702–708

    PubMed  Google Scholar 

  95. Olichney JM, Ellis RJ, Katzman R, Sabbagh MN, Hansen L (1997) Types of cerebrovascular lesions associated with severe cerebral amyloid angiopathy in Alzheimer’s disease. Ann N Y Acad Sci 826:493–497

    PubMed  Google Scholar 

  96. Olichney JM, Hansen LA, Hofstetter CR, Lee JH, Katzman R, Thal LJ (2000) Association between severe cerebral amyloid angiopathy and cerebrovascular lesions in Alzheimer disease is not a spurious one attributable to apolipoprotein E4. Arch Neurol 57:869–874

    Article  PubMed  Google Scholar 

  97. Oppenheim G (1909) Über “drusige Nekrosen” in der Großhirnrinde. Neurol Zbl 8:410–413

    Google Scholar 

  98. Pantelakis S (1954) Un type particulier d’angiopathie sénile du système nerveux central: l’angiopathie congophile. Topographie et fréquence. Monatsschr Psychiatr Neurol 128:219–256

    PubMed  Google Scholar 

  99. Pfeifer LA, White LR, Ross GW, Petrovitch H, Launer LJ (2002) Cerebral amyloid angiopathy and cognitive function: the HAAS autopsy study. Neurology 58:1629–1634

    PubMed  Google Scholar 

  100. Plant G, Revesz T, Barnard R, Harding A, Gautier-Smith P (1990) Familial cerebral amyloid angiopathy with nonneuritic amyloid plaque formation. Brain 113:721–747

    PubMed  Google Scholar 

  101. Premkumar DR, Cohen DL, Hedera P, Friedland RP, Kalaria RN (1996) Apolipoprotein E-epsilon4 alleles in cerebral amyloid angiopathy and cerebrovascular pathology associated with Alzheimer’s disease. Am J Pathol 148:2083–2095

    PubMed  Google Scholar 

  102. Preston SD, Steart PV, Wilkinson A, Nicoll JA, Weller RO (2003) Capillary and arterial cerebral amyloid angiopathy in Alzheimer’s disease: defining the perivascular route for the elimination of amyloid beta from the human brain. Neuropathol Appl Neurobiol 29:106–117

    Article  PubMed  Google Scholar 

  103. Rebeck GW, Reiter JS, Strickland DK, Hyman BT (1993) Apolipoprotein E in sporadic Alzheimer’s disease: allelic variation and receptor interactions. Neuron 11:575–580

    Article  PubMed  Google Scholar 

  104. Revesz T, Holton JL, Doshi B, Anderton BH, Scaravilli F, Plant GT (1999) Cytoskeletal pathology in familial cerebral amyloid angiopathy (British type) with non-neuritic amyloid plaque formation. Acta Neuropathol 97:170–176

    Article  PubMed  Google Scholar 

  105. Revesz T, Holton JL, Lashley T, Plant G, Rostagno A, Ghiso J, Frangione B (2002) Sporadic and familial cerebral amyloid angiopathies. Brain Pathol 12:343–357

    PubMed  Google Scholar 

  106. Revesz T, Ghiso J, Lashley T, Plant G, Rostagno A, Frangione B, Holton JL (2003) Cerebral amyloid angiopathies: a pathologic, biochemical, and genetic view. J Neuropathol Exp Neurol 62:885–898

    PubMed  Google Scholar 

  107. Revesz T, Ghiso J, Plant G, Holton JL, Frangione B (2003) Inherited amyloidosis and neurodegenerations in Familial British and Danish Dementia. In: Dickson DW (ed) Neurodegeneration: the molecular pathology of dementia and movement disorders. ISN Neuropath Press, Basel, pp 380–385

  108. Revesz T, Ghiso J, Plant G, Lashley T, Rostagno A, Frangione B, Holton JL (2005) Cerebral amyloid angiopathy. In: Kalimo H (ed) Pathology and genetics. Cerebrovascular diseases. ISN Neuropath Press, Basel, pp 94–102

  109. Roher AE, Kuo YM, Esh C, Knebel C, Weiss N, Kalback W, Luehrs DC, Childress JL, Beach TG, Weller RO, Kokjohn TA (2003) Cortical and leptomeningeal cerebrovascular amyloid and white matter pathology in Alzheimer’s disease. Mol Med 9:112–122

    PubMed  Google Scholar 

  110. Rosand J, Hylek EM, O’Donnell HC, Greenberg SM (2000) Warfarin-associated hemorrhage and cerebral amyloid angiopathy: a genetic and pathologic study. Neurology 55:947–951

    PubMed  Google Scholar 

  111. Saido TC, Iwatsubo T, Mann DM, Shimada H, Ihara Y, Kawashima S (1995) Dominant and differential deposition of distinct beta-amyloid peptide species, A beta N3(pE), in senile plaques. Neuron 14:457–466

    Article  PubMed  Google Scholar 

  112. Sarazin M, Amarenco P, Mikol J, Dimitri D, Lot G, Bousser MG (2002) Reversible leukoencephalopathy in cerebral amyloid angiopathy presenting as subacute dementia. Eur J Neurol 9:353–358

    Article  PubMed  Google Scholar 

  113. Saunders AM (2000) Apolipoprotein E and Alzheimer disease: an update on genetic and functional analyses. J Neuropathol Exp Neurol 59:751–758

    PubMed  Google Scholar 

  114. Schlote W (1965) Die Amyloidnatur der kongophilen, drusigen Entartung der Hirnarterien (Scholz) im Senium. Acta Neuropathol 4:449–468

    Article  Google Scholar 

  115. Schmechel DE, Saunders AM, Strittmatter WJ, Crain BJ, Hulette CM, Joo SH, Pericak-Vance MA, Goldgaber D, Roses AD (1993) Increased amyloid beta-peptide deposition in cerebral cortex as a consequence of apolipoprotein E genotype in late-onset Alzheimer disease. Proc Natl Acad Sci USA 90:9649–9653

    PubMed  Google Scholar 

  116. Scholz W (1938) Studien zur Pathologie der Hirngefäße. II. Die drusige Entartung der Hirnarterien und -capillaren (eine Form seniler Gefäßerkrankung). Z Ges Neurol Psychiatr 162:694–715

    Google Scholar 

  117. Scolding NJ, Joseph F, Kirby PA, Mazanti I, Gray F, Mikol J, Ellison D, Hilton DA, Williams TL, MacKenzie JM, Xuereb JH, Love S (2005) Abeta-related angiitis: primary angiitis of the central nervous system associated with cerebral amyloid angiopathy. Brain 128:500–515

    Article  PubMed  Google Scholar 

  118. Shibata M, Yamada S, Kumar SR, Calero M, Bading J, Frangione B, Holtzman DM, Miller CA, Strickland DK, Ghiso J, Zlokovic BV (2000) Clearance of Alzheimer’s amyloid-ss(1–40) peptide from brain by LDL receptor-related protein-1 at the blood-brain barrier. J Clin Invest 106:1489–1499

    PubMed  Google Scholar 

  119. Strittmatter WJ, Saunders AM, Schmechel D, Pericak-Vance M, Enghild J, Salvesen GS, Roses AD (1993) Apolipoprotein E: high-avidity binding to beta-amyloid and increased frequency of type 4 allele in late-onset familial Alzheimer disease. Proc Natl Acad Sci USA 90:1977–1981

    PubMed  Google Scholar 

  120. Sumii T, Lo EH (2002) Involvement of matrix metalloproteinase in thrombolysis-associated hemorrhagic transformation after embolic focal ischemia in rats. Stroke 33:831–836

    Article  PubMed  Google Scholar 

  121. Surbek B (1961) L’ángiopathie dyshorique (Morel) de l’écorce cérébrale. Etude anatomo-clinique et statistique, aspect génétique. Acta Neuropathol (Berl) 1:168–197

    Article  Google Scholar 

  122. Suzuki N, Iwatsubo T, Odaka A, Ishibashi Y, Kitada C, Ihara Y (1994) High tissue content of soluble beta 1–40 is linked to cerebral amyloid angiopathy. Am J Pathol 145:452–460

    PubMed  Google Scholar 

  123. Thal DR, Ghebremedhin E, Rub U, Yamaguchi H, Tredici KD, Braak H (2002) Two types of sporadic cerebral amyloid angiopathy. J Neuropathol Exp Neurol 61:282–293

    PubMed  Google Scholar 

  124. Thal DR, Ghebremedhin E, Orantes M, Wiestler OD (2003) Vascular pathology in Alzheimer disease: Correlation of cerebral amyloid angiopathy and arteriosclerosis/lipohyalinosis with cognitive decline. J Neuropathol Exp Neurol 62:1287–1301

    PubMed  Google Scholar 

  125. Tian J, Shi J, Bailey K, Mann DM (2003) Negative association between amyloid plaques and cerebral amyloid angiopathy in Alzheimer’s disease. Neurosci Lett 352:137–140

    Article  PubMed  Google Scholar 

  126. Tian J, Shi J, Bailey K, Lendon CL, Pickering-Brown SM, Mann DM (2004) Association between apolipoprotein E e4 allele and arteriosclerosis, cerebral amyloid angiopathy, and cerebral white matter damage in Alzheimer’s disease. J Neurol Neurosurg Psychiatry 75:696–699

    Article  PubMed  Google Scholar 

  127. Tian J, Shi J, Bailey K, Mann DM (2004) Relationships between arteriosclerosis, cerebral amyloid angiopathy and myelin loss from cerebral cortical white matter in Alzheimer’s disease. Neuropathol Appl Neurobiol 30:46–56

    Article  PubMed  Google Scholar 

  128. Tian J, Shi J, Mann DM (2004) Cerebral amyloid angiopathy and dementia. Panminerva Med 46:253–264

    PubMed  Google Scholar 

  129. Tomonaga M (1981) Cerebral amyloid angiopathy in the elderly. J Am Geriatr Soc 29:151–157

    PubMed  Google Scholar 

  130. Uchihara T, Akiyama H, Kondo H, Ikeda K (1997) Activated microglial cells are colocalized with perivascular deposits of amyloid-beta protein in Alzheimer’s disease brain. Stroke 28:1948–1950

    PubMed  Google Scholar 

  131. Van Dorpe J, Smeijers L, Dewachter I, Nuyens D, Spittaels K, Van Den Haute C, Mercken M, Moechars D, Laenen I, Kuiperi C, Bruynseels K, Tesseur I, Loos R, Vanderstichele H, Checler F, Sciot R, Van Leuven F (2000) Prominent cerebral amyloid angiopathy in transgenic mice overexpressing the london mutant of human APP in neurons. Am J Pathol 157:1283–1298

    PubMed  Google Scholar 

  132. Vidal R, Frangione B, Rostagno A, Mead S, Revesz T, Plant G, Ghiso J (1999) A stop-codon mutation in the BRI gene associated with familial British dementia. Nature 399:776–781

    Article  PubMed  Google Scholar 

  133. Vidal R, Calero M, Piccardo P, Farlow MR, Unverzagt FW, Mendez E, Jimenez-Huete A, Beavis R, Gallo G, Gomez-Tortosa E, Ghiso J, Hyman BT, Frangione B, Ghetti B (2000) Senile dementia associated with amyloid beta protein angiopathy and tau perivascular pathology but not neuritic plaques in patients homozygous for the APOE-epsilon4 allele. Acta Neuropathol 100:1–12

    Article  PubMed  Google Scholar 

  134. Vinters HV (1987) Cerebral amyloid angiopathy. A critical review. Stroke 18:311–324

    PubMed  Google Scholar 

  135. Vinters HV, Gilbert JJ (1983) Cerebral amyloid angiopathy: incidence and complications in the aging brain. II. The distribution of amyloid vascular changes. Stroke 14:924–928

    PubMed  Google Scholar 

  136. Vinters HV, Secor DL, Pardridge WM, Gray F (1990) Immunohistochemical study of cerebral amyloid angiopathy. III. Widespread Alzheimer A4 peptide in cerebral microvessel walls colocalizes with gamma trace in patients with leukoencephalopathy. Ann Neurol 28:34–42

    Article  PubMed  Google Scholar 

  137. Vinters HV, Secor DL, Read SL, Frazee JG, Tomiyasu U, Stanley TM, Ferreiro JA, Akers MA (1994) Microvasculature in brain biopsy specimens from patients with Alzheimer’s disease: an immunohistochemical and ultrastructural study. Ultrastruct Pathol 18:333–348

    PubMed  Google Scholar 

  138. Vinters HV, Wang ZZ, Secor DL (1996) Brain parenchymal and microvascular amyloid in Alzheimer’s disease. Brain Pathol 6:179–195

    PubMed  Google Scholar 

  139. Vonsattel JP, Myers RH, Hedley-Whyte ET, Ropper AH, Bird ED, Richardson EP Jr (1991) Cerebral amyloid angiopathy without and with cerebral hemorrhages: a comparative histological study. Ann Neurol 30:637–649

    Article  PubMed  Google Scholar 

  140. Weisgraber KH (1994) Apolipoprotein E: structure-function relationships. Adv Protein Chem 45:249–302

    PubMed  Google Scholar 

  141. Weller RO, Nicoll JA (2003) Cerebral amyloid angiopathy: pathogenesis and effects on the ageing and Alzheimer brain. Neurol Res 25:611–616

    Article  PubMed  Google Scholar 

  142. Weller RO, Kida S, Zhang ET (1992) Pathways of fluid drainage from the brain — morphological aspects and immunological significance in rat and man. Brain Pathol 2:277–284

    PubMed  Google Scholar 

  143. Weller RO, Massey A, Newman TA, Hutchings M, Kuo YM, Roher AE (1998) Cerebral amyloid angiopathy: amyloid beta accumulates in putative interstitial fluid drainage pathways in Alzheimer’s disease. Am J Pathol 153:725–733

    PubMed  Google Scholar 

  144. Weller RO, Massey A, Kuo YM, Roher AE (2000) Cerebral amyloid angiopathy: accumulation of A beta in interstitial fluid drainage pathways in Alzheimer’s disease. Ann N Y Acad Sci 903:110–117

    PubMed  Google Scholar 

  145. Williams S, Chalmers K, Wilcock GK, Love S (2005) Relationship of neurofibrillary pathology to cerebral amyloid angiopathy in Alzheimer’s disease. Neuropathol Appl Neurobiol 31:414–421

    Article  PubMed  Google Scholar 

  146. Wisniewski HM, Wegiel J (1994) Beta-amyloid formation by myocytes of leptomeningeal vessels. Acta Neuropathol 87:233–241

    PubMed  Google Scholar 

  147. Wisniewski HM, Frackowiak J, Zoltowska A, Kim KS (1994) Vascular β-amyloid in Alzheimer’s disease angiopathy is produced by proliferating and degenerating smooth muscle cells. Int J Exp Clin Invest:8–16

    Google Scholar 

  148. Wisniewski HM, Frackowiak J, Mazur-Kolecka B (1995) In vitro production of beta-amyloid in smooth muscle cells isolated from amyloid angiopathy-affected vessels. Neurosci Lett 183:120–123

    Article  PubMed  Google Scholar 

  149. Wisniewski HM, Wegiel J, Vorbrodt AW, Mazur-Kolecka B, Frackowiak J (2000) Role of perivascular cells and myocytes in vascular amyloidosis. Ann N Y Acad Sci 903:6–18

    PubMed  Google Scholar 

  150. Xu D, Yang C, Wang L (2003) Cerebral amyloid angiopathy in aged Chinese: a clinico-neuropathological study. Acta Neuropathol 106:89–91

    PubMed  Google Scholar 

  151. Yamada M (2000) Cerebral amyloid angiopathy: an overview. Neuropathology 20:8–22

    Article  PubMed  Google Scholar 

  152. Yamada M (2002) Risk factors for cerebral amyloid angiopathy in the elderly. Ann N Y Acad Sci 977:37–44

    PubMed  Google Scholar 

  153. Yamada M, Tsukagoshi H, Otomo E, Hayakawa M (1987) Cerebral amyloid angiopathy in the aged. J Neurol 234:371–376

    Article  PubMed  Google Scholar 

  154. Yamada M, Itoh Y, Shintaku M, Kawamura J, Jensson O, Thorsteinsson L, Suematsu N, Matsushita M, Otomo E (1996) Immune reactions associated with cerebral amyloid angiopathy. Stroke 27:1155–1162

    PubMed  Google Scholar 

  155. Yow H, Weller RO (2002) A role for cerebrovascular disease in determining the pattern of beta amyloid deposition in Alzheimer’s disease. Neuropathol Appl Neurobiol 28:149

    Article  Google Scholar 

  156. Zarow C, Zaias B, Lyness SA, Chui H (1999) Cerebral amyloid angiopathy in Alzheimer disease is associated with apolipoprotein E4 and cortical neuron loss. Alzheimer Dis Assoc Disord 13:1–8

    PubMed  Google Scholar 

  157. Zekry D, Duyckaerts C, Belmin J, Geoffre C, Moulias R, Hauw JJ (2003) Cerebral amyloid angiopathy in the elderly: vessel walls changes and relationship with dementia. Acta Neuropathol 106:367–373

    Article  PubMed  Google Scholar 

  158. Zhang ET, Inman CB, Weller RO (1990) Interrelationships of the pia mater and the perivascular (Virchow-Robin) spaces in the human cerebrum. J Anat 170:111–123

    PubMed  Google Scholar 

  159. Zhang F, Eckman C, Younkin S, Hsiao KK, Iadecola C (1997) Increased susceptibility to ischemic brain damage in transgenic mice overexpressing the amyloid precursor protein. J Neurosci 17:7655–7661

    PubMed  Google Scholar 

Download references

Acknowledgements

I thank Prof. Charles Duyckaerts, Prof. Kurt Jellinger, Prof. Seth Love, and Prof. Roy Weller for critical comments during the past 2 years.

Author information

Affiliations

Authors

Corresponding author

Correspondence to Johannes Attems.

Rights and permissions

Reprints and Permissions

About this article

Cite this article

Attems, J. Sporadic cerebral amyloid angiopathy: pathology, clinical implications, and possible pathomechanisms. Acta Neuropathol 110, 345–359 (2005). https://doi.org/10.1007/s00401-005-1074-9

Download citation

  • Received:

  • Revised:

  • Accepted:

  • Published:

  • Issue Date:

  • DOI: https://doi.org/10.1007/s00401-005-1074-9

Keywords

  • Cerebral amyloid angiopathy
  • Alzheimer’s disease
  • APOE genotype
  • Cerebral hemorrhage
  • Dementia