Skip to main content

The ultrastructure of peripheral nerve, motor end-plate and skeletal muscle in patients suffering from spinal muscular atrophy with respiratory distress type 1 (SMARD1)

Abstract

Spinal muscular atrophy with respiratory distress type 1 (SMARD1) is genetically and clinically distinct from classic spinal muscular atrophy (SMA1). It results from mutations in the gene encoding immunoglobulin μ-binding protein 2 (IGHMBP2) on chromosome 11q13. Patients develop distally pronounced muscular weakness and early involvement of the diaphragm, resulting in respiratory failure. Sensory and autonomic nerves are also affected at later stages of the disease. We investigated peripheral nerves, skeletal muscles and neuromuscular junctions (NMJ) ultrastructurally in five unrelated patients and three siblings with genetically confirmed SMARD1. In mixed motor and sensory nerves we detected Wallerian degeneration and axonal atrophy similar to the ultrastructural findings described in SMA1. Isolated axonal atrophy was evident in purely sensory nerves. All investigated NMJ of patients with SMARD1 were dysmorphic and lacked a terminal axon. Moreover, we also observed characteristics of neuropathies, such as abnormalities in myelination, that have not been described in spinal muscular atrophies so far. Based on these findings we conclude that impairment of IGHMBP2 function leads to axonal degeneration, abnormal myelin formation, and motor end-plate degeneration.

This is a preview of subscription content, access via your institution.

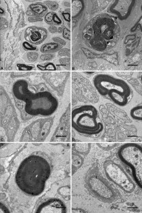
Fig. 1 A
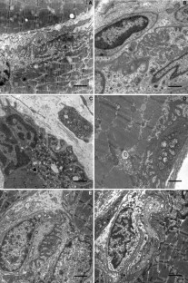
Fig. 2 A
Fig. 3 A
Fig. 4

References

  1. Behse F, Buchthal F, Carlsen F, Knappeis GG (1972) Hereditary neuropathy with liability to pressure palsies. Electrophysiological and histopathological aspects. Brain 95:777–794

    Google Scholar 

  2. Brown MC, Hopkins WG, Keynes RJ, White I (1982) A comparison of early morphological changes at denervated and paralyzed end-plates in fast and slow muscles in the mouse. Brain Res 248:382–286

    Google Scholar 

  3. Carpenter S, Karpati G, Rothman S, Watters G, Andermann F (1978) Pathological involvement of primary sensory neurons in Werdnig-Hoffmann disease. Acta Neuropathol (Berl) 42:91–97

    Google Scholar 

  4. Cavanagh JB (1964) The significance of the “dying-back” process in experimental and human neurological disease. Int Rev Exp Pathol 3:219–267

    Google Scholar 

  5. Chance PF, Alderson MK, Leppig KA, Lensch MW, Matsunami N, Smith B, Swanson PD, Odelberg SJ, Disteche CM, Bird TD (1993) DNA deletion associated with hereditary neuropathy with liability to pressure palsies. Cell 72:143–151

    Google Scholar 

  6. Chien YY, Nonaka I (1989) Peripheral nerve involvement in Werdnig-Hoffmann disease. Brain Dev 11:221–229

    Google Scholar 

  7. Cifuentes-Diaz C, Nicole S, Velasco ME, Borra-Cebrian C, Panozzo C, Frugier T, Millet G, Roblot N, Joshi V, Melki J (2002) Neurofilament accumulation at the motor endplate and lack of axonal sprouting in a spinal muscular atrophy mouse model. Hum Mol Genet 11:1439–1447

    Google Scholar 

  8. Cook SA, Johnson KR, Bronson RT, Davisson MT (1995) Neuromuscular degeneration (nmd): a mutation on mouse chromosome 19 that causes motor neuron degeneration. Mamm Genome 6:187–191

    Google Scholar 

  9. Cox GA, Mahaffey CL, Frankel WN (1998) Identification of the mouse neuromuscular degeneration gene and mapping of a second site suppressor allele. Neuron 21:1327–1337

    Google Scholar 

  10. Fidzianska A (1980) Human ontogenesis. II. Development of the human neuromuscular junction. J Neuropathol Exp Neurol 39:606–615

    Google Scholar 

  11. Fidzianska A, Goebel HH, Warlo I (1990) Acute infantile spinal muscular atrophy. Muscle apoptosis as a proposed pathogenetic mechanism. Brain 113:433–445

    Google Scholar 

  12. Gabreëls-Festen A, Beersum S van, Eshuis L, LeGuern E, Gabreels F, Engelen B van, Mariman E (1999) Study on the gene and phenotypic characterisation of autosomal recessive demyelinating motor and sensory neuropathy (Charcot-Marie-Tooth disease) with a gene locus on chromosome 5q23-q33. J Neurol Neurosurg Psychiatry 66:569–574.

    Google Scholar 

  13. Guzzetta F, Ferriere G, Lyon G (1982) Congenital hypomyelination polyneuropathy. Pathological findings compared with polyneuropathies starting later in life. Brain 105:395–416

    Google Scholar 

  14. Grohmann K, Wienker TF, Saar K, Rudnik-Schoneborn S, Stoltenburg-Didinger G, Rossi R, Novelli G, Nürnberg G, Pfeufer A, Wirth B, et al (1999) Diaphragmatic spinal muscular atrophy with respiratory distress is heterogeneous, and one form is linked to chromosome 11q13-q21. Am J Hum Genet 65:1459–1462

    Google Scholar 

  15. Grohmann K, Schuelke M, Diers A, Hoffmann K, Lucke B, Adams C, Bertini E, Leonhardt-Horti H, Muntoni F, Ouvrier R, et al (2001) Mutations in the gene encoding immunoglobulin mu-binding protein 2 cause spinal muscular atrophy with respiratory distress type 1. Nat Genet 29:75–77

    Google Scholar 

  16. Grohmann K, Varon R, Stolz P, Schuelke M, Janetzki C, Bertini E, Bushby K, Muntoni F, Ouvrier R, Van Maldergem L, et al (2003) Infantile spinal muscular atrophy with respiratory distress type 1 (SMARD1). Ann Neurol 54:719–724

    Google Scholar 

  17. Grohmann K, Rossoll W, Kobsar I, Holtmann B, Jablonka S, Wessig C, Stoltenburg-Didinger G, Fischer U, Hübner C, Martini R, Sendtner M (2004) Characterization of Ighmbp2 in motor neurons and implications for the pathomechanism in a mouse model of human spinal muscular atrophy with respiratory distress type 1 (SMARD1). Hum Mol Genet 13:2031–2042

    Google Scholar 

  18. Hayasaka K, Himoro M, Sato W, Takada G, Uyemura K, Shimizu N, Bird TD, Conneally PM, Chance PF (1993) Charcot-Marie-Tooth neuropathy type 1B is associated with mutations of the myelin P0 gene. Nat Genet 5:31–34

    Google Scholar 

  19. Jacobs JM, Love S (1985) Qualitative and quantitative morphology of human sural nerve at different ages. Brain 108:897–924

    Google Scholar 

  20. Korinthenberg R, Sauer M, Ketelsen UP, Hanemann CO, Stoll G, Graf M, Baborie A, Volk B, Wirth B, Rudnik-Schöneborn S, Zerres K (1997) Congenital axonal neuropathy caused by deletions in the spinal muscular atrophy region. Ann Neurol 42:364–368

    Google Scholar 

  21. Maddatu TP, Garvey SM, Schroeder DG, HamptonTG, Cox GA (2004) Transgenic rescue of neurogenic atrophy in the nmd mouse reveals a role for Ighmbp2 in dilated cardiomyopathy. Hum Mol Genet 13:1105–1115

    Google Scholar 

  22. Madrid R, Bradley WG (1975) The pathology of neuropathies with focal thickening of the myelin sheath (tomaculous neuropathy). Studies on the formation of the abnormal myelin sheath. J Neurol Sci 25:415–448

    Google Scholar 

  23. Martin N, Jaubert J, Gounon P, Salido E, Haase G, Szatanik M, Guenet JL (2002) A missense mutation in Tbce causes progressive motor neuronopathy in mice. Nat Genet 32:443–447

    Google Scholar 

  24. Meier-Ruge W, Lutterbeck PM, Herzog B, Morger R, Moser R Schärli A (1972) Acetylcholinesterase activity in suction biopsies of the rectum in the diagnosis of Hirschsprung’s disease. J Pediatr Surg 7:11–17

    Google Scholar 

  25. Miledi R, Slater CR (1968) Electrophysiology and electron microscopy of rat neuromuscular junctions after denervation. Proc R Soc Lond B Biol Sci 169:289–306

    Google Scholar 

  26. Mohan U, Misra VP, Britto J, Muntoni F, King RH, Thomas P (2001) Inherited early onset severe axonal polyneuropathy with respiratory failure and autonomic involvement. Neuromuscul Disord 11:395–399

    Google Scholar 

  27. Niemann S, Sereda MW, Rossner M, Stewart H, Suter U, Meinck HM, Griffiths IR, Nave KA (1999) The “CMT rat”: peripheral neuropathy and dysmyelination caused by transgenic overexpression of PMP22. Ann N Y Acad Sci 883:254–261

    Google Scholar 

  28. Nordborg C, Conradi N, Sourander P, Hagberg B, Westerberg B (1984) Hereditary motor and sensory neuropathy of demyelinating and remyelinating type in children. Ultrastructural and morphometric studies on sural nerve biopsy specimens from ten sporadic cases. Acta Neuropathol (Berl) 65:1–9

    Google Scholar 

  29. Omran H, Ketelsen UP, Heinen F, Sauer M, Rudnik-Schöneborn S, Wirth B, Zerres K, Kratzer W, Korinthenberg R (1998) Axonal neuropathy and predominance of type II myofibres in infantile spinal muscular atrophy. J Child Neurol 13:327–331

    Google Scholar 

  30. Ouvrier RA, McLeod JG, Conchin T (1987) Morphometric studies of sural nerve in childhood. Muscle Nerve 10:47–53

    Google Scholar 

  31. Pitt M, Houlden H, Jacobs J, Mok Q, Harding B, Reilly M, Surtees R (2003) Severe infantile neuropathy with diaphragmatic weakness and its relationship to SMARD1. Brain 126:2682–2692

    Google Scholar 

  32. Quattrone A, Gambardella A, Bono F, Aguglia U, Bolino A, Bruni AC, Montesi MP, Oliveri RL, Sabatelli M, Tamburrini O, et al (1996) Autosomal recessive hereditary motor and sensory neuropathy with focally folded myelin sheaths: clinical, electrophysiologic, and genetic aspects of a large family. Neurology 46:1318–1324

    Google Scholar 

  33. Reilly MM (2000) Classification of the hereditary motor and sensory neuropathies. Curr Opin Neurol 13:561–564

    Google Scholar 

  34. Richardson KC, Janett L, Finke EH (1960) Embedding in epoxy resins for ultra-thin sections in electron microscopy. Stain Technol 35:313–323

    Google Scholar 

  35. Rudnik-Schöneborn S, Goebel HH, Schlote W, Molaian S, Omran H, Ketelsen U, Korinthenberg R, Wenzel D, Lauffer H, Kreiss-Nachtsheim M, et al (2003) Classic infantile spinal muscular atrophy with SMN deficiency causes sensory neuronopathy. Neurology 60:983–987

    Google Scholar 

  36. Sanes JR, Lichtman JW (2001) Induction, assembly, maturation and maintenance of a postsynaptic apparatus. Nat Rev Neurosci 2:791–805

    Google Scholar 

  37. Schachner M (1989) Families of neural adhesion molecules. Ciba Found Symp 145:156–169

    Google Scholar 

  38. Schröder JM, Bohl J, Bardeleben U von (1988) Changes of the ratio between myelin thickness and axon diameter in human developing sural, femoral, ulnar, facial, and trochlear nerves. Acta Neuropathol 76:471–483

    Google Scholar 

  39. Seeger M (1979) Minimale Muskelfaserkaliber bei neurogenen Muskelatrophien. Doctoral Thesis. Universität Mainz

  40. Son YJ, Trachtenberg JT, Thompson WJ (1996) Schwann cells induce and guide sprouting and reinnervation of neuromuscular junctions. Science 19:280–285

    Google Scholar 

  41. Spencer PS, Schaumburg HH (1977) Ultrastructural studies of the dying-back process. III. The evolution of experimental peripheral giant axonal degeneration. J Neuropathol Exp Neurol 36:276–299

    Google Scholar 

  42. Thomas FP, Lebo RV, Rosoklija G, Ding XS, Lovelace RE, Latov N, Hays AP (1994) Tomaculous neuropathy in chromosome 1 Charcot-Marie-Tooth syndrome. Acta Neuropathol 87:91–97

    Google Scholar 

  43. Vallat JM, Gil R, Leboutet MJ, Hugon J, Moulies D (1987) Congenital hypo- and hypermyelination neuropathy. Two cases. Acta Neuropathol (Berl) 74:197–201

    Google Scholar 

  44. Wilmshurst JM, Bye A, Rittey C, Adams C, Hahn AF, Ramsay D, Pamphlett R, Pollard JD, Ouvrier R (2001) Severe infantile axonal neuropathy with respiratory failure. Muscle Nerve 24:760–768

    Google Scholar 

Download references

Acknowledgments

This study was supported by grants from the Deutsche Forschungsgemeinschaft (HU 408/3–2) and from the Humboldt-University (2002–735). The authors wish to thank Marius Bartsch, Enrico Bertini, Lionel van Maldergem and Wolfgang Schlote for kindly providing the specimens, Hans H. Goebel, Angela Kaindl and Henning Schmalbruch for their critical comments and Catrin Janetzki and Hanna Plückhahn for their excellent technical assistance. Mutation analysis of SMN1 was performed by Sabine Rudnik-Schöneborn and Klaus Zerres.

Author information

Affiliations

Authors

Corresponding author

Correspondence to Alexander Diers.

Rights and permissions

Reprints and Permissions

About this article

Cite this article

Diers, A., Kaczinski, M., Grohmann, K. et al. The ultrastructure of peripheral nerve, motor end-plate and skeletal muscle in patients suffering from spinal muscular atrophy with respiratory distress type 1 (SMARD1). Acta Neuropathol 110, 289–297 (2005). https://doi.org/10.1007/s00401-005-1056-y

Download citation

  • Received:

  • Revised:

  • Accepted:

  • Published:

  • Issue Date:

  • DOI: https://doi.org/10.1007/s00401-005-1056-y

Keywords

  • Spinal muscular atrophy with respiratory distress type 1
  • Spinal muscular atrophy with respiratory distress
  • Neuronopathy
  • Axonal atrophy
  • Wallerian degeneration