Skip to main content

Epidermal growth factor receptor family (EGFR, ErbB2–4) in gliomas and meningiomas

Abstract

Overexpression of epidermal growth factor receptor (EGFR, ErbB1) correlates with enhanced malignant potential of many human tumor types including glioblastoma multiforme. The significance of EGFR expression in meningiomas is, however, unclear. Reports regarding the other EGFR family members, ErbB2–4, in brain tumors are sparse. In this study, the expression of the EGFR family members was analyzed in relation to various parameters for the clinical importance of these receptors in 44 gliomas and 26 meningiomas. In gliomas, quantitative real-time reverse transcription (RT)-PCR revealed the highest EGFR mRNA expression in high-grade gliomas, while ErbB2 and ErbB3 mRNA were detected only in a few high-grade gliomas. In contrast, ErbB4 expression was most pronounced in low-grade gliomas. Immunohistochemistry showed significantly higher EGFR protein expression in high-grade gliomas compared to low-grade gliomas (P=0.004). ErbB2 protein expression was mainly seen in high-grade gliomas. ErbB3 protein expression was low in all gliomas analyzed. ErbB4 protein expression was significantly higher in low-grade gliomas than in high-grade gliomas (P=0.007). In meningiomas, quantitative real-time RT-PCR revealed expression of EGFR, ErbB2, and ErbB4 mRNA in the majority of the tumors. ErbB3 was detected in only one of the meningiomas analyzed. Immunohistochemistry demonstrated high ErbB2 protein expression in meningiomas. An intriguing observation in astrocytomas and oligodendrogliomas grade II, was a significantly decreased overall survival for patients with high EGFR protein expression (P=0.04). The high ErbB4 expression in low-grade compared to high-grade gliomas might suggest that ErbB4 acts as a suppressor of malignant transformation in brain tumors, which is in line with previous studies in other tumor types.

This is a preview of subscription content, access via your institution.

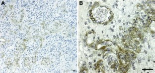
Fig. 1
Fig. 2
Fig. 3
Fig. 4

References

  1. Barker FG, Simmons ML, Chang SM, Prados MD, Larson DA, Sneed PK, Wara WM, Berger MS, Chen P, Israel MA, Aldape KD (2001) EGFR overexpression and radiation response in glioblastoma multiforme. Int J Radiat Oncol Biol Phys 51:410–418

    Article  CAS  PubMed  Google Scholar 

  2. Chozick BS, Benzil DL, Stopa EG, Pezzullo JC, Knuckey NW, Epstein MH, Finkelstein SD, Finch PW (1996) Immunohistochemical evaluation of erb-2 and p53 protein expression in benign and atypical human meningiomas. J Neurooncol 27:117–126

    CAS  PubMed  Google Scholar 

  3. Etienne MC, Formento JL, Lebrun-Frenay C, Gioanni J, Chatel M, Paquis P, Bernard C, Courdi A, Bensadoun RJ, Pignol JP, Francoual M, Grellier P, Frenay M, Milano G (1998) Epidermal growth factor receptor and labelling index are independent prognostic factors in glial tumor outcome. Clin Cancer Res 4:2383–2390

    CAS  PubMed  Google Scholar 

  4. Gilbertson RJ, Pearson AD, Perry RH, Jaros E, Kelly PJ (1995) Prognostic significance of the c-erbB-2 oncogene product in childhood medulloblastoma. Br J Cancer 71:473–477

    CAS  PubMed  Google Scholar 

  5. Gilbertson R, Perry RH, Kelly PJ, Pearson AD, Lunec J (1997) Prognostic significance of HER2 and HER4 co-expression in childhood medulloblastoma. Cancer Res 57:3272–3280

    CAS  PubMed  Google Scholar 

  6. Gilbertson R, Wickramasinghe C, Hernan R, Balaji V, Hunt D, Jones-Wallace D, Crolla J, Perry R, Lunec J, Pearson A, Ellison D (2001) Clinical and molecular stratification of disease risk in medulloblastoma. Br J Cancer 85:705–712

    Article  CAS  PubMed  Google Scholar 

  7. Graber HU, Friess H, Kaufmann B, Willi D, Zimmermann A, Korc M, Buchler MW (1999) ErbB-4 mRNA expression is decreased in non-metastatic pancreatic cancer. Int J Cancer 84:24–27

    Article  CAS  PubMed  Google Scholar 

  8. Haapasalo H, Hyytinen E, Sallinen P, Helin H, Kallioniemi OP, Isola J (1996) c-erb-2 in astrocytomas: infrequent overexpression by immunohistochemistry and absence of gene amplification by fluorescence in situ hybridisation. Br J Cancer 73:620–623

    CAS  PubMed  Google Scholar 

  9. Haugen DR, Akslen LA, Varhaug JE, Lillehaug JR (1996) Expression of c-erbB3 and c-erbB4 in papillary thyroid carcinomas. Cancer Res 57:1184–1188

    Google Scholar 

  10. Herms JW, Behnke J, Bergmann M, Christen HJ, Kolb R, Wilkening M, Markakis E, Hanefeld F, Kretzschmar HA (1997) Potential prognostic value of c-erbB-2 in medulloblastoma in very young children. J Pediatr Hematol Oncol 19:510–515

    Article  CAS  PubMed  Google Scholar 

  11. Hiesiger EM, Hayes RL, Pierz DM, Budzilovich GN (1993) Prognostic relevance of epidermal growth factor receptor (EGF-R) and c-neu/erbB2 expression in glioblastomas (GBMs). J Neurooncol 16: 93–104

    CAS  PubMed  Google Scholar 

  12. Hoang-Xuan K, He J, Huguet S, Mokhtari K, Marie Y, Kujas M, Leuraud P, Capelle L, Delattre JY, Poirier J, Broet P, Sanson M (2001) Molecular heterogeneity of oligodendrogliomas suggests alternative pathways in tumor progression. Neurology 9:1278–1281

    Google Scholar 

  13. Hwang S-L, Hong Y-R, Chai C-Y, Lin H-J, Howng S-L (1998) Prognostic evaluation in supratentorial astrocytic tumors using p53, epidermal growth factor receptor, c-erbB-2 immunostaining. Kaohsiung J Med Sci 14:607–615

    CAS  PubMed  Google Scholar 

  14. Jaros E, Perry RH, Adam L, Kelly PJ, Crawford PJ, Kalbag RM, Mendelow AD, Sengupta RP, Pearson ADJ (1992) Prognostic implications of p53 protein, epidermal growth factor receptor, and Ki-67 labelling in brain tumours. Br J Cancer 66:373–385

    CAS  PubMed  Google Scholar 

  15. Junttila TT, Sundvall M, Maatta JA, Elenius K (2000) Erbb4 and its isoforms: selective regulation of growth factor responses by naturally occurring receptor variants. Trends Cardiovasc Med 10:304–310

    Google Scholar 

  16. Kataoka H, Joh T, Kasugai K, Okayama N, Moriyama A, Asai K, Kato T (1998) Expression of mRNA for heregulin and its receptor, ErbB-3 and ErbB-4, in human upper gastrointestinal mucosa. Life Sci 63:553–564

    Article  CAS  PubMed  Google Scholar 

  17. Kew TY, Bell JA, Pinder SE, Denley H, Srinivasan R, Gullick WJ, Nicholson RI, Blamey RW, Ellis IO (2000) c-erbB-4 protein expression in human breast cancer. Br J Cancer 82:1163–1170

    Article  CAS  PubMed  Google Scholar 

  18. Kleihues P, Cavenee WK (eds) (2000) WHO Health Organization classification of tumours: tumours of the nervous system. IARC Press, Lyon

    Google Scholar 

  19. Lee JC, Wang ST, Chow NH, Yang HB (2002) Investigation of the prognostic value of co-expressed erbB family members for the survival of colorectal cancer patients after curative surgery. Eur J Cancer 38:1065–1071

    CAS  Google Scholar 

  20. Lyne JC, Melhem MF, Finley GG, Wen D, Liu N, Deng DH, Salup R (1997) Tissue expression of neu differentiation factor/heregulin and its receptor complex in prostate cancer and its biologic effects on prostate cancer cells in vitro. Cancer J Sci Am 3:21–30

    CAS  PubMed  Google Scholar 

  21. Nilsson J, Vallbo C, Dongsheng G, Golovleva I, Hallberg B, Henriksson R, Hedman H (2001) Cloning, characterization, and expression of human LIG1. Biochem Biophys Res Commun 284:1155–1161

    Article  CAS  PubMed  Google Scholar 

  22. Olson JJ, Barnett D, Yang J, Assietti R, Cotsonis G, James CD (1998) Gene amplification as a prognostic factor in primary brain tumours. Clin Cancer Res 4:215–222

    CAS  PubMed  Google Scholar 

  23. Riese DJ 2nd, Stern DF (1998) Specificity within the EGF family/ErbB receptor family signalling network. BioEssays 20:41–48

    Article  PubMed  Google Scholar 

  24. Schlegel J, Merdes A, Stumm G, Albert FK, Forsting M, Hynes N, Kiessling M (1994) Amplification of the epidermal growth factor receptor gene correlates with different growth behaviour in human glioblastoma. Int J Cancer 56:72–77

    CAS  PubMed  Google Scholar 

  25. Schwechheimer K, Läufle RM, Schmahl W, Knödlseder M, Fischer H, Höfler H (1994) Expression of Neu/c-erbB-2 in human brain tumors. Hum Pathol 25:772–780

    Article  CAS  PubMed  Google Scholar 

  26. Simmons ML, Lamborn KR, Takahashi M, Chen P, Israel MA, Berger MS, Godfrey T, Nigro J, Prados M, Chang S, Barker FG, Aldape K (2001) Analysis of complex relationships between age, p53, epidermal growth factor receptor, and survival in glioblastoma patients. Cancer Res 61:1122–1128

    CAS  PubMed  Google Scholar 

  27. Smith JS, Tachibana I, Passe SM, Huntley BK, Borell TJ, Iturria N, O’Fallon JR, Schaefer PL, Scheithauer BW, James CD, Buckner JC, Jenkins RB (2001) PTEN mutation, EGFR amplification, and outcome in patients with anaplastic astrocytoma and glioblastoma multiforme. J Natl Cancer Inst 93:1246–1256

    Article  CAS  PubMed  Google Scholar 

  28. Thomasson M, Hedman H, Junttila TT, Elenius K, Ljungberg B, Henriksson R (2004) ErbB4 is down-regulated in renal cell carcinoma: a quantitative RT-PCR and immunohistochemical analysis of the epidermal growth factor receptor family. Acta Oncol (in press)

  29. Yarden Y, Sliwkowsky MX (2001) Untangling the ErbB signalling network. Nat Rev Mol Cell Biol 2:127–137

    Article  CAS  PubMed  Google Scholar 

  30. Zenhe S, Risberg B, Karlsson MG, Willman K, Tierens A, Skovlund E, Nesland JM (2002) EGFR family expression in breast carcinomas. c-erbB-2 and c-erbB-4 receptors have different effects on survival. J Pathol 196:17–25

    Article  CAS  PubMed  Google Scholar 

  31. Zhu A, Shaeffer J, Leslie S, Kolm P, El-Mahdi AM (1996) Epidermal growth factor receptor: an independent predictor of survival in astrocytic tumors given definitive irradiation. Int J Radiat Oncol Biol Phys 34:809–815

    Article  CAS  PubMed  Google Scholar 

Download references

Acknowledgements

This study was supported by grants from the Swedish Cancer Society and the Lion’s Cancer Research Foundation, Umeå University, Sweden. Kerstin Bergh is acknowledged for her excellent assistance with the immunohistochemical staining. We also thank Karin Andersson for secretarial assistance and Björn Tavelin for statistical help and advice.

Author information

Affiliations

Authors

Corresponding author

Correspondence to Ulrika Andersson.

Rights and permissions

Reprints and Permissions

About this article

Cite this article

Andersson, U., Guo, D., Malmer, B. et al. Epidermal growth factor receptor family (EGFR, ErbB2–4) in gliomas and meningiomas. Acta Neuropathol 108, 135–142 (2004). https://doi.org/10.1007/s00401-004-0875-6

Download citation

  • Received:

  • Revised:

  • Accepted:

  • Published:

  • Issue Date:

  • DOI: https://doi.org/10.1007/s00401-004-0875-6

Keywords

  • Epidermal growth factor receptor
  • ErbB2
  • ErbB3
  • ErbB4
  • Gliomas
  • Meningiomas