Skip to main content

Immunohistochemical and ultrastructural study of chordoid glioma of the third ventricle: its tanycytic differentiation

Abstract

A chordoid glioma in the third ventricle was studied immunohistochemically and ultrastructurally. In this report, special attention is paid to the histogenesis in relation to the pathological appearance and unique anatomic location of this tumor. Light microscopic and immunohistochemical findings were similar to those reported previously. Ultrastructurally, microvilli were frequently seen, but three types of abnormal cilia were rarely observed. Basement membrane around the tumor cells and microvessels was extensive. Poorly to moderately developed intermediate (adherent) junctions were frequently seen. Resemblance of these ultrastructural features of the tumor to embryonic tanycytes suggests the tanycytic differentiation of chordoid glioma. Neuroradiologically, all of the previously reported cases of chordoid gliomas seem to arise in the anterior part of the third ventricular floor. This region includes the lamina terminalis, infundibular recess and median eminence, which corresponds to a tanycyte-rich area. These findings suggest a tanycytic origin of chordoid glioma.

This is a preview of subscription content, access via your institution.

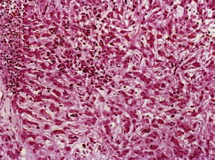
Fig. 1.
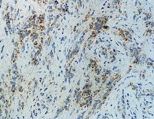
Fig. 2.
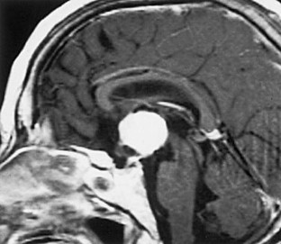
Fig. 3.
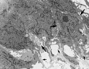
Fig. 4.
Fig. 5.
Fig. 6.

References

  1. Akmayev IG, Fidelina OV, Kabolova ZA, Popov AP, Schitkova TA (1973) Morphological aspects of the hypothalamic-hypophyseal system. IV. Medial basal hypothalamus. An experimental morphological study. Z Zellforsch 137:493–512

    CAS  Google Scholar 

  2. Brat DJ, Scheithauer BW, Staugaitis SM, Cortez SC, Brecher K, Burger PC (1998) Third ventricular chordoid glioma: a distinct clinicopathological entity. J Neuropathol Exp Neurol 57:283–290

    CAS  PubMed  Google Scholar 

  3. Brat DJ, Scheithauer BW, Cortez SC, Reifenberger G, Burger PC (2000) Pathology and genetics. In: Kleihues P, Cavenee WK (eds) Tumours of the nervous system. World Health Organization classification of tumours. International Agency for Research on Cancer Press, Lyon, pp 90–91

  4. Bruni JE (1998) Ependymal development, proliferation, and functions: a review. Microsc Res Tech 41:2–13

    Article  CAS  PubMed  Google Scholar 

  5. Bruni JE, Reddy K (1987) Ependyma of the central canal of the rat spinal cord: a light and transmission electron microscopic study. J Anat 152:55–70

    CAS  PubMed  Google Scholar 

  6. Castellano-Sanchez AA, Recine MA, Restrepo R, Howard LH, Robinson MJ (2000) Chordoid glioma: a novel tumor of the third ventricle. Ann Diagn Pathol 4:373–378

    PubMed  Google Scholar 

  7. Castellano-Sanchez AA, Schemankewitz E, Mazewski C, Brat DJ (2001) Pediatric chordoid glioma with chondroid metaplasia. Pediatr Dev Pathol 4:564–567

    PubMed  Google Scholar 

  8. Cenacchi G, Roncaroli F, Cerasoli S, Ficarra G, Merli GA, Giangaspero F (2001) Chordoid glioma of the third ventricle: an ultrastructural study of three cases with a histogenetic hypothesis. Am J Surg Pathol 25:401–405

    Article  CAS  PubMed  Google Scholar 

  9. Flament-Durand J, Brion JP (1985) Tanycytes. Morphology and functions: a review. Int Rev Cytol 96:121–155

    CAS  PubMed  Google Scholar 

  10. Galloway M, Afshar F, Geddes JF (2001) Chordoid glioma: an uncommon tumour of the third ventricle. Br J Neurosurg 15:147–150

    Article  CAS  PubMed  Google Scholar 

  11. Gould SJ, Howard S, Papadaki L (1990) The development of ependyma in the human fetal brain: an immunohistological and electron microscopic study. Brain Res Dev Brain Res 55:255–267

    Article  CAS  PubMed  Google Scholar 

  12. Horstmann E (1954) Die Faserglia des Selachiergehirns. Z Zellforsch 39:588–617

    Google Scholar 

  13. Pasquier B, Peoc'h M, Morrison AL, Gay E, Pasquier D, Grand S, Sindou M, Kopp N (2002) Chordoid glioma of the third ventricle: a report of two new cases, with further evidence supporting an ependymal differentiation, and review of the literature. Am J Surg Pathol 26:1330–1342

    Article  PubMed  Google Scholar 

  14. Pomper MG, Passe TJ, Burger PC, Scheithauer BW, Brat DJ (2001) Chordoid glioma: a neoplasm unique to the hypothalamus and anterior third ventricle. Am J Neuroradiol 22:464–469

    CAS  PubMed  Google Scholar 

  15. Rafols JA, Goshgarian HG (1985) Spinal tanycytes in the adult rat: a correlative Golgi gold-toning study. Anat Rec 211:75–86

    CAS  PubMed  Google Scholar 

  16. Reifenberger G, Weber T, Weber RG, Brandis A, Kuchelmeister K, Pilz P, Reusche E, Lichter P, Wiestler OD (1999) Chordoid glioma of the third ventricle: immunohistochemical and molecular genetic characterization of a novel tumor entity. Brain Pathol 9:617–626

    CAS  PubMed  Google Scholar 

  17. Ricoy JR, Lobato RD, Baez B, Cabello A, Martinez MA, Rodriguez G (2000) Suprasellar chordoid glioma. Acta Neuropathol 99:699–703

    CAS  PubMed  Google Scholar 

  18. Rodriguez EM, Rodriguez S, Hein S (1998) The subcommissural organ. Microsc Res Tech 41:98–123

    Article  CAS  PubMed  Google Scholar 

Download references

Acknowledgements

The authors would like to thank Mr. T. Hishima and Ms. K. Arakawa for technical assistance.

Author information

Affiliations

Authors

Corresponding author

Correspondence to Kazufumi Sato.

Rights and permissions

Reprints and Permissions

About this article

Cite this article

Sato, K., Kubota, T., Ishida, M. et al. Immunohistochemical and ultrastructural study of chordoid glioma of the third ventricle: its tanycytic differentiation. Acta Neuropathol 106, 176–180 (2003). https://doi.org/10.1007/s00401-003-0713-2

Download citation

  • Received:

  • Revised:

  • Accepted:

  • Published:

  • Issue Date:

  • DOI: https://doi.org/10.1007/s00401-003-0713-2

Keywords

  • Chordoid glioma
  • Ependyma
  • Tanycyte
  • Abnormal cilia
  • Intermediate junction