Abstract
Aim
Increasing calcium intake is the most effective strategy for avoiding Ca deficit. However, if intake remains inadequate, improving Ca absorption becomes an important tool to optimize Ca homeostasis and bone health.
Purpose
The effect of a mixture of GOS/FOS® 9:1 added to a normal- or low-Ca diets on Ca absorption and bone mineralization, density and structure was investigated, in a model of growing rats. Several colonic parameters to help support the findings were also evaluated.
Results
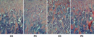
Weanling Wistar rats received one of the four experimental AIN-93G diets: C5: 0.5 % Ca; C3: 0.3 % Ca; P5: 0.5 % Ca + 5.3 % GOS/FOS®; P3: 0.3 % Ca + 5.3 % GOS/FOS® until 50 days (T = 50). At T = 50, lactobacillus and cecum weights were higher, whereas cecum pH was lower in P5 and P3 versus C5 and C3 (p < 0.001). At T = 50, fecal Ca, Mg and P were lower and their absorptions (mg/dL) were higher in P5 and P3 versus C5 and C3, respectively (p < 0.05). Ca, Mg and P absorption % was higher in P5 and P3 versus C5 and C3 (p < 0.001). Femur Ca and P content, bone mineral content, trabecular bone mineral density, tibia length, bone volume, osteoblast surface, stiffness and elastic modulus were higher in P5 and P3 versus C5 and C3 (p < 0.05). Despite the lower Ca content, P3 group reached similar values than C5 in all these latter parameters.
Conclusions
Supplementing diets with the GOS/FOS® mixture increased bone mineralization, density and structure due to an increase in Ca, P and Mg absorptions. Thus, this prebiotic mixture may help to improve bone development in a period of high calcium requirements.


Similar content being viewed by others
Abbreviations
- Ab %:
-
Absorption percentage
- Ab:
-
Absorption
- AIN:
-
American Institute of Nutrition
- BAP:
-
Bone alkaline phosphatase
- BL:
-
Body length
- BV/TV:
-
Bone volume
- BW:
-
Body weight
- Ca:
-
Calcium
- CaI:
-
Calcium intake
- CFU:
-
Numbers of colony-forming units
- DXA:
-
Dual energy X-ray absorptiometry
- ENNyS:
-
National nutrition and health survey
- F:
-
Feces
- FOS:
-
Fructo-oligosaccharides
- GOS:
-
Galacto-oligosaccharides
- GPC.Th:
-
Whole thickness of the growth plate cartilage
- HpZ.Th:
-
Hypertrophic zone thickness
- LS:
-
Colonies of lactobacillus
- Mg:
-
Magnesium
- NDO:
-
Non-digestible oligosaccharides
- P:
-
Phosphorous
- PTH:
-
Parathyroid hormone
- SCFAs:
-
Short-chain fatty acids
- TL:
-
Tail length
- tsBMC:
-
Total skeleton bone mineral content
- tsBMD:
-
Total skeleton bone mineral density
References
Schettler AE, Gustafson EM (2004) Osteoporosis prevention starts in adolescence. J Am Acad Nurse Pract 16:274–282
Nicklas TA, O’Neil CE, Fulgoni VL (2009) The role of dairy in meeting the recommendations for shortfall nutrients in the American diet. J Am Coll Nutr 28:73S–81S
Bailey RL, Dodd KW, Goldman JA, Gahche JJ, Dwyer JT, Moshfegh AJ, Sempos CT, Picciano MF (2010) Estimation of total usual calcium and vitamin D intakes in the United States. J Nutr 140:817–822
Ministerio de Salud (2010) La alimentación de los niños menores de dos años. Resultados de la Encuesta Nacional de Nutrición y Salud -ENNyS 2010, M.d. Salud (ed) Ministerio de Salud Buenos Aires, Argentina, pp 1–60
Kogan L, Abeya-Gilardon E, Mangiolavori G, Biblieri A, Zeni SN (2009) Calcium intake and its relationship to overweight and obesity. Data obtained from the National Survey of Nutrition and Health (ENNyS). Bone 45:S150
Forshee RA, Anderson PA, Storey ML (2006) Changes in calcium intake and association with beverage consumption and demographics: comparing data from CSFII 1994–1996, 1998 and NHANES 1999–2002. J Am Coll Nutr 25:108–116
Greer FR, Krebs NF, Nutrition AAoPCo (2006) Nutrition, optimizing bone health and calcium intakes of infants, children, and adolescents. Pediatrics 117:578–585
Younes H, Demigné C, Rémésy C (1996) Acidic fermentation in the caecum increases absorption of calcium and magnesium in the large intestine of the rat. Br J Nutr 75:301–314
Cummings JH, Macfarlane GT (2002) Gastrointestinal effects of prebiotics. Br J Nutr 87:S145–S151
Molis C, Flourie B, Ouarne F, Gailing MF, Lartigue S, Guibert A, Bornet F, Galmiche JP (1996) Digestion, excretion, and energy value of fructooligosaccharides in healthy humans. Am J Clin Nutr 64:324–328
Macfarlane S, Macfarlane GT, Cummings JH (2006) Review article: prebiotics in the gastrointestinal tract. Aliment Pharmacol Ther 24:701–714
Pérez-Conesa D, López G, Abellán P, Ros G (2006) Bioavailability of calcium, magnesium and phosphorus in rats fed probiotic, prebiotic and synbiotic powder follow-up infant formulas and their effect on physiological and nutritional parameters. J Sci Food Agric 86:2327–2336
Wang Y, Zeng T, Wang SE, Wang W, Wang Q, Yu HX (2010) Fructo-oligosaccharides enhance the mineral absorption and counteract the adverse effects of phytic acid in mice. Nutrition 26:305–311
Weaver CM, Martin BR, Nakatsu CH, Armstrong AP, Clavijo A, McCabe LD, McCabe GP, Duignan S, Schoterman MH, van den Heuvel EG (2011) Galactooligosaccharides improve mineral absorption and bone properties in growing rats through gut fermentation. J Agric Food Chem 59:6501–6510
Scholz-Ahrens KE, Ade P, Marten B, Weber P, Timm W, Acil Y, Gluer CC, Schrezenmeir J (2007) Prebiotics, probiotics, and synbiotics affect mineral absorption, bone mineral content, and bone structure. J Nutr 137:838S–846S
Boehm G, Fanaro S, Jelinek J, Stahl B, Marini A (2003) Prebiotic concept for infant nutrition. Acta Paediatr Suppl 91:64–67
Westerbeek EA, Slump RA, Lafeber HN, Knol J, Georgi G, Fetter WP, van Elburg RM (2013) The effect of enteral supplementation of specific neutral and acidic oligosaccharides on the faecal microbiota and intestinal microenvironment in preterm infants. Eur J Clin Microbiol Infect Dis 32:269–276
Shadid R, Haarman M, Knol J, Theis W, Beermann C, Rjosk-Dendorfer D, Schendel DJ, Koletzko BV, Krauss-Etschmann S (2007) Effects of galactooligosaccharide and long-chain fructooligosaccharide supplementation during pregnancy on maternal and neonatal microbiota and immunity—a randomized, double-blind, placebo-controlled study. Am J Clin Nutr 86:1426–1437
Magne F, Hachelaf W, Suau A, Boudraa G, Bouziane-Nedjadi K, Rigottier-Gois L, Touhami M, Desjeux JF, Pochart P (2008) Effects on faecal microbiota of dietary and acidic oligosaccharides in children during partial formula feeding. J Pediatr Gastroenterol Nutr 46:580–588
Westerbeek EA, van den Berg A, Lafeber HN, Fetter WP, van Elburg RM (2011) The effect of enteral supplementation of a prebiotic mixture of non-human milk galacto-, fructo- and acidic oligosaccharides on intestinal permeability in preterm infants. Br J Nutr 105:268–274
Osborn DA, Sinn JK (2013) Prebiotics in infants for prevention of allergy. Cochrane Database Syst Rev 3:CD006474. doi:10.1002/14651858.CD006474.pub3
Vos AP, Haarman M, Buco A, Govers M, Knol J, Garssen J, Stahl B, Boehm G, M’Rabet L (2006) A specific prebiotic oligosaccharide mixture stimulates delayed-type hypersensitivity in a murine influenza vaccination model. Int Immunopharmacol 6:1277–1286
Vos AP, Haarman M, van Ginkel JW, Knol J, Garssen J, Stahl B, Boehm G, M’Rabet L (2007) Dietary supplementation of neutral and acidic oligosaccharides enhances Th1-dependent vaccination responses in mice. Pediatr Allergy Immunol 18:304–312
Scholz-Ahrens KE, Acil Y, Schrezenmeir J (2002) Effect of oligofructose or dietary calcium on repeated calcium and phosphorus balances, bone mineralization and trabecular structure in ovariectomized rats*. Br J Nutr 88:365–377
Reeves PG, Nielsen FH, Fahey GC (1993) AIN-93 purified diets for laboratory rodents: final report of the American Institute of Nutrition ad hoc writing committee on the reformulation of the AIN-76A rodent diet. J Nutr 123:1939–1951
Sapp RE, Davidson SD (1991) Microwave digestion of multi-component foods for sodium analysis by atomic absorption spectrometry. J Food Sci 56:1412–1414
Elmer P (1971) Analytical method for atomic absorption spectrophotometry. P.E. Corp, Norwalk
Farley JR, Hall SL, Ilacas D, Orcutt C, Miller BE, Hill CS, Baylink DJ (1994) Quantification of skeletal alkaline phosphatase in osteoporotic serum by wheat germ agglutinin precipitation, heat inactivation, and a two-site immunoradiometric assay. Clin Chem 40:1749–1756
Mastaglia SR, Pellegrini GG, Mandalunis PM, Gonzales Chaves MM, Friedman SM, Zeni SN (2006) Vitamin D insufficiency reduces the protective effect of bisphosphonate on ovariectomy-induced bone loss in rats. Bone 39:837–844
Zeni S, Gomez-Acotto C, Di Gregorio S, Mautalen C (2000) Differences in bone turnover and skeletal response to thyroid hormone treatment between estrogen-depleted and repleted rats. Calcif Tissue Int 67:173–177
Parfitt AM, Drezner MK, Glorieux FH, Kanis JA, Malluche H, Meunier PJ, Ott SM, Recker RR (1987) Bone histomorphometry: standardization of nomenclature, symbols, and units. Report of the ASBMR histomorphometry nomenclature committee. J Bone Miner Res 2:595–610
Fanaro S, Boehm G, Garssen J, Knol J, Mosca F, Stahl B, Vigi V (2005) Galacto-oligosaccharides and long-chain fructo-oligosaccharides as prebiotics in infant formulas: a review. Acta Paediatr 94:22–26
Knol J, Scholtens P, Kafka C, Steenbakkers J, Gro S, Helm K, Klarczyk M, Schöpfer H, Böckler HM, Wells J (2005) Colon microflora in infants fed formula with galacto- and fructo-oligosaccharides: more like breast-fed infants. J Pediatr Gastroenterol Nutr 40:36–42
Moro G, Minoli I, Mosca M, Fanaro S, Jelinek J, Stahl B, Boehm G (2002) Dosage-related bifidogenic effects of galacto- and fructooligosaccharides in formula-fed term infants. J Pediatr Gastroenterol Nutr 34:291–295
Pérez-Conesa D, López G, Ros G (2007) Effects of probiotic, prebiotic and synbiotic follow-up infant formulas on large intestine morphology and bone mineralisation in rats. J Sci Food Agric 87:1059–1068
Cummings JH, Macfarlane GT (1997) Role of intestinal bacteria in nutrient metabolism. JPEN 21:357–365
Roberfroid M, Gibson GR, Hoyles L, McCartney AL, Rastall R, Rowland I, Wolvers D, Watzl B, Szajewska H, Stahl B, Guarner F, Respondek F, Whelan K, Coxam V, Davicco MJ, Leotoing L, Wittrant Y, Delzenne NM, Cani PD, Neyrinck AM, Meheust A (2010) Prebiotic effects: metabolic and health benefits. Br J Nutr 104:S1–S63
Bronner F, Pansu D (1999) Nutritional aspects of calcium absorption. J Nutr 129:9–12
Bronner F (2003) Mechanisms of intestinal calcium absorption. J Cell Biochem 88:387–393
Scholz-Ahrens KE, Schrezenmeir J (2007) Inulin and oligofructose and mineral metabolism: the evidence from animal trials. J Nutr 137:2513S–2523S
Coudray C, Rambeau M, Feillet-Coudray C, Gueux E, Tressol JC, Mazur A, Rayssiguier Y (2005) Study of magnesium bioavailability from ten organic and inorganic Mg salts in Mg-depleted rats using a stable isotope approach. Magnes Res 18:215–223
Hardwick LL, Jones MR, Brautbar N, Lee DB (1991) Magnesium absorption: mechanisms and the influence of vitamin D, calcium and phosphate. J Nutr 121:13–23
Coudray C, Tressol JC, Gueux E, Rayssiguier Y (2003) Effects of inulin-type fructans of different chain length and type of branching on intestinal absorption and balance of calcium and magnesium in rats. Eur J Nutr 42:91–98
Alfrey AC, Miller NL (1973) Bone magnesium pools in uremia. J Clin Invest 52:3019–3027
Jahnen-Dechent W, Ketteler M (2012) Magnesium basics. Clin Kidney J 5:i3–i14
Burr DB, Robling AG, Turner CH (2002) Effects of biomechanical stress on bones in animals. Bone 30:781–786
Yuan G, Lu H, Yin Z, Dai S, Jia R, Xu J, Song X, Li L (2014) Effects of mixed subchronic lead acetate and cadmium chloride on bone metabolism in rats. Int J Clin Exp Med 7:1378–1385
Acknowledgments
The authors gratefully acknowledge Nutricia-Bago for kindly providing the GOS/FOS® mixture. The authors thank Ms. Julia Somoza for her technical assistance and Mr. Ricardo Orzuza from the General and Oral Biochemistry Department, School of Dentistry, Buenos Aires University, for his technical support and for taking care of the animals. This study was partially funded by the Buenos Aires University and CONICET Grant PIP 11220100100004.
Conflict of interest
The authors declare that there is no conflict of interest associated with this manuscript.
Author information
Authors and Affiliations
Corresponding author
Rights and permissions
About this article
Cite this article
Bryk, G., Coronel, M.Z., Pellegrini, G. et al. Effect of a combination GOS/FOS® prebiotic mixture and interaction with calcium intake on mineral absorption and bone parameters in growing rats. Eur J Nutr 54, 913–923 (2015). https://doi.org/10.1007/s00394-014-0768-y
Received:
Accepted:
Published:
Issue Date:
DOI: https://doi.org/10.1007/s00394-014-0768-y


