Skip to main content

Synovialitis-Score: Wertigkeit histopathologischer Diagnostik bei unklaren Arthritiden

Fallberichte aus der rheumatologisch-pathologischen Praxis

Synovitis score: value of histopathological diagnostics in unclear arthritis

Case reports from rheumatological pathological practice

Zusammenfassung

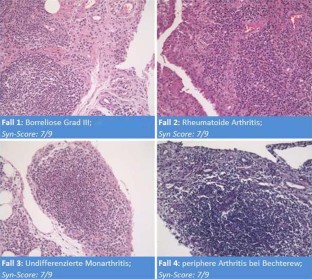
Die histopathologische Begutachtung von Synovialisbiopsaten besitzt einen hohen Stellenwert. Die Wertigkeit für entzündliche Gelenkerkrankungen war aber ohne standardisierten Bewertungsmodus bis vor kurzem unklar. Der exemplarische Einsatz des Synovialitis-Scores bei 4 Fällen, allesamt mit rezidivierenden Kniegelenkergüssen, zeigt den Wert für Diagnose und Therapie auf.

Hierbei werden additiv für die 3 Kriterien Deckzellschichtbreite, Stromaaktivierung und Entzündungsinfiltrat 0 bis 3 Punkte vergeben. Das Vorliegen einer High-grade-Synovialitis (≥4 Punkte) in allen Fällen verweist die Ursache der Gelenkergüsse in den primär entzündlichen, rheumatischen Formenkreis. Die Aufschlüsselung der Erkrankungen in Fälle von Lyme-Arthritis, rheumatoider Arthritis, seronegativer Monarthritis und HLA-B27-positiver peripherer Arthritis zeigt die Bandbreite des möglichen Einsatzes für den Synovialitis-Score auf.

Abstract

Histopathological assessment of synovial biopsies has an established value. The value for inflammatory joint diseases without standardized rating mechanisms was, however, unknown until recently. The exemplary use of the synovitis score in four cases all including recurrent bruises of the knee joint portrays its value for diagnosis and therapy.

Usage of the score includes assessing the enlargement of the lining layer, cellular density of synovial stroma and leucocyte infiltration by giving each a score of 0–3 points and adding them. Presence of high-grade synovitis (≥4 points) in all cases displayed the reason for the joint bruises within a primarily inflammatory, rheumatoid circle.

In this report we show the broad variety of uses for the synovitis score dealing with cases of Lyme arthritis, rheumatoid arthritis, seronegative monarthritis and HLA-B27-positive peripheral arthritis.

This is a preview of subscription content, access via your institution.

Abb. 1
Abb. 2

Literatur

  1. Altmann R, Asch E, Bloch D et al. (1986) Development of criteria for the classification and reporting of osteoarthritis of the knee. Arthritis Rheum 29: 1039–1049

    Article  Google Scholar 

  2. De Rycke L, Nicholas AP, Cantaert T et al. (2005) Synovial intracellular citrullinated proteins colocalizing with peptidyl arginine deaminase as pathophysiologically relevant antigenic determinants of rheumatoid arthritis-specific humoral autoimmunity. Arthritis Rheum 52: 2323–2330

    Article  Google Scholar 

  3. Fassbender HG (1975) Pathologie rheumatischer Erkrankungen. Springer, Berlin Heidelberg New York

  4. Fritz P, Laschner W, Saal JG et al. (1989) Histological classification of synovitis. Zentralbl Allg Pathol Pathol Anat 135: 729–741

    CAS  Google Scholar 

  5. Koizumi F, Matsuno H, Wakakaki K et al. (1999) Synovitis in rheumatoid arthritis: Scoring of characteristic histopathological features. Pathol Int 49: 298–304

    PubMed  Article  CAS  Google Scholar 

  6. Krenn V, Morawietz L, Burmester GR et al. (2006) Synovitis-score: discrimination between chronic low- and high-grade synovitis. Histopathology 49: 358–364

    PubMed  Article  CAS  Google Scholar 

  7. Mohr W (2000) Gelenkpathologie. Springer, Berlin Heidelberg New York

  8. Reveille JD, Arnett FC (2005) Spondyloarthritis: update on pathogenesis and management. Am J Med 118: 592–603

    PubMed  Article  CAS  Google Scholar 

  9. Stiehl P (1994) Histological classification of synovial membranes of rheumatoid arthritis in dependence on the kind of cell infiltrates, destruction of synovial lining cells as well as of course of disease. Z Rheumatol Suppl 53: 50

    Google Scholar 

Download references

Interessenkonflikt

Der korrespondierende Autor gibt an, dass kein Interessenkonflikt besteht.

Author information

Affiliations

Authors

Corresponding author

Correspondence to V. Krenn.

Rights and permissions

Reprints and Permissions

About this article

Cite this article

Jakobs, M., Morawietz, L., Rothschenk, H. et al. Synovialitis-Score: Wertigkeit histopathologischer Diagnostik bei unklaren Arthritiden. Z. Rheumatol. 66, 706–712 (2007). https://doi.org/10.1007/s00393-007-0232-y

Download citation

  • Published:

  • Issue Date:

  • DOI: https://doi.org/10.1007/s00393-007-0232-y

Schlüsselwörter

  • Synovialitis-Score
  • High-grade-Synovialitis
  • Kniegelenkerguss
  • Chronische Synovialitis
  • Bewertungsmodus

Keywords

  • Synovitis score
  • High-grade synovitis
  • Knee joint bruise
  • Chronic synovitis
  • Rating mechanism