Skip to main content

Cardiac cystic echinococcosis: a long-term follow-up case report

This is a preview of subscription content, access via your institution.

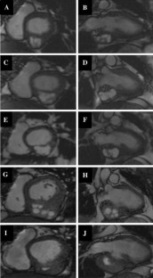
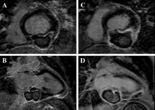
Fig. 1
Fig. 2
Fig. 3
Fig. 4

References

  1. WHO Informal Working Group on Echinococcosis (2008) International classification of ultrasound images in cystic echinococcosis for application in clinical and field epidemiological settings. Acta Trop 85:253–261

    Google Scholar 

  2. Moro P, Schantz PM (2009) Echinococcosis: a review. Int J Infect Dis 13:125–133

    PubMed  Article  CAS  Google Scholar 

  3. Dursun M, Terzibasioglu E, Yilmaz R, Cekrezi B, Olgar S, Nisli K, Tunaci A (2008) Cardiac hydatid disease: CT and MRI findings. Am J Roentgenol 190:226–232

    Article  Google Scholar 

  4. Díaz-Menéndez M, Pérez-Molina JA, Norman FF, Pérez-Ayala A, Monge-Maillo B, Fuertes PZ, López-Vélez R (2012) Management and outcome of cardiac and endovascular cystic echinococcosis. PLoS Negl Trop Dis 6:e1437. doi:10.1371/journal.pntd.0001437

    PubMed  Article  Google Scholar 

  5. Aleksic-Shihabi A, Vidolin EP (2008) Cystic echinococcosis of the heart and brain: a case report. Acta Med Okayama 62:341–344

    PubMed  Google Scholar 

  6. Junghanss T, Menezes da Silva A, Horton J, Chiodini PL, Brunetti E (2008) Clinical management of cystic Echinococcosis: state of the art, problems and perspectives. Am J Trop Med Hyg 79:301–311

    PubMed  Google Scholar 

  7. Neuville M, Grisoli D, Nicoud A, Jacquier A, Lagier JC, Collart F, Thomas P, Parola P (2010) Cardiac hydatidosis. Am J Trop Med Hyg 83:102–103

    PubMed  Article  Google Scholar 

  8. Brunetti E, Kern P, Vuitton DA, Writing Panel for the WHO-IWGE (2010) Expert consensus for the diagnosis and treatment of cystic and alveolar echinococcosis in humans. Acta Trop 114:1–16

    PubMed  Article  Google Scholar 

  9. Jeserich M, Konstantinides S, Pavlik G, Bode C, Geibel A (2009) Non-invasive imaging in the diagnosis of acute viral myocarditis. Clin Res Cardiol 98:753–763

    PubMed  Article  Google Scholar 

  10. Di Bella G, Florian A, Oreto L, Napolitano C, Todaro MC, Donato R, Calamelli S, Camastra GS, Zito C, Carerj S, Bogaert J, Oreto G (2012) Electrocardiographic findings and myocardial damage in acute myocarditis detected by cardiac magnetic resonance. Clin Res Cardiol. doi:10.1007/s00392-012-0433-5

  11. Jeserich M, Konstantinides S, Olschewski M, Pavlik G, Bode C, Geibel A (2010) Diagnosis of early myocarditis after respiratory or gastrointestinal tract viral infection: insights from cardiovascular magnetic resonance. Clin Res Cardiol 99:707–714

    PubMed  Article  Google Scholar 

  12. Wolf-Puetz A, Wein M, Niehues R, Horlitz M, Kelm M, Klingel K, Kandolf R, Klein RM (2011) Multiple old myocardial scars and new onset of myocarditis in two young patients presenting with ventricular tachycardias and dilated cardiomyopathy. Clin Res Cardiol 100:253–260

    PubMed  Article  Google Scholar 

  13. Garot J, Unterseeh T, Morice MC (2008) Comprehensive cardiovascular magnetic resonance for diagnosis of cardiac hydatid cyst. Eur Heart J 29:2069

    PubMed  Article  Google Scholar 

  14. Heye T, Lichtenberg A, Junghanss T, Hosch W (2007) Cardiac manifestation of cystic echinococcosis: comparison of dual-source cardio-computed tomography and cardiac magnetic resonance imaging and their impact on disease management. Am J Trop Med Hyg 77:875–877

    PubMed  Google Scholar 

  15. Kelle S, Köhler U, Thouet T, Fleck E, Nagel E (2009) Cardiac involvement of Echinococcus granulosus evaluated by multi-contrast CMR imaging. Int J Cardiol 131:59–60

    Article  Google Scholar 

  16. Zobel C, Kuhn-Regnier F, Krüger K, Gerharz M, Schneider CA, Müller-Ehmsen J, Erdmann E (2006) Echinococcus cyst located in the interventricular septum. Clin Res Cardiol 95:600–604

    PubMed  Article  CAS  Google Scholar 

Download references

Acknowledgments

We thank our technologists Birgit Hoerig, Angela Wochele, Christine Cabral and Daniel for the excellent images.

Conflict of interest

The authors declare that they have no conflict of interest.

Author information

Affiliations

Authors

Corresponding author

Correspondence to Henning Steen.

Rights and permissions

Reprints and Permissions

About this article

Cite this article

Braggion-Santos, M.F., Abdel-Aty, H., Hofmann, N. et al. Cardiac cystic echinococcosis: a long-term follow-up case report. Clin Res Cardiol 102, 85–88 (2013). https://doi.org/10.1007/s00392-012-0497-2

Download citation

  • Received:

  • Accepted:

  • Published:

  • Issue Date:

  • DOI: https://doi.org/10.1007/s00392-012-0497-2

Keywords

  • Cardiac Magnetic Resonance
  • Hydatid Cyst
  • Albendazole
  • Echinococcosis
  • Cardiac Tamponade