Skip to main content

Percutaneous successful closure of dual atrial septal defect with two Amplatzer septal occluder devices

Abstract

We report a case of percutaneous dual atrial septal defect closure with two Amplatzer septal occluder devices.

This is a preview of subscription content, access via your institution.

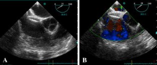
Fig. 1
Fig. 2

References

  1. Spies C, Timmermanns I, Schrader R (2007) Transcatheter closure of secundum atrial septal defects in adults with the Amplatzer septal occluder: intermediate and long-term results. Clin Res Cardiol 96(6):340–346

    Article  PubMed  Google Scholar 

  2. Butera G, Carminati M, Chessa M, Youssef R, Drago M, Giamberti A, Pomè G, Bossone E, Frigiola A (2006) Percutaneous versus surgical closure of secundum atrial septal defect: comparison of early results and complications. Am Heart J 151(1):228–234

    Article  PubMed  Google Scholar 

  3. Krizanic F, Sievert H, Pfeiffer D, Konorza T, Ferrari M, Figulla HR (2008) Clinical evaluation of a novel occluder device (Occlutech) for percutaneous transcatheter closure of patent foramen ovale (PFO). Clin Res Cardiol 97(12):872–877

    Article  PubMed  Google Scholar 

  4. Dodos F, Hoppe UC (2009) Percutaneous closure of complex atrial septum defect guided by real-time 3D transesophageal echocardiography. Clin Res Cardiol 98(7):455–456

    Article  CAS  PubMed  Google Scholar 

  5. Kim MS, Klein AJ, Carroll JD (2007) Transcatheter closure of intracardiac defects in adults. J Interv Cardiol 20(6):524–545

    Article  PubMed  Google Scholar 

  6. Bramlet MT, Hoyer MH (2008) Single pediatric center experience with multiple device implantation for complex secundum atrial septal defects. Catheter Cardiovasc Interv 72(4):531–537

    Article  PubMed  Google Scholar 

  7. Awad SM, Garay FF, Cao QL, Hijazi ZM (2007) Multiple Amplatzer septal occluder devices for multiple atrial communications: immediate and long-term follow-up results. Catheter Cardiovasc Interv 70(2):265–273

    Article  PubMed  Google Scholar 

  8. Mahadevan VS, Gomperts N, Haberer K, Silversides C, Benson LN, McLaughlin PR, Horlick EM (2009) Transcatheter closure of atrial septal defects with multiple devices in adults: procedural and clinical outcomes. Int J Cardiol 133(3):359–363

    Article  PubMed  Google Scholar 

  9. Cao Q, Radtke W, Berger F, Zhu W, Hijazi ZM (2000) Transcatheter closure of multiple atrial septal defects. Initial results and value of two- and three-dimensional transoesophageal echocardiography. Eur Heart J 21(11):941–947

    Article  CAS  PubMed  Google Scholar 

Download references

Conflict of interest statement

None.

Author information

Affiliations

Authors

Corresponding author

Correspondence to Hamza Duygu.

Rights and permissions

Reprints and Permissions

About this article

Cite this article

Duygu, H., Acet, H., Kocabas, U. et al. Percutaneous successful closure of dual atrial septal defect with two Amplatzer septal occluder devices. Clin Res Cardiol 99, 329–331 (2010). https://doi.org/10.1007/s00392-010-0124-z

Download citation

  • Received:

  • Accepted:

  • Published:

  • Issue Date:

  • DOI: https://doi.org/10.1007/s00392-010-0124-z

Keywords

  • Dual atrial septal defect
  • Percutaneous closure
  • Amplatzer occluder device