Skip to main content

Post-operative magnetic resonance evaluation of children after laparoscopic anorectoplasty for imperforate anus

Abstract

Background and aims

Laparoscopic anorectoplasty (LAR) is a relatively new procedure in the treatment of imperforate anus. Using magnetic resonance imaging (MRI), we evaluated the anatomical features of the anorectal region of children treated with LAR and compared this with conventional posterior sagittal anorectoplasty (PSARP). The findings were correlated with functional outcome.

Patient/methods

A retrospective review of ten children with the high/intermediate types of imperforate anus underwent LAR between May 2000 and December 2002. MRI of the pelvis was performed post-operatively and a semi-quantitative score was used to assess the degree of sphincter symmetry, peri-rectal fibrosis, and the position of the pull-through rectum. The defecation status of these patients was also recorded. Eight historical patients who had undergone PSARP served as a control group.

Results/findings

When compared with PSARP patients, a significantly lower proportion of LAR patients had sphincter asymmetry (40 vs. 100%, p<0.05) and peri-rectal fibrosis (40 vs. 87.5%, p<0.05). The positioning of the rectum was, however, central for both groups (90 vs. 87.5%). No statistical correlation was found between defecation status and the degree of sphincter asymmetry or peri-rectal fibrosis.

Interpretation/conclusion

LAR allows more optimal anatomical reconstruction for patients with the high/intermediate types of imperforate anus. However, additional factors that are not correctable by surgery, such as intrinsic innervation deficiency, also influence the clinical outcome.

This is a preview of subscription content, access via your institution.

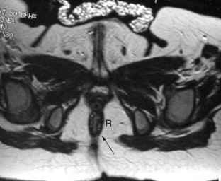
Fig. 1
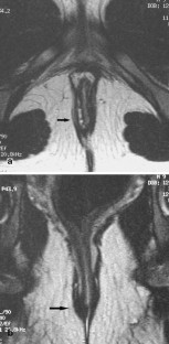
Fig. 2
Fig. 3

References

  1. Stephens FB (1953) Imperforate anus: a new surgical technique. Med J Aust 2:202

    Google Scholar 

  2. Kiesewetter WB (1967) Imperforate anus. II. The rationale and technique of sacroabdominoperineal operation. J Pediatr Surg 2:106–117

    Google Scholar 

  3. Rebein F (1967) Imperforate anus; experiences with abdomino-perineal and abdomino-sacro-perineal pull-through procedures. J Pediatr Surg 2:99–105

    Google Scholar 

  4. DeVries P, Peña A (1982) Posterior sagittal anorectoplasty. J Pediatr Surg 17:638–643

    CAS  PubMed  Google Scholar 

  5. Langemeijer RATM, Molennar JC (1991) Continence after posterior sagittal anorectoplasty. J Pediatr Surg 26:587–590

    Article  CAS  PubMed  Google Scholar 

  6. Rintala RJ, Lindahl HG (1999) Posterior sagittal anorectoplasty is superior to sacroperineal-sacroabdominoperineal pull-through: a long-term follow-up study in boys with high anorectal anomalies. J Pediatr Surg 34:334–337

    Article  CAS  PubMed  Google Scholar 

  7. Rintala RJ, Lindahl HG (2001) Fecal continence in patients having undergone posterior sagittal anorectoplasty procedure for a high anorectal malformation improves at adolescence, as constipation disappears. J Pediatr Surg 36:1218–1221

    Article  CAS  PubMed  Google Scholar 

  8. Georgeson KE, Inge TH, Albanese CT (2000) Laparoscopically assisted anorectal pull-through for high imperforate anus—a new technique. J Pediatr Surg 35:927–993

    Article  CAS  PubMed  Google Scholar 

  9. Lin CL, Wong KK, Lan LC, Chen CC, Tam PK (2003) Earlier appearance and higher incidence of the rectoanal relaxation reflex in patients with imperforate anus repaired with laparoscopy-assisted anorectoplasty. Surg Endosc 17:1646–1649

    Article  CAS  PubMed  Google Scholar 

  10. Aslam A, Grier DJ, Duncan AW, Spicer RD (1998) The role of magnetic resonance imaging in the preoperative assessment of anorectal anomalies. Pediatr Surg Int 14:71–73

    Article  CAS  PubMed  Google Scholar 

  11. Vade A, Reyes H, Wilbur A, Gyi B, Spigos D (1989) The anorectal sphincter after rectal pull-through surgery for anorectal anomalies: MRI evaluation. Pediatr Radiol 19:179–183

    CAS  PubMed  Google Scholar 

  12. Husberg B, Rosenborg M, Frenckner B (1997) Magnetic resonance imaging of anal sphincters after reconstruction of high or intermediate anorectal anomalies with posterior sagittal anorectoplasty and fistula-preserving technique. J Pediatr Surg 32:1436–1442

    Article  CAS  PubMed  Google Scholar 

  13. McHugh K (1998) The role of radiology in children with anorectal anomalies; with particular emphasis on MRI. Eur J Radiol 26:194–199

    Article  CAS  PubMed  Google Scholar 

  14. Peña A, el Behery M (1993) Megasigmoid: a source of pseudoincontinence in children with repaired anorectal malformations. J Pediatr Surg 28:199–203

    PubMed  Google Scholar 

  15. Chen C-C, Lin C-L, Lu W-T, Hsu W-M, Chen JC (1998) Anorectal function and endopelvic dissection in patients with repaired imperforate anus. Pediatr Surg Int 13:133–137

    Article  CAS  PubMed  Google Scholar 

  16. Yuan Z, Bai Y, Zhang Z et al (2000) Neural electrophysiological studies on the external anal sphincter in children with anorectal malformation. J Pediatr Surg 35:1052–1057

    Article  CAS  PubMed  Google Scholar 

Download references

Author information

Affiliations

Authors

Corresponding author

Correspondence to P. K. H. Tam.

Rights and permissions

Reprints and Permissions

About this article

Cite this article

Wong, K.K.Y., Khong, P.L., Lin, S.C.L. et al. Post-operative magnetic resonance evaluation of children after laparoscopic anorectoplasty for imperforate anus. Int J Colorectal Dis 20, 33–37 (2005). https://doi.org/10.1007/s00384-004-0620-6

Download citation

  • Accepted:

  • Published:

  • Issue Date:

  • DOI: https://doi.org/10.1007/s00384-004-0620-6

Keywords

  • Imperforate anus
  • Laparoscopic anorectoplasty
  • Magnetic resonance imaging
  • Defecation