Abstract
Background
Technology for detecting liver tumors and identifying the bile ducts using indocyanine green (ICG) has recently been developed. However, the usefulness and limitations of ICG navigation surgery for hepatoblastoma (HB) have not been fully clarified. We herein report our experiences with surgical navigation using ICG for in HB patients.
Methods
In 5 HB patients, 10 ICG navigation surgeries were performed using a 10-mm infrared fluorescence imaging scope after the injection of 0.5 mg/kg ICG intravenously. The surgical and clinical features were collected retrospectively.
Results
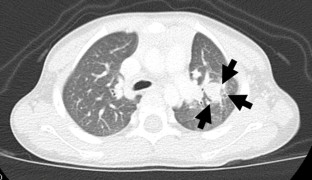
Navigation surgery using ICG was performed for primary liver tumors in 4 cases, and the timing of ICG injection was 90.5 ± 33.7 h before the operation. All tumors exhibited intense fluorescence from the liver surface. ICG navigation for the primary liver tumor was useful for detecting the residual tumor at the stump and invasion to the diaphragm during surgery. Six lung surgeries using ICG navigation were performed. The timing of ICG injection was 21.8 ± 3.4 h before the operation. The size of the metastatic tumor was 7.4 ± 4.1 mm (1.2–15 mm). Of 11 metastatic tumors detected by computed tomography (CT), 10—including the smallest tumor (1.2 mm)—were able to be detected by ICG from the lung surface. The depth of the 10 ICG-positive tumors from the lung surface was 0.9 ± 1.9 mm (0–6 mm), and the depth of the single ICG-negative tumor was 12 mm. One lesion not detected by CT showed ICG false positivity.
Conclusion
Navigation surgery using ICG for patients with HB was useful for identifying tumors and confirming complete resection. However, in ICG navigation surgery, we must be aware of the limitations with regard to the tumor size and the depth from the surface.




References
Hiyama E, Hishiki T, Watanabe K, Ida K, Yano M, Oue T, Iehara T, Hoshino K, Koh K, Tanaka Y, Kurihara S, Ueda Y, Onitake Y (2015) Mortality and morbidity in primarily resected hepatoblastomas in Japan: experience of the JPLT (Japanese Study Group for Pediatric Liver Tumor) trials. J Pediatr Surg 50:2098–2101
Tajiri T, Kimura O, Fumino S, Furukawa T, Iehara T, Souzaki R, Kinoshita Y, Koga Y, Suminoe A, Hara T, Kohashi K, Oda Y, Hishiki T, Hosoi H, Hiyama E, Taguchi T (2012) Surgical strategies for unresectable hepatoblastomas. J Pediatr Surg 47:2194–2198
Hishiki T, Watanabe K, Ida K, Hoshino K, Iehara T, Aoki Y, Kazama T, Kihira K, Takama Y, Taguchi T, Fujimura J, Honda S, Matsumoto K, Mori M, Yano M, Yokoi A, Tanaka Y, Fuji H, Miyazaki O, Yoshimura K, Takimoto T, Hiyama E (2017) The role of pulmonary metastasectomy for hepatoblastoma in children with metastasis at diagnosis: results from the JPLT-2 study. J Pediatr Surg 52:2051–2055
Branch RA (1982) Drugs as indicators of hepatic function. Hepatology 2:97–105
Graves C, Ely S, Idowu O, Newton C, Kim S (2017) Direct gallbladder indocyanine green injection fluorescence cholangiography during laparoscopic cholecystectomy. J Laparoendosc Adv Surg Tech A 27:1069–1073
Kitagawa N, Shinkai M, Mochizuki K, Usui H, Miyagi H, Nakamura K, Tanaka M, Tanaka Y, Kusano M, Ohtsubo S (2015) Navigation using indocyanine green fluorescence imaging for hepatoblastoma pulmonary metastases surgery. Pediatr Surg Int 31:407–411
Yamamichi T, Oue T, Yonekura T, Owari M, Nakahata K, Umeda S, Nara K, Ueno T, Uehara S, Usui N (2015) Clinical application of indocyanine green (ICG) fluorescent imaging of hepatoblastoma. J Pediatr Surg 50:833–836
Yamada Y, Hoshino K, Mori T, Kawaida M, Abe K, Takahashi N, Fujimura T, Kameyama K, Kuroda T (2018) Metastasectomy of hepatoblastoma utilizing a novel overlay fluorescence imaging system. J Laparoendosc Adv Surg Tech A 28:1152–1155
Kitai T, Inomoto T, Miwa M, Shikayama T (2005) Fluorescence navigation with indocyanine green for detecting sentinel lymph nodes in breast cancer. Breast Cancer 12:211–215
Nara K, Oue T, Uehara S, Ueno T, Ibuka S, Nakahata K, Zenitani M, Umeda S, Yamamichi T, Honda O, Okuyama H (2016) Efficacy of CT-guided localization followed by video-assisted thoracoscopic surgery in children with tiny pulmonary nodules. Asian J Endosc Surg 9:328–331
Souzaki R, Ieiri S, Uemura M, Ohuchida K, Tomikawa M, Kinoshita Y, Koga Y, Suminoe A, Kohashi K, Oda Y, Hara T, Hashizume M, Taguchi T (2013) An augmented reality navigation system for pediatric oncologic surgery based on preoperative CT and MRI images. J Pediatr Surg 48:2479–2483
Acknowledgements
The English used in this manuscript was reviewed by Brian Quinn (Editor-in-Chief, Japan Medical Communication).
Author information
Authors and Affiliations
Corresponding author
Ethics declarations
Conflict of interest
The authors declare that they have no conflict of interest.
Additional information
Publisher’s Note
Springer Nature remains neutral with regard to jurisdictional claims in published maps and institutional affiliations.
Rights and permissions
About this article
Cite this article
Souzaki, R., Kawakubo, N., Matsuura, T. et al. Navigation surgery using indocyanine green fluorescent imaging for hepatoblastoma patients. Pediatr Surg Int 35, 551–557 (2019). https://doi.org/10.1007/s00383-019-04458-5
Accepted:
Published:
Issue Date:
DOI: https://doi.org/10.1007/s00383-019-04458-5