Skip to main content

Delayed primary anastomosis for management of long-gap esophageal atresia: a meta-analysis of complications and long-term outcome

Abstract

Purpose

Management of newborns with long-gap esophageal atresia (LGEA) remains a challenge for pediatric surgeons. Since spontaneous growth of the esophageal segments occurs without mechanical stretching, initial gastrostomy followed by delayed primary anastomosis (DPA) comprises treatment in most LGEA patients. This meta-analysis aimed to investigate the complications and long-term outcome in patients with LGEA managed by DPA.

Methods

A systematic literature search was conducted for relevant articles published between 1981 and 2011, and a meta-analysis of complications and long-term outcome was performed.

Results

Forty-four articles presented data on 451 newborns with LGEA managed by DPA. Most common variants were pure LGEA (194/451) and LGEA with tracheoesophageal fistula (257/451). Initial gap lengths ranged from 1.9 to 7.0 cm. At the time of DPA, performed at a mean of 11.9 weeks (range 0.5–54.0), the gap had decreased to 0.5–3.0 cm. Mean follow-up was 5.5 years (range 0.5–27.0). Frequent complications were anastomotic leaks/strictures, gastroesophageal reflux (GER), esophagitis and dysphagia. Relative risk for strictures was significantly higher in patients who previously had a leak (p < 0.0001) or GER (p < 0.0001). Patients with GER also had a significantly higher risk for esophagitis (p = 0.0283) and dysphagia (p = 0.0174). The majority of patients could eat without swallowing difficulties at follow-up.

Conclusion

DPA provides good long-term functional results. However, the high incidence of GER and associated strictures requires early intervention to prevent feeding problems.

This is a preview of subscription content, access via your institution.

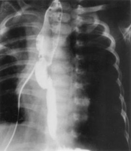
Fig. 1
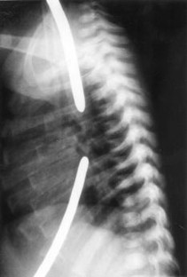
Fig. 2
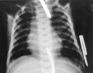
Fig. 3
Fig. 4
Fig. 5
Fig. 6

References

  1. Depaepe A, Dolk H, Lechat MF (1993) The epidemiology of tracheo-oesophageal fistula and oesophageal atresia in Europe. EUROCAT Working Group. Arch Dis Child 68(6):743–748

    Article  CAS  Google Scholar 

  2. Manning PB (1994) Long-gap esophageal atresia. Semin Thorac Cardiovasc Surg 6(4):216–220

    PubMed  CAS  Google Scholar 

  3. Langer JC, Hussain H, Khan A et al (2001) Prenatal diagnosis of esophageal atresia using sonography and magnetic resonance imaging. J Pediatr Surg 36(5):804–807

    PubMed  Article  CAS  Google Scholar 

  4. Stringer MD, McKenna KM, Goldstein RB et al (1995) Prenatal diagnosis of esophageal atresia. J Pediatr Surg 30(9):1258–1263

    PubMed  Article  CAS  Google Scholar 

  5. Orford J, Cass DT, Glasson MJ (2004) Advances in the treatment of oesophageal atresia over three decades: the 1970s and the 1990s. Pediatr Surg Int 20(6):402–407

    PubMed  Article  Google Scholar 

  6. Goyal A, Jones MO, Couriel JM et al (2006) Oesophageal atresia and tracheo-oesophageal fistula. Arch Dis Child Fetal Neonatal Ed 91(5):381–384

    Article  Google Scholar 

  7. Chittmittrapap S, Spitz L, Kiely EM et al (1989) Oesophageal atresia and associated anomalies. Arch Dis Child 64(3):364–368

    PubMed  Article  CAS  Google Scholar 

  8. Myers NA (1992) Oesophageal atresia. Pediatr Surg Int 7(2):83–85

    Article  Google Scholar 

  9. Holland AJ, Ron O, Pierro A et al (2009) Surgical outcomes of esophageal atresia without fistula for 24 years at a single institution. J Pediatr Surg 44(10):1928–1932

    PubMed  Article  Google Scholar 

  10. Ron O, De Coppi P, Pierro A (2009) The surgical approach to esophageal atresia repair and the management of long-gap atresia: results of a survey. Semin Pediatr Surg 18(1):44–49

    PubMed  Article  Google Scholar 

  11. Myers NA (1974) Oesophageal atresia: the epitome of modern surgery. Ann R Coll Surg Engl 54(6):277–287

    PubMed  CAS  Google Scholar 

  12. Howard R, Myers NA (1972) Esophageal atresia: a technique for elongating the upper pouch. Surgery 71(6):661–664

    Google Scholar 

  13. Lafer DJ, Boley SJ (1966) Primary repair in esophageal atresia with elongation of the lower segment. J Pediatr Surg 1(6):585–587

    PubMed  Article  CAS  Google Scholar 

  14. Rehbein F, Schweder N (1971) Reconstruction of the esophagus without colon transplantation in cases of atresia. J Pediatr Surg 6(6):746–752

    PubMed  Article  CAS  Google Scholar 

  15. Thomasson BH (1972) Congenital esophageal atresia: mercury bag stretching of the upper pouch in a patient without tracheoesophageal fistula. Surgery 71(5):661–663

    PubMed  CAS  Google Scholar 

  16. Livaditis A, Radberg L, Odensjo G (1972) Esophageal end-to-end anastomosis: reduction of anastomotic tension by circular myotomy. Scand J Thorac Cardiovasc Surg 6(2):206–214

    PubMed  Article  CAS  Google Scholar 

  17. Shafer AD, David TE (1974) Suture fistula as a means of connecting upper and lower segments in esophageal atresia. J Pediatr Surg 9(5):669–673

    PubMed  Article  CAS  Google Scholar 

  18. Hendren WH, Hale JR (1976) Esophageal atresia treated by electromagnetic bougienage and subsequent repair. J Pediatr Surg 11(5):713–722

    PubMed  Article  CAS  Google Scholar 

  19. Foker JE, Linden BC, Boyle EM Jr et al (1997) Development of a true primary repair for the full spectrum of esophageal atresia. Ann Surg 226(4):533–541

    PubMed  Article  CAS  Google Scholar 

  20. Puri P, Blake N, O’Donnell B et al (1981) Delayed primary anastomosis following spontaneous growth of esophageal segments in esophageal atresia. J Pediatr Surg 16(2):180–183

    PubMed  Article  CAS  Google Scholar 

  21. Puri P, Khurana S (1998) Delayed primary esophageal anastomosis for pure esophageal atresia. Semin Pediatr Surg 7(2):126–129

    PubMed  CAS  Google Scholar 

  22. Puri P, Ninan GK, Blake NS et al (1992) Delayed primary anastomosis for esophageal atresia: 18 months’ to 11 years’ follow-up. J Pediatr Surg 27(8):1127–1130

    PubMed  Article  CAS  Google Scholar 

  23. Rosinha MC, Silva JC, Monteiro J et al (1997) Delayed primary anastomosis for esophageal atresia without fistulae: 10 years of experience. Acta Med Port 10(2–3):173–177

    PubMed  CAS  Google Scholar 

  24. Sri Paran T, Decaluwe D, Corbally M et al (2007) Long-term results of delayed primary anastomosis for pure oesophageal atresia: a 27-year follow-up. Pediatr Surg Int 23(7):647–651

    PubMed  Article  Google Scholar 

  25. Aziz D, Schiller D, Gerstle JT et al (2003) Can “long-gap” esophageal atresia be safely managed at home while awaiting anastomosis? J Pediatr Surg 38(5):705–708

    PubMed  Article  Google Scholar 

  26. Yeh SH, Ni YH, Hsu WM et al (2010) Use of retrograde esophagoscopy in delayed primary esophageal anastomosis for isolated esophageal atresia. Eur J Pediatr Surg 20(1):40–44

    PubMed  Article  Google Scholar 

  27. Howell CG, Davis JB Jr, Parrish RA (1987) Primary repair of esophageal atresia: how long a gap? J Pediatr Surg 22(1):42–43

    PubMed  Article  CAS  Google Scholar 

  28. Ein SH, Shandling B, Heiss K (1993) Pure esophageal atresia: outlook in the 1990s. J Pediatr Surg 28(9):1147–1150

    PubMed  Article  CAS  Google Scholar 

  29. Bagolan P, Iacobelli Bd B, De Angelis P et al (2004) Long-gap esophageal atresia and esophageal replacement: moving toward a separation? J Pediatr Surg 39(7):1084–1090

    PubMed  Article  CAS  Google Scholar 

  30. Bensoussan AL, Letourneau JN, Blanchard H (1983) Long-gap esophageal atresia types 1 and 2 by delayed primary anastomosis: report on 6 cases. Chir Pediatr 24(2):109–112

    PubMed  CAS  Google Scholar 

  31. Buonuomo V, Nanni L, Canali R et al (2007) Esophageal atresia: personal experience and review of the literature. Ann Ital Chir 78(5):385–388

    PubMed  Google Scholar 

  32. Burjonrappa S, Thiboutot E, Castilloux J et al (2010) Type A esophageal atresia: a critical review of management strategies at a single center. J Pediatr Surg 45(5):865–871

    PubMed  Article  Google Scholar 

  33. de la Hunt MN, Fleet MS, Wagget J (1994) Delayed primary anastomosis for wide-defect esophageal atresia: a 17-year experience. Pediatr Surg Int 9(1):21–23

    Article  Google Scholar 

  34. Gurskas P, Ivanauskas A (2004) Delayed primary anastomosis for esophageal atresia. Medicina 40(Suppl 1):166–169

    PubMed  Google Scholar 

  35. Hagberg S, Rubenson A, Sillen U et al (1986) Management of long-gap esophagus: experience with end-to-end anastomosis under maximal tension. Prog Pediatr Surg 19:88–92

    PubMed  Article  CAS  Google Scholar 

  36. Healey PJ, Sawin RS, Hall DG et al (1998) Delayed primary repair of esophageal atresia with tracheoesophageal fistula: is it worth the wait? Arch Surg 133(5):552–556

    PubMed  Article  CAS  Google Scholar 

  37. Hicks LM, Mansfield PB (1981) Esophageal atresia and tracheoesophageal fistula: review of thirteen years’ experience. J Thorac Cardiovasc Surg 81(3):358–363

    PubMed  CAS  Google Scholar 

  38. Hight DW, McGowan G, Smith J et al (1987) Atresia of the esophagus: new trends in the management of high-risk neonates. Arch Surg 122(4):421–423

    PubMed  Article  CAS  Google Scholar 

  39. Myers NA, Beasley SW, Auldist AW et al (1987) Oesophageal atresia without fistula—anastomosis or replacement? Pediatr Surg Int 2(4):216–222

    Google Scholar 

  40. Rescorla FJ, West KW, Scherer LR 3rd et al (1994) The complex nature of type A (long-gap) esophageal atresia. Surgery 116(4):658–664

    PubMed  CAS  Google Scholar 

  41. Ruiz de Temino M, Esteban JA, Elias J et al (2006) Esophageal atresia type I: is impossible possible? Cir Pediatr 19(1):39–45

    PubMed  CAS  Google Scholar 

  42. Caffarena PE, Mattioli G, Bisio G et al (1994) Long-gap oesophageal atresia: a combined endoscopic and radiologic evaluation. Eur J Pediatr Surg 4(2):67–69

    PubMed  Article  CAS  Google Scholar 

  43. Golonka NR, Hayashi AH (2008) Early “sham” feeding of neonates promotes oral feeding after delayed primary repair of major congenital esophageal anomalies. Am J Surg 195(5):659–662

    PubMed  Article  Google Scholar 

  44. Lindahl H, Rintala R, Louhimo I (1987) Oesophageal anastomosis without bougienage in isolated atresia—do the segments really grow while waiting? Z Kinderchir 42(4):221–223

    PubMed  CAS  Google Scholar 

  45. Santos AD, Thompson TR, Johnson DE et al (1983) Correction of esophageal atresia with distal tracheoesophageal fistula. J Thorac Cardiovasc Surg 85(2):229–236

    PubMed  CAS  Google Scholar 

  46. Seguier-Lipszyc E, Bonnard A, Aizenfisz S et al (2005) The management of long gap esophageal atresia. J Pediatr Surg 40(10):1542–1546

    PubMed  Article  Google Scholar 

  47. Ito T, Sugito T, Nagaya M (1984) Delayed primary anastomosis in poor-risk patients with esophageal atresia associated with tracheoesophageal fistula. J Pediatr Surg 19(3):243–247

    PubMed  Article  CAS  Google Scholar 

  48. Wise WE Jr, Caniano DA, Harmel RP Jr (1987) Tracheoesophageal anomalies in Waterston C neonates: a 30-year perspective. J Pediatr Surg 22(6):526–529

    PubMed  Article  Google Scholar 

  49. Cavallaro S, Pineschi A, Freni G et al (1992) Feeding troubles following delayed primary repair of esophageal atresia. Eur J Pediatr Surg 2(2):73–77

    PubMed  Article  CAS  Google Scholar 

  50. Festen C (1981) Oesophageal atresia: methods of reconstruction in cases of a “long gap”. Z Kinderchir 32(4):295–300

    PubMed  CAS  Google Scholar 

  51. Louhimo I, Lindahl H (1983) Esophageal atresia: primary results of 500 consecutively treated patients. J Pediatr Surg 18(3):217–229

    PubMed  Article  CAS  Google Scholar 

  52. Sillen U, Hagberg S, Rubenson A et al (1988) Management of esophageal atresia: review of 16 years’ experience. J Pediatr Surg 23(9):805–809

    PubMed  Article  CAS  Google Scholar 

  53. Randolph JG, Newman KD, Anderson KD (1989) Current results in repair of esophageal atresia with tracheoesophageal fistula using physiologic status as a guide to therapy. Ann Surg 209(5):526–530

    PubMed  Article  CAS  Google Scholar 

  54. Festen C, Rieu PN, van der Staak FH et al (1991) Long-gap esophageal atresia: experience with reconstruction in 25 patients. Eur J Pediatr Surg 1(3):139–141

    PubMed  Article  CAS  Google Scholar 

  55. Schaarschmidt K, Willital GH, Jorch G et al (1992) Delayed primary reconstruction of an esophageal atresia with distal esophagotracheal fistula in an infant weighing less than 500 g. J Pediatr Surg 27(12):1529–1531

    PubMed  Article  CAS  Google Scholar 

  56. Alexander F, Johanningman J, Martin LW (1993) Staged repair improves outcome of high-risk premature infants with esophageal atresia and tracheoesophageal fistula. J Pediatr Surg 28(2):151–154

    PubMed  Article  CAS  Google Scholar 

  57. Boyle EM Jr, Irwin ED, Foker JE (1994) Primary repair of ultra-long-gap esophageal atresia: results without a lengthening procedure. Ann Thorac Surg 57(3):576–579

    PubMed  Article  Google Scholar 

  58. Ein SH, Shandling B (1994) Pure esophageal atresia: a 50-year review. J Pediatr Surg 29(9):1208–1211

    PubMed  Article  CAS  Google Scholar 

  59. Engum SA, Grosfeld JL, West KW et al (1995) Analysis of morbidity and mortality in 227 cases of esophageal atresia and/or tracheoesophageal fistula over two decades. Arch Surg 130(5):502–508

    PubMed  Article  CAS  Google Scholar 

  60. Tsai JY, Berkery L, Wesson DE et al (1997) Esophageal atresia and tracheoesophageal fistula: surgical experience over two decades. Ann Thorac Surg 64(3):778–783

    PubMed  Article  CAS  Google Scholar 

  61. Lessin MS, Wesselhoeft CW, Luks FI et al (1999) Primary repair of long-gap esophageal atresia by mobilization of the distal esophagus. Eur J Pediatr Surg 9(6):369–372

    PubMed  Article  CAS  Google Scholar 

  62. Chahine AA, Ricketts RR (2000) Esophageal atresia in infants with very low birth weight. Semin Pediatr Surg 9(2):73–78

    PubMed  CAS  Google Scholar 

  63. Al-Shanafey S, Harvey J (2008) Long-gap esophageal atresia: an Australian experience. J Pediatr Surg 43(4):597–601

    PubMed  Article  Google Scholar 

Download references

Conflict of interest

The authors declare that they have no conflict of interests.

Author information

Affiliations

Authors

Corresponding author

Correspondence to Prem Puri.

Rights and permissions

Reprints and Permissions

About this article

Cite this article

Friedmacher, F., Puri, P. Delayed primary anastomosis for management of long-gap esophageal atresia: a meta-analysis of complications and long-term outcome. Pediatr Surg Int 28, 899–906 (2012). https://doi.org/10.1007/s00383-012-3142-2

Download citation

  • Published:

  • Issue Date:

  • DOI: https://doi.org/10.1007/s00383-012-3142-2

Keywords

  • Esophageal atresia
  • Delayed primary anastomosis
  • Complications
  • Long-term outcome
  • Meta-analysis