Skip to main content

Traumatic rupture of a choledochal cyst masking as a duodenal hematoma

Abstract

Choledochal cysts are rare, congenital malformations of the intra and/or extrahepatic biliary tree. We describe a case in which a patient was transferred to our hospital with a reported duodenal hematoma. The patient ultimately required exploration when his condition deteriorated. Laparotomy resulted in the discovery and successful treatment of a ruptured type IV-A choledochal cyst.

This is a preview of subscription content, access via your institution.

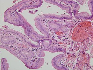
Fig. 1
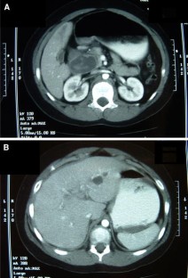
Fig. 2
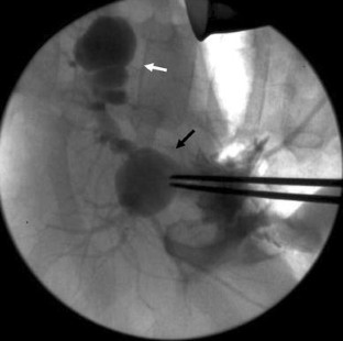
Fig. 3

References

  1. Miyano T, Yamataka A (1997) Choledochal cysts. Curr Opin Pediatr 9:283–288. doi:10.1097/00008480-199706000-00018

    PubMed  Article  CAS  Google Scholar 

  2. Metcalfe MS, Wemyss-Holden SA, Maddern GJ (2003) Management dilemmas with choledochal cysts. Arch Surg 138:333–339. doi:10.1001/archsurg.138.3.333

    PubMed  Article  Google Scholar 

  3. Lal R, Agarwal S, Shivhare R, Kumar A, Sikora SS, Saxena R et al (2005) Type IV-A choledochal cysts: a challenge. J Hepatobiliary Pancreat Surg 12:129–134. doi:10.1007/s00534-004-0960-1

    PubMed  Article  Google Scholar 

  4. Desai KM, Dorward IG, Minkes RK, Dillon PA (2003) Blunt duodenal injuries in children. J Trauma 54:640–645. doi:10.1097/01.TA.0000056184.80706.9B

    PubMed  Article  Google Scholar 

  5. Plancq MC, Villamizar J, Ricard J, Canarelli JP (2000) Management of pancreatic and duodenal injuries in pediatric patients. Pediatr Surg Int 16:35–39. doi:10.1007/s003830050009

    PubMed  Article  CAS  Google Scholar 

  6. Kane NM, Cronan JJ, Dorfman GS, DeLuca F (1988) Pediatric abdominal trauma: evaluation by computed tomography. Pediatrics 82:11–15

    PubMed  CAS  Google Scholar 

  7. Nagae I, Tsuchida A, Tanabe Y, Takahashi S, Minato S, Koyanagi Y et al (2005) Traumatic rupture of choledochal cyst in a child. J Pediatr Surg 40:E7–E8. doi:10.1016/j.jpedsurg.2004.10.007

    PubMed  Article  Google Scholar 

  8. Raj JP, Walsh M (2002) Choledochal cyst and blunt trauma—case report. Injury 33:644–646. doi:10.1016/S0020-1383(02)00052-9

    PubMed  Article  Google Scholar 

  9. Moss RL, Musemeche CA (1997) Successful management of ruptured choledochal cyst by primary cyst excision and biliary reconstruction. J Pediatr Surg 32:1490–1491. doi:10.1016/S0022-3468(97)90572-8

    PubMed  Article  CAS  Google Scholar 

  10. Satya R, Vijayakumar V (2006) Type IV-a choledochal cyst—a rare adolescent presentation as acute abdomen. Emerg Radiol 13:39–41. doi:10.1007/s10140-006-0515-7

    PubMed  Article  Google Scholar 

  11. Nakayama H, Masuda H, Ugajin W, Koshinaga T, Fukuzawa M (2000) Left hepatic lobectomy for type IV-A choledochal cyst. Am Surg 66:1020–1022

    PubMed  CAS  Google Scholar 

Download references

Author information

Affiliations

Authors

Corresponding author

Correspondence to Patricia Lange.

Rights and permissions

Reprints and Permissions

About this article

Cite this article

Garrison, A.P., Weiner, T. & Lange, P. Traumatic rupture of a choledochal cyst masking as a duodenal hematoma. Pediatr Surg Int 24, 1247 (2008). https://doi.org/10.1007/s00383-008-2244-3

Download citation

  • Accepted:

  • Published:

  • DOI: https://doi.org/10.1007/s00383-008-2244-3

Keywords

  • Ruptured choledochal cyst
  • Duodenal hematoma