Skip to main content

Pediatric penetrating cardiac injury from abuse: a case report

Abstract

While cardiac foreign bodies after trauma have been described in the literature, we report the first case of intentional injury in an infant with an intracardiac needle. We review the literature and stress the need for a high degree of vigilance in evaluating children for potential child abuse.

This is a preview of subscription content, access via your institution.

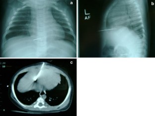
Fig. 1
Fig. 2
Fig. 3

References

  1. Blaha R, Polak E, Sobatka B (1951) Case of imbedded needle in the heart extracted after 12 years. Cas Lek Cesk 20:601–603

    Google Scholar 

  2. Jiang C-L, Gu T-Z, Wang C (2006) Experience exchange: surgical treatment of post-traumatic foreign bodies in the heart or great vessels. Chin Med J 119:2018–2020

    PubMed  Google Scholar 

  3. Symbas PN, Vlasis-Hale SE, Picone AL et al (1989) Missiles in the heart. Ann Thorac Surg 48:192–194

    PubMed  CAS  Article  Google Scholar 

  4. Symbas PN, Picone AL, Hatcher CR et al (1990) Cardiac missiles: a review of the literature and personal experience. Ann Surg 211:639–647

    PubMed  CAS  Google Scholar 

  5. Wales l, Jenkins DP, Smith PL (2001) Delayed presentation of right ventricular bullet embolus. Ann Thorac Surg 2:619–620

    Article  Google Scholar 

  6. Actis Dato GM, Arslanian A, Di Marzio P et al (2003) Post-traumatic and iatrogenic foreign bodies in the heart: report of fourteen cases and review of the literature. J Thorac Cardiovasc Surg 126:408–414

    PubMed  Article  Google Scholar 

  7. Sayin AG, Besirli K, Arslan C et al (2002) A case of intramyocardial sewing needle extracted without stopping the heart. Injury 33:276–277

    PubMed  Article  CAS  Google Scholar 

  8. Lemaire SA, Wall MJ Jr, Mattox KL (1998) Needle embolus causing cardiac puncture and chronic constrictive pericarditis. Ann Thorac Surg 65:1876–1877

    Article  Google Scholar 

  9. Tomashek KM, Hsia J, Iyasu S (2003) Trends in post-neonatal mortality attributable to injury, United States, 1988–1998. Pediatrics 5:1219–1224

    Google Scholar 

  10. Falcone RA Jr, Brown RL, Garcia VF (2007) The epidemiology of infant injuries and alarming health disparities. J Pediatr Surg 42:172–177

    PubMed  Article  Google Scholar 

  11. Jenny C, Hymel KP, Ritzen A et al (1999) Analysis of missed cases of abusive head trauma. JAMA 281:621–626

    PubMed  Article  CAS  Google Scholar 

Download references

Author information

Affiliations

Authors

Corresponding author

Correspondence to Juan E. Sola.

Rights and permissions

Reprints and Permissions

About this article

Cite this article

Sola, J.E., Cateriano, J.H., Thompson, W.R. et al. Pediatric penetrating cardiac injury from abuse: a case report. Pediatr Surg Int 24, 495–497 (2008). https://doi.org/10.1007/s00383-007-2057-9

Download citation

  • Accepted:

  • Published:

  • Issue Date:

  • DOI: https://doi.org/10.1007/s00383-007-2057-9

Keywords

  • Pediatric
  • Child abuse
  • Penetrating cardiac injury
  • Intentional injury