Skip to main content

Intrinsic esophageal innervation in esophageal atresia without fistula

Abstract

Esophageal atresia and tracheo-esophageal fistula (EA + TEF) are often associated with malformations of neural crest origin. Esophageal innervation is also derived from the neural crest and it is abnormal in EA + TEF in which there is motor dysfunction. Our aim was to examine the intrinsic esophageal innervation in children with isolated EA in which different embryogenic mechanisms might be involved. Specimens from the proximal and distal esophageal segments of 6/35 patients who had esophageal replacement for isolated EA between 1965 and 2006 were suitable for the study. They were sectioned and immunostained with anti-neurofilament (NF) and anti-S-100 antibodies. The muscle and neural surfaces on each section were measured with the assistance of image processing software. The surface of the ganglia and the number of neurons per ganglion were determined at high power microscopy. The findings were compared with those of six autopsy specimens from newborns dead of other diseases by means of standard statistical tests and a significance threshold of P < 0.05. Unmatched age/size of babies in isolated EA and control groups precluded comparison of the relative surfaces occupied by neural elements. Patients with pure EA had denser fibrilar network and larger ganglia than controls. The number of neurons/ganglion were similar in both groups although the cells from EA patients were larger. The findings were similar at both esophageal levels studied. In spite of methodologic biases, it seems that intrinsic esophageal fibrilar network is denser and the intramural ganglia larger with larger cells in patients with pure EA than in controls on both esophageal ends of the organ. These neural anomalies are only in part reminiscent of those described in regular EA/TEF but may as well explain esophageal dysfunction in patients with repaired isolated EA.

This is a preview of subscription content, access via your institution.

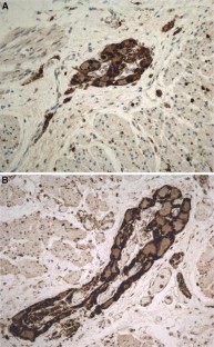
Fig. 1
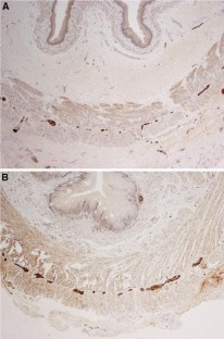
Fig. 2

References

  1. Engum SA, Grosfeld JL, West KW, Rescorla FJ, Scherer LR 3rd (1995) Analysis of morbidity and mortality in 227 cases of esophageal atresia and/or tracheoesophageal fistula over two decades. Arch Surg 130:502–508

    PubMed  CAS  Google Scholar 

  2. Okada A, Usui N, Inoue M, Kawahara H, Kubota A, Imura K, Kamata S (1997) Esophageal atresia in Osaka: a review of 39 years’ experience. J Pediatr Surg 32:1570–1574

    PubMed  Article  CAS  Google Scholar 

  3. Bergmeijer JH, Hazebroek FW (1998) Prospective medical and surgical treatment of gastroesophageal reflux in esophageal atresia. J Am Coll Surg 187:153–157

    PubMed  Article  CAS  Google Scholar 

  4. Somppi E, Tammela O, Ruuska T, Rahnasto J, Laitinen J, Turjanmaa V, Jarnberg J (1998) Outcome of patients operated on for esophageal atresia: 30 years’ experience. J Pediatr Surg 33:1341–1346

    PubMed  Article  CAS  Google Scholar 

  5. Deurloo JA, Ekkelkamp S, Bartelsman JF, Ten Kate FJ, Schoorl M, Heij HA, Aronson DC (2003) Gastroesophageal reflux: prevalence in adults older than 28 years after correction of esophageal atresia. Ann Surg 238:686–689

    PubMed  Article  Google Scholar 

  6. Bergmeijer JH, Tibboel D, Hazebroek FW (2000) Nissen fundoplication in the management of gastroesophageal reflux occurring after repair of esophageal atresia. J Pediatr Surg 35:573–576

    PubMed  Article  CAS  Google Scholar 

  7. Ashcraft KW, Goodwin C, Amoury RA, Holder TM (1977) Early recognition and aggressive treatment of gastroesophageal reflux following repair of esophageal atresia. J Pediatr Surg 12:317–321

    PubMed  Article  CAS  Google Scholar 

  8. Tovar JA, Luis AL, Encinas JL, Burgos L, Pederiva F, Martinez L, Olivares P (2007) Pediatric surgeons and gastroesophageal reflux. J Pediatr Surg 42:277–283

    PubMed  Article  Google Scholar 

  9. Possogel AK, Diez-Pardo JA, Morales C, Navarro C, Tovar JA (1998) Embryology of esophageal atresia in the adriamycin rat model. J Pediatr Surg 33:606–612

    PubMed  Article  CAS  Google Scholar 

  10. Merei JM, Hutson JM (2002) Embryogenesis of tracheo esophageal anomalies: a review. Pediatr Surg Int 18:319–326

    PubMed  Article  Google Scholar 

  11. Okamoto E, Ueda T (1967) Embryogenesis of intramural ganglia of the gut and its relationship to Hirschsprung´s disease. J Pediatr Surg 2:437–443

    Article  Google Scholar 

  12. Fu M, Chi Hang Lui V, Har Sham M, Nga Yin Cheung A, Kwong Hang Tam P (2003) HOXB5 expression is spatially and temporarily regulated in human embryonic gut during neural crest cell colonization and differentiation of enteric neuroblasts. Dev Dyn 228:1–10

    PubMed  Article  CAS  Google Scholar 

  13. Deurloo JA, Ekkelkamp S, Schoorl M, Heij HA, Aronson DC (2002) Esophageal atresia: historical evolution of management and results in 371 patients. Ann Thorac Surg 73:267–272

    PubMed  Article  Google Scholar 

  14. Encinas JL, Luis AL, Avila LF, Martinez L, Guereta L, Lassaletta L, Tovar JA (2006) Impact of preoperative diagnosis of congenital heart disease on the treatment of esophageal atresia. Pediatr Surg Int 22:150–153

    PubMed  Article  CAS  Google Scholar 

  15. Spitz L (2006) Esophageal atresia. Lessons I have learned in a 40-year experience. J Pediatr Surg 41:1635–1640

    PubMed  Article  Google Scholar 

  16. Tovar JA, Diez Pardo JA, Murcia J, Prieto G, Molina M, Polanco I (1995) Ambulatory 24-hour manometric and pH metric evidence of permanent impairment of clearance capacity in patients with esophageal atresia. J Pediatr Surg 30:1224–1231

    PubMed  Article  CAS  Google Scholar 

  17. Tomaselli V, Volpi ML, Dell’Agnola CA, Bini M, Rossi A, Indriolo A (2003) Long-term evaluation of esophageal function in patients treated at birth for esophageal atresia. Pediatr Surg Int 19:40–43

    PubMed  CAS  Google Scholar 

  18. Lindahl H, Rintala R, Sariola H (1993) Chronic esophagitis and gastric metaplasia are frequent late complications of esophageal atresia. J Pediatr Surg 28:1178–1180

    PubMed  Article  CAS  Google Scholar 

  19. Krug E, Bergmeijer JH, Dees J, de Krijger R, Mooi WJ, Hazebroek FW (1999) Gastroesophageal reflux and Barrett’s esophagus in adults born with esophageal atresia. Am J Gastroenterol 94:2825–2828

    PubMed  Article  CAS  Google Scholar 

  20. Little DC, Rescorla FJ, Grosfeld JL, West KW, Scherer LR, Engum SA (2003) Long-term analysis of children with esophageal atresia and tracheoesophageal fistula. J Pediatr Surg 38:852–856

    PubMed  Article  CAS  Google Scholar 

  21. Dutta HK, Grover VP, Dwivedi SN, Bhatnagar V (2001) Manometric evaluation of postoperative patients of esophageal atresia and tracheo-esophageal fistula. Eur J Pediatr Surg 11:371–376

    PubMed  Article  CAS  Google Scholar 

  22. Romeo G, Zuccarello B, Proietto F, Romeo C (1987) Disorders of the esophageal motor activity in atresia of the esophagus. J Pediatr Surg 22:120–124

    PubMed  Article  CAS  Google Scholar 

  23. Shono T, Suita S (1997) Motility studies of the esophagus in a case of esophageal atresia before primary anastomosis and in experimental models. Eur J Pediatr Surg 7:138–142

    PubMed  CAS  Article  Google Scholar 

  24. Davies MR (1996) Anatomy of the extrinsic motor nerve supply to mobilized segments of the oesophagus disrupted by dissection during repair of oesophageal atresia with distal fistula. Br J Surg 83:1268–1270

    PubMed  Article  CAS  Google Scholar 

  25. Davies MRQ (1996) Anatomy of the extrinsic nerve supply of the oesophagus in oesophageal atresia of the common type. Pediatr Surg Int 11:230–233

    Google Scholar 

  26. Zuccarello B, Nicotina PA, Centorrino A, Caruso R, Francio G, Gianetto S (1988) Immunohistochemical study on muscle actinin content of atresic esophageal upper pouch. It J Pediatr Surg Sci 2:75–78

    Google Scholar 

  27. Nakazato Y, Wells TR, Landing BH (1986) Abnormal tracheal innervation in patients with esophageal atresia and tracheoesophageal fistula: study of the intrinsic tracheal nerve plexuses by a microdissection technique. J Pediatr Surg 21:838–844

    PubMed  Article  CAS  Google Scholar 

  28. Nakazato Y, Landing BH, Wells TR (1986) Abnormal Auerbach plexus in the esophagus and stomach of patients with esophageal atresia and tracheoesophageal fistula. J Pediatr Surg 21:831–837

    PubMed  Article  CAS  Google Scholar 

  29. Boleken M, Demirbilek S, Kirimiloglu H, Kanmaz T, Yucesan S, Celbis O, Uzun I (2007) Reduced neuronal innervation in the distal end of the proximal esophageal atretic segment in cases of esophageal atresia with distal tracheoesophageal fistula. World J Surg 31:1512–1517

    PubMed  Article  Google Scholar 

  30. Li K, Zheng S, Xiao X, Wang Q, Zhou Y, Chen L (2007) The structural characteristics and expression of neuropeptides in the esophagus of patients with congenital esophageal atresia and tracheoesophageal fistula. J Pediatr Surg 42:1433–1438

    PubMed  Article  Google Scholar 

  31. Diez-Pardo JA, Baoquan Q, Navarro C, Tovar JA (1996) A new rodent experimental model of esophageal atresia and tracheoesophageal fistula: preliminary report. J Pediatr Surg 31:498–502

    PubMed  Article  CAS  Google Scholar 

  32. Qi BQ, Merei J, Farmer P, Hasthorpe S, Myers NA, Beasley SW, Hutson JM (1997) The vagus and recurrent laryngeal nerves in the rodent experimental model of esophageal atresia. J Pediatr Surg 32:1580–1586

    PubMed  Article  CAS  Google Scholar 

  33. Cheng W, Bishop AE, Spitz L, Polak JM (1997) Abnormalities of neuropeptides and neural markers in the esophagus of fetal rats with adriamycin-induced esophageal atresia. J Pediatr Surg 32:1420–1423

    PubMed  Article  CAS  Google Scholar 

  34. Cheng W, Bishop AE, Spitz L, Polak JM (1999) Abnormal enteric nerve morphology in atretic esophagus of fetal rats with adriamycin-induced esophageal atresia. Pediatr Surg Int 15:8–10

    PubMed  Article  CAS  Google Scholar 

  35. Qi BQ, Uemura S, Farmer P, Myers NA, Hutson JM (1999) Intrinsic innervation of the oesophagus in fetal rats with oesophageal atresia. Pediatr Surg Int 15:2–7

    PubMed  Article  CAS  Google Scholar 

  36. Spitz L, Kiely EM, Morecroft JA, Drake DP (1994) Oesophageal atresia: at-risk groups for the 1990s. J Pediatr Surg 29:723–725

    PubMed  Article  CAS  Google Scholar 

  37. Merei J, Kotsios C, Hutson JM, Hasthorpe S (1997) Histopathologic study of esophageal atresia and tracheoesophageal fistula in an animal model. J Pediatr Surg 32:12–14

    PubMed  Article  CAS  Google Scholar 

  38. Merei J, Hasthorpe S, Farmer P, Hutson JM (1999) Visceral anomalies in prenatally adriamycin-exposed rat fetuses: a model for the VATER association. Pediatr Surg Int 15:11–16

    PubMed  Article  CAS  Google Scholar 

  39. Larsen WJ (1997) Human embryology, 2nd edn. Churchill Livingstone, New York

    Google Scholar 

  40. Crisera CA, Maldonado TS, Kadison AS, Li M, Longaker MT, Gittes GK (2000) Patterning of the “distal esophagus” in esophageal atresia with tracheo-esophageal fistula: is thyroid transcription factor 1 a player? J Surg Res. 92:245–249

    PubMed  Article  CAS  Google Scholar 

  41. Crisera CA, Maldonado TS, Longaker MT, Gittes GK (2000) Defective fibroblast growth factor signaling allows for nonbranching growth of the respiratory-derived fistula tract in esophageal atresia with tracheoesophageal fistula. J Pediatr Surg 35:1421–1425

    PubMed  Article  CAS  Google Scholar 

Download references

Acknowledgments

Supported in part by FIS (06/0486 and 06/0447) and FMM Grants. F.P. is a Research Fellow of the CAM (FPI-000760 Grant)

Author information

Affiliations

Authors

Corresponding author

Correspondence to Juan A. Tovar.

Additional information

Presented at the 20th International Symposium on Pediatric Surgical Research, Bern, Switzerland, 5–6 October 2007.

Rights and permissions

Reprints and Permissions

About this article

Cite this article

Pederiva, F., Burgos, E., Francica, I. et al. Intrinsic esophageal innervation in esophageal atresia without fistula. Pediatr Surg Int 24, 95–100 (2008). https://doi.org/10.1007/s00383-007-2032-5

Download citation

  • Published:

  • Issue Date:

  • DOI: https://doi.org/10.1007/s00383-007-2032-5

Keywords

  • Esophageal atresia
  • Tracheoesophageal fistula
  • Gastroesophageal reflux
  • Esophagus
  • Intrinsic innervation
  • Neural crest