Skip to main content

Midgut malrotation and associated Hirschsprung’s disease: a diagnostic dilemma

Abstract

Malrotation and Hirschsprung’s disease (HSD) are rarely reported together. We report our experience with three patients who presented during the neonatal period in whom the association resulted in diagnostic difficulty. In this report, we focus on the clinical presentation, diagnosis and appropriate management.

This is a preview of subscription content, access via your institution.

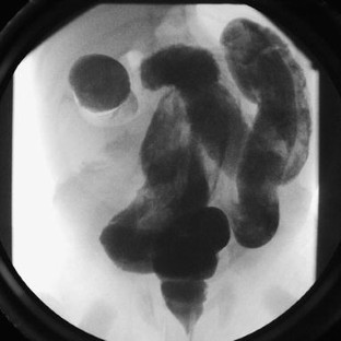
Fig. 1
Fig. 2

References

  1. Stewart DR, Colodny AL, Daggett WC (1976) Malrotation of the bowel in infants and children: a 15 year review. Surgery 79:716–720

    PubMed  CAS  Google Scholar 

  2. Filston HC, Kirks DR (1981) Malrotation—the ubiquitous anomaly. J Pediatr Surg 16:614–620

    PubMed  Article  CAS  Google Scholar 

  3. Spigland N, Brandt ML, Yazbeck S (1990) Malrotation presenting beyond the neonatal period. J Pediatr Surg 25:1139–1142

    PubMed  Article  CAS  Google Scholar 

  4. Spitz L (2003) Malrotation. In: Puri P (ed) Newborn surgery. Arnold, London, pp 435–439

  5. Torres AM (2003) Malrotation. In: Ziegler MM, Azizkhan RG, Weber TR (eds) Operative Pediatric Surgery. McGraw Hill, New York, pp 609–616

  6. de Bruyn R, Hall CM, Spitz L (1982) Hirschsprung’s disease and malrotation of the mid-gut. An uncommon association. Br J Radiol 55:554–557

    PubMed  Article  Google Scholar 

  7. Tamburrini O, Bartolomeo-De Iuri A, Palescandolo P, Marte A, Amici G (1986) Hirschsprung’s disease and asymptomatic malrotation: a rare association. Pediatr Radiol 16:250–251

    PubMed  Article  CAS  Google Scholar 

  8. Jain SK, Singla SK, Sharma M, Pathania OP, Taneja SB (1989) Hirschsprung’s disease with intestinal malrotation and midgut volvulus: a rare association. Indian J Gastroenterol 8:201

    PubMed  CAS  Google Scholar 

  9. Ko S, Fujii H, Yamamoto K, Sado S, Yamamoto M, Nakano H (1991) Hirschsprung’s disease associated with intestinal malrotation in an adult and a review of literature. Nippon Geka Gakkai Zasshi 92:469–472

    PubMed  CAS  Google Scholar 

  10. Poenaru D, Uroz-Tristan J, Leclerc S, Murphy S, Bensoussan AL (1995) Imperforate anus, malrotation and Hirschsprung’s disease: a rare association. Eur J Pediatr Surg 5:187–189

    PubMed  CAS  Article  Google Scholar 

  11. Das K, Alladi A, Kini U, Babu MK, D’cruz AJ (2001) Hirschsprung’s disease, associated rare congenital anomalies. Indian J Pediatr 68:835–837

    PubMed  CAS  Google Scholar 

  12. Shanske A, Ferreira JC, Leonard JC, Fuller P, Marion RW (2001) Hirschsprung disease in an infant with a contiguous gene syndrome of chromosome 13. Am J Med Genet 102:231–236

    PubMed  Article  CAS  Google Scholar 

  13. Corsois L, Boman F, Sfeir R, Mention K, Michaud L, Poddevin F, Mestdagh P, Gottrand F (2004) Extensive Hirschsprung’s disease associated with intestinal malrotation. Arch Pediatr 11:1205–1208

    PubMed  Article  CAS  Google Scholar 

  14. Clark LA, Oldham KT (2000) Malrotation. In: Ashcraft KW (ed) Pediatric surgery, 3rd edn. WB Saunders, Philadelphia, pp 425–434

Download references

Author information

Affiliations

Authors

Corresponding author

Correspondence to Hany O. S. Gabra.

Rights and permissions

Reprints and Permissions

About this article

Cite this article

Gabra, H.O.S., Stewart, R.J. & Nour, S. Midgut malrotation and associated Hirschsprung’s disease: a diagnostic dilemma. Pediatr Surg Int 23, 703–705 (2007). https://doi.org/10.1007/s00383-006-1869-3

Download citation

  • Accepted:

  • Published:

  • Issue Date:

  • DOI: https://doi.org/10.1007/s00383-006-1869-3

Keywords

  • Midgut malrotation
  • Hirschsprung’s disease
  • Neonatal bowel obstruction