Skip to main content

Effects of dexamethasone on small bowel and kidney oxidative stress and histological alterations in bile duct-ligated rats

Abstract

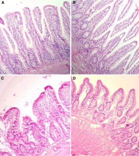
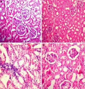
Oxidative stress plays an important role in the pathogenesis of toxic liver diseases and other hepatic alterations including obstruction of bile flow. It has been shown that the gastrointestinal tract and renal tissue is particularly affected during obstruction of bile flow. In this study, we aimed to evaluate the effects of dexamethasone on small bowel and kidney oxidative stress and histological alterations in bile duct-ligated (BDL) rats. A total of 40 male Sprague–Dawley rats weighing 200–240 g were used in this study. Group 1 (Sham-control, n = 10) rats underwent laparotomy and bile duct was dissected from the surrounding tissue. Group 2 (Dexa-control, n = 10) rats underwent laparotomy and bile duct was dissected from the surrounding tissue. The rats received daily dexamethasone. Group 3 (BDL/Untreated, n = 10) rats were subjected to bile duct ligation and no drug was applied. Group 4 (BDL/Dexa, n = 10) rats received daily dexamethasone by orogastric tube for 14 days after BDL. At the end of the 2-week period, superoxide dismutase (SOD), catalase (CAT), glutathione peroxidase (GSH-Px), and malondialdehyde (MDA) were measured and biochemical and histological evaluation were processed. The mean serum bilirubin, liver enzymes, MDA level, and histopathological score significantly decreased and SOD, CAT, and GSH-Px values were significantly increased in group 4 when compared to group 3. Group 3 presented a significant increase in caecal count of E. coli and in aerobe/anaerobe ratio. In group 4, liver was moderately damaged. Ileal biopsies from group 4 demonstrated a significant increase in villus height, total mucosal thickness, and villus density when compared to group 3. Glomerular injury scores (GIS) and arterial injury scores (AIS) in group 3 rats were increased in the juxtamedullary region. In contrast to group 4, tubulo-interstitial lesions were diffuse in group 3 animals. Dexamethasone reduced small bowel and kidney oxidative stress and histological alterations in bile duct-ligated rats with increasing SOD, CAT, and GSH-Px and decreasing MDA levels in rats with obstructed bile duct.

This is a preview of subscription content, access via your institution.

Fig. 1
Fig. 2
Fig. 3
Fig. 4
Fig. 5
Fig. 6

References

  1. Ohi R, Nio M (1998) The jaundiced infant: biliary atresia and other obstructions. In: O’Neill JA, Rowe MI, Grosfeld JL, Fonkalsrud EW, Coran AG (eds) Pediatric surgery. Mosby-Year Book, Inc, Missouri, pp 1465–1481

    Google Scholar 

  2. Assimakopoulos SF, Vagianos CE, Zervoudakis G, Filos KS, Georgiou C, Nikolopoulou V, Scopa CD (2004) Gut regulatory peptides bombesin and neurotensin reduce hepatic oxidative stress and histological alterations in bile duct ligated rats. Regul Pept 120:185–193

    PubMed  Article  CAS  Google Scholar 

  3. Parks RW, Clements WD, Smye MG, Pope C, Rowlands BJ, Diamond T (1996) Intestinal barrier dysfunction in clinical and experimental obstructive jaundice and its reversal by internal biliary drainage. Br J Surg 83:1345–1349

    PubMed  Article  CAS  Google Scholar 

  4. Deitch EA (1992) Multiple organ failure: pathophysiology and potential future therapy. Ann Surg 216:117–134

    PubMed  Article  CAS  Google Scholar 

  5. Panozzo MP, Basso D, Balint L, Zaninotto M, Bonvicini P, Plebani M (1995) Renal functional alterations in extrahepatic cholestasis: can oxidative stress be involved? Eur Surg Res 27:332–339

    PubMed  Article  CAS  Google Scholar 

  6. Yuceyar S, Gumustas K, Erturk S, Hamzaoglu IH, Uygun N, Ayaz M, Cengiz A, Kafadar Y (1998) The role of oxygen free radicals in acute renal failure complicating obstructive jaundice: an experimental study. HPB Surg 10:387–393

    PubMed  Article  CAS  Google Scholar 

  7. Tajiri K, Miyakawa H, Liu J, Kamiyama T, Marumo F, Sato C (1997) Enhanced renal susceptibility to ischemia-reperfusion injury in the rat with obstructive jaundice. Hepatogastroenterology 44:789–795

    PubMed  CAS  Google Scholar 

  8. Webster JC, Huber RM, Hanson RL, Collier PM, Haws TF, Mills JK, Burn TC, Allegretto EA (2002) Dexamethasone and tumor necrosis factor-α act together to induce the cellular inhibitor of apoptosis-2 gene and prevent apoptosis in a variety of cell types. Endocrinology 143:3866–3874

    PubMed  Article  CAS  Google Scholar 

  9. Ostrov CS, Sirkin SR, Deutsch WE, Masi RJ, Chandler JW, Lindquist TD (1997) Ketorolac, prednisolone, and dexamethasone for postoperative inflammation. Clin Ther 19:259–272

    PubMed  Article  CAS  Google Scholar 

  10. Scheinman RI, Cogswell PC, Lofquist AK, Baldwin AS Jr (1995) Role of transcriptional activation of I kappa B alpha in mediation of immunosuppression by glucocorticoids. Science 270:283–286

    PubMed  Article  CAS  Google Scholar 

  11. Jantz MA, Sahn SA (1999) Corticosteroids in acute respiratory failure. Am J Respir Crit Care Med 160:1079–1100

    PubMed  CAS  Google Scholar 

  12. Assimakopoulos SF, Vagianos CE, Patsoukis N, Georgiou C, Nikolopoulou V, Scopa CD (2004) Evidence for intestinal oxidative stress in obstructive jaundice-induced gut barrier dysfunction in rats. Acta Physiol Scand 180:177–185

    PubMed  Article  CAS  Google Scholar 

  13. Wasowicz W, Neve J, Peretz A (1993) Optimized steps in fluorometric determination of thiobarbituric acid-reactive substances in serum: importance of extraction pH and influence of sample preservation and storage. Clin Chem 39:2522–2526

    PubMed  CAS  Google Scholar 

  14. Misra HP, Fridovich I (1972) The role of superoxide anion in the autoxidation of epinephrine and a simple assay for superoxide dismutase. J Biol Chem 247:3170–3175

    PubMed  CAS  Google Scholar 

  15. Beers RF Jr, Sizer IW (1952) A spectrophotometric method for measuring the breakdown of hydrogen peroxide by catalase. J Biol Chem 195:133–140

    PubMed  CAS  Google Scholar 

  16. Rotruck JT, Pope AL, Ganther HE, Swanson AB, Hafeman DG, Hoekstra WG (1973) Selenium: biochemical role as a component of glutathione peroxidase. Science 179:588–590

    PubMed  Article  CAS  Google Scholar 

  17. Lowry OH, Rosebrough NJ, Farr AL, Randall RJ (1951) Protein measurement with the folin phenol reagent. J Biol Chem 193:265–275

    PubMed  CAS  Google Scholar 

  18. Kountouras J, Billing BH, Scheuer PJ (1984) Prolonged bile duct obstruction: a new experimental model for cirrhosis in the rat. Br J Exp Pathol 65:305–311

    PubMed  CAS  Google Scholar 

  19. Wait RB, Khang UK (1989) Renal failure complicating obstructive jaundice. Am J Surg 157:256–263

    PubMed  Article  CAS  Google Scholar 

  20. Fallon MB, Abrams GA, McGrath JW, Hou Z, Luo B (1997) Common bile duct ligation in the rat: a model of intrapulmonary vasodilatation and hepatopulmonary syndrome. Am J Physiol 272:G779–G784

    PubMed  CAS  Google Scholar 

  21. Ma Z, Lee SS (1996) Cirrhotic cardiomyopathy: getting to the heart of the matter. Hepatology 24:451–459

    PubMed  Article  CAS  Google Scholar 

  22. Assimakopoulos SF, Thomopoulos KC, Patsoukis N, Georgiou CD, Scopa CD, Nikolopoulou VN, Vagianos CE (2006) Evidence for intestinal oxidative stress in patients with obstructive jaundice. Eur J Clin Invest 36:181–187

    PubMed  Article  CAS  Google Scholar 

  23. Clements WD, Parks R, Erwin P, Halliday MI, Barr J, Rowlands BJ (1996) Role of the gut in the pathophysiology of extrahepatic biliary obstruction. Gut 39:587–593

    PubMed  Article  CAS  Google Scholar 

  24. Berg RD (1995) Bacterial translocation from the gastrointestinal tract. Trends Microbiol 3:149–154

    PubMed  Article  CAS  Google Scholar 

  25. McManus DC, Josephy PD (1995) Superoxide dismutase protects Escherichia coli against killing by human serum. Arch Biochem Biophys 317:57–61

    PubMed  Article  CAS  Google Scholar 

  26. van der Waaij D (1987) Colonisation resistance of the digestive tract—mechanisms and clinical consequences. Nahrung 31:507–517

    PubMed  Article  Google Scholar 

  27. Ljubuncic P, Fuhrman B, Oiknine J, Aviram M, Bomzon A (1996) Effect of deoxycholic acid and ursodeoxycholic on lipid peroxidation in cultured macrophages. Gut 39:475–478

    PubMed  Article  CAS  Google Scholar 

  28. Ceryak S, Bouscarel B, Fromm H (1993) Comparative binding of bile acids to serum lipoproteins and albumin. J Lipid Res 34:1661–1674

    PubMed  CAS  Google Scholar 

  29. Clements WD, Erwin P, McCaigue MD, Halliday I, Barclay GR, Rowlands BJ (1998) Conclusive evidence of endotoxaemia in biliary obstruction. Gut 42:293–299

    PubMed  CAS  Article  Google Scholar 

  30. Unno N, Wang H, Menconi MJ, Tytgat SH, Larkin V, Smith M, Morin MJ, Chavez A, Hodin RA, Fink MP (1997) Inhibition of inducible nitric oxide synthase ameliorates endotoxin-induced gut mucosal barrier dysfunction in rats. Gastroenterology 113:1246–1257

    PubMed  Article  CAS  Google Scholar 

  31. Tsuji K, Kubota Y, Yamamoto S, Yanagitani K, Amoh Y, Takaoka M, Ogura M, Kin H, Inoue K (1999) Increased neutrophil chemotaxis in obstructive jaundice: an in vitro experiment in rats. J Gastroenterol Hepatol 14:457–463

    PubMed  Article  CAS  Google Scholar 

  32. Rocksen D, Lilliehook B, Larsson R, Johansson T, Bucht A (2000) Differential anti-inflammatory and anti-oxidative effects of dexamethasone and N-acetylcysteine in endotoxin-induced lung inflammation. Clin Exp Immunol 122:249–256

    PubMed  Article  CAS  Google Scholar 

  33. Halliwell B, Gutteridge JM, Cross CE (1992) Free radicals, antioxidant and human disease: where are we now? J Lab Clin Med 119:598–620

    PubMed  CAS  Google Scholar 

  34. Ramachandran A, Balasubramanian KA (2001) Intestinal dysfunction in liver cirrhosis: its role in spontaneous bacterial peritonitis. J Gastroenterol Hepatol 16:607–612

    PubMed  Article  CAS  Google Scholar 

  35. Blake HH, Henning SJ (1983) Weaning in the rat: a study of hormonal influences. Am J Physiol (Regulatory Integrative Comp Physiol 13) 244:R537–R543

    CAS  Google Scholar 

  36. Udall JN, Pang K, Fritze L, Kleinman R, Walker WA (1981) Development of gastrointestinal mucosal barrier. 1. The effect of age on intestinal permeability to macromolecules. Pediatr Res 15:241–244

    PubMed  CAS  Google Scholar 

  37. Halac E, Halac J, Begue EF, Casanas JM, Indiveri DR, Petit JF, Figueroa MJ, Olmas JM, Rodriguez LA, Obregon RJ et al (1990) Prenatal and postnatal corticosteroids therapy to prevent neonatal necrotizing enterocolitis: a controlled trial. J Pediatr 117:132–138

    PubMed  Article  CAS  Google Scholar 

  38. Suzuki Y, Nishio K, Takeshita K, Takeuchi O, Watanabe K, Sato N, Naoki K, Kudo H, Aoki T, Yamaguchi K (2000) Effect of steroid on hyperoxia-induced ICAM-1 expression in pulmonary endothelial cells. Am J Physiol 278:L245–L252

    CAS  Google Scholar 

  39. Rothlein R, Czajkowski M, O’Neill MM, Marlin SD, Mainolfi E, Merluzzi VJ (1988) Induction of intercellular adhesion molecule 1 on primary and continuous cell lines by pro-inflammatory cytokines: regulation by pharmacologic agents and neutralizing antibodies. J Immunol 141:1665–1669

    PubMed  CAS  Google Scholar 

  40. Armstrong CP, Dixon JM, Taylor TV, Davies GC (1984) Surgical experience of deeply jaundiced patients with bile duct obstruction. Br J Surg 71:234–238

    PubMed  Article  CAS  Google Scholar 

  41. Bailey ME (1976) Endotoxin, bile salts and renal function in obstructive jaundice. Br J Surg 63:774–778

    PubMed  Article  CAS  Google Scholar 

  42. Bomzon L, Kew MC (1983) Renal blood flow in experimental obstructive jaundice. In: Epstein M (eds) The kidney in liver disease, 2nd edn. Elservier, New York, pp 313–326

    Google Scholar 

  43. Gallardo JM, Padillo J, Martin-Malo A, Mino G, Pera C, Sitges-Serra A (1998) Increased plasma levels of atrial natriuretic peptide and endocrine markers of volume depletion in patients with obstructive jaundice. Br J Surg 85:28–31

    PubMed  Article  CAS  Google Scholar 

  44. Laursen JB, Rajagopalan S, Galis Z, Tarpey M, Freeman BA, Harrison DG (1997) Role of superoxide in angiotensin II-induced but not catecholamine-induced hypertension. Circulation 95:588–593

    PubMed  CAS  Google Scholar 

Download references

Author information

Affiliations

Authors

Corresponding author

Correspondence to Hayrettin Ozturk.

Rights and permissions

Reprints and Permissions

About this article

Cite this article

Ozturk, H., Eken, H., Ozturk, H. et al. Effects of dexamethasone on small bowel and kidney oxidative stress and histological alterations in bile duct-ligated rats. Pediatr Surg Int 22, 709–718 (2006). https://doi.org/10.1007/s00383-006-1736-2

Download citation

  • Accepted:

  • Published:

  • Issue Date:

  • DOI: https://doi.org/10.1007/s00383-006-1736-2

Keywords

  • Bile duct ligation
  • Liver
  • Kidney
  • Small bowel
  • Oxidative stress
  • Dexamethasone