Skip to main content

Recurrent yolk sac tumor following resection of a neonatal immature gastric teratoma

Abstract

Gastric teratomas are very rare and usually benign. Only a few cases of gastric teratomas with malignant components have been reported. This report describes recurrence of a yolk sac tumor following resection of a neonatal immature gastric teratoma. Gastric teratoma recurring as a malignant lesion has not been previously reported. Recurrence of immature gastric teratomas should be considered, and a periodic follow-up check with alpha-fetoprotein level should be mandatory.

This is a preview of subscription content, access via your institution.

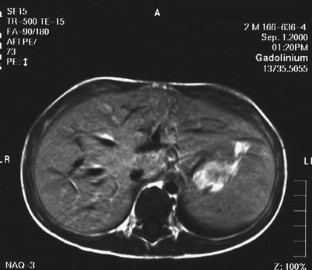
Fig. 1
Fig. 2
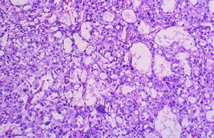
Fig. 3

References

  1. Grosfeld JL, Ballantine TV, Lowe D et al (1976) Benign and malignant teratomas in children. Surgery 80:297–305

    PubMed  CAS  Google Scholar 

  2. Gupta DK, Srinivas M, Dave S et al (2000) Gastric teratoma in children. Pediatr Surg Int 16:329–332

    Article  PubMed  CAS  Google Scholar 

  3. Chandrasekharam VV, Gupta AK, Bhatnagar V (2000) Infantile gastric teratoma. Trop Gastroenterol 21:192–193

    PubMed  CAS  Google Scholar 

  4. Utsch B, Fleischhack G, Knopfle G et al (2001) Immature gastric teratoma of the lesser curvature in a male infant. J Pediatr Gastroenterol Nutr 32:204–206

    PubMed  Article  CAS  Google Scholar 

  5. Hirugade ST, Deshpande AV, Talpallikar et al (2001) Gastric teratoma: a rare cause of gastrointestinal bleeding. Indian J Gastroenterol 20:158–159

    PubMed  CAS  Google Scholar 

  6. Yoon SE, Goo HW, Jun S et al (2000) Immature gastric teratoma in an infant: a case report. Korean J Radiol 1:226–228

    PubMed  CAS  Article  Google Scholar 

  7. Park WH, Choi SO, Kim JI (2002) Congenital gastric teratoma with gastric perforation mimicking meconium peritonitis. J Pediatr Surg 37:E11

    PubMed  Article  Google Scholar 

  8. Kudo K, Sasaki M, Itabashi K et al (2000) A case of immature gastric teratoma in an infant. Syounika Rinsyo 8:1267–1271 (in Japanese)

    Google Scholar 

  9. Imaizumi S, Iwanaka T, Arai M (2000) A case of gastric teratoma in an infant. Nippon Geka Gakkai Zasshi 61:2002–2007 (in Japanese)

    Google Scholar 

  10. Bourke CJ, Mackay AJ, Payton D (1997) Malignant gastric teratoma. Pediatr Surg Int 12:192–193

    Article  CAS  Google Scholar 

  11. Balik E, Tuncyurek M, Sayan A et al (1990) Malignant gastric teratoma in an infant. Z Kinderchir 45:383–385

    PubMed  CAS  Google Scholar 

  12. Ravikumar VR, Ragupathy R, Das L et al (1986) Gastric teratoma in an infant. J Pediatr Surg 21:948

    PubMed  Article  CAS  Google Scholar 

  13. Gobel U, Calaminus G, Engert J et al (1998) Teratomas in infancy and childhood. Med Pediatr Oncol 31:8–15

    Article  PubMed  CAS  Google Scholar 

  14. Matsukuma S, Wada R, Daibou M et al (1995) Adenocarcinoma arising from gastric immature teratoma. Cancer 75:2663–2668

    PubMed  Article  CAS  Google Scholar 

  15. Heifetz SA, Cushing B, Giller R, Shuster JJ, Stolar CJ, Vinocur CD, Hawkins EP (1998) Immature teratomas in children: pathologic considerations: a report from the combined Pediatric Oncology Group/Children’s Cancer Group. Am J Surg Pathol 22:1115–1124

    Article  PubMed  CAS  Google Scholar 

  16. Cushing B, Perlman EJ, Marina NM et al (2002) Germ cell tumors. In: Pizzo PA, Poplack DG (eds) Principles and practice of pediatric oncology. Lippincott Williams & Wilkins, Philadelphia, pp 1091–1113

  17. Altman RP, Randolph JG, Lilly JR (1974) Sacrococcygeal teratoma: American Academy of Pediatrics Surgical Section Survey-1973. J Pediatr Surg 9:389

    PubMed  Article  CAS  Google Scholar 

  18. Schropp KP, Lobe TE, Rao B et al (1992) Sacrococcygeal teratoma: the experience of four decades. J Pediatr Surg 27:1075–1079

    PubMed  CAS  Google Scholar 

  19. Gross RE, Clatworthy HW, Meeker IA (1951) Sacrococcygeal teratomas in infants and children. Surg Gynecol Obstet 92:341–354

    PubMed  CAS  Google Scholar 

  20. Marina NM, Cushing B, Giller R et al (1999) Complete surgical excision is effective treatment for children with immature teratomas with or without malignant elements: a Pediatric Oncology Group/Children’s Cancer Group Intergroup Study. J Clin Oncol 17:2137–2143

    PubMed  CAS  Google Scholar 

  21. Sugita K, Furukawa T, Tsuchida M et al (1993) High frequency of etoposide (VP-16)-related secondary leukemia in children with non-Hodgkin’s lymphoma. Am J Pediatr Hematol Oncol 15:99–104

    PubMed  CAS  Article  Google Scholar 

  22. Frisk P, Stalberg E, Stromberg B et al (2001) Painful peripheral neuropathy after treatment with high dose ifosfamide. Med Pediatr Oncol 37:379–382

    Article  PubMed  CAS  Google Scholar 

  23. Schmidt P, Haas RJ, Gobel U et al (2002) Results of the German studies (MAHO) for treatment of testicular germ cell tumors in children—an update. Klin Padiatr 214:167–172 (in German)

    Article  PubMed  CAS  Google Scholar 

Download references

Acknowledgements

We thank C. Haqq, University of California, San Francisco, for critically reviewing the manuscript.

Author information

Affiliations

Authors

Corresponding author

Correspondence to Etsuji Ukiyama.

Rights and permissions

Reprints and Permissions

About this article

Cite this article

Ukiyama, E., Endo, M., Yoshida, F. et al. Recurrent yolk sac tumor following resection of a neonatal immature gastric teratoma. Ped Surgery Int 21, 585–588 (2005). https://doi.org/10.1007/s00383-005-1404-y

Download citation

  • Accepted:

  • Published:

  • Issue Date:

  • DOI: https://doi.org/10.1007/s00383-005-1404-y

Keywords

  • Gastric teratoma
  • Immature teratoma
  • Yolk sac tumor