Skip to main content

Treatment of large infectious extracranial carotid artery pseudoaneurysms in children: a systematic review of the literature

Abstract

Introduction

Extracranial carotid artery pseudoaneurysm is a rare complication of deep neck space infection, and no evidence-based treatment guidelines are available in the literature.

Method

To clarify the existing experience of the different treatment strategies, the authors performed a systematic literature search using the PubMed, Ovid EMBASE, and Scopus databases in accordance with PRISMA guidelines to review all reported cases of pediatric patients with infectious carotid pseudoaneurysms larger than 1 cm.

Results

Twenty-six patients with a median age of 4 years (range 6 months–15 years) were identified. Eighteen patients (69.2%) were treated with endovascular methods, 6 patients (23.1%) with surgical methods, 1 patient (3.8%) with a hybrid endovascular/surgical approach, and 1 patient (3.8%) with conservative management. Recurrence of the pseudoaneurysm occurred in 2 cases (7.7%), both of which were successfully retreated. Of the 6 patients (23.1%) who presented with pre-procedure neurologic deficits, 3 patients had complete or near complete resolution of symptoms after intervention and 3 patients had persistent deficits at last follow-up. Four patients (15.4%) experienced new neurologic deficits post-procedure that resolved at last follow-up.

Conclusion

The endovascular treatment tends to be the preferred option to treat a large or giant infectious pseudoaneurysm of the carotid artery in the pediatric patient. However, more evidence is necessary to elucidate comparative safety and efficacy profiles of endovascular and surgical management strategies.

This is a preview of subscription content, access via your institution.

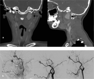
Fig. 1
Fig. 2
Fig. 3

Data availability

Not applicable.

Code availability

Not applicable.

References

  1. Abud DG, Spelle L, Piotin M, Mounayer C, Vanzin JR, Moret J (2005) Venous phase timing during balloon test occlusion as a criterion for permanent internal carotid artery sacrifice. AJNR Am J Neuroradiol 26:2602–2609

    PubMed  Google Scholar 

  2. Anderson E, Chalouhi N, Dumont A, Tjoumakaris S, Zanaty M, Rosenwasser R, Starke RM, Jabbour P (2014) Management of head and neck pseudoaneurysms: a review of 33 consecutive cases. ScientificWorldJournal 2014:419803–419804. https://doi.org/10.1155/2014/419803

    Article  PubMed  PubMed Central  Google Scholar 

  3. Badloo K, Levi E, Downie L, Rose E, Wagner T, Lubitz L (2012) Mycotic pseudoaneurysm of the lingual artery: a rare complication of parapharyngeal abscess. J Paediatr Child Health 48:1045–1046. https://doi.org/10.1111/j.1440-1754.2012.02599.x

    Article  PubMed  Google Scholar 

  4. Balasundaram P, Sebastian LJD, Jain N, Prabhakar A, Garg A, Gaikwad S (2019) Management of arterial pseudoaneurysms of the neck in a pediatric population: an endovascular case series and review of literature. World Neurosurg 125:e273–e281. https://doi.org/10.1016/j.wneu.2019.01.061

    Article  PubMed  Google Scholar 

  5. Beningfield A, Nehus E, Chen AY, Yellin S (2006) Pseudoaneurysm of the internal carotid artery after retropharyngeal abscess. Otolaryngol Head Neck Surg 134:338–339

    Article  Google Scholar 

  6. Bhogal P, Perez MA, Wendl C, Bazner H, Ganslandt O, Henkes H (2017) Paediatric aneurysms - review of endovascular treatment strategies. J Clin Neurosci 45:54–59. https://doi.org/10.1016/j.jocn.2017.08.009

    CAS  Article  PubMed  Google Scholar 

  7. Biron A, Berkowitz RG, Bekhit EK, Rose EA (2006) Ultrasound diagnosis of an internal carotid artery pseudoaneurysm in a young child. Int J Pediatr Otorhinolaryngol 70:1975–1979. https://doi.org/10.1016/j.ijporl.2006.06.011

    Article  PubMed  Google Scholar 

  8. Brinjikji W, Diehn FE, Lindsay CW, Morris JM (2015) Endovascular treatment of an infected pseudoaneurysm secondary to retropharyngeal abscess in a child. Interv Neuroradiol 21:538–542. https://doi.org/10.1177/1591019915590073

    Article  PubMed  PubMed Central  Google Scholar 

  9. Brochu B, Dubois J, Garel L, Quintal M-C, Roy D (2004) Complications of ENT infections: pseudoaneurysm of the internal carotid artery. Pediatr Radiol 34:417–420

    Article  Google Scholar 

  10. Cicek MT, Yildirim IO, Gunduz E (2020) Endovascular treatment of carotid pseudoaneurysm bleeding due to parapharyngeal abscess. J Craniofac Surg 31:e324–e326. https://doi.org/10.1097/SCS.0000000000006204

    Article  PubMed  Google Scholar 

  11. Davidson C, Holihan C, de Oliveira Sillero R, Lee K, Mitchell RB, Shah G (2021) Infectious pseudoaneurysm of the internal carotid artery in a child secondary to parapharyngeal abscess. Ear Nose Throat J.:014556132098458. https://doi.org/10.1177/0145561320984582

  12. DeFatta RJ, Verret DJ, Bauer P (2005) Extracranial internal carotid artery pseudoaneurysm. Int J Pediatr Otorhinolaryngol 69:1135–1139

    Article  Google Scholar 

  13. Forbes TL, Tong M (2008) External carotid artery pseudoaneurysm in an immunocompromised patient. Can J Surg 51:E11–E12

    PubMed  PubMed Central  Google Scholar 

  14. Garg K, Rockman CB, Lee V, Maldonado TS, Jacobowitz GR, Adelman MA, Mussa FF (2012) Presentation and management of carotid artery aneurysms and pseudoaneurysms. J Vasc Surg 55:1618–1622. https://doi.org/10.1016/j.jvs.2011.12.054

    Article  PubMed  Google Scholar 

  15. Garino JP, Ryan TJ (1987) Carotid hemorrhage: a complication of peritonsillar abscess. Am J Emerg Med 5:220–223. https://doi.org/10.1016/0735-6757(87)90325-1

    CAS  Article  PubMed  Google Scholar 

  16. Glaiberman CB, Towbin RB, Boal DK (2003) Giant mycotic aneurysm of the internal carotid artery in a child: endovascular treatment. Pediatr Radiol 33:211–215. https://doi.org/10.1007/s00247-002-0844-y

    Article  PubMed  Google Scholar 

  17. Gonda RL Jr, Gutierrez OH, Hengerer AS, De Weese JA (1990) Pharyngeal abscess with external carotid artery erosion and pseudoaneurysm. A combined radiologic and surgical management. Pediatr Neurosurg 16:21–24

    Article  Google Scholar 

  18. Gralla J, Brekenfeld C, Schmidli J, Caversaccio M, Do D-D, Schroth G (2004) Internal carotid artery aneurysm with life-threatening hemorrhages in a pediatric patient: endovascular treatment options. J Endovasc Ther 11:734–738

    Article  Google Scholar 

  19. Gupta V, Niranjan K, Rawat L, Gupta AK (2009) Stent-graft repair of a large cervical internal carotid artery pseudoaneurysm causing dysphagia. Cardiovasc Intervent Radiol 32:558–562. https://doi.org/10.1007/s00270-008-9421-6

    Article  PubMed  Google Scholar 

  20. Gupta R, Patro SK, Chauhan N, Kumar A (2019) A giant pseudoaneurysm mimicking retropharyngeal abscess in a child. Pediatr Emerg Care 35:e79–e83. https://doi.org/10.1097/PEC.0000000000001100

    Article  PubMed  Google Scholar 

  21. Jagetia A, Sharma D, Singh D, Sinha S, Ganjoo P, Narang P, Mathod V (2015) Endovascular occlusion of cervical internal carotid artery pseudoaneurysm in a child treated by N-butyl cyanoacrylate: a rare case report. Pediatr Neurosurg 50:168–172. https://doi.org/10.1159/000381861

    Article  PubMed  Google Scholar 

  22. Jarvis SJ, Parker AJ (2001) External carotid artery aneurysm in an infant presenting with oropharyngeal haemorrhage. J Laryngol Otol 115:500–501. https://doi.org/10.1258/0022215011908045

    CAS  Article  PubMed  Google Scholar 

  23. Kato T, Oto K, Endo T, Furusho J, Iwasaki A, Sasaki Y, Iikura Y (1999) Microbial extracranial aneurysm of the internal carotid artery: complication of cervical lymphadenitis. Ann Otol Rhinol Laryngol 108:314–317

    CAS  Article  Google Scholar 

  24. Knouse MC, Madeira RG, Celani VJ (2002) Pseudomonas aeruginosa causing a right carotid artery mycotic aneurysm after a dental extraction procedure. Mayo Clin Proc 77:1125–1130. https://doi.org/10.4065/77.10.1125

    Article  PubMed  Google Scholar 

  25. Krysl J, Noel de Tilly L, Armstrong D (1993) Pseudoaneurysm of the internal carotid artery: complication of deep neck space infection. AJNR Am J Neuroradiol 14:696–698

    CAS  PubMed  Google Scholar 

  26. Kumar A, Prabhakar A, Gupta V, Khandelwal N, Ahuja C, Singhal M, Vyas S, Panda N, Vaidhya P (2018) Endovascular management of internal carotid artery pseudoaneurysms: a single-centre experience of 20 patients. Neurol India 66:1067–1074. https://doi.org/10.4103/0028-3886.236958

    Article  PubMed  Google Scholar 

  27. Lisan Q, Tran H, Verillaud B, Herman P (2016) Infectious arteritis of the internal carotid artery complicating retropharyngeal abscess. Eur Ann Otorhinolaryngology Head Neck Dis 133:55–57. https://doi.org/10.1016/j.anorl.2015.08.039

    CAS  Article  Google Scholar 

  28. Lueg EA, Awerbuck D, Forte V (1995) Ligation of the common carotid artery for the management of a mycotic pseudoaneurysm of an extracranial internal carotid artery. A case report and review of the literature. Int J Pediatr Otorhinolaryngol 33:67–74

    CAS  Article  Google Scholar 

  29. Madhusudhan KS, Venkatesh HA, Gamanagatti S, Garg P, Srivastava DN (2016) Interventional radiology in the management of visceral artery pseudoaneurysms: a review of techniques and embolic materials. Korean journal of radiology 17:351–363. https://doi.org/10.3348/kjr.2016.17.3.351

    Article  PubMed  PubMed Central  Google Scholar 

  30. Manjila S, Singh G, Ndubuizu O, Jones Z, Hsu DP, Cohen AR (2017) Endovascular plug for internal carotid artery occlusion in the management of a cavernous pseudoaneurysm with bifrontal subdural empyema: technical note. J Neurosurg Pediatr 20:239–246. https://doi.org/10.3171/2017.3.Peds16370

    Article  PubMed  Google Scholar 

  31. Mathis JM, Barr JD, Jungreis CA, Yonas H, Sekhar LN, Vincent D, Pentheny SL, Horton JA (1995) Temporary balloon test occlusion of the internal carotid artery: experience in 500 cases. AJNR Am J Neuroradiol 16:749–754

    CAS  PubMed  Google Scholar 

  32. McEachern W, Walz A, Dantuluri K, Dulek D, Betters K (2019) Case 3: anisocoria in a 5-year old girl. Pediatr Rev 40:366–368. https://doi.org/10.1542/pir.2018-0132

    Article  PubMed  Google Scholar 

  33. Meher R, Garg A, Malhotra V, Singh I (2006) Pseudoaneurysm of the internal carotid artery in an infant aged 8 months. N Z Med J 119:U1815

    PubMed  Google Scholar 

  34. Moher D, Liberati A, Tetzlaff J, Altman DG (2009) Preferred reporting items for systematic reviews and meta-analyses: the PRISMA statement. Ann Intern Med 151:264–269, W264. https://doi.org/10.7326/0003-4819-151-4-200908180-00135

    Article  Google Scholar 

  35. Mordekar SR, Bradley PJ, Whitehouse WP, Goddard AJ (2005) Occult carotid pseudoaneurysm following streptococcal throat infection. J Paediatr Child Health 41:682–684

    CAS  Article  Google Scholar 

  36. Pearson SE, Choi SS (2005) Pseudoaneurysm of the internal carotid artery: a case report and review of the literature. Arch Otolaryngol Head Neck Surg 131:454–456

    Article  Google Scholar 

  37. Pourhassan S, Grotemeyer D, Fokou M, Heinen W, Balzer K, Ramp U, Sandmann W (2007) Extracranial carotid arteries aneurysms in children: single-center experiences in 4 patients and review of the literature. J Pediatr Surg 42:1961–1968. https://doi.org/10.1016/j.jpedsurg.2007.07.052

    Article  PubMed  Google Scholar 

  38. Reisner A, Marshall GS, Bryant K, Postel GC, Eberly SM (1999) Endovascular occlusion of a carotid pseudoaneurysm complicating deep neck space infection in a child. J Neurosurg 91:510–514. https://doi.org/10.3171/jns.1999.91.3.0510

    CAS  Article  PubMed  Google Scholar 

  39. Requejo F, Sierre S, Lipsich J, Zuccaro G (2013) Endovascular treatment of post-pharyngitis internal carotid artery pseudoaneurysm with a covered stent in a child: a case report. Childs Nerv Syst 29:1369–1373. https://doi.org/10.1007/s00381-013-2083-y

    Article  PubMed  Google Scholar 

  40. Robertson F, Platts A (2014) Parent Artery Sacrifice. In: Murphy K, Robertson F (eds) Interventional Neuroradiology. Springer London, London, pp 85–97. https://doi.org/10.1007/978-1-4471-4582-0_7

    Chapter  Google Scholar 

  41. Roos M, Butler I (2016) Extracranial internal carotid artery pseudoaneurysm in a two-year-old child: case report. J Laryngol Otol 130:596–599. https://doi.org/10.1017/S0022215116001109

    CAS  Article  PubMed  Google Scholar 

  42. Ruff MW, Nasr DM, Klaas JP, Renaud DL (2017) Internal carotid artery pseudoaneurysm and ischemic stroke secondary to retropharyngeal and parapharyngeal abscess: a case report and review of the literature. J Child Neurol 32:230–236. https://doi.org/10.1177/0883073816678556

    Article  PubMed  Google Scholar 

  43. Sankararaman S, Velayuthan S, Gonzalez-Toledo E (2012) Internal carotid artery stenosis as the sequela of a pseudoaneurysm after methicillin-resistant Staphylococcus aureus infection. Pediatr Neurol 47:312–314. https://doi.org/10.1016/j.pediatrneurol.2012.06.008

    Article  PubMed  Google Scholar 

  44. Semple CW, Berkowitz RG, Mitchell PJ (2005) Embolization of an extracranial internal carotid artery pseudoaneurysm. Ann Otol Rhinol Laryngol 114:90–94. https://doi.org/10.1177/000348940511400202

    Article  PubMed  Google Scholar 

  45. Tannuri U, De Almeida NM, Piske R, Matsumoto T (2003) Giant pseudoaneurysm of the internal carotid artery causing upper airway obstruction in a 10-month-old infant treated by endovascular occlusion and surgical drainage. J Pediatr Surg 38:1393–1395. https://doi.org/10.1016/S0022-3468%2803%2900404-4

    Article  PubMed  Google Scholar 

  46. Timperman PE, Tomsick TA, Tew JM Jr, van Loveren HR (1995) Aneurysm formation after carotid occlusion. AJNR Am J Neuroradiol 16:329–331

    CAS  PubMed  Google Scholar 

  47. Watson MG, Robertson AS, Colquhoun IR (1991) Pseudoaneurysm of the internal carotid artery: a forgotten complication of tonsillitis? J Laryngol Otol 105:588–590. https://doi.org/10.1017/S002221510011669X

    CAS  Article  PubMed  Google Scholar 

  48. Wells RG, Sty JR (1991) Cervical lymphadenitis complicated by mycotic carotid artery aneurysm. Pediatr Radiol 21:402–403. https://doi.org/10.1007/BF02026669

    CAS  Article  PubMed  Google Scholar 

  49. Willemsen P, De Roover D, Kockx M, Gerard Y (1997) Mycotic common carotid artery aneurysm in an immunosuppressed pediatric patient: case report. J Vasc Surg 25:784–785

    CAS  Article  Google Scholar 

  50. Windfuhr JP (2001) Aneurysm of the internal carotid artery following soft tissue penetration injury. Int J Pediatr Otorhinolaryngol 61:155–159. https://doi.org/10.1016/s0165-5876(01)00557-2

    CAS  Article  PubMed  Google Scholar 

  51. Wolfe SQ, Mueller-Kronast N, Aziz-Sultan MA, Zauner A, Bhatia S (2008) Extracranial carotid artery pseudoaneurysm presenting with embolic stroke in a pediatric patient. Case report. J Neurosurg Pediatr 1:240–243. https://doi.org/10.3171/PED/2008/1/3/240

    Article  PubMed  Google Scholar 

  52. Zhong J, Islim F, Sundararajan S, Tahir N, Goddard T, Patel J (2019) Endovascular treatment of a giant extracranial carotid artery pseudoaneurysm in a child using vascular plugs. Ear Nose Throat J 145561319859308. https://doi.org/10.1177/0145561319859308

Download references

Author information

Affiliations

Authors

Contributions

C.S., S.A.I., J.P.C., R.S.: conception of the work. C.S., S.A.I., J.P.C.: acquisition of the data. C.S., S.A.I., J.P.C., V.S.B., G.B.S., B.A.W., R.S.: analysis and interpretation of the data. C.S., S.A.I., J.P.C.: drafting of the work. J.P.C., V.S.B., G.B.S., B.A.W., R.S.: critically revising the work for intellectual content. C.S., S.A.I., J.P.C., V.S.B., G.B.S., B.A.W., and R.S.: gave approval of the final manuscript and agree to be accountable for all aspects of the work.

Corresponding author

Correspondence to Rafael Sillero.

Ethics declarations

Ethics approval/consent for publication

IRB and informed consent were waived, as no identifiable or protected patient information is disclosed.

Conflict of interest

On behalf of all authors, the corresponding author states that there are no conflicts of interest.

Additional information

Publisher’s note

Springer Nature remains neutral with regard to jurisdictional claims in published maps and institutional affiliations.

Previous/future presentations

This work was submitted as an abstract to the 59th Annual UT Southwestern Medical Student Research Forum. February 2, 2021. Dallas, TX.

Rights and permissions

Reprints and Permissions

About this article

Verify currency and authenticity via CrossMark

Cite this article

Sundarrajan, C., Isa, S.A., Caruso, J.P. et al. Treatment of large infectious extracranial carotid artery pseudoaneurysms in children: a systematic review of the literature. Childs Nerv Syst 37, 1461–1470 (2021). https://doi.org/10.1007/s00381-021-05084-0

Download citation

  • Received:

  • Accepted:

  • Published:

  • Issue Date:

  • DOI: https://doi.org/10.1007/s00381-021-05084-0

Keywords

  • False aneurysm
  • Extracranial
  • Carotid artery
  • Mycotic
  • Endovascular coiling