Skip to main content

Moyamoya angiopathy in PHACE syndrome not associated with RNF213 variants

Abstract

Moyamoya angiopathy is a rare vasculopathy with stenosis and/or occlusion of bilateral intracranial parts of internal carotid arteries and/or proximal parts of middle and anterior cerebral arteries. PHACE syndrome is characterized by large segmental hemangiomas in the cervical-facial region. Both conditions are known to be associated in rare cases. Recently, it was discussed in the literature that RNF213 variants could be etiologically involved in this association. Here, we describe a childhood case with this rare co-occurrence in which we did not identify any rare RNF213 variant. The clinical and genetic backgrounds are discussed.

This is a preview of subscription content, access via your institution.

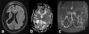
Fig. 1
Fig. 2

References

  1. Haggstrom AN, Garzon MC, Baselga E, Chamlin SL, Frieden IJ, Holland K, Maguiness S, Mancini AJ, McCuaig C, Metry DW, Morel K, Powell J, Perkins SM, Siegel D, Drolet BA (2010) Risk for PHACE syndrome in infants with large facial hemangiomas. Pediatrics 126(2):e418–e426. https://doi.org/10.1542/peds.2009-3166

    Article  PubMed  Google Scholar 

  2. Bayer ML, Frommelt PC, Blei F, Breur JM, Cordisco MR, Frieden IJ, Goddard DS, Holland KE, Krol AL, Maheshwari M, Metry DW, Morel KD, North PE, Pope E, Shieh JT, Southern JF, Wargon O, Siegel DH, Drolet BA (2013) Congenital cardiac, aortic arch, and vascular bed anomalies in PHACE syndrome (from the international PHACE syndrome registry). Am J Cardiol 112(12):1948–1952. https://doi.org/10.1016/j.amjcard.2013.08.025

    Article  PubMed  PubMed Central  Google Scholar 

  3. Siegel DH, Tefft KA, Kelly T, Johnson C, Metry D, Burrows P, Pope E, Cordisco M, Holland KE, Maheshwari M, Keith P, Garzon M, Hess C, Frieden IJ, Fullerton HJ, Drolet BA (2012) Stroke in children with posterior fossa brain malformations, hemangiomas, arterial anomalies, coarctation of the aorta and cardiac defects, and eye abnormalities (PHACE) syndrome: a systematic review of the literature. Stroke 43(6):1672–1674. https://doi.org/10.1161/STROKEAHA.112.650952

    Article  PubMed  Google Scholar 

  4. Park YS, An HJ, Kim JO, Kim WS, Han IB, Kim OJ, Kim NK, Kim DS (2017) The role of RNF213 4810G>A and 4950G>A variants in patients with moyamoya disease in Korea. Int J Mol Sci 18(11). https://doi.org/10.3390/ijms18112477

  5. Matsuda Y, Mineharu Y, Kimura M, Takagi Y, Kobayashi H, Hitomi T, Harada KH, Uchihashi Y, Funaki T, Miyamoto S, Koizumi A (2017) RNF213 p.R4810K variant and intracranial arterial stenosis or occlusion in relatives of patients with moyamoya disease. J Stroke Cerebrovasc Dis 26(8):1841–1847. https://doi.org/10.1016/j.jstrokecerebrovasdis.2017.04.019

    Article  PubMed  Google Scholar 

  6. Cao Y, Kobayashi H, Morimoto T, Kabata R, Harada KH, Koizumi A (2016) Frequency of RNF213 p.R4810K, a susceptibility variant for moyamoya disease, and health characteristics of carriers in the Japanese population. Environ Health Prev Med 21(5):387–390. https://doi.org/10.1007/s12199-016-0549-8

    Article  CAS  PubMed  PubMed Central  Google Scholar 

  7. Liao X, Deng J, Dai W, Zhang T, Yan J (2017) Rare variants of RNF213 and moyamoya/non-moyamoya intracranial artery stenosis/occlusion disease risk: a meta-analysis and systematic review. Environ Health Prev Med 22(1):75. https://doi.org/10.1186/s12199-017-0680-1

    Article  CAS  PubMed  PubMed Central  Google Scholar 

  8. Liu W, Senevirathna ST, Hitomi T, Kobayashi H, Roder C, Herzig R, Kraemer M, Voormolen MH, Cahova P, Krischek B, Koizumi A (2013) Genomewide association study identifies no major founder variant in Caucasian moyamoya disease. J Genet 92(3):605–609

    Article  PubMed  Google Scholar 

  9. Grangeon L, Schwitalla JC, Bergametti F, Arnould M, Corpechot M, Hadjadj J, Riant F, Aloui C, Drunat S, Vidaud D, Tournier-Lasserve E, Kraemer M (2019) Clinical and molecular features of 5 European multigenerational families with moyamoya angiopathy. Stroke 50. https://doi.org/10.1161/STROKEAHA.118.023972

  10. Guey S, Kraemer M, Herve D, Ludwig T, Kossorotoff M, Bergametti F, Schwitalla JC, Choi S, Broseus L, Callebaut I, Genin E, Tournier-Lasserve E, consortium F (2017) Rare RNF213 variants in the C-terminal region encompassing the RING-finger domain are associated with moyamoya angiopathy in Caucasians. Eur J Hum Genet 25(8):995–1003. https://doi.org/10.1038/ejhg.2017.92

    Article  CAS  PubMed  PubMed Central  Google Scholar 

  11. Kobayashi H, Brozman M, Kyselova K, Viszlayova D, Morimoto T, Roubec M, Skoloudik D, Petrovicova A, Juskanic D, Strauss J, Halaj M, Kurray P, Hranai M, Harada KH, Inoue S, Yoshida Y, Habu T, Herzig R, Youssefian S, Koizumi A (2016) RNF213 rare variants in Slovakian and Czech moyamoya disease patients. PLoS One 11(10):e0164759. https://doi.org/10.1371/journal.pone.0164759

    Article  CAS  PubMed  PubMed Central  Google Scholar 

  12. Cecchi AC, Guo D, Ren Z, Flynn K, Santos-Cortez RL, Leal SM, Wang GT, Regalado ES, Steinberg GK, Shendure J, Bamshad MJ, University of Washington Center for Mendelian G, Grotta JC, Nickerson DA, Pannu H, Milewicz DM (2014) RNF213 rare variants in an ethnically diverse population with moyamoya disease. Stroke 45(11):3200–3207. https://doi.org/10.1161/STROKEAHA.114.006244

    Article  PubMed  PubMed Central  Google Scholar 

  13. Sathishkumar D, George R, Irodi A, Thomas M (2013) PHACES syndrome with moyamoya vasculopathy - a case report. Dermatol Online J 19(8):19271

    PubMed  Google Scholar 

  14. Pascual-Castroviejo I, Viano J, Pascual-Pascual SI, Quinones D (2009) Congenital and evolving vascular disorders associated with cutaneous hemangiomas: case report. Neuropediatrics 40(3):148–151. https://doi.org/10.1055/s-0029-1239507

    Article  CAS  PubMed  Google Scholar 

  15. Schilter KF, Steiner JE, Demos W, Maheshwari M, Prokop JW, Worthey E, Drolet BA, Siegel DH (2017) RNF213 variants in a child with PHACE syndrome and moyamoya vasculopathy. Am J Med Genet A 173(9):2557–2561. https://doi.org/10.1002/ajmg.a.38258

    Article  CAS  PubMed  PubMed Central  Google Scholar 

  16. Rotter A, Samorano LP, Rivitti-Machado MC, Oliveira ZNP, Gontijo B (2018) PHACE syndrome: clinical manifestations, diagnostic criteria, and management. An Bras Dermatol 93(3):405–411. https://doi.org/10.1590/abd1806-4841.20187693

    Article  PubMed  PubMed Central  Google Scholar 

  17. Metry D, Heyer G, Hess C, Garzon M, Haggstrom A, Frommelt P, Adams D, Siegel D, Hall K, Powell J, Frieden I, Drolet B (2009) Conference PSR (2009) consensus statement on diagnostic criteria for PHACE syndrome. Pediatrics 124(5):1447–1456. https://doi.org/10.1542/peds.2009-0082

    Article  PubMed  Google Scholar 

  18. Tortora D, Severino M, Accogli A, Martinetti C, Vercellino N, Capra V, Rossi A, Pavanello M (2017) Moyamoya vasculopathy in PHACE syndrome: six new cases and review of the literature. World Neurosurg 108:291–302. https://doi.org/10.1016/j.wneu.2017.08.176

    Article  PubMed  Google Scholar 

  19. Jernigan S, Storey A, Hammer C, Riordan C, Orbach DB, Scott RM, Smith E (2019) Moyamoya syndrome and PHACE syndrome: clinical and radiographic characterization of the intracranial arteriopathy and response to surgical revascularization. J Neurosurg Pediatr:1–5. https://doi.org/10.3171/2018.10.PEDS18582

  20. Jack AS, Chow MM, Fiorillo L, Chibuk T, Yager JY, Mehta V (2016) Bilateral pial synangiosis in a child with PHACE syndrome. J Neurosurg Pediatr 17(1):70–75. https://doi.org/10.3171/2015.5.PEDS1578

    Article  PubMed  Google Scholar 

  21. Heyer GL, Dowling MM, Licht DJ, Tay SK, Morel K, Garzon MC, Meyers P (2008) The cerebral vasculopathy of PHACES syndrome. Stroke 39(2):308–316. https://doi.org/10.1161/STROKEAHA.107.485185

    Article  PubMed  Google Scholar 

  22. Heyer GL, Millar WS, Ghatan S, Garzon MC (2006) The neurologic aspects of PHACE: case report and review of the literature. Pediatr Neurol 35(6):419–424. https://doi.org/10.1016/j.pediatrneurol.2006.06.021

    Article  PubMed  Google Scholar 

  23. Drolet BA, Dohil M, Golomb MR, Wells R, Murowski L, Tamburro J, Sty J, Friedlander SF (2006) Early stroke and cerebral vasculopathy in children with facial hemangiomas and PHACE association. Pediatrics 117(3):959–964. https://doi.org/10.1542/peds.2005-1683

    Article  PubMed  Google Scholar 

  24. Bhattacharya JJ, Luo CB, Alvarez H, Rodesch G, Pongpech S, Lasjaunias PL (2004) PHACES syndrome: a review of eight previously unreported cases with late arterial occlusions. Neuroradiology 46(3):227–233. https://doi.org/10.1007/s00234-002-0902-z

    Article  CAS  PubMed  Google Scholar 

  25. Burrows PE, Robertson RL, Mulliken JB, Beardsley DS, Chaloupka JC, Ezekowitz RA, Scott RM (1998) Cerebral vasculopathy and neurologic sequelae in infants with cervicofacial hemangioma: report of eight patients. Radiology 207(3):601–607. https://doi.org/10.1148/radiology.207.3.9609880

    Article  CAS  PubMed  Google Scholar 

  26. Hess CP, Fullerton HJ, Metry DW, Drolet BA, Siegel DH, Auguste KI, Gupta N, Haggstrom AN, Dowd CF, Frieden IJ, Barkovich AJ (2010) Cervical and intracranial arterial anomalies in 70 patients with PHACE syndrome. AJNR Am J Neuroradiol 31(10):1980–1986. https://doi.org/10.3174/ajnr.A2206

  27. Garzon MC, Epstein LG, Heyer GL, Frommelt PC, Orbach DB, Baylis AL, Blei F, Burrows PE, Chamlin SL, Chun RH, Hess CP, Joachim S, Johnson K, Kim W, Liang MG, Maheshwari M, McCoy GN, Metry DW, Monrad PA, Pope E, Powell J, Shwayder TA, Siegel DH, Tollefson MM, Vadivelu S, Lew SM, Frieden IJ, Drolet BA (2016) PHACE syndrome: consensus-derived diagnosis and care recommendations. J Pediatr 178:24–33 e22. https://doi.org/10.1016/j.jpeds.2016.07.054

    Article  PubMed  PubMed Central  Google Scholar 

  28. Morimoto T, Mineharu Y, Kobayashi H, Harada KH, Funaki T, Takagi Y, Sakai N, Miyamoto S, Koizumi A (2016) Significant association of the RNF213 p.R4810K polymorphism with quasi-moyamoya disease. J Stroke Cerebrovasc Dis 25(11):2632–2636. https://doi.org/10.1016/j.jstrokecerebrovasdis.2016.07.004

    Article  PubMed  Google Scholar 

  29. Phi JH, Choi JW, Seong MW, Kim T, Moon YJ, Lee J, Koh EJ, Ryu SK, Kang TH, Bang JS, Oh CW, Park SS, Lee JY, Wang KC, Kim SK (2016) Association between moyamoya syndrome and the RNF213 c.14576G>A variant in patients with neurofibromatosis Type 1. J Neurosurg Pediatr 17(6):717–722. https://doi.org/10.3171/2015.10.PEDS15537

    Article  PubMed  Google Scholar 

Download references

Acknowledgements

The authors thank the patient for participating. We especially thank Elisabeth Tournier-Lasserve, MD, Paris, for important help and fruitful discussions.

Author information

Affiliations

Authors

Corresponding author

Correspondence to Markus Kraemer.

Ethics declarations

The study was approved by the Ethics Committee of the University of Duisburg-Essen. The participant gave her written informed consent in order to publish the results and use her photos for publication.

Conflict of interest

The authors declare that they have no conflict of interest.

Additional information

Publisher’s note

Springer Nature remains neutral with regard to jurisdictional claims in published maps and institutional affiliations.

Rights and permissions

Reprints and Permissions

About this article

Verify currency and authenticity via CrossMark

Cite this article

Hadisurya, J., Guey, S., Grangeon, L. et al. Moyamoya angiopathy in PHACE syndrome not associated with RNF213 variants. Childs Nerv Syst 35, 1231–1237 (2019). https://doi.org/10.1007/s00381-019-04145-9

Download citation

  • Received:

  • Accepted:

  • Published:

  • Issue Date:

  • DOI: https://doi.org/10.1007/s00381-019-04145-9

Keywords

  • PHACE
  • Moyamoya angiopathy
  • Rare RNF 213 variants