Skip to main content

A rare clinical presentation: a pleomorphic xanthoastrocytoma presenting with intracerebral haemorrhage and metastasizing vigorously—case report and review of the literature

Abstract

Metastasis of an intracranial tumour is not a common situation in our daily neurosurgical practice. Pleomorphic xanthoastrocytoma is also a rare glial tumour with relatively a favourable prognosis among other CNS pathologies. Here, we present an anaplastic pleomorphic xanthoastrocytoma case which shows both haematogenous and lymphatic metastasis which is described first time in the up-to-date literature. Our case is a 17-year-old male operated for a right occipital intra-axial lesion with a diagnosis of anaplastic pleomorphic xanthoastrocytoma which recurs 5 years later and metastasize vigorously through haematogenous and lymphatic routes. A rare-presenting symptom for this pathology is also intracerebral haemorrhage. This is the ninth case report in the literature which presents initially with this entity.

This is a preview of subscription content, access via your institution.

Fig. 1
Fig. 2
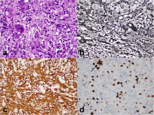
Fig. 3
Fig. 4
Fig. 5

References

  1. Perkins SM, Mitra N, Fei W, Shinohara ET (2012) Patterns of care and outcomes of patients with pleomorphic xanthoastrocytoma: a SEER analysis. J Neuro-Oncol 110:99–104

    Article  Google Scholar 

  2. Kepes JJ, Rubinstein LJ, Eng LF (1979) Pleomorphic xanthoastrocytoma: a distinctive meningocerebral glioma of young subjects with relatively favorable prognosis. A study of 12 cases. Cancer 44:1839–1852

    Article  CAS  PubMed  Google Scholar 

  3. Ozek MM, Sav A, Pamir MN, Ozer AF, Ozek E, Erzen C (1993) Pleomorphic xanthoastrocytoma associated with von Recklinghausen neurofibromatosis. Child’s Nervous System : ChNS : Official J Int Soc Pediatric Neurosurgery 9:39–42

    Article  CAS  Google Scholar 

  4. Rao AA, Laack NN, Giannini C, Wetmore C (2010) Pleomorphic xanthoastrocytoma in children and adolescents. Pediatr Blood Cancer 55:290–294

    Article  PubMed  Google Scholar 

  5. David N. Louis HO, Otmar D. Wiestler, Webster K. Cavenee (2016) WHO classification of tumours of the central nervous system (Revised 4th edition) International Agency for Research On Cancer, Lyon

  6. Foo J, Ng WH (2011) Metastatic pleomorphic xanthoastrocytoma in the scalp. J Clinical Neuroscience : Official J Neurosurgical Soc Australasia 18:565–567

    Article  Google Scholar 

  7. Oz G, Alger JR, Barker PB, Bartha R, Bizzi A, Boesch C, Bolan PJ, Brindle KM, Cudalbu C, Dincer A, Dydak U, Emir UE, Frahm J, Gonzalez RG, Gruber S, Gruetter R, Gupta RK, Heerschap A, Henning A, Hetherington HP, Howe FA, Huppi PS, Hurd RE, Kantarci K, Klomp DW, Kreis R, Kruiskamp MJ, Leach MO, Lin AP, Luijten PR, Marjanska M, Maudsley AA, Meyerhoff DJ, Mountford CE, Nelson SJ, Pamir MN, Pan JW, Peet AC, Poptani H, Posse S, Pouwels PJ, Ratai EM, Ross BD, Scheenen TW, Schuster C, Smith IC, Soher BJ, Tkac I, Vigneron DB, Kauppinen RA, Group MRSC (2014) Clinical proton MR spectroscopy in central nervous system disorders. Radiology 270:658–679

    Article  PubMed  PubMed Central  Google Scholar 

  8. Fouladi M, Jenkins J, Burger P, Langston J, Merchant T, Heideman R, Thompson S, Sanford A, Kun L, Gajjar A (2001) Pleomorphic xanthoastrocytoma: favorable outcome after complete surgical resection. Neuro-Oncology 3:184–192

    Article  CAS  PubMed  PubMed Central  Google Scholar 

  9. Giannini C, Scheithauer BW, Burger PC, Brat DJ, Wollan PC, Lach B, O’Neill BP (1999) Pleomorphic xanthoastrocytoma: what do we really know about it? Cancer 85:2033–2045

    Article  CAS  PubMed  Google Scholar 

  10. Gaskill SJ, Marlin AE, Saldivar V (1988) Glioblastoma multiforme masquerading as a pleomorphic xanthoastrocytoma. Child’s nervous system : ChNS : official J Int Soc Pediatric Neurosurgery 4:237–240

    Article  CAS  Google Scholar 

  11. Tonn JC, Paulus W, Warmuth-Metz M, Schachenmayr W, Sorensen N, Roosen K (1997) Pleomorphic xanthoastrocytoma: report of six cases with special consideration of diagnostic and therapeutic pitfalls. Surg Neurol 47:162–169

    Article  CAS  PubMed  Google Scholar 

  12. Chakrabarty A, Mitchell P, Bridges LR, Franks AJ (1999) Malignant transformation in pleomorphic xanthoastrocytoma--a report of two cases. Br J Neurosurg 13:516–519

    CAS  PubMed  Google Scholar 

  13. Marton E, Feletti A, Orvieto E, Longatti P (2007) Malignant progression in pleomorphic xanthoastrocytoma: personal experience and review of the literature. J Neurol Sci 252:144–153

    Article  PubMed  Google Scholar 

  14. Benjamin C, Faustin A, Snuderl M, Pacione D (2015) Anaplastic pleomorphic xanthoastrocytoma with spinal leptomeningeal spread at the time of diagnosis in an adult. J Clinical Neuroscience : Official J Neurosurgical Soc Australasia 22:1370–1373

    Article  Google Scholar 

  15. Gallo P, Cecchi PC, Locatelli F, Rizzo P, Ghimenton C, Gerosa M, Pinna G (2013) Pleomorphic xanthoastrocytoma: long-term results of surgical treatment and analysis of prognostic factors. Br J Neurosurg 27:759–764

    Article  PubMed  Google Scholar 

  16. Marucci G, Morandi L (2011) Assessment of MGMT promoter methylation status in pleomorphic xanthoastrocytoma. J Neuro-Oncol 105:397–400

    Article  CAS  Google Scholar 

  17. Asano K, Miyamoto S, Kubo O, Kikkukawa T, Yagihashi A, Ohkuma H (2006) A case of anaplastic pleomorphic xanthoastrocytoma presenting with tumor bleeding and cerebrospinal fluid dissemination. Brain Tumor Pathology 23:55–63

    Article  PubMed  Google Scholar 

  18. Yoshikawa G, Kawamoto S, Yakou K, Tsutsumi K (2010) Massive intracranial hemorrhage associated with pleomorphic xanthoastrocytoma--case report. Neurol Med Chir 50:220–223

    Article  Google Scholar 

  19. Wind JJ, Kerr PB, Sweet JA, Deshmukh VR (2009) Pleomorphic xanthoastrocytoma presenting with life-threatening hemorrhage in a child. J Neurosurg Pediatr 3:157–159

    Article  PubMed  Google Scholar 

  20. Lee DK, Cho KT, Im SH, Hong SK (2007) Pleomorphic xanthoastrocytoma with an intracystic hemorrhage : a case report and literature review. J Korean Neurosurgical Soc 42:410–412

    Article  Google Scholar 

  21. Abe T, Inoue R, Isono M, Ishii K, Fujiki M, Kamida T, Kobayashi H, Kashima K, Kusakabe T, Nakazato Y (2006) Benign pleomorphic astrocytoma in the hypothalamus--case report. Neurol Med Chir 46:101–103

    Article  Google Scholar 

  22. Yoshida D, Kogiku M, Noha M, Takahashi H, Teramoto A (2005) A case of pleomorphic xanthoastrocytoma presenting with massive tumoral hemorrhage. J Neuro-Oncol 71:169–171

    Article  CAS  Google Scholar 

  23. Levy RA, Allen R, McKeever P (1996) Pleomorphic xanthoastrocytoma presenting with massive intracranial hemorrhage. AJNR Am J Neuroradiol 17:154–156

    CAS  PubMed  Google Scholar 

  24. Lim S, Kim JH, Kim SA, Park ES, Ra YS, Kim CJ (2013) Prognostic factors and therapeutic outcomes in 22 patients with pleomorphic xanthoastrocytoma. J Korean Neurosurgical Soc 53:281–287

    Article  Google Scholar 

  25. Binesh F, Akhavan A, Navabii H (2012) Pleomorphic xanthoastrocytoma with malignant transformation and multiple recurrences in an Iranian girl. BMJ Case Reports 2012:bcr1220115372

  26. Vu TM, Liubinas SV, Gonzales M, Drummond KJ (2012) Malignant potential of pleomorphic xanthoastrocytoma. J Clinical Neuroscience : Official J Neurosurgical Soc Australasia 19:12–20

    Article  Google Scholar 

  27. Alexiou GA, Moschovi M, Stefanaki K, Prodromou C, Sfakianos G, Prodromou N (2010) Malignant progression of a pleomorphic xanthoastrocytoma in a child. Neuropediatrics 41:69–71

    Article  CAS  PubMed  Google Scholar 

  28. Hegi ME, Diserens AC, Gorlia T, Hamou MF, de Tribolet N, Weller M, Kros JM, Hainfellner JA, Mason W, Mariani L, Bromberg JE, Hau P, Mirimanoff RO, Cairncross JG, Janzer RC, Stupp R (2005) MGMT gene silencing and benefit from temozolomide in glioblastoma. N Engl J Med 352:997–1003

    Article  CAS  Google Scholar 

  29. Weldon-Linne CM, Victor TA, Groothuis DR, Vick NA (1983) Pleomorphic xanthoastrocytoma. Ultrastructural and immunohistochemical study of a case with a rapidly fatal outcome following surgery. Cancer 52:2055–2063

    Article  CAS  PubMed  Google Scholar 

  30. Kepes JJ, Rubinstein LJ, Ansbacher L, Schreiber DJ (1989) Histopathological features of recurrent pleomorphic xanthoastrocytomas: further corroboration of the glial nature of this neoplasm. A study of 3 cases. Acta Neuropathologica 78:585–593

    Article  CAS  PubMed  Google Scholar 

  31. Allegranza A, Ferraresi S, Bruzzone M, Giombini S (1991) Cerebromeningeal pleomorphic xanthoastrocytoma. Report on four cases: clinical, radiologic and pathological features. (including a case with malignant evolution). Neurosurg Rev 14:43–49

    CAS  PubMed  Google Scholar 

  32. Macaulay RJ, Jay V, Hoffman HJ, Becker LE (1993) Increased mitotic activity as a negative prognostic indicator in pleomorphic xanthoastrocytoma. Case report. J Neurosurgery 79:761–768

    Article  CAS  Google Scholar 

  33. van Roost D, Kristof R, Zentner J, Wolf HK, Schramm J (1996) Clinical, radiological, and therapeutic features of pleomorphic xanthoastrocytoma: report of three patients and review of the literature. J Neurol Neurosurg Psychiatry 60:690–692

    Article  PubMed  PubMed Central  Google Scholar 

  34. Bayindir C, Balak N, Karasu A, Kasaroglu D (1997) Anaplastic pleomorphic xanthoastrocytoma. Child’s Nervous System : ChNS : Official J Int Soc Pediatric Neurosurgery 13:50–56

    Article  CAS  Google Scholar 

  35. Charbel FT (1998) Pleomorphic xanthoastrocytoma with malignant progression. Surg Neurol 50:385–386

    Article  CAS  PubMed  Google Scholar 

  36. Leonard N, Alcutt DA, Farrell MA (1998) Fatal pleomorphic xanthoastrocytoma with meningeal gliomatosis. Histopathology 32:375–378

    Article  CAS  PubMed  Google Scholar 

  37. Prayson RA, Morris HH 3rd (1998) Anaplastic pleomorphic xanthoastrocytoma. Archives Pathology Laboratory Medicine 122:1082–1086

    CAS  Google Scholar 

  38. de Tella OI Jr, Herculano MA, Prandini MN, Stavale JN, Aguiar PH (2003) Malignant transformation of pleomorphic xanthoastrocytoma: case report. Arq Neuropsiquiatr 61:104–106

    Article  PubMed  Google Scholar 

  39. Klein O, Grignon Y, Pinelli C, Civit T, Auque J, Marchal JC (2004) Pleomorphic xanthoastrocytoma. A review of five observations. Neuro-Chirurgie 50:515–520

    Article  CAS  PubMed  Google Scholar 

  40. Tan TC, Ho LC, Yu CP, Cheung FC (2004) Pleomorphic xanthoastrocytoma: report of two cases and review of the prognostic factors. J Clinical Neuroscience : official J Neurosurgical Soc Australasia 11:203–207

    Article  Google Scholar 

  41. Saikali S, Le Strat A, Heckly A, Stock N, Scarabin JM, Hamlat A (2005) Multicentric pleomorphic xanthoastrocytoma in a patient with neurofibromatosis type 1. Case report and review of the literature. J Neurosurg 102:376–381

    Article  PubMed  Google Scholar 

  42. Nakajima T, Kumabe T, Shamoto H, Watanabe M, Suzuki H, Tominaga T (2006) Malignant transformation of pleomorphic xanthoastrocytoma. Acta Neurochir 148:67–71 discussion 71

    Article  CAS  PubMed  Google Scholar 

  43. Rodriguez-Mena R, Joanes-Alepuz V, Barbella-Aponte R, Perez-Valles A (2012) Pleomorphic xanthoastrocytoma with intraventricular extension and anaplastic transformation in an adult patient: case report. Neurocirugia 23:203–210

    Article  PubMed  Google Scholar 

  44. Frank S, Cordier D, Tolnay M, Rosenblum MK (2009) A 28-year-old man with headache, visual and aphasic speech disturbances. Brain Pathology 19:163–166

    Article  PubMed  Google Scholar 

  45. Harada S, Fallon KB, Reddy A, Nabors LB (2014) Molecular pathology: SC18-1 interesting case - actionable mutation in a case with a recurrent pleomorphic xanthoastrocytoma with anaplastic features. Pathology 46(Suppl 2):S28–S29

    Google Scholar 

  46. Tanaka S, Nakada M, Nobusawa S, Suzuki SO, Sabit H, Miyashita K, Hayashi Y (2014) Epithelioid glioblastoma arising from pleomorphic xanthoastrocytoma with the BRAF V600E mutation. Brain Tumor Pathology 31:172–176

    Article  PubMed  Google Scholar 

Download references

Acknowledgments

The authors thank Mrs. Özlem Yapıcıer, MD for her contribution for editing figures and details related to pathological headings.

Author information

Affiliations

Authors

Corresponding author

Correspondence to Gülden Demirci Otluoğlu.

Ethics declarations

Conflict of interest

The authors declare that they have no conflict of interest.

Rights and permissions

Reprints and Permissions

About this article

Verify currency and authenticity via CrossMark

Cite this article

Demirci Otluoğlu, G., Özek, M.M. A rare clinical presentation: a pleomorphic xanthoastrocytoma presenting with intracerebral haemorrhage and metastasizing vigorously—case report and review of the literature. Childs Nerv Syst 35, 355–362 (2019). https://doi.org/10.1007/s00381-018-3960-1

Download citation

  • Received:

  • Accepted:

  • Published:

  • Issue Date:

  • DOI: https://doi.org/10.1007/s00381-018-3960-1

Keywords

  • Pleomorphic xanthoastrocytoma
  • Haemorrhage
  • Anaplastic PXA
  • Lesion