Skip to main content

Imaging findings in congenital Zika virus infection syndrome: an update

Abstract

Background

Zika virus (ZIKV) is a neurotropic and neurotoxic RNA Flavivirus prompt to cause severe fetal brain dysmorphisms during pregnancy, a period of rapid and critical central nervous system development. A wide range of clinico-radiological findings of congenital ZIKV infections were reported in the literature, such as microcephaly, overlapping sutures, cortical migrational and corpus callosum abnormalities, intracranial calcifications, ventriculomegaly, brain stem and cerebellar malformations, spinal cord involvement, and joint contractures. ZIKV is also related to other severe neurological manifestations in grown-up individuals such as Guillain-Barré syndrome and encephalomyelitis.

Purpose

Our purpose is to review the radiological central nervous system abnormalities of congenital ZIKV infection syndrome on different imaging modalities.

This is a preview of subscription content, access via your institution.

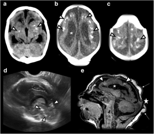
Fig. 1
Fig. 2
Fig. 3
Fig. 4
Fig. 5

References

  1. Carvalho NS, Carvalho BF, Dóris B, Biscaia ES, Fugaça CA, Noronha L (2017) Zika virus and pregnancy: an overview. Am J Reprod Immunol 77(2):e12616. https://doi.org/10.1111/aji.12616.

    Article  Google Scholar 

  2. Garcez PP, Loiola EC, Costa RM, Higa LM, Trindade P, Delvecchio R, Nascimento JM, Brindeiro R, Tanuri A, Rehen SK (2016) Zika virus impairs growth in human neurospheres and brain organoids. Science 352(6287):816–818

    CAS  Article  PubMed  Google Scholar 

  3. Garcez PP, Nascimento JM, de Vasconcellos JM, Madeiro da Costa R, Delvecchio R, Trindade P, Loiola EC, Higa LM, Cassoli JS, Vitória G, Sequeira PC, Sochacki J, Aguiar RS, Fuzii HT, de Filippis AM, da Silva Gonçalves Vianez JL Jr, Tanuri A, Martins-de-Souza D, Rehen SK (2017) Zika virus disrupts molecular fingerprinting of human neurospheres. Sci Rep; published online. https://doi.org/10.1038/srep40780

  4. Mehrjardi MZ, Keshavarz E, Poretti A, Hazin AH (2016) Neuroimaging findings of Zika virus infection. A review article. Jpn J Radiol 34(12):765–770

    Article  Google Scholar 

  5. Li H, Saucedo-Cuevas L, Shresta S, Gleeson JG (2016) The neurobiology of Zika virus. Neuron 92(5):949–958

    CAS  Article  PubMed  Google Scholar 

  6. Driggers RW, Ho CY, Korkonen EM, Kuivanen S, Jääskeläinen AJ, Smura T, Rosenberg A, Hill AH, DeBiasi RL, Vezina G, Timofeev J, Rodriguez FJ, Levanov L, Razak J, Iyengar P, Hennenfent A, Kennedy R, Lanciotti R, du Plessis A, Vapalahti O (2016) Zika virus infection with prolonged maternal viremia and fetal brain abnormalities. N Engl J Med 374(22):2142–2151

    CAS  Article  PubMed  Google Scholar 

  7. Melo ASO, Aguiar RS, Amorim MMR, Arruda MB, Melo FO, Ribeiro STC, Batista AGM, Ferreira T, Santos MPS, Sampaio VV, Moura SEM, Rabello LP, Gonzaga CE, Malinger G, Ximenes R, Oliveira-Szejnfeld OS, Tovar-Moll F, Chimelli L, Silveira PP, Delvechio R, Higa L, Campanati L, Nogueira RMR, Filippis AMB, Szejnfeld J, Voloch CM, Ferreira OC Jr, Brindeiro RM, Tanuri A (2016) Congenital Zika virus infection: beyond neonatal microcephaly. JAMA Neurol 73(12):1407–1416

    Article  PubMed  Google Scholar 

  8. Martines RB, Bhatnagar J, Ramos AMO, Davi HPF, Iglezias DAS, Kanamura CT, Keating MK, Hale G, Silva-Flannery L, Muehlenbachs A, Ritter J, Gary J, Rollin D, Goldsmith CS, Reagan-Steiner S, Ermias Y, Suzuki T, Luz KG, Oliveira WK, Lanciotti R, Lambert A, Shieh WJ, Zaki SR (2016) Pathology of congenital Zika syndrome in Brazil: a case series. Lancet 388(10047):898–904

    CAS  Article  PubMed  Google Scholar 

  9. França GV, Schuler-Faccini L, Oliveira WK, Henriques CM, Carmo EH, Pedi VD, Nunes ML, Castro MC, Serruya S, Silveira MF, Barros FC, Victoria CG (2016) Congenital Zika virus syndrome in Brazil: a case series of the first 1501 livebirths with complete investigation. Lancet 388(10047):891–897

    Article  PubMed  Google Scholar 

  10. Martines RB, Bhatnagar J, Keating MK, Silva-Flannery L, Muehlenbachs A, Gary J, Goldsmith C, Hale G, Ritter J, Rollin D, Shieh WJ, Luz KG, Ramos AMO, Davi HPF, Oliveira WK, Lanciotti R, Lambert A, Zaki S (2016) Notes from the field: evidence of Zika virus infection in brain and placental tissues from two congenitally infected newborns and two fetal losses—Brazil, 2015. MMWR Morb MortalWkly Rep 65(6):159–160

    Article  Google Scholar 

  11. Shastry S, Koenig KL, Hirshon JM (2016) Zika virus: critical information for emergency providers. Emerg Med Clin North Am 34(3):e25–e37

    Article  PubMed  Google Scholar 

  12. Mlakar J, Korva M, Tul N, Popović M, Poljšak-Prijatelj M, Mraz J, Kolenc M, Rus KR, Vipotnik TV, Vodušek VF, Vizjak A, Pižem J, Petrovec M, Županc TA (2016) Zika virus associated with microcephaly. N Engl J Med 374(10):951–958

    CAS  Article  PubMed  Google Scholar 

  13. Oliveira-Szejnfeld OS, Levine D, Melo ASO, Amorim MMR, Batista AG, Chimelli L, Tanuri A, Aguiar RS, Malinger G, Ximenes R, Robertson R, Szejnfeld J, Tovar-Moll F (2016) Congenital brain abnormalities and Zika virus: what the radiologist can expect to see prenatally and postnatally. Radiology 281(1):203–218

    Article  Google Scholar 

  14. Calvet G, Aguiar RS, Melo ASO, Sampaio SA, de Filippis I, Fabri A, Araujo ESM, de Sequeira PC, de Mendonça MCL, de Oliveira L, Tschoeke DA, Schrago CG, Thompson FL, Brasil P, Dos Santos FB, Nogueira RMR, Tanuri A, de Filippis AMB (2016) Detection and sequencing of Zika virus from amniotic fluid of fetuses with microcephaly in Brazil: a case study. Lancet Infect Dis 16(6):653–660

    Article  PubMed  Google Scholar 

  15. Schwatz DA (2017) Viral infection, proliferation, and hyperplasia of Hofbauer cells and absence of inflammation characterize the placental pathology of fetuses with congenital Zika virus infection. Arch Gynecol Obstet 295:1361–1368

    Article  Google Scholar 

  16. Sarno M, Sacramento GA, Khouri R, Rosário MS, Costa F, Archanjo G, Santos LA, Nery N Jr, Vasilakis N, Ko AI, Almeida ARP (2016) Zika virus infection and stillbirths: a case of hydrops fetalis, hydranencephaly and fetal demise. PLoS Negl Trop Dis 10(2):e0004517

    Article  PubMed  PubMed Central  Google Scholar 

  17. Chimelli L, Melo ASO, Avvad-Portari E, Wiley CA, Camacho AHS, Lopes VS, Machado HN, Andrade CV, Dock DCA, Moreira ME, Tovar-Moll F, Oliveira-Szejnfeld OS, Carvalho ACG, Ugarte ON, Batista AGM, Amorim MMR, Melo FO, Ferreira TA, Marinho JRL, Azevedo GS, Leal JIBF, Costa RFM, Rehen S, Arruda MB, Brindeiro RM, Delvechio R, Aguiar RS, Tanuri A (2017) The spectrum of neuropathological changes associated with congenital Zika virus infection. Acta Neuropathol 133(6):983–999

    CAS  Article  PubMed  Google Scholar 

  18. Eppes C, Rac M, Dunn J, Versalovic J, Murray KO, Suter MA, Sanz Cortes M, Espinoza J, Seferovic MD, Lee W, Hotez P, Mastrobattista J, Clark SL, Belfort MA, Aagaard KM (2017) Testing for Zika virus infection in pregnancy: key concepts to deal with an emerging epidemic. Am J Obstet Gynecol 216(3):209–225

    Article  PubMed  Google Scholar 

  19. Zacharias N, Whitty J, Noblin S, Tsakiri S, Garcia J, Covinsky M, Bhattacharjee M, Saulino D, Tatevian N, Blackwell S (2017) First neonatal demise with travel-associated Zika virus infection in the United States of America. AJP Rep 7(2):e68–e73

    Article  PubMed  PubMed Central  Google Scholar 

  20. Schaub B, Gueneret M, Jolivet E, Decatrelle V, Yazza S, Gueye H, Monthieux A, Juve ML, Gautier M, Najioullah F, Vouga M, Voluménie JL, Baud D (2017) Ultrasound imaging for identification of cerebral damage in congenital Zika virus syndrome: a case series. Lancet Child Adolesc Health 1:45–55

    Article  Google Scholar 

  21. Cordeiro MT, Pena LJ, Brito CA, Gil LH, Marques ET (2016) Positive IgM for Zika virus in the cerebrospinal fluid of 30 neonates with microcephaly in Brazil. Lancet 387(10030):1811–1812

    Article  PubMed  Google Scholar 

  22. Johansson MA, Mier-y-Teran-Romero I, Reefhuis J, Gilboa SM, Hills SI (2016) Zika and the risk of microcephaly. N Engl J Med 375(1):1–4

    Article  PubMed  PubMed Central  Google Scholar 

  23. Guillemette-Artur P, Besnard M, Eyrolle-Guignot D, Jouannic JM, Garel C (2016) Prenatal brain MRI of fetuses with Zika virus infection. Pediatr Radiol 46(7):1032–1039

    Article  PubMed  Google Scholar 

  24. Bhat V, Bhat V (2014) Neonatal neurosonography: a pictorial essay. Indian J Radiol Imaging 24(4):389–400

    Article  PubMed  PubMed Central  Google Scholar 

  25. Aragão MFVV (2017) Zika in focus. Postnatal Clinical, Laboratorial and Radiological Aspects. Springer International Publishing AG. https://doi.org/10.1007/978-3-319-53643-9.

  26. Meneses JDA, Ishigami AC, de Mello LM, de Albuquerque LL, de Brito CAA, Cordeiro MT, Pena LJ (2017) Lessons learned at the epicenter of Brazil’s congenital Zika epidemic: evidence from 87 confirmed cases. Clin Infect Dis 64(10):1302–1308

    Article  PubMed  Google Scholar 

  27. Schuler-Faccini L, Ribeiro EM, Feitosa IML, Horovitz DDG, Cavalcanti DP, Pessoa A, Doriqui MJR, Neri JI, Neto JMP, Wanderly HYC, Cernach M, El-Husny AS, Pone MVS, Serao CLC, Sanseverino MTV, Brazilian Medical Genetics Society-Zika Embriopathy Task Force (2016) Possible association between Zika virus infection and microcephaly—Brazil, 2015. MMWR Morb Mortal Wkly Rep 65(3):59–62

    Article  PubMed  Google Scholar 

  28. de Fatima Vasco Aragão M, van der Linden V, Brainer-Lima AM, Coeli RR, Rocha MA, Silva OS, Carvalho MDCG, van der Linden A, Holanda AC, Valenca MM (2016) Clinical features and neuroimaging (CT and MRI) findings in presumed Zika virus related congenital infection and microcephaly: retrospective case series study. BMJ 353:i1901

    Article  PubMed  PubMed Central  Google Scholar 

  29. Hazin NA, Poretti A, Martelli CMT, Huisman TA, Microcephaly Epidemic Research Group (2016) Computed tomographic findings in microcephaly associated with Zika virus. N Engl J Med 374(22):2193–2195

    Article  PubMed  Google Scholar 

  30. Del Campo M, Feitosa IML, Ribeiro EM, Horovitz DDG, Pessoa ALS, França GVA, García-Alix A, Doriqui MJR, Wanderley HYC, Sanseverino MVT, Neri JICF, Pina-Neto JM, Santos ES, Verçosa I, Cernach MCSP, Medeiros PFV, Kerbage SC, Silva AA, van der Linden V, Martelli CMT, Cordeiro MT, Dhalia R, Vianne FSL, Victora CG, Cavalcanti DP, Shuler-Faccini L, Zika Embriopathy Task Force-Brazilian Society of Medical Genetics ZEFT-SBGM (2017) The phenotypic spectrum of congenital Zika syndrome. Am J Med Genet A 173(4):841–857

    Article  PubMed  Google Scholar 

  31. Moore CA, Staples JE, Dobyns WB, Pessoa A, Ventura CA, Fonseca EB, Ribeiro EM, Ventura LO, Neto NN, Arena JF, Rasmussen SA (2017) Characterizing the pattern of anomalies in congenital Zika syndrome for pediatric clinicians. JAMA Pediatr 171(3):288–295

    Article  PubMed  Google Scholar 

  32. Leyser M, Nascimento OJM (2017) Congenital Zika virus infection: beyond neonatal microcephaly. JAMA Neurology 74(5):610

    Article  PubMed  Google Scholar 

  33. Ticconi C, Pietropolli A, Rezza G (2016) Zika virus infection and pregnancy: what we do and do not know. Pathog Glob Health 110(7–8):262–268

    Article  PubMed  PubMed Central  Google Scholar 

  34. Petersen LR, Jamieson DJ, Powers AM, Honein MA (2016) Zika virus. N Engl J Med 374(16):1552–1563

    CAS  Article  PubMed  Google Scholar 

  35. Corona-Rivera JR, Corona-Rivera E, Romero-Velarde E, Hernández-Rocha J, Bobadilla-Morales L, Corona-Rivera A (2001) Report and review of the fetal brain disruption sequence. Eur J Pediatr 160(11):664–667

    CAS  Article  PubMed  Google Scholar 

  36. Schwartz DA (2017) The origins and emergence of Zika virus, the newest TORCH infection. What’s old is new again. Arch Pathol Lab Med 141(1):18–25

    Article  PubMed  Google Scholar 

  37. Barkovich AJ, Guerrini R, Kuzniecky RI, Jacson GD, Dobyns WB (2012) A developmental and genetic classification for malformations of cortical development: update 2012. Brain 135(Pt 5):1348–1369

    Article  PubMed  PubMed Central  Google Scholar 

  38. Štrafela P, Vizjak A, Mraz J, Mlakar J, Pižem J, Tul N, Županc TA, Popović M (2016) Zika virus-associated micrencephaly: a thorough description of neuropathologic findings in the fetal central nervous system. Arch Pathol Lab Med 141(1):73–81

    Article  PubMed  Google Scholar 

  39. Barkovich AJ, Hevner R, Guerrini R (1999) Syndromes of bilateral symmetrical polymicrogyria. AJNR Am J Neuroradiol 20(10):1814–1821

    CAS  PubMed  Google Scholar 

  40. Carvalho FH (2017) Response to “Associated ultrasonography findings in fetuses with microcephaly because of suspected Zika vírus (ZIKV) infection during pregnancy”. Prenat Diagn 37(2):207–208

    Article  PubMed  Google Scholar 

  41. Kowalczyk B, Felus J (2016) Arthrogryposis: an update on clinical aspects, etiology, and treatment strategies. Arch Med Sci 12(1):10–24

    Article  PubMed  PubMed Central  Google Scholar 

  42. Aragão MFVV, Brainer-Lima AM, Holanda AC, van der Linden V, Vasco Aragão L, Silva Junior MLM, Sarteschi C, Petribu NCL, Valença MM (2017) Spectrum of spinal cord, spinal root, and brain MRI abnormalities in congenital Zika syndrome with and without arthrogryposis. AJNR Am J Neuroradiol 38(5):1045–1053

    Article  PubMed  Google Scholar 

  43. Ventura CV, Maia M, Travassos SB, Martins TT, Patriota F, Nunes ME, Agra C, Torres VL, van der Linden V, Ramos RC, Rocha MA, Silva PS, Ventura LO, Belfort R Jr (2016) Risk factors associated with the ophthalmoscopic findings identified in infants with presumed Zika virus congenital infection. JAMA Ophthalmol 134(8):912–918

    Article  PubMed  Google Scholar 

  44. WHO (2016). Zika situation report. Zika and potential complications. Available at: http://www.who.int/emergencies/zika-virus/situation-report/12-february-2016/en/

  45. Sarno M, Aquino M, Pimentel K, Cabral R, Costa G, Bastos F, Brites C (2016) Progressive lesions of central nervous system in microcephalic fetuses with suspected congenital Zika virus syndrome. Ultrasound Obstet Gynecol; published online. https://doi.org/10.1002/uog.17303

Download references

Acknowledgements

We gratefully acknowledge the members of the Brazilian Network BRAZIKA (Rede Internacional de Estudos Sobre Zika no Brasil).

Financial support

This work was funded by different grants from the Brazilian Council for Development of Science and Technology (CNPq, Ref: 440909/2016-3), the CAPES Foundation, the Brazilian Ministry of Education (Ref. 88887.116625/2016-01), the Rio de Janeiro Foundation for the Support of Science (FAPERJ, Ref: E-26/201.319/2016), and intramural grants from the D’Or Institute for Research and Education (IDOR, PNeuro).

Author information

Affiliations

Authors

Contributions

A.S.S. and F.T.M. wrote and edited the initial drafts. All authors reviewed the final draft.

Corresponding author

Correspondence to Fernanda Tovar-Moll.

Ethics declarations

Conflict of interest

All authors reported no conflicts of interest.

Rights and permissions

Reprints and Permissions

About this article

Verify currency and authenticity via CrossMark

Cite this article

de Souza, A.S., de Oliveira-Szjenfeld, P.S., de Oliveira Melo, A.S. et al. Imaging findings in congenital Zika virus infection syndrome: an update. Childs Nerv Syst 34, 85–93 (2018). https://doi.org/10.1007/s00381-017-3637-1

Download citation

  • Received:

  • Accepted:

  • Published:

  • Issue Date:

  • DOI: https://doi.org/10.1007/s00381-017-3637-1

Keywords

  • Zika
  • ZIKV
  • Microcephaly
  • Congenital malformation
  • Brain calcifications
  • Ventriculomegaly
  • Arthrogryposis