Abstract
Introduction
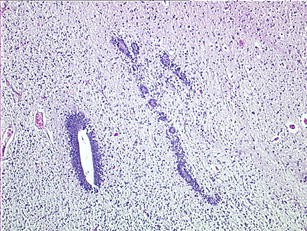
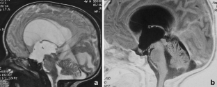
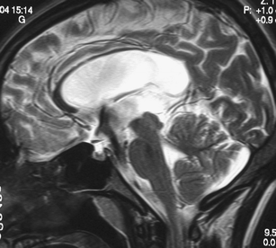
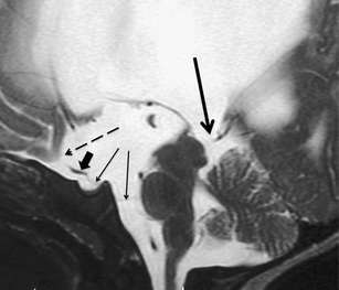
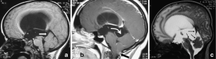
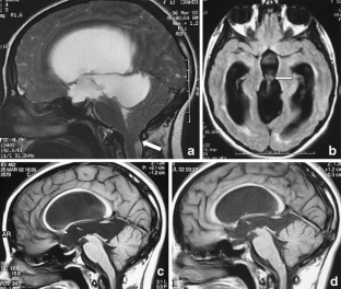
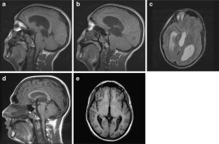
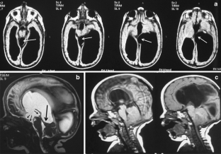
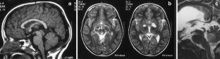
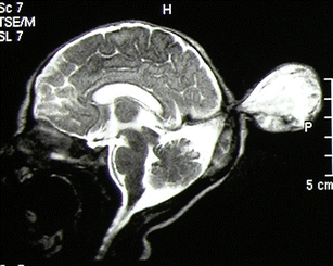
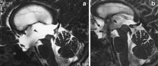
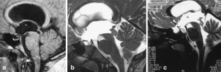
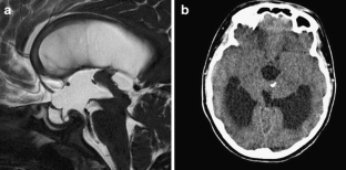
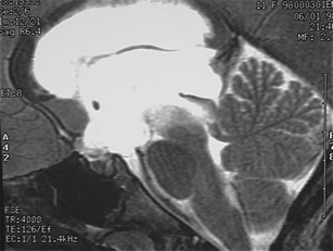
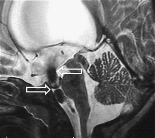
The sylvian aqueduct is the most common site of intraventricular blockage of the cerebro-spinal fluid. Clinical aspects, neuroradiological appearance, and treatment of hydrocephalus secondary to aqueductal stenosis are specific.
Methods
An extensive literature review concerning etiologic, pathogenetic, clinical, and neuroradiological aspects has been performed. Therapeutic options, prognosis, and intellectual outcome are also reviewed.
Conclusion
The correct interpretation of the modern neuroradiologic techniques may help in selecting adequate treatment between the two main options (third ventriculostomy or shunting). In the last decades, endoscopic third ventriculostomy has become the first-line treatment of aqueductal stenosis; however, some issues, such as the cause of failures in well selected patients, long-term outcome in infant treated with ETV, and effect of persistent ventriculomegaly on neuropsychological developmental, remain unanswered.
This is a preview of subscription content, access via your institution.



























References
Barrer SJ, Schut L, Bruce DA (1980) Global rostral midbrain dysfunction secondary to shunt malfunction and hydrocephalus. Neurosurgery 7:322–325
Bateman GA (2007) Magnetic resonance imaging quantification of compliance and collateral flow in late-onset idiopathic aqueductal stenosis: venous pathophysiology revisited. J Neurosurg 107:951–958
Beems T, Grotenhuis A (2002) Is the success rate of third ventriculostomy agedependent? An analysis of the results of endoscopic third ventriculostomy in young children. Childs Nerv Syst 18:605–608
Berger L, Gauthier S, Leblanc R (1958) Akinetic mutism and parkinsonism associated with obstructive hydrocephalus. Can J Neurol Sci 12:255–258
Bickers DS, Adams RD (1949) Hereditary stenosis of aqueduct of Sylvius as a cause of congenital hydrocephalus. Brain 72:246–262
Bleasel AF, Ell JJ, Johnston I (1992) Pretectal syndrome and ventricular shunt dysfunction. Neuro-Ophthalmol 12:193–196
Boop FA (2004) Posthemorrhagic hydrocephalus of prematurity. In: Cinalli C, Maixner WJ, Sainte-Rose C (eds) Pediatric hydrocephalus. Springer, Milan, pp 121–131
Borenstein DG, Jacobs RP (1982) Aqueductal stenosis: a possible late sequela of central nervous system inflammation in systemic lupus. South Med J 75:475–477
Brockmeyer D, Abtin K, Carey L, Walker M (1998) Endoscopic third ventriculostomy: an outcome analysis. Pediatr Neurosurg 28:236–240
Brunelle F (2004) Dynamic MRI of cerebro-spinal fluid in children. In: Cinalli C, Maixner WJ, Sainte-Rose C (eds) Pediatric hydrocephalus. Springer, Milan, pp 397–403
Brunelle F (2004) Modern imaging of hydrocephalus. In: Cinalli C, Maixner WJ, Sainte-Rose C (eds) Pediatric hydrocephalus. Springer, Milan, pp 79–93
Büttner-Ennever JA, Büttner U, Cohen B, Baumgartner G (1982) Vertical gaze paralysis and the rostral interstitial nucleus of the medial longitudinal fasciculus. Brain 105:125–149
Castro-Cago M, Alonso A, Eiris-Punal (1996) Autosomal recessive hydrocephalus with aqueductal stenosis. Child’s Nerv Syst 12:188–191
Catala M (2004) Development of the cerebro-spinal fluid pathways during embryonic and fetal life in humans. In: Cinalli C, Maixner WJ, Sainte-Rose C (eds) Pediatric hydrocephalus. Springer, Milan, pp 19–45
Chatta AS, Delong GR (1975) Sylvian aqueduct syndrome as a sign of acute obstructive hydrocephalus in children. J Neurol Neurosurg Psychiatry 38:288–296
Cinalli G, Cappabianca P, de Falco R, Spennato P, Cianciulli E, Cavallo LM, Esposito F, Ruggiero C, Maggi G, de Divitiis E (2005) Current state and future development of intracranial neuroendoscopic surgery. Expert Rev Med Devices 2:351–373
Cinalli G, Sainte-Rose C, Chumas P, Zerah M, Brunelle F, Lot G, Pierre-Kahn A, Renier D (1999) Failure of third ventriculostomy in the treatment of aqueductal stenosis in children. J Neurosurg 90:448–454
Cinalli G, Sainte-Rose C, Simon I, Lot G, Sgouros S (1999) Sylvian aqueduct syndrome and global rostral midbrain dysfunction associated to shunt malfunction. J Neurosurg 90:227–236
Cinalli G, Salazar C, Mallucci C, Yada JZ, Zerah M, Sainte-Rose C (1998) The role of third ventriculostomy in the management of shunt malfunction. Neurosurgery 43:1323–1329
Cinalli G, Spennato P, Cianciulli E, D’Armiento M (2004) Hydrocephalus and aqueductal stenosis. In: Cinalli C, Maixner WJ, Sainte-Rose C (eds) Pediatric hydrocephalus. Springer, Milan, pp 280–293
Cinalli G, Spennato P, Columbano L, Ruggiero C, Aliberti F, Trischitta V, Buonocore MC, Cianciulli E (2010) Neuroendoscopic treatment of arachnoid cysts of the quadrigeminal cistern: a series of 14 cases. J Neurosurg Pediatr 6:489–497
Cinalli G, Spennato P, Del Basso De Caro ML, Buonocore MC (2004) Hydrocephalus and Dandy–Walker malformation. In: Cinalli C, Maixner WJ, Sainte-Rose C (eds) Pediatric hydrocephalus. Springer, Milan, pp 259–277
Cinalli G, Spennato P, Ruggiero C, Aliberti F, Maggi G (2004) Aqueductal stenosis 9 years after mumps meningo-encephalitis. Treatment by endoscopic third ventriculostomy. Childs Nerv Syst 20:61–64
Citrin CM, Sherman JL, Gangarosa RE, Scanlon D (1984) Physiology of the CSF flow-void sign: modification by cardiac gating. AJNR 7:1021–1024
Conner ES, Foley L, Black PM (1984) Experimental normal-pressure hydrocephalus is accompanied by increased transmantle pressure. J Neurosurg 61:322–327
Curran T, Lang AE (1994) Parkinsonian syndromes associated with hydrocephalus: case reports, a review of the literature and pathophysiological hypotheses. Mov Disord 9:508–520
Czosnyka M, Czosnyka ZH, Whitfield PC (2004) Cerebrospinal fluid dynamics. In: Cinalli C, Maixner WJ, Sainte-Rose C (eds) Pediatric hydrocephalus. Springer, Milan, pp 47–63
de Ribaupierre S, Rilliet B, Vernet O, Regli L, Villemure J-G (2007) Third ventriculostomy vs ventriculoperitoneal shunt in pediatric obstructive hydrocephalus: results from a Swiss series and literature review. Childs Nerv Syst 23:527–533
Di Rocco C, Cinalli G, Massimi L, Spennato P, Cianciulli E, Tamburrini G (2006) Endoscopic third ventriculostomy in the treatment of hydrocephalus in pediatric patients. Adv Tech Stand Neurosurg 31:119–219
Di Rocco C, Di Trapani G, Pettorossi VE, Caldarelli M (1979) On the pathology of experimental hydrocephalus induced by artificial increase in endoventricular CSF pulse pressure. Childs Brain 5:81–95
Di Rocco C, Iannelli A, Tamburrini G (1995) Idrocefalo da stenosi dell’acquedotto ad insorgenza tardiva. Minerva Pediatr 47:511–520
Dirks PB (2004) Genetics of hydrocephalus. In: Cinalli C, Maixner WJ, Sainte-Rose C (eds) Pediatric hydrocephalus. Springer, Milan, pp 1–17
Edwards JH (1961) The syndrome of sex-linked hydrocephalus. Aech Dis Child 36:486–493
Emery JL, Staschak MC (1972) The size and form of cerebral aqueduct in children. Brain 95:591–598
Faggin R, Bernardo A, Stieg P, Perilongo G, d ’ Avella D (2009) Hydrocephalus in infants less than six months of age: effectiveness of endoscopic third ventriculostomy. Eur J Pediatr Surg 19:216–219
Fritsch MJ, Kienke S, Manwaring KH, Mehdorn HM (2004) Endoscopic aqueductoplasty and interventriculostomy for the treatment of isolated fourth ventricle in children. Neurosurgery 55:372–379
Fukuhara T, Luciano M (2001) Clinical features of late-onset idiopathic aqueductal stenosis. Surg Neuro 55:132–137
Fukuhara T, Vorster SJ, Luciano MG (2000) Risk factors for failure of endoscopic third ventriculostomy for obstructive hydrocephalus. Neurosurgery 46:1100–1111
Gatto M, Micheli F, Pardal MF (1990) Blepharoclonus and parkinsonism associated with aqueductal stenosis. Mov Disord 5:310–313
Goumnerova LC, Frim D (1997) Treatment of hydrocephalus with third ventriculostomy: outcome and CSF flow patterns. Pediatr Neurosurg 27:149–152
Greitz D (2004) Radiological assessment of hydrocephalus: new theories and implications for therapy. Neurosurg Rev 27:145–165
Hanigan WC, Morgan A, Shaaban A, Bradle P (1991) Surgical treatment and neurodevelopment outcome for infants with idiopathic aqueductal stenosis. Child’s Nerv Syst 7:386–390
Harrison MJG, Robert CM, Uttley D (1974) Benign aqueductal stenosis in adults. J Neurol Neurosurg Psychiatry 37:1322–1328
Hellwig D, Grotenhuis JA, Tirakotai W, Riegel T, Schulte DM, Bauer BL, Bertalanffy H (2005) Endoscopic third ventriculostomy for obstructive hydrocephalus. Neurosurg Rev 28:1–34
Hirsch JF, Hirsch E, Sainte-Rose C, Renier D, Pierre-Khan A (1986) Stenosis of the aqueduct of Sylvius (etiology and treatment). J Neurosurg Sci 30:29–39
Hirsch JF (1982) Percutaneous ventriculocisternostomies in non-communicating hydrocephalus. Monogr neural Sci 8:170–178
Høffman HJ, Harwood-Nash D, Gilday DL (1980) Percutaneous third ventriculostomy in the management of non-communicating hydrocephalus. Neurosurgery 7:313–321
Hopf NJ, Grunert P, Fries G, Resch KD, Perneczky A (1999) Endoscopic third ventriculostomy: outcome analysis of 100 consecutive procedures. Neurosurgery 44:795–804
Jacobson EE, Fletcher DF, Morgan MK, Johnston IH (1999) Computer modelling of the CSF flow dynamics of aqueductal stenosis. Med Biol Eng Comput 37:59–63
Jacobson EE, Fletcher DF, Morgan MK, Johnston IH (1996) Fluid dynamics of the cerebral aqueduct. Pediatr Neurosurg 24:229–236
Jellinger G (1986) Anatomopathology of nontumoral aqueductal stenosis. J Neurosurg Sci 30:1–16
Johnson RT, Johnson KP, Edmonds CJ (1967) Virus-induced hydrocephalus: development of aqueductal stenosis in hamsters after mumps infection. Science 157:1066–1067
Johnson RT, Yates PO (1956) Clinico-pathological aspects of pressure changes at tentorium. Acta radiol 46:242–249
Johnston IH, Kowman-Giles R, Whittle IR (1984) The arrest of treated hydrocephalus in children. A radionuclide study. J Neurosurg 61:752–756
Jones RF, Kwok BC, Stening WA, Vonau M (1996) Third ventriculostomy in patients with spinal dysraphism. Indications and contraindications. Eur J Pediatr Surg 6(suppl):5–6
Jones RFC, Stening WA, Brydon M (1990) Endoscopic third ventriculostomy. Neurosurgery 26:86–92
Kaiser G (1985) Hydrocephalus following toxoplasmosis. Z Kinderchir 40(Suppl 1):10–11
Kaufmann GE, Clark K (1970) Continuous simultaneous monitoring of intraventricular and cervical subarachnoid cerebrospinal fluid pressure to indicate development of cerebral or tonsillar herniation. J Neurosurg 33:135–140
Kemp SS, Zimmerman RA, Bilaniuk LT, Hackney DB, Goldberg HI, Grossman RI (1987) Magnetic resonance imaging of the cerebral aqueduct. Neuroradiology 29:430–436
Kim S-K, Wang K-C, Cho B-K (2000) Surgical outcome of pediatric hydrocephalus treated by endoscopic III ventriculostomy: prognostic factors and interpretation of postoperative neuroimaging. Child’s Nerv Syst 16:161–169
Kulkarni AV, Drake JM, Kestle JR, Mallucci CL, Sgouros S, Constantini S (2010) Endoscopic third ventriculostomy vs cerebrospinal fluid shunt in the treatment of hydrocephalus in children: a propensity score-adjusted analysis. Neurosurgery 67:588–593
Kulkarni AV, Hui S, Shams I, Donnelly R (2010) Quality of life in obstructive hydrocephalus: endoscopic third ventriculostomy compared to cerebrospinal fluid shunt. Childs Nerv Syst 26:75–79
Laitt RD, Mallucci CL, Jaspan T, McConachie NS, Vloeberghs M, Punt J (1999) Constructive interference in steady state 3D Fourier transform MRI in the management of hydrocephalus and third ventriculostomy. Neuroradiology 41:324–327
Landrieu O, Ninane J, Ferriere G, Lyon G (1979) Aqueductal stenosis in X-linked hydrocephalus: a secondary phenomenon? Dev Med Child Neurol 21:637–652
Lapras C, Bret P, Patet JD, Huppert J, Honorato D (1986) Hydrocephalus and aqueductal stenosis. Direct surgical treatment by interventriculostomy (aqueduct cannulation). J Neurosurg Sci 30:47–53
Lapras C, Bret P, Tommasi M, Derex MC, Duquesnel J, Nicolas A, Chacornac R, Jouvet A (1980) Les sténoses de l’aqueduc de Sylvius. Neurochirurgie 26(Suppl 1):1–152
Lee BCP (1987) Magnetic resonance imaging of peri-aqueductal lesions. Clin Radiol 38:527–533
Levitsky DB, Mack LA, Nyberg DA, Shurtleff DB, Shields LA, Nghiem HV, Cyr DR (1995) Fetal aqueductal stenosis diagnosed sonographically: how grave is the prognosis? AJR Am J Roentgenol 164:725–730
Little JR, Houser OW, MacCarty CS (1975) Clinical manifestations of aqueductal stenosis in adults. J Neurosurg 43:546–552
Longatti P, Fiorindi A, Perin A, Martinuzzi A (2007) Endoscopic anatomy of the cerebral aqueduct. Neurosurgery 61(3 Suppl):1–5
McConachie (2004) The CISS sequenze in the pre-operative assessment of neuroendoscopic third ventriculostomy. In: Cinalli C, Maixner WJ, Sainte-Rose C (eds) Pediatric hydrocephalus. Springer, Milan, pp 405–410
McCullough DC, Balzer-Martin LA (1982) Current prognosis in overt neonatal hydrocephalus. J Neurosurg 57:378–383
Mise B, Klarica M, Seiwerth S, Bulat M (1996) Experimental hydrocephalus and hydromyelia: a new insight in mechanism of their development. Acta Neurochir 138:862–869
Mott M, Cummins B (1974) Hydrocephalus related to pulsion diverticulum of lateral ventricle. Arch Dis Child 49:407–410
Naidich TP, McLone DG, Hahn YS, Hanaway J (1982) Atrial diverticula in severe hydrocephalus. AJNR 3:257–266
Naidich TP, Schott LH, Baron RL (1982) Computed tomography in evaluation of hydrocephalus. Radiol Clin North Am 20:143–167
Nugent GR, Al-Mefty O, Chou S (1979) Communicating hydrocephalus as a cause of aqueductal stenosis. J Neurosurg 51:812–818
O’Brien DF, Javadpour M, Collins DR, Spennato P, Mallucci CL (2005) Endoscopic third ventriculostomy: an outcome analysis of primary cases and procedures performed after ventriculoperitoneal shunt malfunction. J Neurosurg 103(5 Suppl):393–400
Oi S, Matsumoto S (1986) Pathophysiology of aqueductal obstruction in isolated IV ventricle after shunting. Child’s Nerv Syst 2:282–286
Oi S, Shimoda M, Shibata M, Honda Y, Togo K, Shinoda M, Tsugane R, Sato O (2000) Pathophysiology of long-standing overt ventriculomegaly in adults. J Neurosurg 92:933–940
Pascual-Castroviejo I, Pascual-Pascual SI, Velázquez-Fragua R, Viaño J, Carceller-Benito F (2007) Aqueductal stenosis in the neurofibromatosis type 1. Presentation of 19 infantile patients. Rev Neurol 45:18–21
Pollack IF, Pang D, Albright AL (1994) The long-term outcome in children with late-onset aqueductal stenosis resulting from benign intrinsic tectal tumors. J Neurosurg 80:681–688
Quencer RM, Donovan Post MJ, Hinks RS (1990) Cine MR in the evaluation of normal and abnormal CSF flow: intracranial and intraspinal studies. Neuroradiology 32:371–391
Raimondi AJ, Clark SJ, McLone DG (1976) Pathogenesis of aqueductal occlusion in congenital murine hydrocephalus. J Neurosurg 45:66–77
Raimondi AJ, Samuelson G, Yarzagaray L, Norton T (1969) Atresia of the foramen of Luschka and Magendie: the Dandy-Walker cyst. J Neursurg 31:202–216
Renier D, Saint-Rose C, Pierre-Kahn A, Hirsch JF (1988) Prenatal hydrocephalus: outcome and prognosis. Child’s Nerv Syst 4:213–222
Robertson JA, Leggate JRS, Miller JD (1990) Aqueductal stenosis—presentation and prognosis. Br J Neurosurg 4:101–106
Rosenthal A, Jouet M, Kenwrick S (1992) Aberrant splicing of neural cell adhesion molecules L1 mRNA in a family with X-linked hydrocephalus. Nature Genet 2:107–112
Rotilio A, d’Avella D, de Blasi F, del Vivo RE, Salar G, Carteri A (1986) Disendocrine manifestations during non tumoral aqueductal stenosis. J Neurosurg Sci 30:71–76
Rotilio A, Salar G, Dollo C, Ori C, Carteri A (1985) Aqueductal stenosis following mumps infection. Case report. Ital J Neurol Sci 6:237–239
Russell DS (1949) Observations on the pathology of hydrocephalus. Medical Research Council Special Report Series No. 265. His Majesty’s Stationery Office, London
Sainte-Rose C (1992) Third ventriculostomy. In: Manwaring KH, Crone KR (eds) Neuroendoscopy. Mary Ann Liebert, New York, pp 47–62
Schrander-Stumpel C, Vos YJ (1993–2004) L1 syndrome. In: Pagon RA, Bird TC, Dolan CR, Stephens K (eds) GeneReviews [Internet]. Seattle (WA): University of Washington, Seattle; Apr 28 [updated 2006 Oct 20].
Schroeder HWS, Gaab MR (1999) Endoscopic aqueductoplasty: technique and results. Neurosurgery 45:508–518
Senat MV, Bernard JP, Delezoidë A, Saugier-Veber P, Hillion Y, Roume J, Ville Y (2001) Prenatal diagnosis of hydrocephalus-stenosis of the aqueduct of Sylvius by ultrasound in the first trimester of pregnancy. Report of two cases. Prenat Diagn 21:1129–1132
Shah N, Kale K (1999) Subacute sclerosing panencephalitis in a case of aqueductal stenosis. J Indian Med Assoc 97(501):503
Shallat RF, Pawl RP, Jerva MJ (1973) Significance of upward gaze palsy (Parinaud’s syndrome) in hydrocephalus due to shunt malfunction. J Neurosurg 38:717–721
Sherman JL, Citrin CM, Gangarosa RE, Bowen BJ (1986) The MR appearance of CSF flow in patients with ventriculomegaly. AJNR 7:1025–1031
Siomin V, Cinalli G, Grotenhuis A, Golash A, Oi S, Kothbauer K, Weiner H, Roth J, Beni-Adani L, Pierre-Kahn A, Takahashi Y, Mallucci C, Abbott R, Wisoff J, Constantini S (2002) Endoscopic third ventriculostomy in patients with cerebrospinal fluid infection and/or hemorrhage. J Neurosurg 97:519–524
Spadaro A, Ambrosio D, Moraci A, Conforti R, Albanese V (1986) Aqueductal stenosis as isolated localization involving the central nervous system in children affected by von Recklinghausen disease. J Neurosurg Sci 30:87–93
Spennato P, Cinalli G, Carannante G, Ruggiero C, Del Basso De Caro ML (2004) Multiloculated hydrocephalus. In: Cinalli C, Maixner WJ, Sainte-Rose C (eds) Pediatric hydrocephalus. Springer, Milan, pp 219–244
Stellman GR, Bannister CM, Hillier V (1986) The incidence of seizures disorders in children with congenital and acquired hydrocephalus. Z Kinderchir 41(Suppl 1):38–41
Stoquart-El Sankari S, Lehmann P, Gondry-Jouet C, Fichten A, Godefroy O, Meyer ME, Baledent O (2009) Phase-contrast MR imaging support for the diagnosis of aqueductal stenosis. AJNR Am J Neuroradiol 30:209–214
Sufianov AA, Sufianova GZ, Iakimov IA (2010) Endoscopic third ventriculostomy in patients younger than 2 years: outcome analysis of 41 hydrocephalus cases. J Neurosurg Pediatrics 5:392–401
Teo C, Jones R (1996) Management of hydrocephalus by endoscopic third ventriculostomy in patients with myelomeningocele. Pediatr Neurosurg 25:57–63
Teo C (1998) Third ventriculostomy in the treatment of hydrocephalus: experience with more than 120 cases. In: Hellwig D, Bauer B (eds) Minimally invasive techniques for neurosurgery. Springer, Berlin, pp 73–76
Tisell M, Edsbagge M, Stephenson H, Czosnyka M, Wikkelsø (2002) Elastance correlates with outcome after endoscopic third ventriculostomy in adults with hydrocephalus caused by primary aqueductal stenosis. Neurosurgery 50:70–77
Tuli S, Alshail E, Drake JM (1999) Third ventriculostomy versus cerebrospinal fluid shunt as a first procedure in pediatric hydrocephalus. Pediatr Neurosurg 30:11–15
Turnbull IM, Drake CG (1966) Membranous occlusion of the aqueduct of Sylvius. J Neurosurg 24:24–33
Van Gijn J (2001) Franciscus Sylvius (1614–1672). J Neurol 248:915–916
Vanneste J, Hyman R (1986) Non-tumoral aqueductal stenosis and normal pressure hydrocephalus in the elderly. J Neurol Neurosurg Psychiatry 49:529–535
Villani R, Tomei G, Gaini SM, Grimoldi N, Spagnoli D, Bello L (1995) Long-term outcome in aqueductal stenosis. Child’s Nerv Syst 11:180–185
Vindigni G, Del Fabro P, Facchin P, De Nardi F, Cecotto C (1986) On the neurological complications of internal and external shunt in patients with non-neoplastic stenosis of the aqueduct. J Neurosurg Sci 30:83–86
Wakai S, Narita J, Hashimoto K, Nagai M (1983) Diverticulum of the lateral ventricle causing cerebellar ataxia. Case report. J Neurosurg 59:895–898
Warf BC (2005) Comparison of endoscopic third ventriculostomy alone and combined with choroid plexus cauterization in infants younger than 1 year of age: a prospective study in 550 African children. J Neurosurg 103(6 Suppl):475–481
Wolinsky JS (1977) Mumps virus induced hydrocephalus in hamsters. Ultrastructure of the chronic infection. Lab Invest 37:229–236
Yamasaki M, Arita N, Hiraga S, Izumoto S, Morimoto K, Nakatani S, Fujitani K, Sato N, Hayakawa T (1995) A clinical and neuroradiological study of X-linked hydrocephalus in Japan. J Neurosurg 83:50–55
Author information
Authors and Affiliations
Corresponding author
Rights and permissions
About this article
Cite this article
Cinalli, G., Spennato, P., Nastro, A. et al. Hydrocephalus in aqueductal stenosis. Childs Nerv Syst 27, 1621–1642 (2011). https://doi.org/10.1007/s00381-011-1546-2
Received:
Accepted:
Published:
Issue Date:
DOI: https://doi.org/10.1007/s00381-011-1546-2
Keywords
- Aqueductal stenosis
- Hydrocephalus
- Cerebro-spinal fluid dynamics
- Intellectual outcome
- Neuroendoscopy
- Endoscopic third ventriculostomy