Skip to main content

Placement of Ommaya reservoir following endoscopic third ventriculostomy in pediatric hydrocephalic patients: a critical reappraisal

Abstract

Purpose

Endoscopic third ventriculostomy (ETV) has become standard for obstructive hydrocephalus. Even a successful ETV can obstruct, leading to recurrence of symptoms and even death. A possible solution to this problem is leaving an Ommaya reservoir (OR) following the ETV. OR can be tapped in an emergency and for diagnostic purposes. No specific complications have been attributed to OR in this setting. We present our experience with OR in children undergoing ETV for hydrocephalus.

Materials and methods

A retrospective study was conducted in hydrocephalic children that underwent ETV with OR insertion over 13 years (1997–2010) from a single institution. Data were collected from charts and follow-ups.

Results

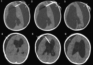
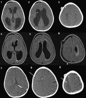
Twelve patients (from 200 patients who had an ETV) underwent placement of OR with ETV. OR was reserved for a subgroup of patients in whom we anticipated complications—in children that presented with acute hydrocephalus and were in deteriorating condition, for pathologies believed to have a low predicted ETV success rate, or when the surgeon felt that the ETV procedure was suboptimal. OR was tapped in eight patients. Complications occurred in four patients: two cases of subdural effusion, one case of chronic subdural hematoma, and one CSF leak. Four ORs were removed due to complications, and four were converted to shunts.

Conclusions

OR should be considered in selected patients undergoing ETV. Despite its obvious advantages, OR may be associated with a relatively high risk of extraaxial fluid collections. This association requires further investigation.

This is a preview of subscription content, access via your institution.

Fig. 1
Fig. 2

References

  1. Aquilina K, Edwards RJ, Pople IK (2003) Routine placement of a ventricular reservoir at endoscopic third ventriculostomy. Neurosurgery 53:91–96, discussion 96-97

    PubMed  Article  Google Scholar 

  2. Beni-Adani L, Siomin V, Segev Y, Beni S, Constantini S (2000) Increasing chronic subdural hematoma after endoscopic III ventriculostomy. Childs Nerv Syst 16:402–405

    PubMed  Article  CAS  Google Scholar 

  3. Buxton N, Macarthur D, Mallucci C, Punt J, Vloeberghs M (1998) Neuroendoscopic third ventriculostomy in patients less than 1 year old. Pediatr Neurosurg 29:73–76

    PubMed  Article  CAS  Google Scholar 

  4. Constantini S, Siomin V (2005) Re: death after late failure of endoscopic third ventriculostomy: a potential solution. Neurosurgery 56:E629

    PubMed  Article  Google Scholar 

  5. Fukuhara T, Namba Y, Kuyama H (2004) Ventricular reservoir migration into the lateral ventricle through the endoscopic tract after unsuccessful third ventriculostomy. Pediatr Neurosurg 40:186–189

    PubMed  Article  Google Scholar 

  6. Hader WJ, Drake J, Cochrane D, Sparrow O, Johnson ES, Kestle J (2002) Death after late failure of third ventriculostomy in children. Report of three cases. J Neurosurg 97:211–215

    PubMed  Article  Google Scholar 

  7. Kamel MH, Murphy M, Aquilina K, Marks C (2006) Subdural haemorrhage following endoscopic third ventriculostomy. A rare complication. Acta Neurochir (Wien) 148:591–593

    Article  CAS  Google Scholar 

  8. Kawamura T, Morioka T, Nishio S, Mihara F, Fukui M (2001) Cerebral abnormalities in lumbosacral neural tube closure defect: MR imaging evaluation. Childs Nerv Syst 17:405–410

    PubMed  Article  CAS  Google Scholar 

  9. Kulkarni AV, Drake JM, Mallucci CL, Sgouros S, Roth J, Constantini S (2009) Endoscopic third ventriculostomy in the treatment of childhood hydrocephalus. J Pediatr 155(254–259):e251

    Google Scholar 

  10. Lipina R, Palecek T, Reguli S, Kovarova M (2007) Death in consequence of late failure of endoscopic third ventriculostomy. Childs Nerv Syst 23:815–819

    PubMed  Article  Google Scholar 

  11. Mechleb B, Khater F, Eid A, David G, Moorman JP (2003) Late onset Ommaya reservoir infection due to Staphylococcus aureus: case report and review of Ommaya infections. J Infect 46:196–198

    PubMed  Article  CAS  Google Scholar 

  12. Mobbs RJ, Vonau M, Davies MA (2003) Death after late failure of endoscopic third ventriculostomy: a potential solution. Neurosurgery 53:384–385, discussion 385-386

    PubMed  Article  Google Scholar 

  13. Mohanty A, Biswas A, Satish S, Praharaj SS, Sastry KV (2006) Treatment options for Dandy-Walker malformation. J Neurosurg 105:348–356

    PubMed  Google Scholar 

  14. Mohanty A, Biswas A, Satish S, Vollmer DG (2008) Efficacy of endoscopic third ventriculostomy in fourth ventricular outlet obstruction. Neurosurgery 63:905–913, Discussion, 913–914

    Article  Google Scholar 

  15. O'Brien DF, Seghedoni A, Collins DR, Hayhurst C, Mallucci CL (2006) Is there an indication for ETV in young infants in aetiologies other than isolated aqueduct stenosis? Childs Nerv Syst 22:1565–1572

    PubMed  Article  Google Scholar 

  16. Parikh D, Foroughi M, Nannapaneni R, Hatfield RH (2009) Is the routine placement of a CSF reservoir following endoscopic third ventriculostomy justified? Br J Neurosurg 23:521–523

    PubMed  Article  CAS  Google Scholar 

  17. Paola P, Paola R, Christian FC, Pierpaolo G, Giuseppe C (2007) The role of Ommaya reservoir and endoscopic third ventriculostomy in the management of post-hemorrhagic hydrocephalus of prematurity. Childs Nerv Syst 23:765–771

    Article  Google Scholar 

  18. Pavez A, Salazar C, Rivera R, Contreras J, Orellana A, Guzman C, Iribarren O, Hernandez H, Elzo J, Moraga D (2006) Description of endoscopic ventricular anatomy in myelomeningocele. Minim Invasive Neurosurg 49:161–167

    PubMed  Article  CAS  Google Scholar 

  19. Roth J, Bo X, Beni-Adani L, Elran H, Constantini S (2007) Endoscopic third ventriculostomy–a physiological alternative to shunts as treatment for obstructive hydrocephalus in children. Harefuah 146(660–665):735

    Google Scholar 

  20. Sgouros S, Kulkharni AV, Constantini S (2006) The international infant hydrocephalus study: concept and rational. Childs Nerv Syst 22:338–345

    PubMed  Article  CAS  Google Scholar 

  21. Siegal T, Pfeffer MR, Steiner I (1988) Antibiotic therapy for infected Ommaya reservoir systems. Neurosurgery 22:97–100

    PubMed  CAS  Google Scholar 

  22. Siomin V, Weiner H, Wisoff J, Cinalli G, Pierre-Kahn A, Saint-Rose C, Abbott R, Elran H, Beni-Adani L, Ouaknine G, Constantini S (2001) Repeat endoscopic third ventriculostomy: is it worth trying? Childs Nerv Syst 17:551–555

    PubMed  Article  CAS  Google Scholar 

  23. Siomin V, Cinalli G, Grotenhuis A, Golash A, Oi S, Kothbauer K, Weiner H, Roth J, Beni-Adani L, Pierre-Kahn A, Takahashi Y, Mallucci C, Abbott R, Wisoff J, Constantini S (2002) Endoscopic third ventriculostomy in patients with cerebrospinal fluid infection and/or hemorrhage. J Neurosurg 97:519–524

    PubMed  Article  Google Scholar 

  24. Teo C, Jones R (1996) Management of hydrocephalus by endoscopic third ventriculostomy in patients with myelomeningocele. Pediatr Neurosurg 25:57–63, discussion 63

    PubMed  Article  CAS  Google Scholar 

  25. Wagner W, Koch D (2005) Mechanisms of failure after endoscopic third ventriculostomy in young infants. J Neurosurg 103:43–49

    PubMed  Google Scholar 

  26. Warf BC (2005) Hydrocephalus in Uganda: the predominance of infectious origin and primary management with endoscopic third ventriculostomy. J Neurosurg 102:1–15

    PubMed  Google Scholar 

Download references

Author information

Affiliations

Authors

Corresponding author

Correspondence to Shlomi Constantini.

Additional information

Bo Xiao and Jonathan Roth have contributed equally.

Rights and permissions

Reprints and Permissions

About this article

Cite this article

Xiao, B., Roth, J., Udayakumaran, S. et al. Placement of Ommaya reservoir following endoscopic third ventriculostomy in pediatric hydrocephalic patients: a critical reappraisal. Childs Nerv Syst 27, 749–755 (2011). https://doi.org/10.1007/s00381-010-1371-z

Download citation

  • Received:

  • Accepted:

  • Published:

  • Issue Date:

  • DOI: https://doi.org/10.1007/s00381-010-1371-z

Keywords

  • Hydrocephalus
  • Endoscopic third ventriculostomy
  • Ommaya reservoir
  • Pediatrics
  • Safety