Skip to main content

Endoscopic third ventriculostomy for hydrocephalus in children younger than 1 year of age

Abstract

Objective

The purpose of this study is to assess the role of endoscopic third ventriculostomy (ETV) in the treatment of hydrocephalus in children under 1 year of age. The authors analyzed data of ETV in their institution.

Methods

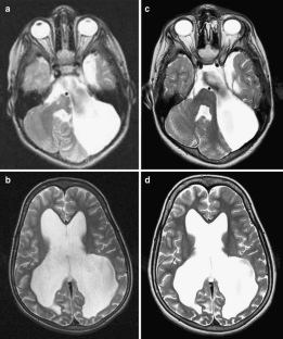
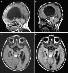
Between January 1995 and December 2008, 52 ETV procedures were performed for the treatment of hydrocephalus in 49 infants (32 male and 17 female). Their age ranged from 6 days to just under 12 months (mean age 6.2 months). The cause of hydrocephalus was occlusive in 43 patients (aqueduct stenosis in 31, Chiari II malformation in eight, Dandy–Walker cyst in two, quadrigeminal lipoma in one, and cerebellopontine angle arachnoid cyst in one patient). Communicating hydrocephalus was caused by intraventricular hemorrhage, meningitis, and/or ventriculitis in six patients.

Results

The overall success rate was 69.4% with mean follow-up period of 68.2 months. Patients with aqueduct stenosis had a higher success rate of ETV which was 77.4%. Seven infants were born preterm, six of them required a permanent ventriculoperitoneal shunts (VPS; P = 0.003). Malfunctioned VPS was removed in two patients following ETV. There was one death from intracranial hemorrhage, two cerebrospinal fluid leaks, and one meningitis.

Conclusion

Endoscopic third ventriculostomy can be considered a possible treatment procedure alternative to VPS for the treatment of occlusive hydrocephalus in infants. ETV was effective in full-term infants while the results in low birth weight, preterm infants were poor. Success of ETV is not only age dependent but also etiology dependant. Infants with occlusive hydrocephalus treated with VPS, who present with shunt failure, could be treated by ETV and removal of the shunt device.

This is a preview of subscription content, access via your institution.

Fig. 1
Fig. 2

References

  1. Beems T, Grotenhuis JA (2002) Is the success rate of endoscopic third ventriculostomy age dependent: an analysis of the results of endoscopic third ventriculostomy in young children. Childs Nerv Syst 18:605–608

    Article  PubMed  Google Scholar 

  2. Buxton N, Macarthur D, Mallucci C, Punt J, Vloeberghs M (1998) Neuroendoscopic third ventriculostomy in patients less than 1 year old. Pediatr Neurosurg 29:73–76

    CAS  Article  PubMed  Google Scholar 

  3. Cinalli G, Sainte-Rose C, Chumas P, Zerah M, Brunelle F, Lot G, Pierre-Khan A, Renier D (1999) Failure of third ventriculostomy in the treatment of aqueductal stenosis in children. J Neurosurg 90:448–454

    CAS  Article  PubMed  Google Scholar 

  4. Fukuhara T, Vorster SJ, Luciano MG (2000) Risk factors for failure of endoscopic third ventriculostomy for obstructive hydrocephalus. Neurosurgery 46:1100–1111

    CAS  Article  PubMed  Google Scholar 

  5. Hopf N, Grunert P, Fries G, Klaus RK, Perneczky A (1999) Endoscopic third ventriculostomy: outcome analysis of 100 consecutive procedures. Neurosurgery 44:795–804

    CAS  Article  PubMed  Google Scholar 

  6. Mobbs RJ, Vonau M, Davies M (2003) Death after late failure of endoscopic third ventriculostomy: a potential solution. Neurosurgery 53:384–386

    Article  PubMed  Google Scholar 

  7. Warf BC (2005) Comparison of endoscopic third ventriculostomy alone and combined with choroid plexus cauterization in infants younger than 1 year of age: a prospective study in 550 African children. J Neurosurg 103(6 Suppl):475–481

    PubMed  Google Scholar 

  8. Baldauf J, Oertel JG, Schroeder MR, Henry WS (2007) Endoscopic third ventriculostomy in children younger than 2 years of age. Childs Nerv Syst 23(6):623–626

    Article  PubMed  Google Scholar 

  9. Brockmeyer D, Abtin K, Carey L, Walker ML (1998) Endoscopic third ventriculostomy: an outcome analysis. Pediatr Neurosurg 28:236–240

    CAS  Article  PubMed  Google Scholar 

  10. Elbabaa S, Steinmetz M, Ross J, Moon D, Luciano M (2001) Endoscopic third ventriculostomy for obstructive hydrocephalus in the pediatric population: evaluation of outcome. Eur J Pediatr Surg 11(Supp 1):S52–S54

    PubMed  Google Scholar 

  11. Balthasar AJ, Kort H, Cornips EM, Beuls EA, Weber JW, Vles JS (2007) Analysis of the success and failure of endoscopic third ventriculostomy in infants less than 1 year of age. Childs Nerv Syst 23(2):151–155

    CAS  Article  PubMed  Google Scholar 

  12. Schwartz TH, Ho B, Prestigiacomo CJ, Bruce JN, Feldstein NA, Goodman RR (1999) Ventricular volume following third ventriculostomy. J Neurosurg 91(1):20–25

    CAS  Article  PubMed  Google Scholar 

  13. Jones RF, Kwok BC, Stening WA, Vonau M (1996) Third ventriculostomy for patients with spinal dysraphism: indications and contraindications. Eur J Pediatr Surg 6(Suppl 1):5–6

    Article  PubMed  Google Scholar 

  14. Siomin V, Cinalli G, Grotenhuis A, Golash A, Oi S, Kothbauer K, Weiner H, Roth J, Beni-Adani L, Pierre-Kahn A, Takahashi Y, Mallucci C, Abbott R, Wisoff J, Constantini S (2002) Endoscopic third ventriculostomy in patients with cerebrospinal fluid infection and/or hemorrhage. J Neurosurg 97:519–524

    Article  PubMed  Google Scholar 

  15. Teo C, Jones R (1996) Management of hydrocephalus by endoscopic third ventriculostomy in patients with myelomeningocele. Pediatr Neurosurg 25:57–63

    CAS  Article  PubMed  Google Scholar 

  16. Mohanty A (2005) Endoscopic options in the management of isolated fourth ventricles. Case report. J Neurosurg 103(1 Suppl):73–78

    PubMed  Google Scholar 

  17. Jones RFC, Kwok BCT, Stening WA, Vonau M (1994) The current status of endoscopic third ventriculostomy in the management of non-communicating hydrocephalus. Minim Invasive Neurosurg 37:28–36

    CAS  Article  PubMed  Google Scholar 

  18. Mohanty A, Biswas A, Satish S, Praharaj SS, Sastry KV (2006) Treatment options for Dandy-Walker malformation. J Neurosurg 105(5 Suppl):348–356

    PubMed  Google Scholar 

  19. Boschert J, Hellwig D, Krauss JK (2003) Endoscopic third ventriculostomy for shunt dysfunction in occlusive hydrocephalus: long-term follow up and review. J Neurosurg 98:1032–1039

    Article  PubMed  Google Scholar 

  20. Kehler U, Gliemroth J, Knopp U, Arnold H (1998) The role of third ventriculostomy in previously shunted hydrocephalus. In: Hellwig D, Bauer BL (eds) Minimally invasive techniques for neurosurgery. Springer Verlag, Berlin, pp 77–80

    Google Scholar 

  21. Gaab MR, Schroeder HW (1998) Neuroendoscopic approach to intraventricular lesions. J Neurosurg 88:496–505

    CAS  Article  PubMed  Google Scholar 

  22. Schroeder HW, Niendorf WR, Gaab MR (2002) Complications of endoscopic third ventriculostomy. J Neurosurg 96:1032–1040

    Article  PubMed  Google Scholar 

  23. Sgouros S, Kulkharni AV, Constantini S (2006) The international infant hydrocephalus study: concept and rational. Childs Nerv Syst 22:338–345

    CAS  Article  PubMed  Google Scholar 

  24. Koch D, Wagner W (2004) Endoscopic third ventriculostomy in infants of less than 1 year of age: which factors influence the outcome? Childs Nerv Syst 20(6):405–411

    Article  PubMed  Google Scholar 

  25. Koch-Wiewrodt D, Wagner W (2006) Success and failure of endoscopic third ventriculostomy in young infants: are there different age distributions? Childs Nerv Syst 22(12):1537–1541

    Article  PubMed  Google Scholar 

  26. Yadav YR, Sumeet J, Nelson A, Abhijeet B, Gaurav J (2006) Endoscopic third ventriculostomy in infants. Neurolog India 54:161–163

    CAS  Google Scholar 

  27. Fritsch MJ, Kienke S, Ankermann T, Padoin M, Mehdorn HM (2005) Endoscopic third ventriculostomy in infants. J Neurosurg 103:50–53

    PubMed  Google Scholar 

  28. Wagner W, Koch D (2005) Mechanism of failure after endoscopic third ventriculostomy in young infants. J Neurosurg 103:43–49

    PubMed  Google Scholar 

  29. Gorayeb RP, Cavalheiro S, Zymberg ST (2004) Endoscopic third ventriculostomy in children younger than 1 year of age. J Neurosurg 100:427–429

    PubMed  Google Scholar 

  30. Fritsch MJ, Mehdorn M (2002) Endoscopic intraventricular surgery for treatment of hydrocephalus and loculated CSF space in children less than one year of age. Pediatr Neurosurg 36(4):183–188

    Article  PubMed  Google Scholar 

  31. Javadpour M, Mallucci C, Brodbelt A, Golash A, May P (2001) The impact of endoscopic third ventriculostomy on the management of newly diagnosed hydrocephalus in infants. Pediatr Neurosurg 35:131–135

    CAS  Article  PubMed  Google Scholar 

Download references

Author information

Affiliations

Authors

Corresponding author

Correspondence to Essam A. Elgamal.

Rights and permissions

Reprints and Permissions

About this article

Cite this article

Elgamal, E.A., El-Dawlatly, AA., Murshid, W.R. et al. Endoscopic third ventriculostomy for hydrocephalus in children younger than 1 year of age. Childs Nerv Syst 27, 111–116 (2011). https://doi.org/10.1007/s00381-010-1254-3

Download citation

  • Received:

  • Accepted:

  • Published:

  • Issue Date:

  • DOI: https://doi.org/10.1007/s00381-010-1254-3

Keywords

  • Third ventriculostomy
  • Hydrocephalus
  • VP shunt
  • Infants