Abstract
Purpose
Instable upper cervical spine injuries (CSI) in very young children are rare and consecutively only few data on the treatment and operative approaches exist in the literature. Hence, we suggest an operative strategy in the case of a 15-month-old infant treated for an instable CSI at the level of C2/3 at our department. Detailed steps of the operation with special consideration to the challenging anatomy of the immature spine are presented.
Methods
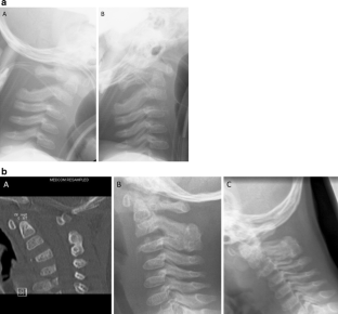
A toddler suffered a CSI without neurological deficits after a stair fall. Computer tomography (CT) and magnetic resonance imaging (MRI) of the cervical spine revealed an instable luxation fracture of C2/3. As repositioning in the halo vest immobilization failed, surgical fusion was indicated.
Results
Via a posterior midline approach, the lamina of C2 and C3 was conflated in a modified sublaminar wiring technique using non-resorbable sutures, sparing the ossification zones of the vertebral arches. Postoperative immobilization in a halo vest facilitated bony fusion of the laminae at C2/3 without lordotic displacement of the cervical spine.
Conclusions
We consider the instable CSI of the immature cervical in the very young a challenging situation for every treating physician. The particular features of the growing spine require special attention to avoid damage to the growth centers of the vertebrae. To our knowledge, this is the first technical report giving detailed information of an operative approach to the severely injured immature cervical spine and postoperative management.





Similar content being viewed by others
Explore related subjects
Discover the latest articles and news from researchers in related subjects, suggested using machine learning.References
Brown RL, Brunn MA, Garcia VF (2001) Cervical spine injuries in children: a review of 103 patients treated consecutively at a level 1 pediatric trauma center. J Pediatr Surg 36:1107–1114
Carreon LY, Glassman SD, Campbell MJ (2004) Pediatric spine fractures: a review of 137 hospital admissions. J Spinal Disord Tech 17:477–482
Cirak B, Ziegfeld S, Knight VM, Chang D, Avellino AM, Paidas CN (2004) Spinal injuries in children. J Pediatr Surg 39:607–612
Davey JR, Rorabeck CH, Bailey SI, Bourne RB, Dewar FP (1985) A technique of posterior cervical fusion for instability of the cervical spine. Spine 10:722–728 (Phila Pa 1976)
Dogan S, Safavi-Abbasi S, Theodore N, Horn E, Rekate HL, Sonntag VK (2006) Pediatric subaxial cervical spine injuries: origins, management, and outcome in 51 patients. Neurosurg Focus 20:E1
Drummond DS, Hosalkar HS (2005) Treatment of cervical spine instability in the pediatric patient. In: The cervical spine, 4th edn. The cervical spine research society. Lippincott Williams & Wilkins, pp 442–444
Duhem R, Tonnelle V, Vinchon M, Assaker R, Dhellemmes P (2008) Unstable upper pediatric cervical spine injuries: report of 28 cases and review of the literature. Childs Nerv Syst 24:343–348
Dwek JR, Chung CB (2000) Radiography of cervical spine injury in children: are flexion–extension radiographs useful for acute trauma? AJR Am J Roentgenol 174:1617–1619
Ehara S, el-Khoury GY, Sato Y (1988) Cervical spine injury in children: radiologic manifestations. AJR Am J Roentgenol 151:1175–1178
Eleraky MA, Theodore N, Adams M, Rekate HL, Sonntag VK (2000) Pediatric cervical spine injuries: report of 102 cases and review of the literature. J Neurosurg 92:12–17
Hadley MN, Zabramski JM, Browner CM, Rekate H, Sonntag VK (1988) Pediatric spinal trauma. Review of 122 cases of spinal cord and vertebral column injuries. J Neurosurg 68:18–24
Hamilton MG, Myles ST (1992) Pediatric spinal injury: review of 174 hospital admissions. J Neurosurg 77:700–704
Hamilton MG, Myles ST (1992) Pediatric spinal injury: review of 61 deaths. J Neurosurg 77:705–708
Klimo P Jr, Ware ML, Gupta N, Brockmeyer D (2007) Cervical spine trauma in the pediatric patient. Neurosurg Clin N Am 18:599–620
Kokoska ER, Keller MS, Rallo MC, Weber TR (2001) Characteristics of pediatric cervical spine injuries. J Pediatr Surg 36:100–105
Lawson Copley, Dormans J (2005) The use of cervical orthoses, halo devices, and traction in children. In: The cervical spine, 4th edn. The cervical spine research society. Lippincott Williams & Wilkins, pp 389–402
McGrory BJ, Klassen RA, Chao EY, Staeheli JW, Weaver AL (1993) Acute fractures and dislocations of the cervical spine in children and adolescents. J Bone Joint Surg Am 75:988–995
Oluigbo CO, Gan YC, Sgouros S, Chapman S, Kay A, Solanki G, Walsh AR, Hockley AD (2008) Pattern, management and outcome of cervical spine injuries associated with head injuries in paediatric patients. Childs Nerv Syst 24:87–92
Pang D, Wilberger JE Jr (1982) Spinal cord injury without radiographic abnormalities in children. J Neurosurg 57:114–129
Patel JC, Tepas JJ 3rd, Mollitt DL, Pieper P (2001) Pediatric cervical spine injuries: defining the disease. J Pediatr Surg 36:373–376
Platzer P, Jaindl M, Thalhammer G, Dittrich S, Kutscha-Lissberg F, Vecsei V, Gaebler C (2007) Cervical spine injuries in pediatric patients. J Trauma 62:389–396, discussion 394–386
Ruge JR, Sinson GP, McLone DG, Cerullo LJ (1988) Pediatric spinal injury: the very young. J Neurosurg 68:25–30
Simmons ED Jr, Burke TG, Haley T, Medige J (1996) Biomechanical comparison of the dewar and interspinous cervical spine fixation techniques. Spine 21:295–298, (Phila Pa 1976), discussion 299
Sponseller PD, Cass JR (1997) Atlanto-occipital fusion for dislocation in children with neurologic preservation. A case report. Spine 22:344–347
Viccellio P, Simon H, Pressman BD, Shah MN, Mower WR, Hoffman JR (2001) A prospective multicenter study of cervical spine injury in children. Pediatrics 108:E20
Author information
Authors and Affiliations
Corresponding author
Rights and permissions
About this article
Cite this article
Mueller, O.M., Gasser, T., Hellwig, A. et al. Instable cervical spine injury in a toddler: technical note. Childs Nerv Syst 26, 1625–1631 (2010). https://doi.org/10.1007/s00381-010-1141-y
Received:
Accepted:
Published:
Issue Date:
DOI: https://doi.org/10.1007/s00381-010-1141-y


