Skip to main content

Endoscopic third ventriculostomy in previously shunted children: a retrospective study

Abstract

Purpose

The aim of this study was to assess the mid-term results, success rates, and time-to-failure of secondary endoscopic third ventriculostomy (secondary ETV), as well as the complex management of preoperative and postoperative cares.

Methods

To this purpose, a retrospective analysis of a pediatric population of 22 children who underwent endoscopic third ventriculostomy (ETV) after shunt malfunction (secondary ETV) was performed.

Results

The failure rate, given by the percentage of new shunt replacement in the first 3 months after ETV, was 36%, with a mean time to failure of 14.3 days. All the failures were evident within 1 month after the ETV. Despite the small number of patients in our series, we found no significant correlation between ETV failure and both patient age and hydrocephalus etiology (p = 0.47 and p = 0.78, respectively).

Conclusions

In our experience, ETV secondary to shunt malfunction in pediatric patients has a success rate of 64%. As it is a safe and rapid treatment option even in emergency conditions, it is worth performing this procedure in previously shunted children.

This is a preview of subscription content, access via your institution.

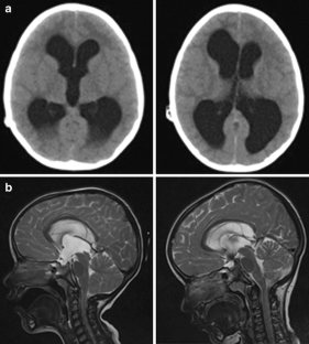
Fig. 1
Fig. 2

References

  1. Dusick JR, McArthur DL, Bergsneider M (2008) Success and complication rates of endoscopic third ventriculostomy for adult hydrocephalus: a series of 108 patients. Surg Neurol 69:5–15

    Article  PubMed  Google Scholar 

  2. Gangemi M, Mascari C, Maiuri F, Godano U, Donati P, Longatti P (2007) Long-term outcome of endoscopic third ventriculostomy in obstructive hydrocephalus. Minim Invasive Neurosurg 50:265–269

    Article  CAS  PubMed  Google Scholar 

  3. Cinalli G, Sainte-Rose C, Chumas P, Zerah M, Brunelle F, Lot G, Pierre-Kahn A, Renier D (1999) Failure of third ventriculostomy in the treatment of aqueductal stenosis in children. J Neurosurg 90:448–454

    Article  CAS  PubMed  Google Scholar 

  4. Cinalli G, Salazar C, Mallucci C, Yada JZ, Zerah M, Sainte-Rose C (1998) The role of endoscopic third ventriculostomy in the management of shunt malfunction. Neurosurgery 43:1323–1327

    Article  CAS  PubMed  Google Scholar 

  5. Jones RFC, Stening WA, Kwok BCT, Sands TM (1993) Third ventriculostomy for shunt infections in children (technique and application). Neurosurgery 32:855–860

    Article  CAS  PubMed  Google Scholar 

  6. Boschert J, Hellwig D, Krauss JK (2003) Endoscopic third ventriculostomy for shunt dysfunction in occlusive hydrocephalus: long term follow up and review. J Neurosurg 98:1032–1039

    Article  PubMed  Google Scholar 

  7. Buxton N, Macarthur D, Robertson I, Punt J (2003) Neuroendoscopic third ventriculostomy for failed shunts. Surg Neurol 60:201–204

    Article  PubMed  Google Scholar 

  8. O’Brien DF, Javadpour M, Collins DR, Spennato P, Mallucci CL (2002) Endoscopic third ventriculostomy: an outcome analysis of primary cases and procedures performed after ventriculoperitoneal shunt malfunction. J Neurosurg 103:393–400

    Google Scholar 

  9. Siomin V, Cinalli G, Grotenhuis A, Golash A, Oi S, Kothbauer K, Weiner H, Roth J, Beni-Adani L, Pierre-Kahn A, Takahashi Y, Mallucci C, Abbott R, Wisoff J, Constantini S (2002) Endoscopic third ventriculostomy in patients with cerebrospinal fluid infection and/or hemorrhage. J Neurosurg 97:519–524

    Article  PubMed  Google Scholar 

  10. Santamarta D, Diaz Alvarez A, Goncalves JM, Hernandez J (2005) Outcome of endoscopic third ventriculostomy. Results from an unselected series with noncommunicating hydrocephalus. Acta Neurochir (Wien) 147:377–382

    Article  CAS  Google Scholar 

  11. Koch-Wiewrodt D, Wagner W (2006) Success and failure of endoscopic third ventriculostomy in young infants: are there different age distributions? Childs Nerv Syst 22:1537–1541

    Article  PubMed  Google Scholar 

  12. Baldauf J, Oertel J, Gaab MR, Schroeder HW (2007) Endoscopic third ventriculostomy in children younger than 2 years of age. Childs Nerv Syst 23:623–626

    Article  PubMed  Google Scholar 

  13. de Ribaupierre S, Rilliet B, Vernet O, Regli L, Villemure JG (2007) Third ventriculostomy vs ventriculoperitoneal shunt in pediatric obstructive hydrocephalus: results from a Swiss series and literature review. Childs Nerv Syst 23:527–533

    Article  PubMed  Google Scholar 

  14. Lipina R, Reguli S, Doležilová V, Kuncíková M, Podesvová H (2008) Endoscopic third ventriculostomy for obstructive hydrocephalus in children younger than 6 months of age: is it a first-choice method? Childs Nerv Syst 24:1021–1027

    Article  PubMed  Google Scholar 

  15. Javadpour M, Mallucci C, Brodbelt A, Golash A, May P (2001) The impact of endoscopic third ventriculostomy on the management of newly diagnosed hydrocephalus in infants. Pediatr Neurosurg 35:131–135

    Article  CAS  PubMed  Google Scholar 

  16. Siomin V, Weiner H, Wisoff J, Cinalli G, Pierre-Kahn A, Saint-Rose C, Abbott R, Elran H, Beni-Adani L, Ouaknine G, Constantini S (2001) Repeat endoscopic third ventriculostomy: is it worth trying? Childs Nerv Syst 17:551–555

    Article  CAS  PubMed  Google Scholar 

  17. Kulkarni AV, Drake JM, Mallucci CL, Sgouros S, Roth J, Constantini S (2009) Canadian Pediatric Neurosurgery Group. Endoscopic third ventriculostomy in the treatment of childhood hydrocephalus. J Pediatr 155:254–259

    Article  PubMed  Google Scholar 

  18. Takahashi Y (2006) Long-term outcome and neurologic development after endoscopic third ventriculostomy versus shunting during infancy. Childs Nerv Syst 22:1591–1602

    Article  PubMed  Google Scholar 

  19. Drake JM, Kestle JR, Tuli S (2000) CSF shunts 50 years on—past, present and future. Childs Nerv Syst 16:800–804

    Article  CAS  PubMed  Google Scholar 

  20. Sainte-Rose C, Piatt JH, Renier D, Pierre-Kahn A, Hirsch JF, Hoffman HJ, Humphreys RP, Hendrick EB (1991–1992) Mechanical complications in shunts. Pediatr Neurosurg 17:2–9

    Google Scholar 

  21. Duhaime AC (2006) Evaluation and management of shunt infections in children with hydrocephalus. Clin Pediatr (Phila) 45:705–713

    Article  Google Scholar 

  22. Braga MH, Carvalho GT, Brandão RA, Lima FB, Costa BS (2009) Early shunt complications in 46 children with hydrocephalus. Arq Neuropsiquiatr 67:273–277

    PubMed  Google Scholar 

  23. Di Rocco C, Massimi L, Tamburrini G (2006) Shunts vs endoscopic third ventriculostomy in infants: are there different types and/or rates of complications? A review. Childs Nerv Syst 22:1573–1589

    Article  PubMed  Google Scholar 

  24. Sufianov A, Sufianova G, Iakimov Iu (2008) Neuroendoscopic procedures in achievement of shunt independence: outcome analysis of 28 patients with shunt malfunction. Minim Invasive Neurosurg 51:158–164

    Article  CAS  PubMed  Google Scholar 

  25. Cinalli G, Spennato P, Ruggiero C, Aliberti F, Zerah M, Trischitta V, Cianciulli E, Maggi G (2006) Intracranial pressure monitoring and lumbar puncture after endoscopic third ventriculostomy in children. Neurosurgery 58:126–136

    Article  PubMed  Google Scholar 

Download references

Author information

Affiliations

Authors

Corresponding author

Correspondence to Elisabetta Marton.

Rights and permissions

Reprints and Permissions

About this article

Cite this article

Marton, E., Feletti, A., Basaldella, L. et al. Endoscopic third ventriculostomy in previously shunted children: a retrospective study. Childs Nerv Syst 26, 937–943 (2010). https://doi.org/10.1007/s00381-010-1130-1

Download citation

  • Received:

  • Accepted:

  • Published:

  • Issue Date:

  • DOI: https://doi.org/10.1007/s00381-010-1130-1

Keywords

  • Neuroendoscopy
  • Third ventriculostomy
  • Obstructive hydrocephalus
  • Ventriculoperitoneal shunt failure