Abstract
Introduction
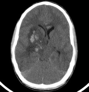
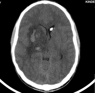
In the management of severe head injuries, the use of intraventricular catheters for intracranial pressure (ICP) monitoring and the option of cerebrospinal fluid drainage is gold standard. In children and adolescents, the insertion of a cannula in a compressed ventricle in case of elevated intracranial pressure is difficult; therefore, a pressure sensor is placed more often intraparenchymal as an alternative option.
Discussion
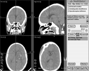
In cases of persistent elevated ICP despite maximal brain pressure management, the use of an intraventricular monitoring device with the possibility of cerebrospinal fluid drainage is favourable. We present the method of intracranial catheter placement by means of an electromagnetic navigation technique.




References
Adelson PD, Bratton SL, Carney NA, Chesnut RM, du Coudray HE, Goldstein B, Kochanek PM, Miller HD, Partington MD, Selden NR, Warden CR, Wright DW (2003) Guidelines for the acute medical management of severe traumatic brain injury in infants, children, and adolescents. Pediatr Crit Care Med 4(3 Suppl):S1–S75
Anderson RCE, Kan P, Klimo P, Brockmeyer DL, Walker ML, Kestle JRW (2004) Complications of intracranial pressure monitoring in children with head trauma. J Neurosurg 101(Suppl. 1):53–58
Brown E (1988) Intracranial pressure monitoring devices. Association for the Advancement of Medical Instrumentation, Arlington, VA
Bullock R, Chesnut RM, Clifton G, Ghajar J, Marion DW, Narayan RK, Newell DW, Pitts LH, Rosner MJ, Wilberger JW (2000) Guidelines for the management of severe traumatic brain injury. J Neurotrauma 17:451–553
Gelabert-Gonzalez M, Ginesta-Galan V, Sernamito-Garcia R, Allut AG, Bandin-Diéguez J, Rumbo RM (2006) The Camino intracranial pressure device in clinical practice. Assessment in 1000 cases. Acta Neurochir 148:435–441
Gil Z, Siomin V, Beni-Adani L, Ben Sira L, Constantini S (2002) Ventricular catheter placement in children with hydrocephalus and small ventricles: the use of a frameless neuronavigation system. Child’s Nerv Syst 18:26–29
Kiefer M, Steudel WI (2002) Modern intracranial pressure measurement techniques. Basic principles and general practice. Unfallchirurg 105:578–586
Luerssen TG (1997) Intracranial pressure: current status in monitoring and management. Semin Pediatr Neurol 4:146–155
Lundberg N (1960) Continuous recording and control of ventricular fluid pressure in neurosurgical practice. Acta Psychiatr Scand 36:1–193
Lundberg N, West KA (1965) Leakage as a source of error in measurement of the cerebrospinal fluid pressure by lumbar puncture. Acta Neurol Scand 1(Suppl 13):115–121
Lundberg N, Troupp H, Lorin H (1965) Continuous recording of the ventricular-fluid pressure in patients with severe acute traumatic brain injury. A preliminary report. J Neurosurg 22:581–590
Marmarou A, Anderson RL, Ward JD (1991) Impact of ICP instability and hypotension on outcome in patients with severe head trauma. J Neurosurg 75:S59–S66
Miller T, Pasquale M, Kurek S, White J, Martin P, Bannon K, Wasser T, Li M (2004) Initial head computed tomographic scan characteristics have a linear relationship with initial intracranial pressure after trauma. J Trauma 56:967–973
Morris KP, Forsyth RJ, Parslow RC, Tasker RC, Hawley CA (2006) Intracranial pressure complicating severe traumatic brain injury in children: monitoring and management. Intensive Care Med 32:1606–1612
Narayan RK, Greenberg RP, Miller JD (1981) Improved confidence of outcome prediction in severe head injury: a comparative analysis of the clinical examination, multimodality evoked potentials, CT scanning and intracranial pressure. J Neurosurg 54:751–762
Pople IK, Muhlbauer MS, Sanford RA, Kirk E (1995) Results and complications of intracranial pressure monitoring in 303 children. Pediatr Neurosurg 23:64–67
Rossi S, Buzzi F, Paparella A, Mainini P, Stocchetti N (1998) Complications and safety associated with ICP monitoring: a study of 542 patients. Acta Neurochir 71:91–93
Tilford JM, Simpson PM, Yeh TS, Lensing S, Aitken ME, Green JW, Harr J, Fiser DH (2001) Variation in therapy and outcome for pediatric head trauma patients. Crit Care Med 29:1056–1061
Wiegand C, Richards P (2007) Measurement of intracranial pressure in children: a critical review of current methods. Dev Med Child Neurol 49:935–941
Author information
Authors and Affiliations
Corresponding author
Rights and permissions
About this article
Cite this article
Aufdenblatten, C.A., Altermatt, S. Intraventricular catheter placement by electromagnetic navigation safely applied in a paediatric major head injury patient. Childs Nerv Syst 24, 1047–1050 (2008). https://doi.org/10.1007/s00381-008-0657-x
Received:
Published:
Issue Date:
DOI: https://doi.org/10.1007/s00381-008-0657-x