Skip to main content

Mixed germ cell tumors in septum pellucidum after radiochemotherapy of suprasellar germinoma: de novo metachronous or recurrent neoplasms?

Abstract

Introduction

Mixed germ cell tumors (GCTs) consisting of a germinoma and a mature teratoma in the septum pellucidum have never been described previously; the patient we present here is the first reported example.

Case report

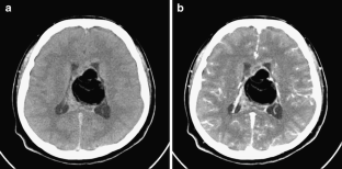
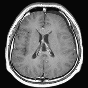
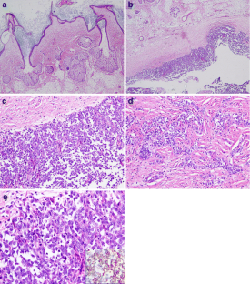
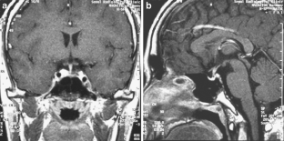
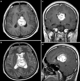
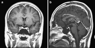
This case involves an 18-year-old man who presented with abnormal behavior, impairment in recent memory, and emotional change. Five years ago, he received five cycles of chemotherapy using cisplatin and ectoposide and 24G of local radiotherapy for clinical diagnosis of suprasellar germinoma in another hospital. The tumor was then completely resolute. Magnetic resonance imaging in our hospital revealed a large fatty mass located primarily in the septum pellucidum and some portions of the corpus callosum; a heterogeneous enhancing tumor was observed in the surrounding area. The second tumor was completely removed. The histological diagnosis was mixed GCTs containing the component of a germinoma and a mature teratoma.

Conclusion

This case is characterized by a second GCT occurring at a different site and with a different histological type, long after complete resolution of suprasellar germinoma. Although it is very difficult to draw conclusions about the correlation between the first and second GCTs, neurosurgeons should always pay attention to the pathological variety and dynamic pathological changes in GCTs once they start to examine and treat them.

This is a preview of subscription content, access via your institution.

Fig. 1
Fig. 2
Fig. 3
Fig. 4
Fig. 5
Fig. 6

References

  1. Ho DM, Liu HC (1992) Primary intracranial germ cell tumor. Pathologic study of 51 patients. Cancer 70:1577–1584

    PubMed  Article  CAS  Google Scholar 

  2. Inamo Y, Hiyoshi K, Hanawa Y, Okuni M (1991) Precocious puberty caused by an hCG-producing tumor of the septum pellucidum. Acta Paediatr Jpn 33:681–684

    PubMed  CAS  Google Scholar 

  3. Jennings MT, Gelman R, Hochberg F (1985) Intracranial germ-cell tumors: natural history and pathogenesis. J Neurosurg 63:155–167

    PubMed  CAS  Article  Google Scholar 

  4. Kamiya K, Inagawa T, Ogasawara H (1988) A case of malignant teratoma developing from the septum pellucidum 7 years after removal of a mature teratoma in the pineal region. Surg Neurol 30:462–467

    PubMed  Article  CAS  Google Scholar 

  5. Koyama S, Tsubokawa T, Katayama Y, Hirota H (1991) Choriocarcinoma of the septum pellucidum: case report. Surg Neurol 35:478–482

    PubMed  Article  CAS  Google Scholar 

  6. Liang L, Korogi Y, Sugahara T, Ikushima I, Shigematsu Y, Okuda T, Takahashi M, Kochi M, Ushio Y (2002) MRI of intracranial germ-cell tumours. Neuroradiology 44:382–388

    PubMed  Article  CAS  Google Scholar 

  7. Louis DN, Ohgaki H, Wiestler OD, Cavenee WK, Burger PC, Jouvet A, Scheithauer BW, Kleihues P (2007) The 2007 WHO classification of tumours of the central nervous system. Acta Neuropathol 114:97–109

    PubMed  Article  Google Scholar 

  8. Sato K, Nagayama T, Fujimura M, Okamoto K, Kamiya M, Nakazato Y (2003) A case of germinoma in the septum pellucidum manifesting as amnesia and hemiparesis. Acta Neurochir (Wien) 145:923–925

    Article  CAS  Google Scholar 

  9. Schild S, Scheithauer BW, Haddock MG, Wong WW, Lyons MK, Marks LB, Norman MG, Burger PC (1996) Histologically confirmed pineal tumors and other germ cell tumors of the brain. Cancer 78:2564–2571

    PubMed  Article  CAS  Google Scholar 

  10. Shim KW, Kim DS, Choi JU (2007) Mixed or metachronous germ-cell tumor? Childs Nerv Syst 23:713–718

    PubMed  Article  Google Scholar 

  11. Shim KW, Kim TG, Suh CO, Cho JH, Yoo CJ, Choi JU, Kim JH, Kim DS (2007) Treatment failure in intracranial primary germinomas. Childs Nerv Syst 23:1155–1161

    PubMed  Article  Google Scholar 

  12. Yagi K, Kageji T, Nagahiro S, Horiguchi H (2004) Growing teratoma syndrome in a patient with a non-germinomatous germ cell tumor in the neurohypophysis: case report. Neurol Med Chir (Tokyo) 44:33–37

    Article  Google Scholar 

Download references

Acknowledgements

This paper was supported by Wonkwang University in 2008.

Author information

Affiliations

Authors

Corresponding author

Correspondence to Tae Young Kim.

Rights and permissions

Reprints and Permissions

About this article

Cite this article

Eom, K.S., Kim, J.M. & Kim, T.Y. Mixed germ cell tumors in septum pellucidum after radiochemotherapy of suprasellar germinoma: de novo metachronous or recurrent neoplasms?. Childs Nerv Syst 24, 1355 (2008). https://doi.org/10.1007/s00381-008-0654-0

Download citation

  • Received:

  • Published:

  • DOI: https://doi.org/10.1007/s00381-008-0654-0

Keywords

  • Germ cell tumor
  • Germinoma
  • Teratoma
  • Septum pellucidum
  • Metachronous