Skip to main content

Mixed or metachronous germ-cell tumor?

Abstract

Objective and importance

We report the extremely rare occurrence of a second germ-cell tumor at a different site and with different histological types long after total resolution of a pineal germinoma.

Clinical presentation

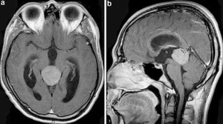
A 21-year-old man who presented with headache and diplopia was admitted to our hospital. Neuroradiological studies revealed a tumor in the pineal region. The tumor was biopsied with endoscope, and third ventriculostomy was performed. Histologically, the tumor proved to be a germinoma. The patient received 3 cycles of combination chemotherapy consisting of carboplatin and etoposide with radiotherapy. The tumor was totally resolute. Twelve months later, he was readmitted with headache and diplopia. Neuroradiological studies showed a tumor in the right temporal lobe.

Intervention

The second tumor was totally removed. Histologically, the tumor proved to be a mixed germ-cell tumor, which consisted a yolk-sac tumor and a germinoma. After the second course of chemotherapy, magnetic resonance image studies revealed no evidence of the tumor.

Conclusion

The second tumor was considered to be a metachronous neoplasm rather than a recurrence of the original mixed germ-cell tumor, which consisted a yolk-sac tumor and a germinoma.

This is a preview of subscription content, access via your institution.

Fig. 1
Fig. 2
Fig. 3
Fig. 4
Fig. 5

References

  1. Fuller BG, Kapp DS, Cox R (1993) Radiation therapy of pineal region tumors: 25 new cases and a review of 208 previously reported cases. Radiat Oncol Biol Phys Int J 28:229–245

    Article  Google Scholar 

  2. Hoffman HJ, Yoshida M, Becker LE, Hendrick EB, Humphreys RP (1994) Pineal region tumours in childhood. Pediatr Neurosurg 21:91–104

    PubMed  CAS  Google Scholar 

  3. Hoffman HJ, Otsubo H, Hendrick EB, Humphreys RP, Drake JM, Becker LE, Greenberg M, Jenkin D (1991) Intracranial germ-cell tumors in children. J Neurosurg 74:545–551

    PubMed  CAS  Article  Google Scholar 

  4. Sugiyama K, Uozumi T, Kiya K, Mukada K, Kurisu K, Arita K, Hotta T, Ogasawara H, Sumida M (1992) Intracranial germ-cell tumor with synchronous lesions in the pineal and suprasellar lesions: report of six cases and review of the literature. Surg Neurol 38:114–120

    PubMed  Article  CAS  Google Scholar 

  5. Haddock MG et al (1997) Radiation therapy for histologically confirmed primary central nervous system germinoma. Int J Radiat Oncol Biol Phys 38(5):915–923

    PubMed  Article  CAS  Google Scholar 

  6. Hardenbergh PH et al (1997) Intracranial germinoma: the case for lower dose radiation therapy. Int J Radiat Oncol Biol Phys 39(2):419–426

    PubMed  Article  CAS  Google Scholar 

  7. Matsutani M et al (1997) Primary intracranial germ cell tumors: a clinical analysis of 153 histologically verified cases. J Neurosurg 86(3):446–455

    PubMed  CAS  Google Scholar 

  8. Shibamoto Y et al (2001) Intracranial germinoma: radiation therapy with tumor volume-based dose selection. Radiology 218(2):452–456

    PubMed  CAS  Google Scholar 

  9. Shirato H et al (1997) Analysis of long-term treatment of intracranial germinoma. Int J Radiat Oncol Biol Phys 37(3):511–555

    PubMed  Article  CAS  Google Scholar 

  10. Sugimoto K, Nakahara I, Nishikawa M (2002) Bilateral metachronous germinoma of the basal ganglia occurring long after total removal of a mature pineal teratoma: case report. Neurosurgery 50(3):613–616, discussion 616–617

    PubMed  Article  Google Scholar 

  11. Back MR, Hu B, Rutgers J, French S, Moore TC (1997) Metastasis of an intracranial germinoma through a ventriculoperitoneal shunt: recurrence as a yolk-sac tumor. Pediatr Surg Int 12(1):24–27

    PubMed  CAS  Google Scholar 

  12. Jellinger K (1973) Primary intracranial germ cell tumours. Acta Neuropathol (Berl) 25(4):291–306

    Article  CAS  Google Scholar 

  13. Sano K (1995) So-called intracranial germ cell tumours: are they really of germ cell origin? Br J Neurosurg 9(3):391–401

    PubMed  Article  CAS  Google Scholar 

  14. Jennings MT, Gelman R, Hochberg F (1985) Intracranial germ-cell tumors: natural history and pathogenesis. J Neurosurg 63(2):155–167

    PubMed  CAS  Google Scholar 

  15. Hunt SJ et al (1990) Neonatal intracranial teratomas. Surg Neurol 34(5):336–342

    PubMed  Article  CAS  Google Scholar 

  16. Ventureyra EC, Herder S (1983) Neonatal intracranial teratoma. Case report. J Neurosurg 59(5):879–883

    PubMed  CAS  Article  Google Scholar 

  17. Ono N et al (1994) Recurrence of primary intracranial germinomas after complete response with radiotherapy: recurrence patterns and therapy. Neurosurgery 35(4):615–620, discussion 620–621

    PubMed  Article  CAS  Google Scholar 

  18. Carrillo R, Ricoy JR, Del Pozo JM, Garcia-Uria J, Herrero J (1977) Dissemination with malignant changes from a pineal tumor through the corpus callosum after total removal. Childs Brain 3:230–237

    PubMed  CAS  Article  Google Scholar 

  19. DeLeo MJ et al (1988) Late recurrences in long-term survivors of germ cell neoplasms. Cancer 62(5):985–988

    PubMed  Article  CAS  Google Scholar 

  20. Grote E, Lorenz R, Vuia O (1980) Clinical and endocrinological findings in ectopic pinealoma and spongioblastoma of the hypothalamus. Acta Neurochir (Wien) 53(1–2):87–98

    Article  CAS  Google Scholar 

  21. Hollstein M et al (1991) p53 mutations in human cancers. Science 253(5015):49–53

    PubMed  Article  CAS  Google Scholar 

Download references

Author information

Affiliations

Authors

Corresponding author

Correspondence to Dong-Seok Kim.

Rights and permissions

Reprints and Permissions

About this article

Cite this article

Shim, KW., Kim, DS. & Choi, JU. Mixed or metachronous germ-cell tumor?. Childs Nerv Syst 23, 713–718 (2007). https://doi.org/10.1007/s00381-006-0273-6

Download citation

  • Received:

  • Revised:

  • Published:

  • Issue Date:

  • DOI: https://doi.org/10.1007/s00381-006-0273-6

Keywords

  • Germ-cell tumor
  • Metachronous
  • Germinoma
  • Mixed germ-cell tumor