Skip to main content

The role of diffusion-weighted magnetic resonance imaging in pediatric brain tumors

Abstract

Objectives

Diffusion-weighted imaging (DWI) may enhance the radiographic diagnosis of pediatric brain tumors. This study reviews the DWI properties of pediatric brain tumors at our institution and examines their relationship to tumor grade and type.

Materials and methods

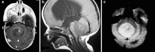
The preoperative DWI and apparent diffusion coefficient (ADC) characteristics of brain tumors in 41 children were compared with histologic diagnosis. Signal characteristics on DWI and ADC maps correlated well with tumor grade. High-grade lesions were hyperintense on DWI and hypointense on ADC maps. Sensitivity, specificity, positive predictive value, and negative predictive value were 70, 100, 100, and 91%, respectively. Signal characteristics did not differ among different tumors of the same grade. All primitive neuroectodermal tumors showed diffusion restriction whereas none of the ependymomas did.

Conclusions

The signal characteristics on DWI and ADC maps appeared to be strongly correlated to grade in pediatric brain tumors and they may assist with preoperative diagnostic predictions.

This is a preview of subscription content, access via your institution.

Fig. 1
Fig. 2
Fig. 3

References

  1. Bulakbasi N, Guvenc I, Onguru O, Erdogan E, Tayfun C, Ucoz T (2004) The added value of the apparent diffusion coefficient calculation to magnetic resonance imaging in the differentiation and grading of malignant brain tumors. J Comput Assist Tomogr 28:735–746

    PubMed  Article  Google Scholar 

  2. Chenevert TL, McKeever PE, Ross BD (1997) Monitoring early response of experimental brain tumors to therapy using diffusion magnetic resonance imaging. Clin Cancer Res 3:1457–1466

    PubMed  CAS  Google Scholar 

  3. Desprechins B, Stadnik T, Koerts G, Shabana W, Breucq C, Osteaux M (1999) Use of diffusion-weighted MR imaging in differential diagnosis between intracerebral necrotic tumors and cerebral abscesses. AJNR Am J Neuroradiol 20:1252–1257

    PubMed  CAS  Google Scholar 

  4. Gauvain KM, McKinstry RC, Mukherjee P, Perry A, Neil JJ, Kaufman BA, Hayashi RJ (2001) Evaluating pediatric brain tumor cellularity with diffusion-tensor imaging. AJR Am J Roentgenol 177:449–454

    PubMed  CAS  Google Scholar 

  5. Gray L, MacFall J (1998) Overview of diffusion imaging. Magn Reson Imaging Clin N Am 6:125–138

    PubMed  CAS  Google Scholar 

  6. Kim YJ, Chang KH, Song IC, Kim HD, Seong SO, Kim YH, Han MH (1998) Brain abscess and necrotic or cystic brain tumor: discrimination with signal intensity on diffusion-weighted MR imaging. AJR Am J Roentgenol 171:1487–1490

    PubMed  CAS  Google Scholar 

  7. Klisch J, Husstedt H, Hennings S, von Velthoven V, Pagenstecher A, Schumacher M (2000) Supratentorial primitive neuroectodermal tumours: diffusion-weighted MRI. Neuroradiology 42:393–398

    PubMed  CAS  Article  Google Scholar 

  8. Kono K, Inoue Y, Nakayama K, Shakudo M, Morino M, Ohata K, Wakasa K, Yamada R (2001) The role of diffusion-weighted imaging in patients with brain tumors. AJNR Am J Neuroradiol 22:1081–1088

    PubMed  CAS  Google Scholar 

  9. Krabbe K, Gideon P, Wagn P, Hansen U, Thomsen C, Madsen F (1997) MR diffusion imaging of human intracranial tumours. Neuroradiology 39:483–489

    PubMed  CAS  Article  Google Scholar 

  10. Laing AD, Mitchell PJ, Wallace D (1999) Diffusion-weighted magnetic resonance imaging of intracranial epidermoid tumours. Australas Radiol 43:16–19

    PubMed  CAS  Article  Google Scholar 

  11. Ono J, Harada K, Mano T, Sakurai K, Okada S (1997) Differentiation of dys- and demyelination using diffusional anisotropy. Pediatr Neurol 16:63–66

    PubMed  CAS  Article  Google Scholar 

  12. Rowley HA, Grant PE, Roberts TP (1999) Diffusion MR imaging. Theory and applications. Neuroimaging Clin N Am 9:343–361

    PubMed  CAS  Google Scholar 

  13. Smith DH, Meaney DF, Lenkinski RE, Alsop DC, Grossman R, Kimura H, McIntosh TK, Gennarelli TA (1995) New magnetic resonance imaging techniques for the evaluation of traumatic brain injury. J Neurotrauma 12:573–577

    PubMed  CAS  Article  Google Scholar 

  14. Tsuruda JS, Chew WM, Moseley ME, Norman D (1990) Diffusion-weighted MR imaging of the brain: value of differentiating between extraaxial cysts and epidermoid tumors. AJR Am J Roentgenol 155:1059–1065, discussion 1066–1068

    PubMed  CAS  Google Scholar 

  15. Wilke M, Eidenschink A, Muller-Weihrich S, Auer DP (2001) MR diffusion imaging and 1H spectroscopy in a child with medulloblastoma. A case report. Acta Radiol 42:39–42

    PubMed  CAS  Google Scholar 

  16. Yamasaki F, Kurisu K, Satoh K, Arita K, Sugiyama K, Ohtaki M, Takaba J, Tominaga A, Hanaya R, Yoshioka H, Hama S, Ito Y, Kajiwara Y, Yahara K, Saito T, Thohar MA (2005) Apparent diffusion coefficient of human brain tumors at MR imaging. Radiology 2(35):985–991

    Google Scholar 

Download references

Acknowledgment

The authors thank Kristin Kraus for her editorial assistance in preparing this paper.

Author information

Affiliations

Authors

Corresponding author

Correspondence to John R. W. Kestle.

Rights and permissions

Reprints and Permissions

About this article

Cite this article

Kan, P., Liu, J.K., Hedlund, G. et al. The role of diffusion-weighted magnetic resonance imaging in pediatric brain tumors. Childs Nerv Syst 22, 1435–1439 (2006). https://doi.org/10.1007/s00381-006-0229-x

Download citation

  • Received:

  • Published:

  • Issue Date:

  • DOI: https://doi.org/10.1007/s00381-006-0229-x

Keywords

  • Pediatric brain tumors
  • Magnetic resonance imaging
  • Diffusion-weighted imaging
  • Apparent diffusion coefficient