Skip to main content

An unusual sequelae of an infected persistent dermal sinus tract

Abstract

Case report

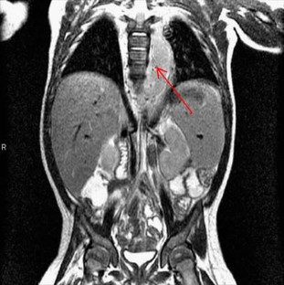
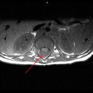
We present a case of a child born with a birthmark over the lumbar spine, which harbored a pinhole-sized opening. At 6 months of age the child presented with fever of unknown origin. Subsequent lower extremity pain resulted in imaging studies that revealed a spinal mass with extension into the posterior mediastinum. At operation, the child was found to have an infected dermal sinus tract.

Discussion

This case highlights the importance of a thorough examination of the midline craniospinal axis in children with fever of unknown origin. To our knowledge, this is the first reported case of an infected dermal sinus tract with extension into the posterior mediastinum.

This is a preview of subscription content, access via your institution.

Fig. 1
Fig. 2

References

  1. Andiran N, Coskun T, Ozaydin E et al (1998) Recurrent meningitis associated with congenital paravertebral dermal sinus tract. Turk J Pediatr 40:121–125

    PubMed  CAS  Google Scholar 

  2. Ceddia A, DiRocco C, Pastorelli G (1990) The congenital cervical dermal sinus. A clinical case report and review of the literature (in Spanish). Minerva Pediatr 42:553–558

    PubMed  CAS  Google Scholar 

  3. Chen CY, Lin KL, Wang HS et al (1999) Dermoid cyst with dermal sinus tract complicated with spinal subdural abscess. Pediatr Neurol 20:157–160

    PubMed  Article  CAS  Google Scholar 

  4. DiTullio MV Jr (1977) Intramedullary spinal abscess: a case report with a review of 53 previously described cases. Surg Neurol 7:351–354

    PubMed  Google Scholar 

  5. El Gindi S, Fairburn B (1969) Intramedullary spinal abscess as a complication of a congenital dermal sinus. Case report. J Neurosurg 30:494–497

    PubMed  Google Scholar 

  6. Elton S, Oakes WJ (2001) Dermal sinus tracts of the spine. Neurosurg Focus 10:1–4

    Article  Google Scholar 

  7. Givner LB, Baker CJ (1983) Anaerobic meningitis associated with a dermal sinus tract. Pediatr Infect Dis 2:385–387

    PubMed  CAS  Google Scholar 

  8. Gurbani SG, Cho CT, Lee KR (1994) Staphylococcus epidermidis meningitis and intraspinal abscess associated with a midthoracic dermal sinus tract. Clin Infect Dis 19:1138–1140

    PubMed  CAS  Google Scholar 

  9. Jindal A, Mahapatra AK (2001) Spinal congenital dermal sinus: an experience of 23 cases over 7 years. Neurol India 49:243–246

    PubMed  CAS  Google Scholar 

  10. Kanev PM, Park TS (1995) Dermoids and dermal sinus tracts of the spine. Neurosurg Clin N Am 6:359–366

    PubMed  CAS  Google Scholar 

  11. Matson DD, Jerva MJ (1966) Recurrent meningitis associated with congenital lumbo-sacral dermal sinus tract. J Neurosurg 25:288–297

    PubMed  CAS  Article  Google Scholar 

  12. Minegishi K, Kusaka Y, Shirane R et al (2002) Congenital dermal sinus tract of recurrent pyrexis: case report (in Japanese). No Shinkei Geka 30:967–971

    PubMed  Google Scholar 

  13. Mount LA (1949) Congenital dermal sinus as a cause of meningitis, intraspinal abscess and intracranial abscess. JAMA 139:1263–1268

    CAS  Google Scholar 

  14. Pang D (1992) Split cord malformations—part 2: clinical syndrome. Neurosurgery 31:481–500

    PubMed  CAS  Article  Google Scholar 

  15. Probst FP, Brun A (1980) Recurrent meningoencephalitis and ascending myelitis caused by dermal sinus tract of extraordinary length. Neuroradiology 19:161–165

    PubMed  Article  CAS  Google Scholar 

  16. Rogg JM, Benzil DL, Haas R et al (1993) Intramedullary abscess, an unusual manifestation of a dermal sinus. AJNR Am J Neuroradiol 14:1393–1395

    PubMed  CAS  Google Scholar 

  17. Schnegg JF, Glauser M, de Tribolet N (1981) Infection of a lumbar dermoid cyst by an anaerobic Peptococcus. Acta Neurochir 58:127–129

    Article  CAS  Google Scholar 

  18. Weprin B, Oakes WJ (2000) Coccygeal pits. Pediatrics 105:1–5

    Article  Google Scholar 

Download references

Author information

Affiliations

Authors

Corresponding author

Correspondence to R. Shane Tubbs.

Rights and permissions

Reprints and Permissions

About this article

Cite this article

Tubbs, R.S., Frykman, P.K., Harmon, C.M. et al. An unusual sequelae of an infected persistent dermal sinus tract. Childs Nerv Syst 23, 569–571 (2007). https://doi.org/10.1007/s00381-006-0216-2

Download citation

  • Received:

  • Published:

  • Issue Date:

  • DOI: https://doi.org/10.1007/s00381-006-0216-2

Keywords

  • Spinal cord
  • Spinal dysraphism
  • Skin