Skip to main content

Giant cell glioblastoma multiforme: report of a case with prolonged survival and transformation to gliosarcoma

Abstract

Introduction

Giant cell glioblastomas (GCGs) and gliosarcomas are rare histological variants of glioblastoma multiforme (GBMs). The mean age of occurrence in GCG is 42 years, but occasional cases have been documented in children under 10 years of age. Clinically, they are associated with a better prognosis than conventional GBMs, with few reports documenting prolonged survival up to 17 years after diagnosis. In contrast, gliosarcomas have age distribution and survival characteristics similar to conventional GBMs. They either arise de novo (primary) or secondary to irradiation to GBM.

Case report

We report a rare case of childhood GCG in an 8-year-old boy surviving for more than 10 years since initial diagnosis. He has had two recurrences at the ages of 16 and 17 years, respectively, with histopathology at second recurrence showing evidence of gliosarcoma.

Discussion

No such case of gliosarcoma following treatment for GCG has been reported in the literature. Hence, the origin of the gliosarcoma whether radiation induced or only a phenotypic change in the GBM remains conjectural.

This is a preview of subscription content, access via your institution.

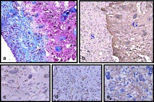
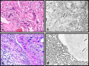
Fig. 1
Fig. 2
Fig 3

References

  1. Akslen LA, Mork SJ, Larsen JL, Myrseth E (1989) Giant cell glioblastoma: a work-up of 2 cases with long survival. Acta Neurol Scand 79:194–199

    CAS  PubMed  Article  Google Scholar 

  2. Brooks WH, Markesbery WR, Gupta GD, Roszman TL (1978) Relationship of lymphocyte invasion and survival of brain tumor patients. Ann Neurol 4:219–224

    CAS  PubMed  Article  Google Scholar 

  3. Fajardo LF, Berthrong M, Anderson RE (2001) Radiation carcinogenesis. In: Radiation pathology. Oxford University Press, New York, pp 97–135

    Google Scholar 

  4. Gullotta F, Casentini L, Neumann J (1980) Giant cell gliomas of the temporal lobe. Acta Neurochir (Wien) 54:25–31

    CAS  Article  Google Scholar 

  5. Hadfield MG, Silverberg SG (1972) Light and electron microscopy of giant-cell glioblastoma. Cancer 30:989–996

    CAS  PubMed  Article  Google Scholar 

  6. Ishikura A, Ikeda M, Kogure Y, Enkaku H, Watanabe K (1989) A giant cell glioblastoma—a case report. Gan No Rinsho 35:293–297

    CAS  PubMed  Google Scholar 

  7. Katoh M, Aida T, Sugimoto S, Suwamura Y, Abe H, Isu T, Kaneko S, Mitsumori K, Kojima H, Nakamura N et al (1995) Immunohistochemical analysis of giant cell glioblastoma. Pathol Int 45:275–282

    CAS  PubMed  Article  Google Scholar 

  8. Kleihues P, Burger PC, Collins VP, Newcomb EW, Ohgaki H, Cavenee WK (2000) Glioblastoma. In: Kleihues P, Cavenee WK (eds) World Health Organization classification of tumours, pathology and genetics of tumours of the nervous system. IARC Press, Lyon, France, pp 29–39

    Google Scholar 

  9. Klein R, Molenkamp G, Sorensen N, Roggendorf W (1998) Favorable outcome of giant cell glioblastoma in a child. Report of an 11-year survival period. Childs Nerv Syst 14:288–291

    CAS  PubMed  Article  Google Scholar 

  10. Maldaun MV, Suki D, Lang FF, Prabhu S, Shi W, Fuller GN, Wildrick DM, Sawaya R (2004) Cystic glioblastoma multiforme: survival outcomes in 22 cases. J Neurosurg 100:61–67

    PubMed  Article  Google Scholar 

  11. Margetts JC, Kalyan-Raman UP (1989) Giant-celled glioblastoma of brain. A clinico-pathological and radiological study of ten cases (including immunohistochemistry and ultrastructure). Cancer 63:524–531

    CAS  PubMed  Article  Google Scholar 

  12. Meyer-Puttlitz B, Hayashi Y, Waha A, Rollbrocker B, Bostrom J, Wiestler OD, Louis DN, Reifenberger G, von Deimling A (1997) Molecular genetic analysis of giant cell glioblastomas. Am J Pathol 151:853–857

    CAS  PubMed Central  PubMed  Google Scholar 

  13. Ohgaki H, Biernat W, Reis R, Hegi M, Kleihues P (2000) Gliosarcoma. In: Kleihues P, Cavenee WK (eds) World Health Organization classification of tumours, pathology and genetics of tumours of the nervous system. IARC Press, Lyon, France, pp 42–44

    Google Scholar 

  14. Ohgaki H, Peraud A, Nakazato Y, Watanabe K, von Diemling A (2000) Giant cell glioblastoma. In: Kleihues P, Cavenee WK (eds) World Health Organization classification of tumours, pathology and genetics of tumours of the nervous system. IARC Press, Lyon, France, pp 40–41

    Google Scholar 

  15. Palma L, Celli P, Maleci A, Di Lorenzo N, Cantore G (1989) Malignant monstrocellular brain tumours. A study of 42 surgically treated cases. Acta Neurochir (Wien) 97:17–25

    CAS  Article  Google Scholar 

  16. Peraud A, Watanabe K, Plate KH, Yonekawa Y, Kleihues P, Ohgaki H (1997) p53 mutations versus EGFR receptor expression in giant cell glioblastomas. J Neuropathol Exp Neurol 56:1236–1241

    CAS  PubMed  Article  Google Scholar 

  17. Peraud A, Watanabe K, Schwechheimer K, Yonekawa Y, Kleihues P, Ohgaki H (1999) Genetic profile of the giant cell glioblastoma. Lab Invest 79:123–129

    CAS  PubMed  Google Scholar 

  18. Perry JR, Ang LC, Bilbao JM, Muller PJ (1995) Clinicopathologic features of primary and postirradiation cerebral gliosarcoma. Cancer 75:2910–2918

    CAS  PubMed  Article  Google Scholar 

  19. Puzzilli F, Ruggeri A, Mastronardi L, Di Stefano D, Lunardi P (1998) Long-term survival in cerebral glioblastoma. Case report and critical review of the literature. Tumori 84:69–74

    CAS  PubMed  Google Scholar 

  20. Raco A, Bristot R, Salvati M, Delfini R (1997) Malignant supratentorial astrocytomas of late childhood. Our experience with 25 cases. Childs Nerv Syst 13:341–344

    CAS  PubMed  Article  Google Scholar 

  21. Sabel M, Reifenberger J, Weber RG, Reifenberger G, Schmitt HP (2001) Long-term survival of a patient with giant cell glioblastoma. Case report. J Neurosurg 94:605–611

    CAS  PubMed  Article  Google Scholar 

  22. Sarkar C, Sharma MC, Sudha K, Gaikwad S, Varma A (1997) Clinico-pathological study of 29 cases of gliosarcoma with special reference to two unique variants. Indian J Med Res 106:229–235

    CAS  PubMed  Google Scholar 

  23. Sreenan JJ, Prayson RA (1997) Gliosarcoma. A study of 13 tumors, including p53 and CD34 immunohistochemistry. Arch Pathol Lab Med 121:129–133

    CAS  PubMed  Google Scholar 

  24. Winkler PA, Buttner A, Tomezzoli A, Weis S (2000) Histologically repeatedly confirmed gliosarcoma with long survival: review of the literature and report of a case. Acta Neurochir (Wien) 142:91–95

    CAS  Article  Google Scholar 

Download references

Author information

Affiliations

Authors

Corresponding author

Correspondence to Chitra Sarkar.

Rights and permissions

Reprints and Permissions

About this article

Cite this article

Deb, P., Sharma, M.C., Chander, B. et al. Giant cell glioblastoma multiforme: report of a case with prolonged survival and transformation to gliosarcoma. Childs Nerv Syst 22, 314–319 (2006). https://doi.org/10.1007/s00381-005-1239-9

Download citation

  • Received:

  • Published:

  • Issue Date:

  • DOI: https://doi.org/10.1007/s00381-005-1239-9

Keywords

  • Giant cell glioblastoma
  • Childhood
  • Long survival
  • Recurrent
  • Radiotherapy
  • Gliosarcoma
  • Brain tumour
  • Glioma